PERIPHERAL NERVE: Chronic Demyelination
MYELIN PATHOLOGY
Myelin Loss: On Preserved Larger Axons

Neurofilament stain
Large & Small axons: Present; Reduced numbers
|

VvG stain
Myelin: Mostly absent
|
Myelin loss: From preserved larger axons
Few remaining myelinated axons are small with thin myelin sheath

Toluidine blue stain
Few myelinated axons
|

Toluidine blue stain
Demyelinated large axons, Scattered (Arrow)
Demyelinated axons often have surrrounding Schwann cells
|

Toluidine blue stain
Onion bulb, Early (Arrow): Reduplicated basal lamina
|
Segmental Demyelination & Remyelination
Segmental Demyelination with Remyelination (Top)
Internodes (3)
Short
Different
Lengths
Thicknesses
Control Myelinated Axon (Bottom)
Myelin internode
Long

Teased Axons
|
Myelinated Axons: Segmental Demyelination
Myelination is absent or thin in some internodes but not others


Teased Axons
|
Myelinated Axons: Segmental Demyelination
Myelination of internode is thin to the left of the Node of Ranvier but normal on the right side

Teased Axons
|
CIDP: Distal Motor Axons
Segmental Demyalination
Internode widening
Distal Axons
Thin
Absent myelin
Collateral sprouts: Reinnervate denervated NMJs

P0-Silver-Esterase stain
|
Myelin pathology: Multifocal Motor Neuropathy

P0-Silver-Esterase stain
|
Above:
Segmental demyelination (Arrow) of a distal motor axon in
Multifocal motor neuropathy
Arrow points to small region of myelin in area of segemental demyelination
Fragment of neuromuscular junction (Blue stain) is at left
Below:
Normally myelinated distal motor axon in muscle
Arrow points normal short myelin internode on distal motor axon

P0-Silver-Esterase stain
|
Hypomyelinated Axons
See: PMP-22 point mutation

VvG stain
|
Endoneurium
Cellular
Some increased connective tissue space
No myelin

VvG stain
|
Large axons: Many present with no surrounding myelin space
Small axons: Mildly reduced numbers

Neurofilament stain
|

Toluidine blue stain
|
Axons
Many with very thin surrounding myelin
Schwann cell nuclei often directly neighbor thinly myelinated axons

Toluidine blue stain
|
Axons
Many with very thin surrounding myelin
Schwann cell nuclei often directly neighbor thinly myelinated axons
Endomysial connective tissue
Increased between axons

Toluidine blue stain
|
ONION & ONION-LIKE BULBS
Onion Bulbs
- Definition
- Circumferentially arranged layers of
- Schwann cell processes
- Schwann cell Basal lamina
- Collagen
- Location: Around axon, or region of axon loss
- History
- Early illustrations: Gombault (1889) & Dejerine + Sottas (1893) (Above)
- Cause
- Demyelination & Remyelination: Repeated episodes
- Schwann cell proliferation
- Development
- Remyelination: New Schwann cells add to, or replace, residual Schwann cell
- Onion bulb formation
- Source: Schwann cells & Processes
- Detatch from axon
- Generate cells & processes that form onion bulb layers
- Structures within onion bulb
- General Orientation
- Circumferential
- Around axon, if one is present
- Components
- Schwann cell processes: Contain NCAM & P0 protein; "Denervated"
- Basal lamina: Stains for Collagen IV; Between Schwann cell processes
- Collagen
- Fibroblast processes: May surround onion bulb
- Associated axon
- Location: In center of onion bulb
- Size: Larger size; or May be several, smaller regenerated axons
- Myelin sheath: Around axon; Inside onion bulb; Often thin for axon size, or absent
- Some onion bulbs have no central axon = "Obsolete onion bulbs"
- Other features
- Individual onion bulb distribution
- Often separated from each other by increased endomysial connective tissue
- Congenital Hypomyelinating Neuropathies
- Obsolete (Burnt-out) onion bulbs
- Loss of central axon within onion bulb
- Eventual loss of associated Schwann cells
- Nerve size
- Often large: Due to presence of onion bulb & increased endomysial connective tissue
- Often similar in hereditary & immune, acquired demyelinating disorders
- Differential Diagnosis
- Acquired vs Inherited disorders: Patterns of OB distribution
1
- Around most axons: More common with inherited neuropathies
- Around scattered axons: Common with acquired neuropathies
- Clustered in regions of nerve: Acquired or inherited neuropathies

Electron micrograph: From Robert Schmidt MD
|
Onion Bulbs: Circumferential Layer Components
Schwann cell processes
Schwann cell basal lamina
Collagen: Between Schwann cell components
Fibroblast processes: May form outer layer
Axons in Onion Bulbs
General location: Central
Sizes: Large or Intermediate
Absent: See obsolete onion bulbs
Myelination: Varied
Normal
Thin or Abnormal
None

Electron micrograph: From Robert Schmidt MD
|

Electron micrograph: From Robert Schmidt MD
|
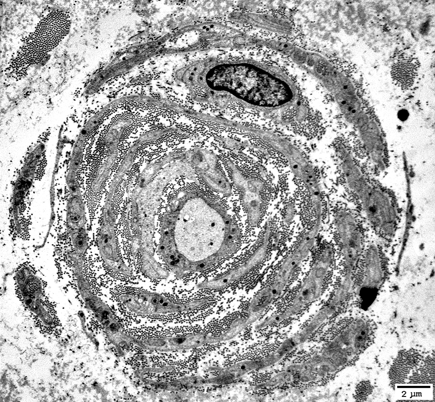
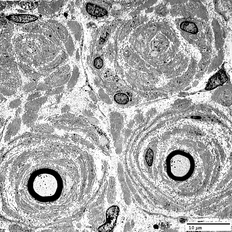
Onion Bulbs: Large, Late

Toluidine blue stains of plastic nerve sections
|

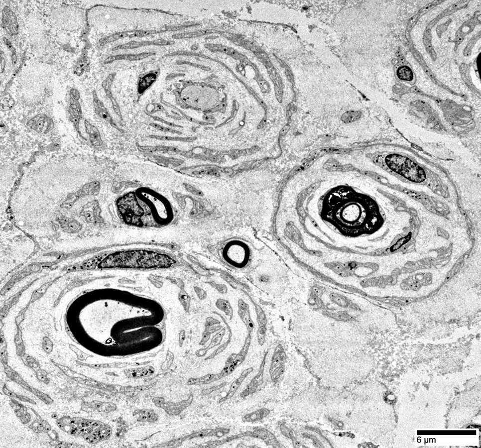
Onion bulbs, Large
Multiple Connective tissue layers
& Schwann cell processes
around thinly myelinated axons.
Onion bulbs may contain 0, 1,
or several, axons.

Toluidine blue stains of plastic nerve sections
|
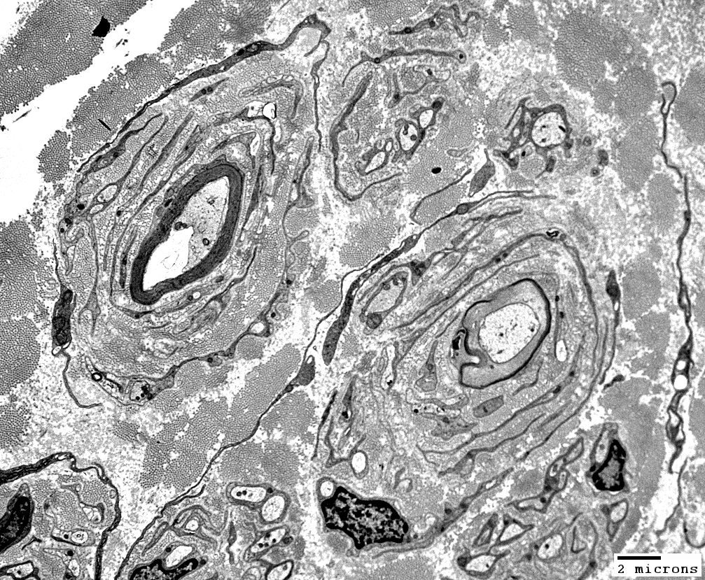
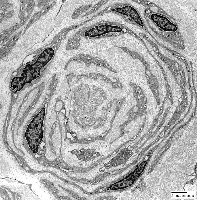
Onion bulbs, Large
Several layers of Basal lamina, Connective tissue & Schwann cell processess around thinly myelinated axons.
Onion Bulbs: Ultrastructure
CIDP, Childhood onset

From: Robert Schmidt MD
|
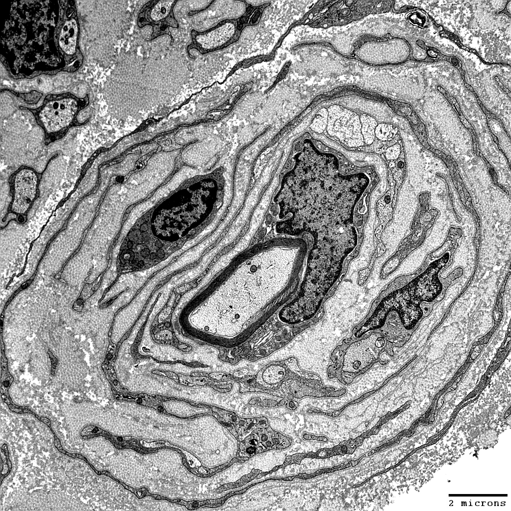
Onion bulbs, Large: Several layers surround thinly myelinated axons
Layers include
Schwann cell processes
Schwann cell basal lamina
Connective tissue
Outer rim: My be fibroblast process
Central axon: Thinly myelinated
Onion Bulbs: Around thinly myelinated axons

From: Robert Schmidt MD
|
Onion bulbs, Large: Several layers surround thinly myelinated axons
Layers include
Schwann cell processes
Schwann cell basal lamina
Connective tissue
Outer rim: My be fibroblast process
Central axon: Thinly myelinated

From: Robert Schmidt MD
|
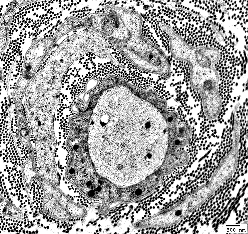
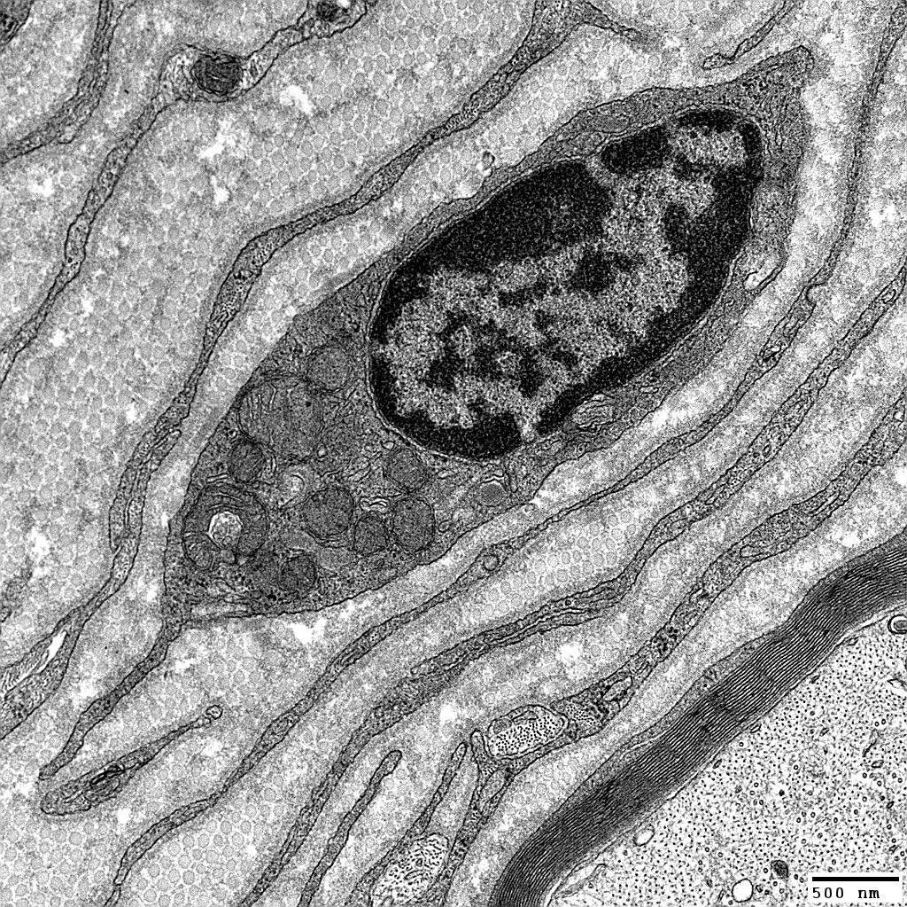
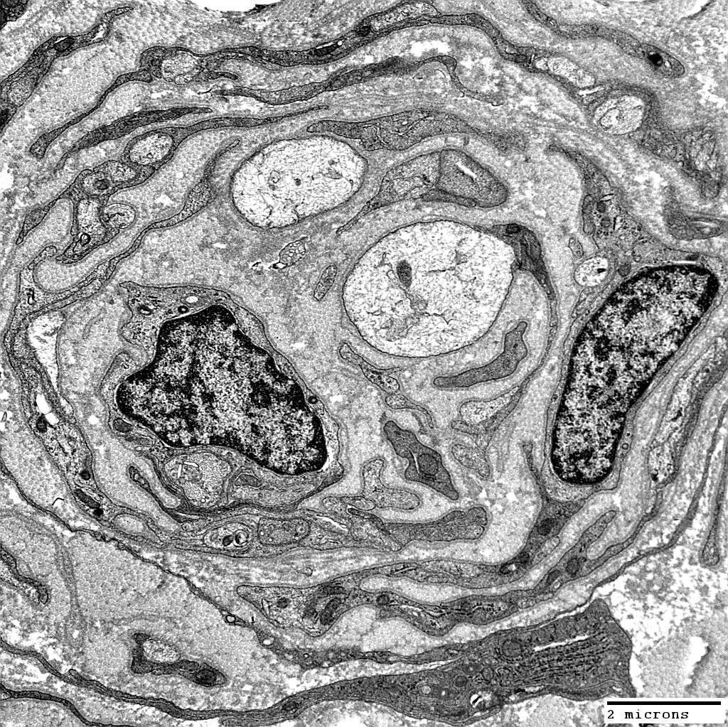
Cells within Onion Bulbs

From: Robert Schmidt MD
|
Schwann cells & Macrophages within onion bulb layers

From: Robert Schmidt MD
|
Macrophage: Between onion bulb layers

From: Robert Schmidt MD
|
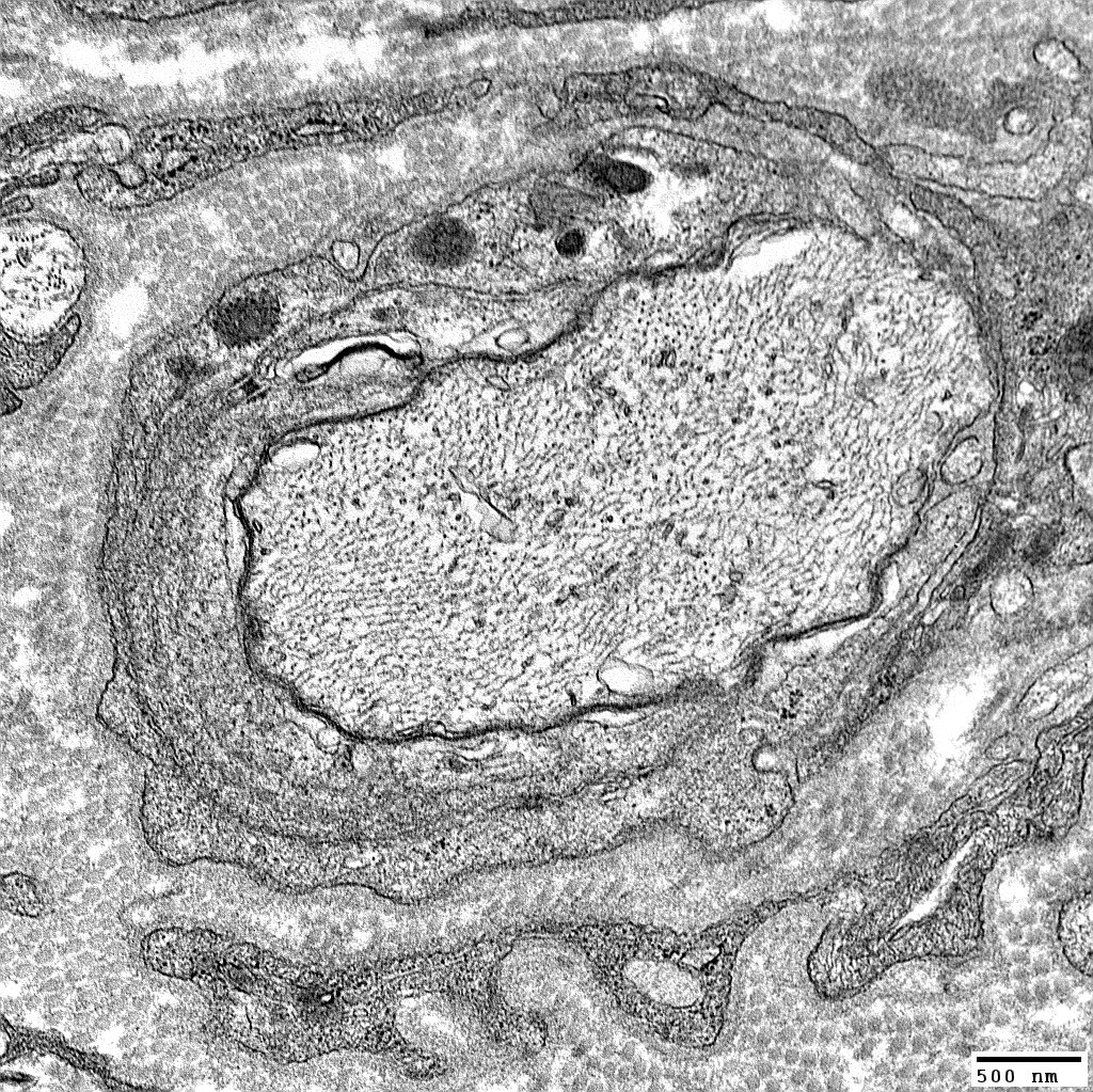
Onion Bulbs: Around demyelinated axons

From: Robert Schmidt MD
|
Onion bulbs, Large: Several layers surround demyelinated axons
Layers include
Schwann cell processes
Schwann cell basal lamina
Connective tissue
Outer rim: My be fibroblast process
Central axon: Unmyelinated

From: Robert Schmidt MD
|
Schwann cell processes surround demyelinated axon

From: Robert Schmidt MD
|

From: Robert Schmidt MD
|
Onion bulbs around demyelinated axon

From: Robert Schmidt MD
|
Onion Bulbs, Obsolete: Central axons are lost (Above)

From: Robert Schmidt MD
|

From: Robert Schmidt MD
|
Onion bulbs, Obsolete
Multiple layers contain: Schwann cells alternating with collagen
Associated central axon is: Lost

From: Robert Schmidt MD
|

From: Robert Schmidt MD
|
Pale Schwann cell processes in onion bulb

From: Robert Schmidt MD
|
Onion bulbs: Molecular composition

Neurofilament stain (Green) + NCAM stain (Red)
|
Axons in onion bulbs
Surrounded by NCAM containing Schwann cells
Schwann cells in Onion Bulbs
Contain both NCAM (Above) & P0 (Below) (Similar to
Büngner band cells)

Neurofilament stain (Green) + P0 stain (Red)
|
Schwann cells in Onion Bulbs
Contain both NCAM & P0 (All onion bulb cells cells costain (Below; Yellow))
Similar to
Büngner band cells
P0(r).jpg)
NCAM stain (Green) + P0 stain (Red)
|
Onion Bulbs, Early
Onion bulbs, Incompletely formed
Schwann cell processes: Long, uninterrupted
Surround 3 thinly myelinated axons

From: Robert Schmidt MD
|

Toluidine blue
Onion bulbs, Early
Extra layers of Basal lamina,
Collagen & Schwann cell
processes around thinly or
normally myelinated axons.
|

Toluidine blue
|
Possible Onion bulbs, thin: Around myelinated axons (Arrow)
More thickly myelinated, irregular-shaped myelinated axons (Below)
May be related to changes in axon size or regeneration

Toluidine blue
|
Onion bulbs, rudamentary (Arrows)
Schwann cell processes & Collagen
May partially surround irregular-shaped myelinated axons

Toluidine blue
|
Also see
Pseudo-onion bulbs
Perineurioma
Schwann cells & Circumferential Axon Sprouts
Cervical Spinal Cord & Roots: Enlargement & Contrast enhancement of Anterior & Posterior (Arrow) Roots

T1 with contrast
|

T1 with contrast
|

T2
|
Enlargement of Cervical Roots & Brachial plexus (Arrow)

T1 with contrast
|
Contrast enhanced Lumbar Roots (Arrow)

T1 with contrast
|
Lumbar Roots (L4-L5)

T2
|
|
From: Sri Krishna Alapati
Return to
Normal nerve biopsies
Return to
Biopsy illustrations
Return to
Neuromuscular Home Page
Return to
Nerve biopsy
Return to
Demyelinating neuropathies
Return to
Active demyelination
References
1.
Muscle Nerve 2019;59:665-670
1/19/2026