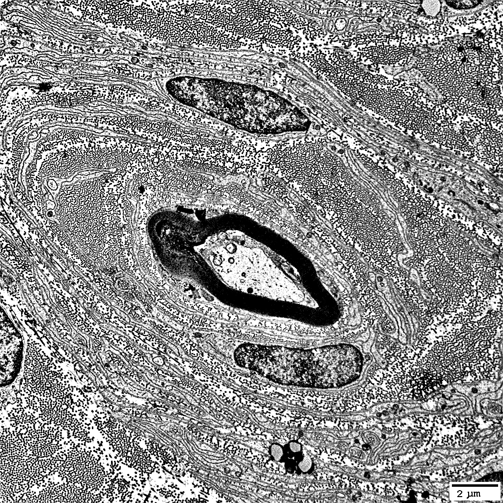
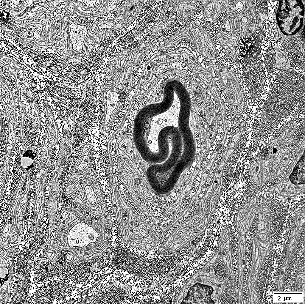
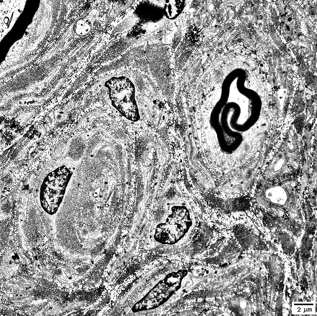
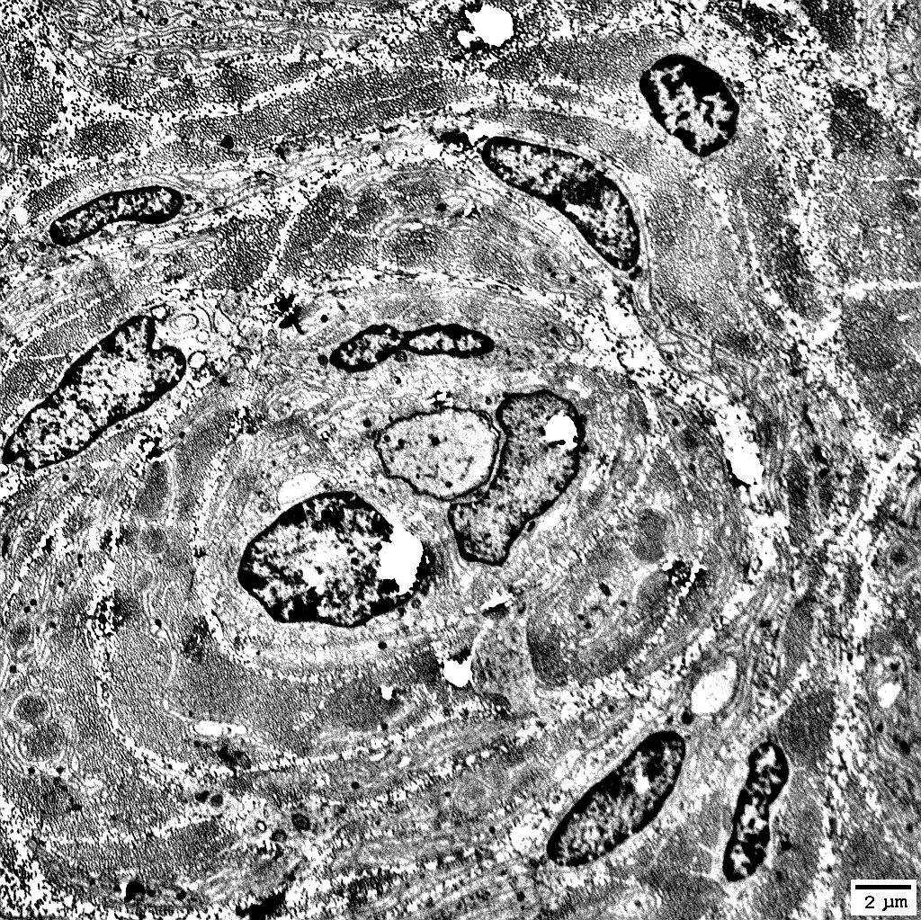
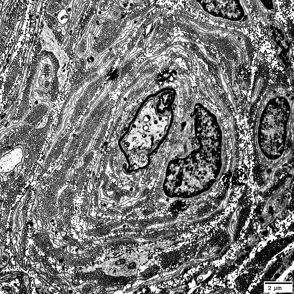
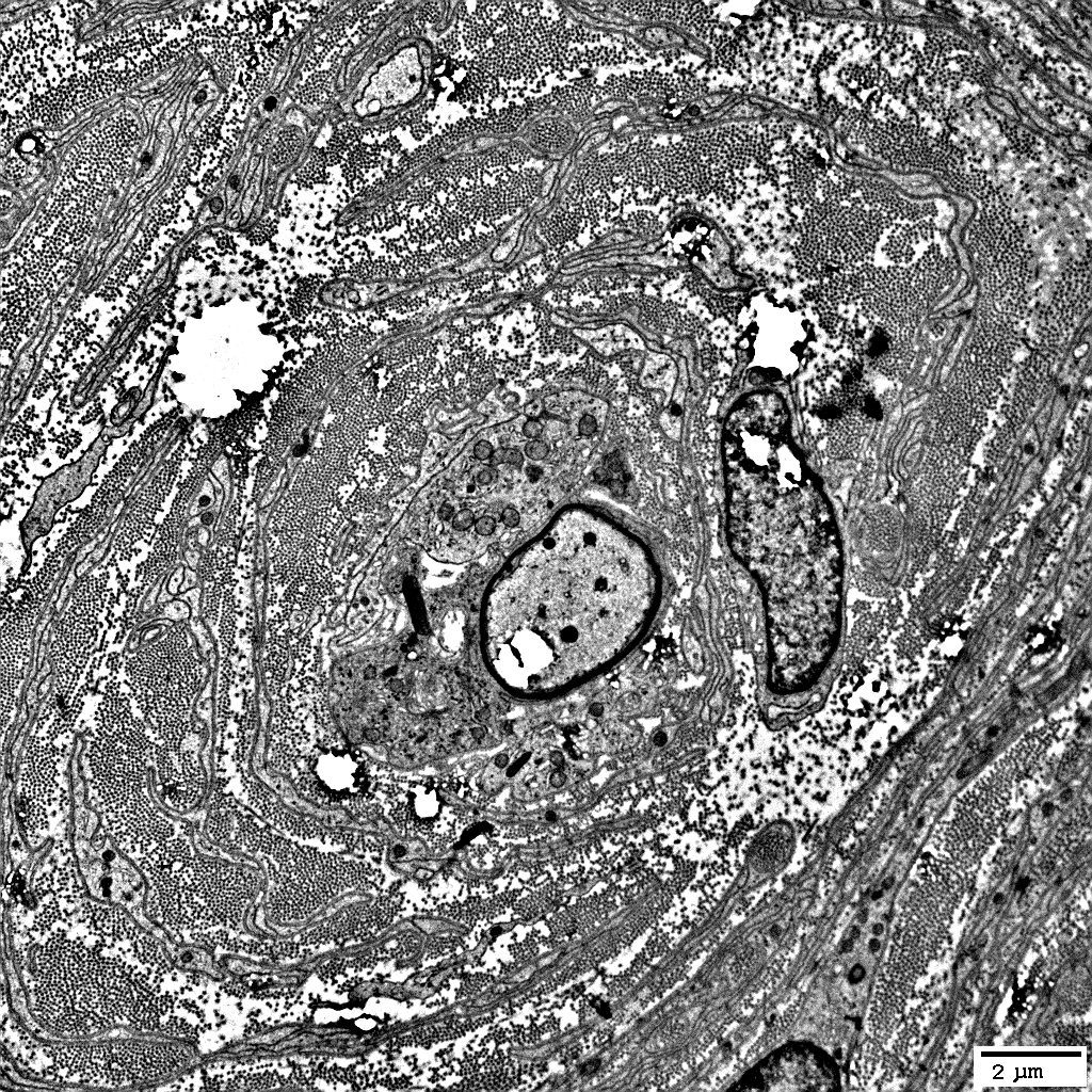
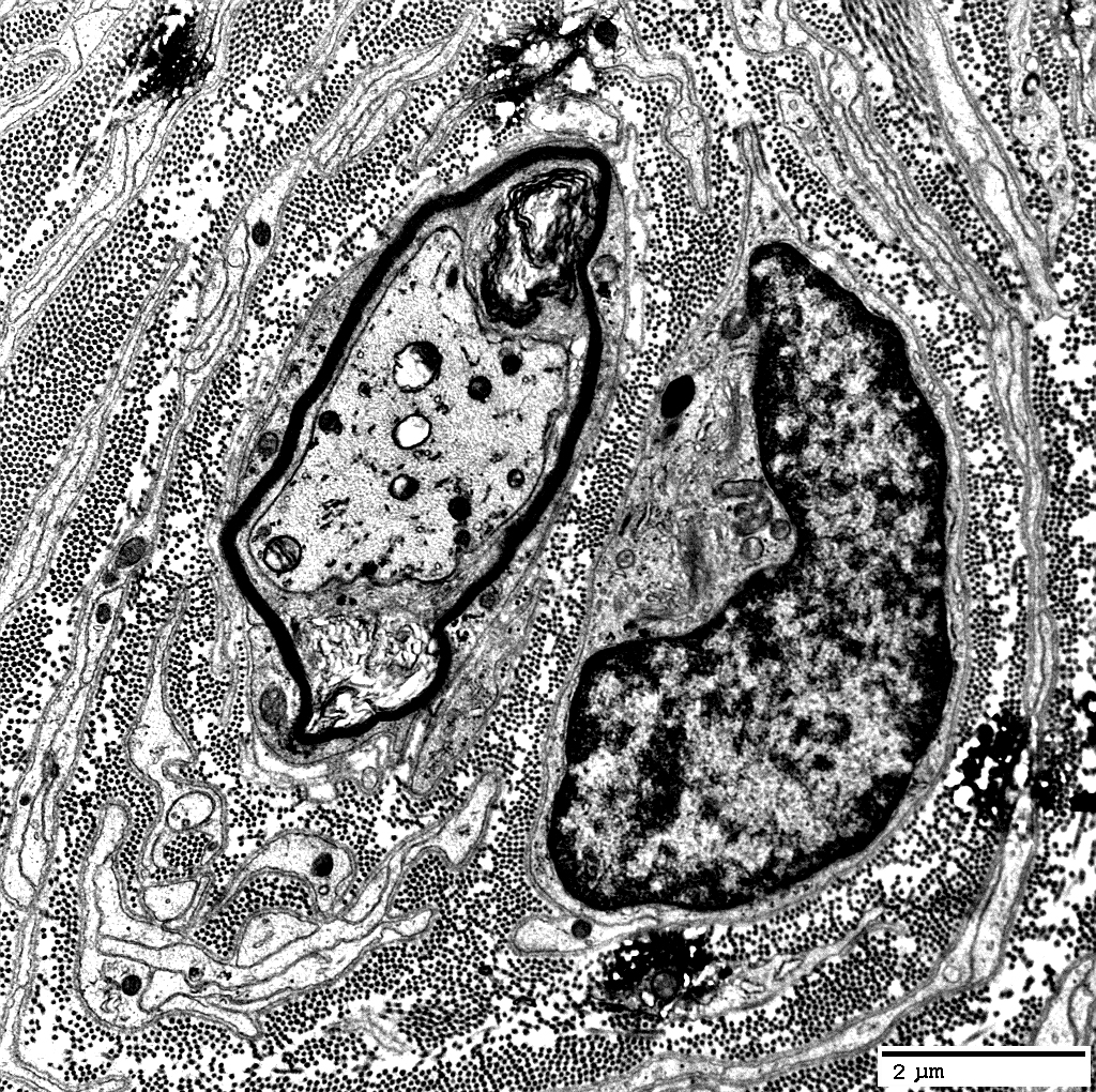
CMT 1A
Nerve

Toluidine blue
|
Onion Bulbs
Some contain myelinated axons; Others are empty (
"Obsolete")
Myelin sheaths: Thick; Normal or Thin
Contain abundant
non-myelinating Schwann cells

Toluidine blue
|
Axons
Reduced numbers: Large & Small
Some onion bulbs have no axons
Some small axons are present in layers within & around onion bulbs

SMI31: Neurofilament
|

SMI31: Neurofilament
|

SMI31: Neurofilament
|
Schwann cells in Onion bulbs
Contain:
NCAM &
P0 protein

NCAM
|
Non-myelinating Schwann cells in onion bulbs: In layers
Myelin around central axons: Abnormal; Stains for NCAM

NCAM
|
Schwann cells in Onion bulbs also contain P0 protein

Neurofilament (Green) & P0 (Red) stains
|
CMT 1A: Muscle
Fiber size
Large fibers: Hypertrophied
Small fibers: Very small; Grouped; Some pyknotic nuclear clumps

H&E
|

H&E
|
Grouped atrophy
Perimysium: Replaced by fat

Congo red
|
Small muscle fibers: Dark on NADH stain

NADH
|
Fiber types
Large fibers: Type grouping
Small fibers: Grouped; Type 2

ATPase pH 4.3
|
Chronic changes: Perimysium is replaced by fat

Sudan black
|
Return to
Normal nerve biosies
Return to
Biopsy illustrations
Return to
CMT 1A
Return to
Neuromuscular Home Page
Return to
Nerve biopsy
Return to
Demyelinating neuropathies
Return to
Chronic demyelination
1/18/2017