PERIPHERAL NERVE: Normal features
Epineurium
- Connective tissue & vessels surrounding nerve fascicles
- Collagen
- Bundles: Oriented longitudinally
- More dense near fascicles
- Fibril width: 60 to 110 nM diameter
- Type I > III
- Vessels (Vasa nervorum)
- Arteries
- Veins
- Lymphatics
- Nerves
- Axons: Small, unmyelinated; In vessel walls, Artery >> Vein
- Non-myelinating Schwann cells: NCAM+; Surround unmyelinated axons
- Pathology: Vasculitis & Inflammatory vasculopathies
- Structure
- Lamellated structure surrounding all nerve fascicles
- Width
- Thicker
- Larger fascicles
- More proximal nerve: Up to 15 layers
- At nerve branches
- Thin: Near distal nerve terminals
- Continues in
- CNS: Pia-arachnoid
- PNS
- Capsule of some sensory receptors
- Not: Muscle basal lamina
- Vessels: Trans-perineurial
- Smooth muscle layer
- Continuous in arterioles
- Incomplete in veins
- Arteriole size: 10–25 μM
- May have associated axons
- Separated from endoneurium by: Subperineurial space
- Embryology
- Development period: 12 to 14 weeks
- Origin: Mesenchymal cells (Fibroblasts)
- Neurofibromin
- Associated with: Arrangement & formation of perineurium
- Perineurial cells
- Shape: Flattened cells in concentric layers
- Surrounded by: Basement membrane
- Thicker than Schwann cell basement membrane
- May surround one, or several, neighboring perineurial cells
- Cytoplasm
- Rarified except in perinuclear region
- Contains filaments similar to smooth muscle cells
- Many pinocytotic vescicles
- Cytoplasm: Linoleic acid high
- Other molecules
- Surface complement regulators & inhibitors
- C1IHN, C4BP, CD59, Clusterin
- Tight junctions
- Link adjacent perineurial cells
- Blood-Nerve barrier
- Origin
- ? Fibroblasts
- Differentiation maintained by
- desert hedgehog from Schwann cells
- Neurofibromin
- Molecular & Ultrastructure
- Collagen fibrils
- Width: 40 to 64 nM
- Contain: Collagen III > I
- "Raccoon tail" (Long-spaced collagen, Luse body)
- Non-branching filaments (10 to 12 nM): Oxytalan
- Laminin isoforms: A, B2 & S chains
- Stains
- Junction proteins in perineurium
- ZO-1 (TJP1)
- Tricellulin
- Occludin: Tight junction
- Claudin-1
- Claudin-3
- Claudin-19: Tight junction
- JAM-C: Adherens junction
- Cadherin-5: Adherens junction
- Functions
- Modulates external stretching forces
- Regulates endoneurial pressure & milieu
- Part of blood-nerve barrier: With endoneurial blood vessels
- Pathology
|
|
Early Illustration of Perineurium: Ranvier

|
|
Endoneurium
- Anatomy
- Region inside perineurium
- Contiguous with sub-arachnoid space
- Contents
- Axons
- Schwann cells & Myelin
- 80% to 90% of endoneurial nuclei are Schwann cells
- Collagen IV: Component of Schwann cell basement membrane
- Endoneurial microvessels: Pathology
- Disease: HIEM
- Features
- Orientation: Longitudinal with many oblique & transverse anastomoses
- Size: 9 μM mean diameter; Range 5 to 22 μM
- Density: 60–100 per mm2 in human sural nerve: Lower with age
- May stain for
- Alkaline phosphatase
- UEAI lectin: Endothelial cells
- Scaffolding proteins: Link endothelial cell membranes to cytoplasmic components
- ZO-1 (TJP1)
- CLDN5
- Endoneurial microvessels: Endothelial cells
- Anatomy: Single layer next to vessel lumen
- Linked by tight junctions
- Claudins
- Tight junction proteins
- Molecules: Mitogen receptors
- Glial-derived neurotrophic factor (GFRα1)
- Vascular endothelial growth factor (VEGFR2; KDR)
- Basic fibroblast growth factor (FGFR1)
- Transforming growth factor-β (TGFRI/II)
- Glucocorticoid (GR; NR3C1)
- May contain Weibel–Palade bodies: ? Produce factor VIII-related antigen
- Surrounded by collagen
- No fenestrae or associated glial cells
- Form part of blood-nerve barrier
- Tight junction proteins in endoneurial capillaries
- Claudin-5: Endothelial; Schmidt-Lanterman incisures
- Occludin
- ZO-1
- Collagen (50 to 65 nM)
- Collagen III > I
- More tightly packed near Schwann cell basement membrane
- Interstitial space
- Other cells
- Fibroblasts: Few (10%); More frequent near endoneurial vessels; No basement membrane
- Macrophages: Resident
- Under pressure relative to epineurium
Blood-Nerve Barrier
1
- Anatomy
- Locations
- Perineurium: Very impermeable; High pinocytotic activity
- Endoneurial microvessels: More permeable than perineurium
- Tight junctions between
- Endothelial cells in microvessels
- Innermost perineurial epithelioid myofibroblast cells
- Molecules
- Barrier proteins
- ZO-1 (TJP1)
- Intracellular
- Connects tight junction proteins to actin cytoskeleton
- Claudin-1 (CLDN1)
- Locations: Perineurium, Mesaxon, Schmidt-Lanterman incisures; Paranodal loops of myelinated Schwann cells
- Barrier function
- Disease: Ichthyosis, Leukocyte vacuoles, Alopecia, Sclerosing cholangitis (ILVASC)
- Claudin-3 (CLDN3)
- Locations: Schmidt-Lanterman incisures; Mesaxon
- Claudin-4 (CLDN4)
: BNB tight junctions
- Cadherin-5 (CDH5)
- Endothelial
- Adherens junctions
- Locations: Endoneurial vessel endothelium; Schmidt-Lanterman incisures; Mesaxon
- CLDN5 knock-out: Increased permeability for molecules < 800 Da
- Occludin (OCLN)
- Tight junction membrane protein
- Present in most BBB regions: Perineurium; Endothelial microvessel endothelium; Schmidt-Lanterman incisures
- Disease: Pseudo-TORCH syndrome 1
- Tricellulin (MARVELD2)
- PN locations: Mesaxon, Schmidt-Lanterman incisures, Paranodal loops
- Tricellular tight junctions
- Epithelial barriers
- Regulates passage of macromolecules through tight junctions
- Disease: Non-syndromic hearing loss (DFNB49)
- α1 catenin (CTNNA1)
: F-actin cytoskeleton linking to adherens junctions
- Transporters: Influx & Efflux
- Alkaline phosphatase
- Glucose transporter-1 (SLC2A1)
- Monocarboxylate transporter-1 (SLC16A1)
- Creatine transporter (SLC6A8)
- Cationic amino acid transporter-1 (SLC7A5)
- γ-glutamyl transpeptidase
- p-glycoprotein (ABCB1; PGY1)
- SLC1A1
- Functions
- Endoneurial ionic microenvironment: Regulation
- Transendothelial electrical resistance (TEER): High
- Permeability to solutes & macromolecules: Low
- Transendothelial water flux (hydraulic conductivity): Low
- Possible Disorders
Adults: Sural nerve
Nerve Structure

H&E stain
Normal Endoneurium, Perineurium, Epineurium & Vessels
|
|
Nerve fascicles
Contain normal numbers of myelinated axons in endoneurium

VvG stain
|

Gomori trichrome stain
|

VvG stain
|

H&E stain
|
Nerve (Sural): Axons
Normal
Large & Small axons in endoneurium
Large axons: Surrounded by clear myelin halos
Small axons: Clustered among large myelinated axons

Neurofilament stain
|

Toluidine blue stain
|
Axon morphology (Adult): 3 size populations
• Large: Thick myelin sheath
• Intermediate: Thin myelin sheath
• Small: Unmyelinated axons
• Compare to:
Infant

Toluidine Blue stained plastic section
|

Electron micrograph (Robert E Schmidt MD)
|
Myelinated Axon

From Robert E Schmidt MD
|
Small, Unmyelinated Axons

From Robert E Schmidt MD
|

Electron micrographs
(Robert E Schmidt MD)
Unmyelinated axons Surrounded by Schwann cells
|
Small axons in Clusters
Several are often surrounded by processes from single Schwann cell
Singletons
Small, unmyelinated axons: After axon loss
Singletons: 1 axon/Schwann cell
Nerve (Sural): Schwann cells, Non-myelinating

NCAM1 stain
|
Neural Cell Adhesion Molecule (NCAM1)
NCAM is abundant in non-myelinating (Remak) Schwann cells that surround Unmyelinated axons
NCAM is also present in
Adaxonal Schwann cell cytoplasm around myelinated axons
Myelin sheaths of some larger axons
Myelinated axons: Are generally smaller than in the more proximal sciatic nerve

NCAM stain
|

Neurofilament stain (Green)
NCAM stain (Red)
Overlap (Yellow)
|
NCAM in Non-myelinating Schwann cells
Surrounds most small unmyelinated axons (Yellow)
Not present around large, myelinated axons (Green)
May occur in the center of larger axons (Yellow)
See:
Loss of small axons

Neurofilament stain (Green)
NCAM stain (Red)
Overlap (Yellow)
|
NCAM & P0
Normal: Mostly present in different endoneurial cells
NCAM
Non-myelinating Schwann cells (Green)
Small amounts in non-compacted areas of myelinating Schwann cell cytoplasm (Yellow)
P0: Myelin & Myelinating Schwann cell cytoplasm (Red)
Schwann Cell Pathology
Büngner bands: NCAM & P0 present in same Schwann cells
Onion bulbs

NCAM stain (Green)
p0 stain (Red)
|
NCAM & MBP
Normal: Mostly present in different endoneurial cells
NCAM
Non-myelinating Schwann cells (Green)
Small amounts in non-compacted areas of myelinating Schwann cell cytoplasm (Yellow)
MBP: In Myelin surrounding larger axons (Red)

NCAM stain (Green)
MBP stain (Red)
Epineurial vessels & Supporting cells in endoneurium

ATPase pH 4.3 stain
|
Epineurial Vessels

VvG stain
|
Epineurial vessels: Normal
Artery (Black arrow): Linear fibrils near lumen; Thick wall
Vein (White arrow): Interlaced, thin fibrils around outside of vessel; Thin wall

Toluidine blue stain
|

Gomori trichrome stain
|
Myelinated axons: Normal numbers
Epineurial vessels
Intermediate-size & Small
Alkaline phosphatase: Stains endothelium in some epineurial and endoneurial vessels

Alkaline phosphatase stain
|

Congo red stain
|

Electron micrographs (Robert E Schmidt MD)
Nodes of Ranvier
- Non-myelinated axon segment
between 2 myelin internodes
- Anatomy
- Axon at node
- Diameter: Reduced
- Organelle density
- Length: ~ 1 μm
- Schwann cells
- Loops around axon
- No myelin
|
|

Electron micrographs (Robert E Schmidt MD)
|

From: R Schmidt
|
Schmidt-Lanterman Cleft: Extends through myelin from inside to outside

From: R Schmidt
|
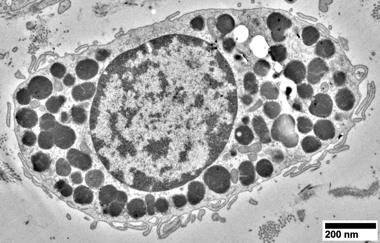
Pi (Reich) Granules

Electron micrograph (Robert E Schmidt MD)
|
Pi Granules
Location
Schwann cells
Myelinating, or
Empty
Subcellular
Often adjacent to nucleus
Some near paranode
Staining
Metachromatic: Toluidine blue, Hirsch–Peiffer & Methylene blue stains
Frozen sections: Acid phosphatase, Sudan black & PAS
Size: 1 μM
Structure: Lamellar; 5 nm periodicity
Age
More common in older patients
Not present < 8 years of age
Disease associations
Non-specific
Not present in recently remyelinated axons
|
|
Pi granules: Few or many in cytoplasm of myelinating Schwann cells

From R Schmidt
|
Elzholz body
- Location: Schwann cell cytoplasm
- Structure: Round; Myelin-like periodicity
- Composition: Lipid
- Cause: ? Myelin remodeling
Mast cells
Mast cell from muscle
Myelin & Schwann cells: Sural nerve

Neurofilament stain (Green)
P0 stain (Red)
|
P0 (Red)
Prominent in myelin around most (large & small) myelinated axons
Smallest axons (Green), often in clusters, have no myelin or associated P0 staining

Neurofilament stain (Green)
P0 stain (Red)
|

Neurofilament stain (Green)
Myelin basic protein stain (Red)
|
Myelin basic protein (MBP) in Myelin (Red)
Most prominent in myelin around largest myelinated axons
In myelin around fewer axons than P0

Neurofilament stain (Green)
Myelin basic protein stain (Red)
|
Non-myelinating Schwann cells
Nerve: Sciatic

Neurofilament stain
|
Large & small axons: Non-uniform distribution within a fascicle

Neurofilament stain
|
Large & small axons: Non-uniform distribution among fascicles

Neurofilament stain
|
Regions with varied numbers of large & small axons

Neurofilament stain
|

Neurofilament stain
|

Neurofilament stain
|

Neurofilament stain
|
Non-myelinating Schwann cells

NCAM1 stain
|
Regions have varied numbers and distributions of NCAM+ Schwann cells

NCAM1 stain
|

NCAM1 stain
|
Regions with varied numbers of NCAM+ Schwann cells

NCAM1 stain
|

Neurofilament stain (Green)
P0 stain (Red)
|
P0 (Red)
Prominent in myelin around most (large & small) myelinated axons
Smallest axons (Green), often in clusters, have no myelin or associated P0 staining

Neurofilament stain (Green)
P0 stain (Red)
|
Myelin basic protein (MBP) (Red)
Most prominent in myelin around largest myelinated axons

Neurofilament stain (Green)
Myelin basic protein stain (Red)
|
P0 vs Myelin Basic Protein (MBP) in Myelin

P0 stain (Green)
Myelin basic protein stain (Red)
|
P0 protein
Associated with large & small axons
More around periphery of myelin sheath
Myelin basic protein
Mainly associated with largest axons
More toward inside of myelin sheath

P0 stain (Green)
Myelin basic protein stain (Red)
|
Nerve: Infraorbital (Branch of Trigeminal)

H&E stain
|
Myelinated Axons: Abundant all through endoneurium

Gomori trichrome stain
|

VvG stain
|
Myelinated Axons: Abundant all through endoneurium

H&E stain
|

Gomori trichrome stain
|

Acid phosphatase stain
|
Infraorbital Nerve
Acid phosphatase positive cells scattered in endoneurium (Above)
Alkaline phosphatase positive vessels: Few in endoneurium (Below)

Alkaline phosphatase stain
|
ATPase activity: Abundant in endoneurial cells

ATPase pH 4.3 stain
|
Infraorbital Nerve
Larger myelinated axons: Many
Small unmyelinated axons: Fewer than in sural nerve

Neurofilament stain
|

NCAM stain
|
Infraorbital Nerve
Non-myelinating (Remak) Schwann cells : Fewer than in sural nerve

NCAM stain
|
NCAM: Present in Schwann cells
Non-myelinating (Remak) Schwann cells
Myelinating Schwann cells: Adaxonal & Abaxonal cytoplasm

NCAM stain
|
Infraorbital Nerve
Larger myelinated axons (Green): No associated NCAM; Many
Small unmyelinated axons (Yellow): Fewer than in sural nerve

Neurofilament stain (Green)
NCAM stain (Red)
|
Infraorbital Nerve: P0 (Red)
Prominent in myelin (Red) around most (large & small) myelinated axons
Smallest axons (Green) have no myelin or associated P0 staining

Neurofilament stain (Green)
P0 stain (Red)
|
Infraorbital Nerve
Myelin basic protein (MBP) is markedly reduced
in myelin around axons compared to sural nerve

Neurofilament stain (Green)
Myelin basic protein stain (Red)
|

P0 stain (Green)
Myelin basic protein stain (Red)
|

VvG stain
|

Toluidine blue stained plastic sections
|
Nerves from Infants
Axons are mildly small
Myelin sheaths around large axons are moderately thin
Compare to: Adult

Toluidine blue stained plastic sections
|

Nerve from neonate
Few axons are myelinated.
Fibroblasts are prominent.
|
Normal nerve: Mouse
Axon populations: 3
Myelinated, Large
Myelinated, Small
Unmyelinated

From: RE Schmidt
|
Return to
Biopsy illustrations
Return to
Neuromuscular Home Page
Return to
Nerve biopsy
References
1. Exp Neurol 2020 Mar 3;328:113272
2. Muscle Nerve 2023;68:696-713
12/10/2025
|