Small Vessel Pathology
2
Capillaries: Muscle
Endoneurial Microvessels: Nerve
Capillaries
|
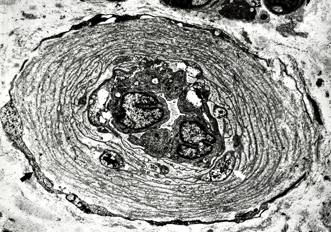
Endomysial Capillary: Normal
Lumen: Contains RBC
Inner region: Endothelial cell processes
Outer region (Wall): Connective tissue, Single, thin, homogneous layer
|
ENDOMYSIAL CAPILLARIES
Capillary
Endothelium
Cells = E: Lumenal side of vessel wall
Vessel Wall
Pericytes = P
Number: None to Several
Location: Within capillary wall, outside of endothelial cell processes
Structure: Cell body & processes often surrounded by basal lamina that extends within capillary wall
Basal lamina: 1 to 3 Thin layers around outside of capillary
Collagen fibrils
Orientations
Longitudinal: Seen as punctate in cross section, or
Circumferential: Seen as thin fibrils
Size: Smaller than endoneurial or endomysial collagen fibrils
Likely molecular composition: Collagen IV
Fibroblasts: Processes may surround vessel wall
Capillary Structure: Components
Capillary wall
Surrounds endothelial cell layer
Structure: May be homogeneous or layered
Contains
Pericytes (P) & Pericyte processes
Connective tissue
Basal Lamina
Collagen fibrils & other molecules: Components
Collagen IV
Laminin
Glycoproteins: Fibronectin, Nidogen-1, Nidogen-2 (Entactin)
Proteoglycans (as HSPG): Perlecan, Agrin
Thickening: Differential diagnosis
Fibroblasts
Processes may surround capillary wall
Marker: Vimentin
|
Endothelial cells (E)
Surround lumen
Stains: Ulex Europaeus Agglutinin I (UEAI); CD31
Other markers: ADGRF5, BTNL9, Glycolipids (VWF; LDL-C R), Endothelin-1, eNOS
Pericytes (P)
5
Location: Within basal lamina of vessel wall
Contractile
Frequency vs Endothelial cells: 1:10 to 1:100
Origins
Skeletal muscle: Mesoderm
Brain: Ectoderm-derived neural crest
Markers: PDGRFβ; NG2, VEGF, Desmin, KCNJ8, ABCC9, CD13, mAb(3G5), Gelsolin, Igkv8-30
Smooth muscle
Markers: Smooth muscle actin (SMA); PDGRFβ, CD13, NG2, CD146, Desmin, Gelsolin (Not in skeletal muscle)
4
More prominent in post capillary venules
Histiocytes
Markers: CD68, CD163, CD206, LYVE1, F4/80, HAM56, Acid phosphatase
|
Muscle Capillaries: Features
Anatomy
- Adult: Normal
- Numbers: All muscle fibers have adjacent capillaries
- Orientation: Capillaries usually run along length of muscle fibers
- Child (< 2 years)
- Numbers: Many muscle fibers have no adjacent capillary
Plasticity
- Increased Capillary Numbers
- Muscle activity: Exercise; Electrical stimulation
- Denervation
- Anti-angiogenic thrombospondin-1 (TSP-1): Deletion
- Reduced Capillary Numbers
Endomysial Capillary Features: Stain & Molecular Analysis
Endothelial Cells |
Basement Membrane |
Immune |
H&E: Morphology
Ulex: Distribution;
#; Size; Stain intensity
ATPase pH 4.3: #+
Alkaline phosphatase: #+
NADH: + or -
EM: Tubuloreticular aggregates
Other markers: VWF, BTNL9, ADGRF5
|
Morphology
H&E
GT/VvG
Ultrastructure
Molecular
Decorin/Col IV
PAS: + or -
Pericytes
PDGFRβ
|
Humoral
C5b-9
Cellular
Acid phosphatase
HAM56
Cell involvement
Muscle: MHC I
Capillary: MxA
|
Endomysial Capillaries: Normal

UEA I stain
|
Endomysial capillaries: Normal
Normal number: Every muscle fiber has at least one adjacent capillary
Orientation: Run parallel to muscle fiber length; Cut in cross-section

UEA I stain
|
All muscle fibers have at least one adjacent capillary

UEA I stain
|
There are few or no capillaries immediately adjacent to the perimysium

UEA I stain
|
Endomysial Capillaries: Reduced numbers
Some muscle fibers have no adjacent capillary

UEA I stain
|
Endomysial Capillaries: Partial Denervation

UEA I stain
|
Endomysial capillaries
Orientation: Abnormal; May be circumferential around muscle fibers (Above) cut in cross-section
Number: Increased; Every muscle fiber has several adjacent capillaries

UEA I stain
|
Endomysial capillaries
Orientation: Normal
Number: Reduced or absent Endothelium (Ulex stain) in regions with small muscle fibers (Arrow)
Endothelium is lost but
basal lamina is still present
& may have
C5b-9 deposition
Size: Increased in regions neighboring muscle fiber atrophy

UEA I stain
|
Endomysial Capillaries: Enlarged

UEA I stain
|

UEA I stain
|
Patient history: Cardiac failure & Interstitial lung disease
Muscle: Endomysial Capillary Vasculopathy
Muscle:
C5b-9 Deposits On Endomysial capillaries
Microvasculopathy
|
Control Muscle
|
Microvasculopathy: C
5b-9 Deposits on many endomysial capillaries
Muscle (Endomysial) Capillaries: Ultrastructure

From: R Schmidt
|
Endomysial Capillaries: Normal
Lumen: Patent
Endothelial cell processes
Form inner layers of capillary wall
Cytoplasm often contains small vesicles
Outer Wall: Surrounds endothelial cells & their processes
Pericyte processess (White arrow)
Basal lamina (Black arrow)
Mostly Single layer
Thicker than muscle basal lamina (Right & Bottom Right)
Endomysial Capillary: Normal
Lumen: Patent; Contains erythrocyte
Endothelial cell processes: Form inner layer of capillary wall
Pericyte: Not visible
Basal lamina (White arrow): Thin
Nucleus (Large; Upper right): Probably a muscle fiber nucleus
Endomysial Capillary: Normal
Lumen: Patent
Endothelial cell processes: Form inner layer of capillary wall
Pericyte: Not visible
Basal lamina (White arrow): Thin
Nucleus (Large): Neighbors capillary; May be a resident histiocyte
Endomysial Capillary: Basal lamina thick & homogeneous
Lumen: Patent
Endothelial cell processes: Form inner layer of capillary wall; Vesicles in cytoplasm
Basal lamina: Thick, Homogeneous; Contains a few small cell processes
Endomysial Capillary: Basal lamina thick & homogeneous
Lumen: Patent
Endothelial cell processes: Form inner layer of capillary wall; Vesicles in cytoplasm
Basal lamina: Thick, Homogeneous; Contains a few small cell processes
Endomysial Capillary: Basal lamina thick & homogeneous
Lumen: Patent
Endothelial cell processes: Form inner layer of capillary wall; Vesicles in cytoplasm
Basal lamina: Thick, Homogeneous; Contains a few small cell processes
Endomysial Capillary: Basal lamina thick & homogeneous
Lumen: Patent
Endothelial cell processes: Form inner layers of capillary wall
Basal lamina
Width: Thick
Structure: Homogeneous
Contains a few small cell processes
Outer edge: Irregular

From Robert E Schmidt
|
Endomysial Capillary in Muscle
Lumen: Contains erythrocyte
Endothelial cell: contains large nucleus
Basal lamina: Mildly thick: Outer edge irregular
Endomysial Capillaries: Thick walls with Multilayered structure
Lumen: Patent; May contain erythrocyte (Above)
Endothelial cell processes: Thick; Form inner layers of capillary wall
Pericyte processes: Present within basal lamina layers
Basal lamina
Width: Thick
Structure: Multilayered; Varied around vessel circumference
Contains pericyte processes
Outer edge: Irregular
Fibrocyte processes (Arrows): Neighbor outer edge of capillary

From: R Schmidt
|
Also see:
Systemic sclerosis, Endomysial capillaries
Endomysial Capillary
Lumen: Present
Endothelial cell processes: Contain multiple small vacuoles
Wall: Thick; Homogeneous; Contains 2 or 3 pericytes
Neighboring macrophage (Below; Arrow)

From: R Schmidt
|
- Microvessel Properties
- Orientation
- Along nerve length
- Many oblique & transverse anastomoses
- Density
- 60 to 100/mm2
- Some reduction with increased age
- Sizes
- Larger than capillaries in other tissues
- Normal range: 5 to 22 μm; Mean 9 μm;
- May stain for
- Alkaline phosphatase
- UEAI lectin: Endothelial cells
- Scaffolding proteins: Link endothelial cell membranes to cytoplasmic components
- ZO-1 (TJP1)
- CLDN5
- Microvessel Components
3
- Endothelial cells
- Number: ~ 4 to 5 per vessel cross-section
- Location: Single layer next to vessel lumen
- Borders
- Linked by: Tight junctions; Claudins & Adhesion molecules
- Component of: Blood-Nerve barrier
- No fenestrae
- Contain
- Weibel-Palade bodies: ? Produce Factor VIII-related antigen
- Pinocytotic vesicles
- Surrounded by: Pericytes & Basal lamina connective tissue
- Molecular
- Vessel specific (Endoneurial & Epineurial)
- CLDN5
- ESAM
- MPDZ
- CDH6: Adherens junctions; Large axons
- Specific for Endoneurial Microvessels
- Basement Membrane
- Composed of: Layers of
- Collagen
- Connective tissue
- Pericyte processes
- Pericytes
- Locations: May reside within basal lamina or around microvessel
- Processes: May neighbor, or surround, peripheral sides of endothelial cells
- May be: Resident histiocytes
- Smooth Muscle: Not generally present
- Blood-Nerve Barrier
Pathology & Ultrastructure

H&E stain
Endoneurial Microvessel (Arrow)
Orientation: Along length of nerve
|
Endoneurial Microvessel Walls
Endothelial cells: Toward lumen
Pericytes (Arrows): Within, or outside, microvessel wall (Basal lamina)

Toluidine blue stain
|
Endoneurial Microvessels: Near Normal
Endoneurial Microvessels
Lumen: Filled with RBCs
Endothelial cell with nucleus (Black arrow)
Neighbored around lumen by Endothelial cell processes
Pericyte (Gray arrow)
Endoneurial Microvessel: Surrounded by Pericyte processes
Endoneurial Microvessel
Lumen: Filled with RBC
Endothelial cell with nucleus
Neighbored around lumen by other Endothelial cell processes
Pericytes
Surround microvessel
Basal lamina: Surrounds microvessel & pericytes
Endoneurial Microvessel: Surrounded by Pericyte processes
Endoneurial Microvessel
Lumen: Contains 1 RBC
Endothelial cells: 2 nuclei are present
Neighbored around lumen by other Endothelial cell processes
Pericyte processes
Surround microvessel
Endoneurial Microvessels: "Closed"; Lumen is filled by endothelial cell processes
Endoneurial Microvessel, "Closed"
Lumen: None; Region is filled by endothelial cell processes
Endothelial cells: 1 nucleus is present
Neighbored in lumen by Endothelial cell processes
Pericyte processes: Surround endothelial cell processes
Basal lamina: Few thin layers of connective tissue incompletely surround vessel
Also see: HIEM
Endoneurial Microvessel, "Closed"
Lumen: None; Region is filled by endothelial cell processes
Endothelial cells: 1 nucleus is present
Pericyte processes: Surround endothelial cell processes
Basal lamina: Increased layers of connective tissue surround vessel
Endoneurial Microvessel, "Closed"; Surrounding cells
Lumen: None; Region is filled by endothelial cell processes
Endothelial cells: 2 nuclei are present
Pericyte processes: Surround endothelial cell processes
Basal lamina: Few thin layers of connective tissue incompletely surround vessel
Surounding cells: Increased cellularity aroound endoneurial microvessel
Endoneurial Microvessel Endothelium: Increased numbers & processes of endothelial cells
Lumen: Present
Endothelial cells & processes: Multiple
Pericyte processes: Surround endothelial cells
Basal lamina: Layers of connective tissue around vessel moderately increased
Disease: HIEM
Endomysial Capillaries & Endoneurial Microvessels: Thick Walls
Endoneurial Microvessel Wall
Thick
Basal Lamina: Multiple layers
Pericyte process (White arrow): Inner region of capillary wall
Endothelial cells: Center of vessel
Lumen: Small
Surrounded by: Fibroblast process (Dark arrow)
Capillary Walls Thick: Differential diagnosis
1
|
Endoneurial Microvessel: Thick Basal Lamina with Damaged Layers
Lumen: Present
Endothelial cells & processes: Present
Pericyte processes: Surround endothelial cell layer
Basal lamina
Connective tissue layers: Increased, Damaged
Similar to: HIEM
Patient Clinical: No diabetes, Motor-sensory axonal PN
Similar to: HIEM pathology
Endoneurial Microvessel: Thick Basal Lamina
Lumen: Present
Endothelial cells & processes: Present
Pericyte processes: Surround endothelial cell layer
Basal lamina: Increased connective tissue layers
Patient Clinical: No diabetes, Motor-sensory axonal PN

From: Chunyu Cai
Endoneurial microvessel (Diabetes)
Basal lamina: Thick; Multilayered (Arrow)
Endothelial cell: Dark-stained cytoplasm
|

Ultrastructure: From Robert E Schmidt
Diabetes
Endoneurial Microvessel
Basal lamina: Thick Contains: Multiple thin layers
|
Endoneurial Microvessel: Basal Lamina Fragmentation (HIEM)
Endoneurial Microvessel
Basal lamina: Rarified & Wide, especially outer layers
Lumen: Present
Endothelial cells & processes: Present
Pericyte processes: Not prominent
Basal lamina (Arrow)
Layers of connective tissue around vessel: Moderately increased
Outer layers of connective tissue: Pale & Disorganized
Endoneurial Microvessel: Basal Lamina Disorganized (HIEM)
Endoneurial Microvessel
Basal lamina: Rarified & Wide, especially outer layers
Lumen: Present
Endothelial cells & processes: Present
Pericyte processes: Not prominent
Basal lamina (Arrow)
Layers of connective tissue around vessel: Moderately increased
Outer layers of connective tissue: Pale & Disorganized
|
Endoneurial microvessels
Basal lamina: Thick; Homogeneous (Arrows)
|
Endoneurial microvessel Basal lamina: Normal (Arrow)
|
Endoneurial Microvessels: Walls have varied thickness
Humoral Immune Endoneurial Microvasculopathy (HIEM)
28
Associated Clinical Syndrome
- Confluent Asymmetric Neuropathy (HIEM)

C5b-9 stain
HIEM Nerve
C5b-9 Stains Most Endoneurial Microvessels
|
Disease Control Nerve
C5b-9 Stains Perineurium & Epineurial vessels but not Endoneurial microvessels

C5b-9 stain
|
HIEM Nerve
C5b-9 Stains Endoneurial Microvessels

C5b-9 stain
|

C5b-9 stain
|
Endoneurial Microvasculopathy
HIEM: C5b-9 stains Endoneurial microvessels
C5b-9 stain
|
Disease Control Nerve
C5b-9 does not stain Endoneurial microvessels

C5b-9 stain
|

C5b-9 (Green) + UEAI (Red) stain
|
HIEM: C5b-9 stain (Green) around Endoneurial Microvessel endothelium (Red)

C5b-9 (Green) + UEAI (Red) stain
|

C5b-9 (Green) + UEAI (Red) stain
|

Toluidine blue stain
|
Endoneurial Microvessel Pathology
Vessel size: Normal or Large
Vessel wall: Thick
Endothelial cells: Large
Basal lamina: Multi-layered; Fragmented
See: Ultrastructure

Toluidine blue stain
|
HIEM: Endoneurial Microvessel Ultrastructural Pathology
Endoneurial Microvessel
Basal lamina: Fragmented, Rarified & Wide, especially outer layers
Lumen: Present
Endothelial cells & processes: Present
Pericyte processes: Not prominent
Basal lamina (Arrow)
Layers of connective tissue around vessel: Moderately increased
Outer layers of connective tissue: Pale & Disorganized
Endoneurial Microvessel
Basal lamina: Fragmented, Rarified & Wide, especially outer layers
Lumen: Present
Endothelial cells & processes: Present
Pericyte processes: Not prominent
Basal lamina (Arrow)
Layers of connective tissue around vessel: Moderately increased
Outer layers of connective tissue: Pale & Disorganized
Endoneurial Microvessel
Basal lamina: Rarified & Wide, especially outer layers
Lumen: Absent; Filled by endothelial cell processes
Endothelial cells & processes: Present
Pericyte processes: Not prominent
Basal lamina (Arrow)
Layers of connective tissue around vessel: Moderately increased
Outer layers of connective tissue: Pale & Disorganized

From R Schmidt
|
HIEM Microvessel
Endothelial cells: Multiple, Large
Pericyte: Processes surround microvessel
Basal lamina: Disorganized around outside of vessel

From R Schmidt
|
HIEM Microvessel
"Closed": No lumen
Endothelial cells: Multiple, Large
Pericyte (Arrow): Process partially surrounds microvessel
Basal lamina: Connective tissue layers surround most of the vessel
HIEM: Nerve anatomic pathology

H&E stain
HIEM nerve: No lymphocytic inflammation
|

VvG stain
|
HIEM: Differential fascicular involvement
Myelinated axon loss: Varied (Above)
Endoneurial ATPase stain: Varied (Below)

ATPase pH 4.3 stain
|

Toluidine blue stain
|
HIEM sural nerve
Moderate loss of large & small myelinated axons
Regeneration: Clusters of small myelinated axons
Endoneurial microvessels
Basal lamina: Thick
Endothelial cells: Large

Toluidine blue stain
|

Toluidine blue stain
|
HIEM sural nerve
Large & small myelinated axons: Severe loss (Above)
Small unmyelinated axons: Relatively preserved (Below)

Neurofilament stain
|
Control sural nerve
Large & Small axons are present

Neurofilament stain
|
Go to Moderate & large vessel vasculitis
Return to
Neuromuscular Home Page
Return to
Vasculitis
References
1. Acta Neuropathol 2000;100:445-450
2. Am J Physiol Heart Circ Physiol 2016 Jul 1
3. J Peripher Nerv Syst 2019;24:195-206
4. Sci Rep 2025;15:28874
5. Oxid Med Cell Longev 2010;3:290-303,
Sci Rep 2025;15:28874
1/9/2026