Capillary Pathology: Muscle
Capillary Pathology with Minimal Myopathy:
Systemic Sclerosis
1 & Other
Clinical associations
- Muscle
- Less weakness
- Serum CK: High but lower than myopathy patients
- Systemic: Less frequent
- Pulmonary: Interstitial lung disease; Arterial hypertension
- Renal crises
- Skin: Diffuse involvement
Pathology: Endomysial Capillaries
- Histochemistry
- Ultrastructure
- Basement membrane: Thick & Reduplicated
- Endothelium: Activation
- Pericytes (PDGFR-β stain): Proliferation
Capillary Features: Stain Analysis
| Basal Lamina |
Endothelium |
Immune |
Morphology
H&E
GT/VvG
Ultrastructure
Molecular
Decorin/Col IV
PAS: + or -
Pericytes
PDGFRβ
|
H&E: Morphology
Ulex: Distribution;
#; Size; Stain intensity
ATPase pH 4.3: #+
Alkaline phosphatase: #+
NADH: + or -
|
Humoral
C5b-9
Cellular
Acid phosphatase
HAM56
Cell involvement
Muscle: MHC I
Capillary: MxA
|
Systemic Immune Disorders: Capillary ± Muscle Pathology
SLE
Patient Features
38 yo female
Clinical diagnoses:
Systemic Lupus Erythematosis; ILD
Serum Antibodies: Ro52; ANA 1:640, Speckled; ± NT5C1a, PL-12 & MGT-30
Treatment: Prednisone
Capillary pathology
Morphology: Basal lamina mildly to moderately thick
Basal lamina: PAS+; Decorin mildly thick
Endothelium: Ulex large & reduced #; Alkaline phosphatase -; ATPase +; NADH ++
Immune: C
5b-9 scattered capillaries; MxA & Acid phosphatase cells
Muscle: MHC1+
Endomysial Capillaries: Morphology

H&E stain
|
Endomysial Capillaries (Arrow)
Moderately enlarged
Muscle fibers
Fiber sizes: Moderately varied

H&E stain
|

Gomori trichrome stain
|
Endomysial Capillaries
Moderately enlarged
Some have thick basal lamina

Gomori trichrome stain
|
Endomysial Capillaries
Moderately enlarged

Congo red stain
|

VvG stain
|
Endomysial Capillaries: Basal lamina
PAS stains capillary basal lamina

PAS stain
|

Decorin stain
|
Endomysial Capillaries
Moderately enlarged
Basal lamina: Commonly thick

Decorin stain
|
Endomysial capillaries: Endothelium

UEA I stain
|

Alkaline phosphatase phosphatase stain
|

ATPase pH 4.3 stain
|
Endomysial Capillaries
ATPase positive (Arrow)

ATPase pH 4.3 stain
|

NADH stain
|
Endomysial Capillaries
NADH positive

NADH stain
|

NADH stain
|
Endomysial Capillaries: Immune

C5b-9 stain
|

MxA stain
|
MxA
Stains cells in & around endomysial capillary walls

MxA stain
|

Acid phosphatase stain
|
Endomysial Capillaries: Immune
Acid phosphatase: Stains cells in & around (Arrows) endomysial capillary walls

Acid phosphatase stain
|
Histiocyte neighbors Endomysial capillary
Muscle fiber pathology
MHC I up regulated on muscle fibers

MHC Class I stain
|
Patient features
52 yo female
Clinical diagnosis:
Systemic Sclerosis; ILD
Serum Antibodies: ANA 1:1280, Speckled; Ro52; AChR binding
Capillary pathology
Morphology: Basal lamina very thick
Basal lamina: PAS-; Decorin dark & moderately thick
Endothelium: Ulex large & reduced #; Alkaline phosphatase -; ATPase +; NADH ++
Immune: C
5b-9 scattered capillaries; Acid phosphatase cells & endothelium
Muscle: MHC1+

H&E stain
|
Myopathy
Muscle Fiber sizes: Varied
Small, Immature fibers: Scattered
Internal nuclei: Some muscle fibers
Endomysial Capillary Pathology
Capillary sizes: Large
Capillary basal lamina: Thick
Endothelial cells: Large in enlarged capillaries

Gomori trichrome stain
|
Systemic Sclerosis
Endomysial capillaries: Large

VvG stain
|
Myopathy
Muscle Fiber sizes: Varied
Small, Immature fibers: Scattered
Endomysial Capillary Pathology
Capillary sizes: Large
Capillary basal lamina: Thick
Endothelial cells: Large in enlarged capillaries

VvG stain
|

VvG stain
|
Endomysial Capillary Pathology
Capillary sizes: Large
Capillary basal lamina: Thick
Endothelial cells: Large in enlarged capillaries

Congo red stain
|
Capillary pathology: Basal lamina

PAS stain
|

Decorin stain
|
Capillary pathology: Endothelium

UEA I stain
|
Endomysial Capillaries
Number: Reduced; Many fibers with no adjacent capillary
Endothelial cells
Location: Inside thick basal lamina
Size: Large

UEA I stain
|

UEA I stain
|
Endomysial Capillaries
Size: Often large
Endothelial cells
Stain for UEAI & MHC I
Location: Inside thick basal lamina
Size: Large
Basal lamina (Unstained): Thick

MHC I stain
|
Endomysial Capillaries
Size: Often large
Endothelial cells
Stain for MHC Class I
Enlarged inside thick basal lamina
Basal lamina (Unstained): Thick

MHC I stain
|

Alkaline phosphatase stain
|
Endomysial capillaries: Normal numbers stained

NADH stain
|
Endomysial Capillary Pathology
Capillary sizes: Large
Capillary basal lamina: Thick
Endothelial cells: Large; NADH positive

ATPase pH 4.3 stain
|
Systemic Sclerosis
Endomysial Capillaries: Large (Arrows)

ATPase pH 4.3 stain
|
Endomysial Capillaries
Endothelial cells: ATPase positive
Capillary basal lamina: Often thick around endothelial cells

ATPase pH 4.3 stain
|

ATPase pH 4.3 stain
|
C5b-9 stain: Endomysial Capillaries

C5b-9 stain
|
Endomysial Capillaries
Endothelial cells: Acid phosphatase positive

Acid phosphatase stain
|
Systemic Sclerosis: Myopathy

MHC Class I stain
|
Systemic Sclerosis: Myopathy
Muscle fibers
Varied sizes
MHC1: Patchy upregulation

MHC Class I stain
|

LC3 stain
|
Systemic Sclerosis
Clusters of muscle fibers have multiple, irregular collectons of LC3 aggregates

LC3 stain
|
Patient features
Clinical diagnosis:
Systemic Sclerosis
Serum Antibodies: ANA high; Ro; NT5C1a
Capillary pathology
Morphology: Some capillaries large
Basal lamina: PAS-; Decorin mildly thick walls
Endothelium: Ulex large; Alkaline phosphatase -; ATPase +; NADH -
Immune: C
5b-9 scattered capillaries; Acid phosphatase cells & endothelium
Muscle: MHC1+; Endomysial inflammation; Sarcoplasmic pads; Atrophy; LC3 -
Systemic Sclerosis Myopathy: Morphology

H&E stain
|
Endomysial Capillaries
Mildly large
Often diffficult to visualize
Muscle fibers
Sizes: Bimodal distribution
All fibers are small
Some fibers: Very small, Round, Large nuclei

H&E stain
|

GT stain
|
Endomysial Capillaries
Mildly large
Often diffficult to visualize
Muscle fibers
Sizes: Bimodal distribution
All fibers are small
Some fibers: Very small, Round, Large nuclei

VvG stain
|

PAS stain
|
PAS: Endomysial capillaries not well stained
Decorin: Endomysial capillaries have thick walls

Decorin stain
|

UEA I stain
|
UEA I: Endomysial capillary endothelium large vs vs control (Below)
Control

UEA I stain
|

Alkaline Phosphatase stain
|
Alkaline Phosphatase: No increase in capillary staining
ATPase pH 4.3: Stains larger endomysial capillaries

ATPase pH 4.3 stain
|

NADH stain
|
NADH
Capillaries: No prominent staining
Muscle fibers
Internal architecture: Coarse
Scattered fibers: Rings or Sarcoplasmic pads

NADH stain
|

C5b-9 stain
|

C5b-9 stain
|

Acid phosphatase stain
|

Acid phosphatase stain
|

Acid phosphatase stain
|

Esterase stain
|

MxA stain
|

MHC I stain
|

MHC I stain
|

H&E stain
|

H&E stain
|

H&E stain
|
Systemic Sclerosis
Serum Antibody: Th/To
Capillary pathology
Morphology: Capillary sizes normal to slightly large
Basal lamina: PAS-; Decorin small size, dark staining & moderately thick
Endothelium: Ulex & MHC I reduced intensity of staining; Alkaline phosphatase +; ATPase +; NADH -
Immune: C
5b-9 -; Acid phosphatase minor staining of few endomysial capillaries; MxA -
Muscle: MHC1-

H&E stain
|
Systemic sclerosis, Th/To antibody
Muscle fibers: Scattered intermediate sized fibers
Capillaries: Normal to Mildly large sizes

H&E stain
|
Systemic sclerosis + Th/To: Basal Lamina

PAS stain
|
Capillary Basal lamina: No PAS staining

Decorin stain
Capillary Basal lamina: Small size endomysial capillaries with mildly thick, dark-stained walls
|
Systemic sclerosis + Th/To: Endomysial Capillary Endothelium

UEA I stain
|
Endothelium: Reduced intensity of UEA I staining (Above) compared to control (Below)

UEA I stain
|

MHC Class I stain
|
Capillaries: Very pale staining for MHC Class I (Above) compared to controls (Below)
Muscle: No upregulation of MHC class I

MHC Class I stain
|

Alkaline phosphatase stain
|
Endomysial capillaries: Increased # stained by alkaline phosphatase

>Alkaline phosphatase stain
|

ATPase pH 4.3 stain
|
Endomysial capillaries: Increased # stained by ATPase pH 4.3

NADH stain
|
Endomysial capillaries: No staining by NADH
Systemic sclerosis + Th/To: Immune

Acid phosphatase stain
|
Endomysial capillaries: Mild staining of a few endomysial capillaries by acid phosphatase

Acid phosphatase stain
|

MxA stain
|
Systemic Sclerosis
Serum Antibody: RUV B1/2
Capillary pathology
Morphology: Capillary sizes mildly large
Basal lamina: PAS-; Decorin capillaries moderately thick wall, Normal size to slightly large
Endothelium: Ulex mildly large capillaries; Alkaline phosphatase -; ATPase +- few capillaries; NADH mild +
Immune: C
5b-9 no capillary staining; Acid phosphatase +; MxA +-
Muscle: MHC1-; C
5b-9 on endomysium; UEA I on muscle fiber surfaces
Systemic Sclerosis + RUV B1/2: Morphology

H&E stain
|

H&E stain
|

Gomori trichrome stain
|

VvG stain
|
Systemic Sclerosis + RUV B1/2: Endomysial Capillary Basal Lamina

PAS stain
|
Endomysial capillaries: No PAS staining

Decorin stain
|
Endomysial capillaries: Decorin thick walls; Smaller sizes
Systemic Sclerosis + RUV B1/2: Capillary endothelium

UEA I stain
|
Endomysial capillary endothelium: UEA I stain
Moderately large sizes
Borderline reduced #: Scattered small muscle fibers with no associated capillary
Muscle fibers: UEA I stain on fiber surfaces

UEA I stain
|

MHC class I stain
|
Endomysial capillary endothelium: MHC I stain
Pale (Above) compared to
Control (Below)
Muscle fibers: Mostly Normal

MHC class I stain
|

Alkaline phosphatase stain
|
Endomysial capillaries: Normal stain

ATPase pH 4.3 stain
|
Endomysial capillaries: Minor scattered staining

NADH stain
|
Endomysial capillaries: Mild staining of most vessels
Systemic Sclerosis + RUV B1/2: Immune features

C5b-9 stain
|
C
5b-9
Endomysial capillaries: No staining
Muscle fiber surface membranes: Patchy beaded staining

Acid phosphatase stain
|
Acid phosphatase
Stains capillary endothelial cells & few neighboring histiocytes

MxA stain
|
MxA
Stains capillary endothelial cells & few neighboring histiocytes
CREST
Patient 1 features
75 yo female
Clinical Diagnosis:
CREST
Serum antibodies: Ro-52; Tif1γ; NT5C1a
Capillary pathology
Morphology: Basal lamina normal; Lymphocytes surround small vessels
Basal lamina: PAS+; Decorin small size, dark staining & moderately thick
Endothelium: Ulex large & reduced #; Alkaline phosphatase +; ATPase +; NADH -
Immune: C
5b-9 most capillaries; Acid phosphatase cells & endothelium, scattered; MxA +
Muscle: MHC1+
CREST: Endomysial Capillary Morphology

H&E stain
|
Endomysial capillaries
Morphology: Normal to Slightly large size
Lymphocytes: Surround a small vessel

H&E stain
|

Gomori trichrome stain
|
CREST: Endomysial Capillary Basal Lamina

PAS stain
|
Basal Lamina
PAS: Mild staining

Decorin stain
|
Basal Lamina
Decorin: Dark stained walls
CREST: Endomysial Capillary Endothelium

UEA I (Ulex) stain
|
Capillaries
Reduced numbers: Many muscle fibers have no adjacent capillary

Alkaline phosphatase stain
|
Endomysial Capillaries
Alkaline phosphatase stain: Increased numbers, especially large capillaries, are positive (Above)
ATPase pH 4.3 stain: Larger capillaries are positive (Below)

ATPase pH 4.3 stain
|
Endomysial Capillaries: No NADH stain

NADH stain
|
CREST capillaries: Immune
C5b-9 staining
Capillaries: Present on many endomysial capillaries
Muscle fibers: Punctate on some fiber surfaces

C5b-9 stain
|
Endomysial Capillaries
MxA stained cells are present near endomysial capillaries & in perimysium

MxA stain
|
Endomysial Capillaries
Endothelial cells & some surrounding cells: Acid phosphatase positive

Acid phosphatase stain
|
CREST: Muscle fibers

MHC Class I stain
|
CREST: Myopathy
Muscle fibers
Varied sizes
MHC1: Patchy upregulation, especially by fibers with
Small size
Location near perimysium
Capillaries: Reduced numbers in some regions

MHC Class I stain
|
CREST
Patient 2 features
30 yo Male
Clinical Diagnosis:
CREST
Serum antibodies: Sm; ANA 1:2560
Capillary pathology
Morphology: Basal lamina normal to mildly thick
Basal lamina: PAS +-; Decorin large, dark staining & moderately thick
Endothelium: Ulex large & reduced #; Alkaline phosphatase +; ATPase +; NADH -
Immune: C
5b-9 few capillaries; Acid phosphatase cells & endothelium, scattered; MxA ++
Muscle: MHC1 -

H&E stain
|
Endomysial capillaries
Morphology
Size: Large
Basal lamina: Mildly thick

H&E stain
|

Gomori trichrome stain
|
Endomysial capillaries
Morphology
Size: Large
Basal lamina: Mildly thick

VvG stain
|
CREST: Endomysial Capillary Basal Lamina

PAS stain
|
Basal Lamina
PAS: Mild staining of larger vessels

Decorin stain
|
Basal Lamina
Decorin: Dark stained walls; Large size

Decorin stain
|

UEA1 stain
|
Capillaries
Reduced numbers
Many muscle fibers have no adjacent capillary

UEA1 stain
|
Capillaries (Control)
All muscle fibers have adjacent capillary
Endomysial capillary size: Mildly large

UEA1 stain
|

Alkaline phosphatase stain
|
Endomysial Capillaries
Alkaline phosphatase stain: Increased numbers, especially large capillaries, are positive (Above)
ATPase pH 4.3 stain: Larger capillaries are positive (Below)

ATPase pH 4.3 stain
|
Endomysial Capillaries: NADH stains endothelium in larger capillaries

NADH stain
|

C5b-9 stain
|
CREST capillaries: Immune
C5b-9 staining
Capillaries: Present on a few, scattered endomysial capillaries

MxA stain
|
Endomysial Capillaries
MxA stains endothelial cells & cells around endomysial capillaries

MxA stain
|

Acid phosphatase stain
|
Endomysial Capillaries
Endothelial cells & some surrounding cells: Acid phosphatase positive

Acid phosphatase stain
|
CREST: Muscle fibers

MHC Class I stain
|
MHC Class I: No staining on muscle fiber surfaces
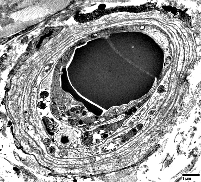
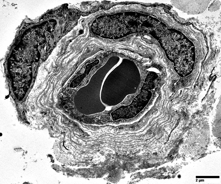
Endomysial Capillaries: Basal Lamina
Irregular increase in basal lamina layers around capillaries (Arrows)
Endomysial Capillary Walls: Multiple circumferential layers of Basal Lamina
Endomysial Capillary Basal Lamina: Multiple circumferential layers
Return to
Neuromuscular Home Page
Return to
Pathology Index
Return to
Capillary pathology
References
1.
Acta Neuropathol 2021;141:917-927
2.
Rheumatology (Oxford) 2023;62(SI):SI82-SI90,
Curr Opin Rheumatol. 2023 Aug 23
6/9/2025