Dermatomyositis with Vascular Pathology (DM-VP)
2
|
|

Br J Child Dis 1912;9:247
|
Dermatomyositis with Vascular Pathology (DM-VP): Pathogenesis & Pathology
General Principles
- 1° Causative Pathology
- Effects of vessel damage: 2° Derivative pathology
- Reduced blood flow in muscle & skin
- Chronic partial hypoxia in border-zone regions of muscle
- Muscle Pathology: Involves 3 tissues in hypoxic regions
- Muscle fibers: Perifascicular atrophy; Aggregates; Mitochondrial pathology
- Capillaries: Damaged most within regions of perifascicular atrophy
- Perimysial connective tissue: Damage
- DM Variant: Region Ischemic Immune Myopathy (RIIM)
Vessel Pathology
- Perimysial Vessels, Intermediate-sized
- Capillaries: Regionally varied pathology
- Hypoxic perifascicular border-zone region
- Intermediate zone
- Zone near damaged intermediate-sized vessels & inflammation
- Capillary morphology normal
Muscle Fiber Pathology
- Atrophic Muscle Fibers: Patterns & Features
- Location
- Border zone perifascicular regions of vascular supply
- Edge of fascicles: Near
- Fiber Morphology/Histology
- Sizes: Small
- Shapes: Oval
- Internal architecture
- Nuclei: Large; Commonly internal
- Fiber types: Many 2C
- Molecular: Especially perifascicular
- Necrosis: Uncommon
- Larger or normal muscle fibers: In regions near perimysial vessels
Perimysial Connective Tissue
- Location: Hypoxic zone neighboring perifascicular muscle fiber atrophy
- Damage pattern: C5b-9 stain
Serum: Autoantibody Associations
Dermatomysitis with Vascular Pathology (DM-VP): Original Pathologic Description

Batten FE Br J Child Dis 1912;9:247
|
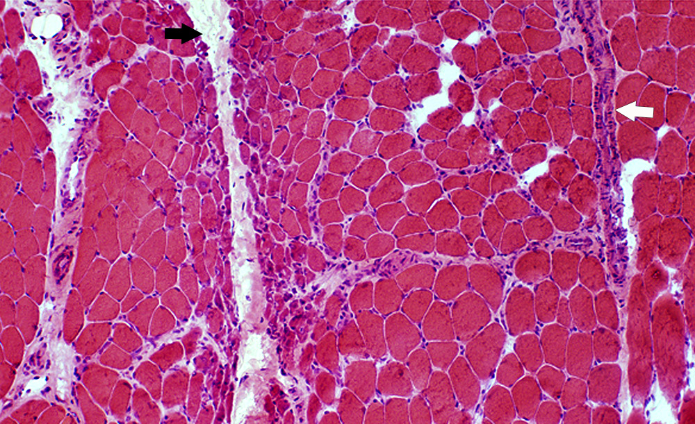
DM-VP: Perifascicular/Border-zone Muscle Fiber Smallness/Atrophy
Atrophic Muscle Fibers: Near Avascular Perimysial Connective tissue (Dark arrow) surrounding fascicle
Larger Muscle fibers: Within fascicle near intermediate sized perimysial vessels
Vessel in Vascular Perimysium: White Arrow
Molecular features
LC3 Aggregates
MHC Class I
Mitochondrial
MxA

H&E stain
|
DM-VP: Border-zone Muscle Fiber Pathology
Perifascicular Muscle Fiber Atrophy: Along Avascular Perimysium
Atrophic perifascicular muscle fibers neighbor a long region of avascular perimysium with irregular structure (Center; Dark arrow).
Normal sized muscle fibers neighbor vascular perimysium (Sides; White arrow).
Control:
Vessels & Perimysium

H&E stain
|
Vessels & Vascular Perimysium: Within fascicle, Within region containing larger muscle fibers (Dark Arrow)
Avascular Perimysium: Neighbors small muscle fibers (Top & Left)

VvG stain
|
Vessels & Vascular Perimysium: Within fascicle, Within region containing larger muscle fibers (Dark Arrow)
Avascular Perimysium: Neighbors small muscle fibers (Surrounding perimysium)

Toluidine Blue stain
|
Vessels & Vascular Perimysium: Within fascicle, Within region containing larger muscle fibers (White Arrow)
Endomysial capillaries: Abnormal ATPase staining in areas near muscle fiber atrophy
Avascular Perimysium: Neighbors small muscle fibers (Surrounding perimysium) (Dark Arrow)
Small muscle fibers near edge of fascicle: Often type 2 or 2C

ATPase pH 4.3 stain
|
Atrophic perifascicular muscle fibers neighbor long regions of avascular perimysium.

Gomori trichrome stain
|
Atrophic perifascicular muscle fibers
Neighbor a long region of avascular perimysium.
H&E stain
Atrophic perifascicular muscle fibers
Basophilic cytoplasm
Large nuclei
Some fibers have basophilic or eosinophilic aggregates

H&E stain
|
Perifascicular muscle fiber pathology
Size: Small
Cytoplasmic aggregates (Dark stained)
Internal nuclei

VvG stain
|
Perifascicular pathology: Other stains
NADH

NADH stain
Muscle fibers near avascular perimysium: Small & Stain darkly
Muscle fibers near vascular perimysium (Below, Arrow): More normal

NADH stain
|
MHC Class I
Upregulated at edges of fascicles near avascular perimysium.
Less, or no, staining, near perimysium containing larger vessels (Arrows)

MHC Class I stain
|
Muscle Fibers: Perifascicular atrophy
ATPase pH 9.4 stain: May be reduced in small perifascicular muscle fibers

ATPase pH 9.4 stain
Perifascicular atrophy is often especially obvious on ATPase stains.
Small fibers: Both types I & II.
|
Perifascicular atrophy: Toluidine blue-stained plastic sections
Muscle fibers: Atrophic in perifascicular regions; Irregular sarcolemmal membrane
Muscle fibers
Size: Atrophic
Sarcolemmal membrane: Irregular
Contain lipid droplets
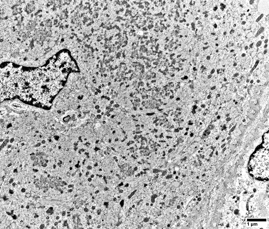
DM-VP Muscle Fibers: Sarcoplasm Ultrastructural Morphology

From: R Schmidt
|
DM-VP Muscle Fibers: Varied degrees of damage
Fibers at top left & right have marked sarcomere disorganization

From: R Schmidt
|
DM-VP Muscle Fibers: Varied degrees of damage
Muscle Fiber at bottom of images has
Sarcomeres: Marked disorganization
Mitochondria: Proliferation; Coarse cristae; Often small size
Basal lamina: Thick undulating (Compare to normal muscle fiber above)
Cytoplasmnic vacuoles: Possibly derived from Endoplasmic Reticulum

From: R Schmidt
|
Mitochondrial Pathology
The extent of the perifascicular muscle fiber pathology in active DM-VP may be more prominent on Cytochrome oxidase (COX) stain
COX is reduced in perifascicular muscle fibers
SDH is normal or increased in the same fibers
Reduced perifascicular cytochrome oxidase staining is not present in
IMPP syndromes
IMPP have a different pattern of
perifascicular muscle fiber pathology with fiber necrosis
Cytochrome Oxidase

COX stain
Muscle fibers near avascular perimysium are small & have pale COX staining
Succinate Dehydrogenase

SDH stain
Muscle fibers near the avascular perimysium are small & have normal or dark SDH staining
|
Perifascicular muscle fibers near avascular perimysium: Small; Pale COX staining, Blue (SDH) color

COX + SDH stain
|
Mildy reduced COX stain in perifascicular muscle fibers with normal size. (Arrow; Right)

COX stain
|
DM-VP Ultrastructure: Abnormal Mitochondria

From: R Schmidt
|
DM-VP
Abnormal Mitochondria
Sizes: Generally small
Cristae: Dense
Shapes: Some elongated
No filamentous inclusions
Muscle fiber morphology
Sarcomere structure is missing or abnormal

From: R Schmidt
|
Mitochondria
Many are Small & Round (Arrow, Below)
Sarcoplamic Aggregates (Below)
Small, Irregularly shaped, Amorpohous

From: R Schmidt
|
DM-VP: Endomysial capillaries
ATPase pH 4.3

ATPase pH 4.3 stain
|
Endomysial capillaries: Increased numbers stained in regions near areas of perifascicular atrophy (Arrows).

ATPase pH 4.3 stain
|

ATPase pH 4.3 stain
|
Endomysial capillaries: Increased ATPase staining
Type IIC muscle fibers (intermediate staining): Present in regions of atrophy & larger muscle fibers.
Type 1 muscle fibers: Few, or none, in regions of most severe atrophy at edge of fascicles (Above; Dark arrow).
Small muscle fibers: Located near avascular perimysium.
Fibers near intermediate-sized perimysial vessel (Below; White arrow): Larger size.

ATPase pH 4.3 stain
|
PAS

PAS stain
DM-VP: Increased glycogen staining in small perifascicular muscle fibers
1
|
Perifascicular muscle fiber atrophy: Fiber pathology
Muscle fibers in regions of perifascicular pathology: Several additional abnormalities
Vacuolar or reticulated cytoplasm (Below).
Cytochrome oxidase: Reduced stain in region of small fibers
MHC-I upregulation: Perifascicular fibers or Diffuse
Aggregates: LC3
MxA expression
Muscle fiber nuclei: Large
Muscle fiber necrosis: Rare

H&E stain
|
Vacuoles: In small & intermediate-sized muscle fibers

GT stain
|
Vacuoles: In small & intermediate-sized muscle fibers

Congo red stain
|
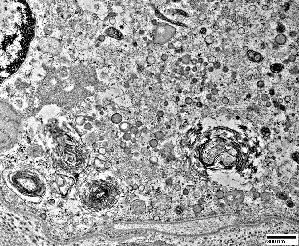
DM-VP: Muscle fiber cytoplasm may contain
Multiple small vacuoles
Membranous whorls

From: R Schmidt
|
Also see:
Secretory Autophagy
Abnormal internal architecture in dermatomyositis muscle fibers is more apparent on Gomori trichrome stains.
The abnormalities may be present in both small and large muscle fibers.
Cytoplasmic bodies may occur
Cytoplasmic bodies

GT stain
|
Autophagic Aggregates: LC-3 & Caveolin-3
Aggregates and increased cytoplasmic staining are common in perifascicular muscle fibers
with abnormal internal architecture in DM-VP.

Caveolin-3 stain
|

LC3 stain
|
LC-3 aggregates: More prominent in muscle fibers toward edge of fascicle
LC-3 aggregates: Irregular shaped in muscle fiber cytoplasm

AMPDA stain
Aggregates in the center of muscle fibers
|
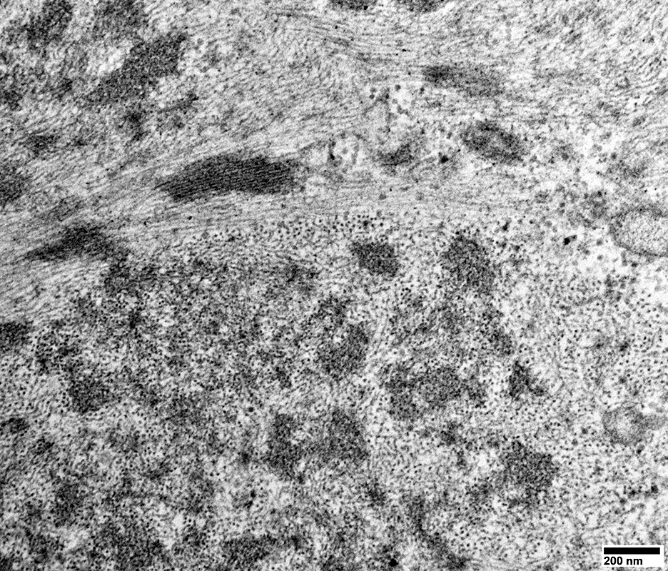
DM-VP: Aggregate Ultrastructure

From: R Schmidt
|
Muscle fiber cytoplasm contains
Aggregates: Small; Multiple; Scattered
Mitochondria: Mostly small
Few sarcomeres

From: R Schmidt
|
Aggregates in muscle fiber cytoplasm (Arrow)
Shape: Irregular
internal architecture: Punctate

From: R Schmidt
|
Dermatomyositis (DM-VP): MxA staining
DM-VP
MxA strongly stains
Perifascicular muscle fibers
Endomysial capillaries

MxA stain
|
Control Muscle
No MxA staining of: Muscle fibers or Endomysial capillaries

MxA stain
|
Dermatomyositis (DM-VP): Muscl;e Fiber Ultrastructure
Dermatomyositis (DM-VP): Inflammation
Region of muscle with
Perifascicular muscle fiber atrophy near avascular perimysium (Top)
Lymphocyte focus in vascular perimysium, near vessels

VvG stain
|
DM-VP: Mononuclear cell focus
Location
Vascular perimysium
Neighbors: Several larger perimysial vessels
Separate from atrophic perifascicular muscle fibers
Contains
Lymphocytes
Vessels: Intermediate-sized (Arrow) & small with large endothelial cells & featureless wall

H&E stain
|
Mononuclear cell inflammation: Foci
Cell types: Lymphocytes + Scattered histiocytes
Location: Vascular Perimysium
Also Contains: Intermediate-sized vessels

Congo Red stain
|
Lymphocyte foci contain: Intermediate sized vessels

VvG stain
|
Cell foci: Contain scattered histiocytes (Acid phosphatase +)

Acid phosphatase stain
|
Vessels within cell foci (Arrow)
Endothelial cells may stain for esterase

Esterase stain
|
Mononuclear cell inflammation: Foci
Cell types: Lymphocytes + Scattered histiocytes
Location
Perimysium
Distant from muscle fiber atrophy
Contain: Intermediate-sized vessels

H&E stain
|

H&E stain |
Mononuclear cell inflammation:
Stains for CD4 and, in some regions, CD20 (B-cells)
Commonly perivascular.
|

CD4 stain
|

CD20 stain
|

Congo red stain
|
Capillaries: Ulex staining of Endothelium
Lost in regions of perifascicular muscle fiber pathology

Stain: Ulex europaeus agglutinin I
Dermatomyositis: Capillaries
Capillary pathology is patchy and most prominent in perifascicular regions.
Capillary staining with Ulex lectin is often absent in regions with small perifascicular muscle fibers (Above left).
Capillaries in regions near perifascicular atrophy are often enlarged (Above right).
|

Stain: Ulex europaeus agglutinin I
|

Stain: Ulex europaeus agglutinin I
Control: Capillaries are abundant & small
CAPILLARY PATHOLOGY: Regional

Stain: Ulex europaeus agglutinin I (UEAI)
Muscle fiber atrophy (Top)
Few stained capillaries
Many muscle fibers with no adjacent capillary.
Region neighboring muscle fiber atrophy (Purlieu; Middle & Below)
Enlarged capillaries
Increased staining for alkaline phosphatase; Also see
Region distant from muscle fiber atrophy: Capillaries have nearly normal size and number
Endomysial capillaries in region neighboring muscle fiber atrophy (Purlieu):
Abnormal staining for alkaline phosphatase: Also see

Alkaline phosphatase stain
|
Alkaline Phosphatase

Enlarged capillaries (Arrows): In regions neighboring the smallest muscle fibers: Also see
Fewer capillaries stain among larger fibers or amid the smallest fibers at the edge of fascicles.

Alkaline phosphatase stain
|
Endomysial Capillaries
Alkaline phosphatase Staining: Especially in perifascicular regions
|

Alkaline phosphatase stain
|

Alkaline phosphatase stain
|
Capillaries: PECAM-1 & Collagen IV stains
NORMAL ENDOMYSIAL CAPILLARIES
Ultrastructure
Endothelium + Collagen IV
Collagen IV: Stains Capillary walls (Red & Yellow) & Basal lamina around muscle fibers (Red).
PECAM1: Stains Capillary endothelium in lumens (Green) and overlaps Collagen IV (Yellow) in walls.
|
Capillary amidst Normal muscle fibers: Normal size & morphology.
Capillary compositon
Endothelial cells (E): Next to lumen
Basal lamina: Thick; Surrounds endothelial cellls
Pericyte (processes) (P).
Red blood cell: In capillary lumen

|
Dermatomyositis (DM-VP): SMALL ENDOMYSIAL CAPILLARY REMNANTS in areas of Perifascicular Atrophy
Ultrastructure
Endothelium + Collagen IV
Collagen IV (Red) stains small capillary wall remnants (Arrow) without lumens.
PECAM1 stains little, or no, capillary endothelium.

Pericytes & Cells + Collagen IV
Collagen IV (Red & Yellow) stains round capillary remnants and basal lamina around muscle fibers.
PDGFRβ stains capillary pericytes (Yellow) overlapping Collagen IV & elongated endomysial cells (Green).

Dermatomyositis (DM-VP): Capillary Ultrastructure
Capillary in area of Perifascicular atrophy:
Small endomysial capillary residua (Arrow)
Basal lamina (Arrow)
Thicker than muscle fiber basal lamina
See: Thin basal lamina of nearby muscle fibers (Arrowhead)
Lumen: No endothelium within basal lamina
Neighboring Pericyte (Right): Provides evidence of the pathologic vessel's microvascular origin)
Dermatomyositis (DM-VP): ENLARGED ENDOMYSIAL CAPILLARIES
Ultrastructure
Location: Near regions of Perifascicular Atrophy
Endothelium + Collagen IV stains
Collagen IV: Capillary walls (Red & Yellow) & Basal lamina around muscle fibers (Red).
PECAM1: Capillary endothelium in lumens (Green) & Some overlaping Collagen IV (Yellow) in walls.
|
Enlarged endomysial capillaries (Arrows)
Location: Neighbor regions of perifascicular muscle fiber pathology .

H&E stain
|
Capillaries in Intermediate zones
Size: Enlarged
Endothelial cells
Size: Enlarged & Abundant cytoplasm
Tubular reticular profiles (Dark arrows): Present in cytoplasm
Abnormal mitochondria (White arrow): Present in some cells
Capillary components
Tubular Reticular Structures/Aggregates (Undulating tubules; Arrows))
Location: Cytoplasm of capillary endothelial cells
Continuous with: Endoplasmic reticulum
Surounded by: Thin membrane (Arrows)
Neighbor: Endothelial cell nucleus
Associated IIM
3
MDA5 antibodies: 100%
IMPP (Jo-1 antibodies): 40%
DM-VP: 50%
Enlarged capillary: In intermediate zone
Endothelial cells have
Abundant cytoplasm
Tubular reticular structures (Arrow)
Tubular Reticular Structures
Endothelial cell cytoplasm: Contains Mitochondria & Weibel Palade bodies
Weibel Palade bodies
Structure: Elongated, cigar-like shape (0.2 μm in width; Up to 4 μm in length)
Location: Endothelial cells
Function: Secretory organelles; May be exocytosed
Contents: Proteins that contribute to inflammation, angiogenesis & tissue repair
von Willebrand factor (VWF)
Other
tPA, P-selectin, Interleukin-8 (IL-8), Eotaxin-3, Angiopoietin-2
Osteoprotegerin, Endothelin-1, Endothelin-converting enzyme, Calcitonin gene-related peptide
Childhood dermatomyositis (DM-VP):
Complement (C5b-9) deposition on Endomysial capillaries


Stain: C5b-9 components of complement (Membrane attack complex)
Dermatomyositis: C5b-9 deposition in endomysial capillaries
Changes are patchy and most prominent in perifascicular regions amid small muscle fibers.
C5b-9 is deposited on damaged endomysial
capillaries that have often lost their endothelium.
|

Stain: C5b-9 components of complement (Membrane attack complex)
Normal control
No C5b-9 deposition in endomysial capillaries in control muscle
|
C5b-9 stains: Endomysial capillaries (Arrow) & Regions of perimysium

C5b-9 stain
|
C5b-9 complement compared to PECAM1 staining of Punctate Capillary Remnants
- LEFT: C5b-9 complement staining is present on
- Most punctate Collagen IV endomysial capillary remnants (Yellow)
- Avascular perimysium without Collagen IV (Green) (Large arrowhead)
- RIGHT: Capillary remnants (Red) have no PECAM1 staining (Yellow-Green) (Arrows and many other similar structures)
Childhood dermatomyositis (DM-VP): Perimysial Vascular Pathology
Perimysial Arteries (a) & Veins (v)

VvG stain
|
Normal vessels (Above, Left)
DM-VP (Above Right & Below)
Loss or thinning of fibrils in walls of arteries & veins
Endothelial cells: Enlarged, May contain tubulo-reticular profiles

VvG stain
|
Perimysial Vessels
Fibrils in wall reduced

VvG stain
|
Vessel, Moderate-sized
Endothelial cells large
Wall: No fibrils
Perimysial vascular fragments: No lumen

VvG stain
|
Dermatomyositis (DM-VP): Vascular Perimysium
Contains abnormal vascular fragments (Yellow)
Has increased PECAM1 staining
Located away from perifascicular muscle fiber atrophy
PECAM1 (Green) + Collagen IV (Red): Overlap = Yellow
|
Normal: Vascular Perimysium
Contains normal intermediate-sized vessels with lumens
Has minimal PECAM1 staining
PECAM1 (Green) + Collagen IV (Red): Overlap = Yellow
|
DM-VP (Childhood dermatomyositis): MHC Class I upregulation
DM-VP, Moderately severe: MHC-I up-regulation by muscle fibers, more in small fibers at edge of fascicle

MHC Class I
|

MHC Class I
Normal: MHC I not present in muscle fibers. Staining is only on capillaries
|
MHC Class I up regulation at the edge of fascicles
Perifascicular muscle fibers near avascular perimysium express MHC-I
Central muscle fibers near vessel (Arrow; Below) express less, or no, MHC-I

MHC Class I
|
DM-VP, Mild: Patterns of MHC-I staining
MHC-I up-regulation more in muscle fibers at edge of fascicle, or diffusely
Affected muscle fibers may be normal size, or small.
MHC Class I upregulation
Mild
More in muscle fibers in perifascicular region
May occur in regions without myofiber atrophy
|
DM-VP: MHC I up on muscle fibers
especially near perimysium
A similar pattern may occur in IMPP syndromes

Stain: MHC Class I
|

MHC Class I stain
|
MHC Class I upregulation
Dffuse
Slightly more prominent in perifascicular region
May occur in regions without severe myofiber atrophy
|
DM-VP: MHC I up on muscle fibers, severe
Diffusely on the surface and within muscle fibers

Stain: MHC Class I
|
Dermatomyositis with Vascular Pathology (DM-VP): Severe

H&E stain
|
Center of Fascicle: Artery-Vein pair
Periphery of Fascicle: Atrophic muscle fibers near avascular perimysium

VvG stain
|
Small Muscle Fibers

Gomori trichrome stain
|
Purlieu Zone: Between areas with larger & very small muscle fibers
Muscle fibers: Intermediate-sized
Endomysial capillaries: Large

Gomori trichrome stain
|
Very Small Muscle fibers
Near perimysium
Nuclei: Often internal
Surface: Irregular
Cytoplasm: Dark NADH stain

NADH stain
|

VvG stain
|

VvG stain
|
Intermediate-sized Perimysial Vessels
Abnormal structure: Loss of fibrils in arteries & veins
Also see: DM-VP Vessels

VvG stain
|
DM-VP (Childhood): Muscle fiber Atrophy at Muscle Surface (Epimysium)
Severe atrophy of muscle fibers at edge of muscle

H&E stain
|

H&E stain
|
Muscle fibers in purlieu zone, near & beneath area of severe fiber atrophy
Nuclei: Enlarged: Internal
Muscle fibers: Intermediate size
Endomysial capillaries: Large

H&E stain
|

Gomori trtichrome stain
|
Muscle Fibers: Perifascicular Atrophy

VvG stain
|

Congo Red stain
|
Internal Architecture
Smallest muscle fibers: Very dark stained
Intermediate-sized muscle fibers: Irregular staining & aggregates
Endomysial capillaries: Positive staining

NADH stain
|

Cytochrome oxidase stain
|
Mitochondrial Pathology
Muscle fibers in, & near, region of atrophy have reduced COX
Muscle fibers in, & near, region of atrophy have inreased SDH, diffusely, or as aggregates

SDH stain
|
Muscle fibers in purlieu zone contain aggregated, cytoplasmic material

VvG stain
|
Endomysial Capillaries: Reduced staining in regions with small muscle fibers
Some small mnuscle fibers have no adjacent capillary

VvG stain
|
DM-VP (Adult)

H&E stain
|
Muscle fibers: Perifascicular Atrophy
Lymphocyte focus: In perimysium

Congo Red stain
|

H&E stain
|
Lymphocyte Focus
Location: Perimysium
Contents: Lymphocytes & Small vessels

Congo Red stain
|
Vessels within Lymphocyte foci

Congo Red stain
|

H&E stain
|
Muscle Fibers
Small at edge of fascicles
Nuclei: Large; Often internal
Internal architecture: Abnormal; Aggregates

VvG stain
|

H&E stain
|
Perifascicular Muscle Fibers
Small
Nuclei: Large; Often several internal

H&E stain
|

H&E stain
|
Perifascicular Muscle Fibers
Small
Nuclei: Large; Often several internal
Internal architecture: Aggregates & Vacuoles

VvG stain
|

NADH stain
|
Muscle Fiber Internal Architecture
Small Muscle fibers: Dark stained
Larger Muscle Fibers: Sarcoplasmic reticulum aggregates

NADH stain
|
Myosin ATPase
Small muscle fibers at edge of fascicles: Reduced staining

ATPase pH 9.4 stain
|
DM-VP: MHC Class I

MHC-I stain
MHC-I
Small muscle fibers: MHC-I upregulation in cytoplasm & on surface
Larger muscle fibers: MHC-I mostly on muscle fiober surfaces
|
DM-VP: Mitochondrial Pathology

COX stain
|
Mitochondrial stains: Small muscle fibers
Cytochrome oxidase (COX): Reduced (Above)
Succinate Dehydrogenase (SDH): Increased (Below)

SDH stain
|
Mitochondria: Proliferation & Abnormal shapes
DM-VP: Aggregates in Muscle Fibers

AMPDA stain
|
Aggregated material in muscle fiber cytoplasm stains for AMPDA & LC3

LC3 stain
|

LC3 stain
|
Autophagic debris in muscle fibers

Acid phosphatase stain
|
Acid phosphatase positive granules in muscle fiber cytoplasm
Large Artery
Abnormal structure: Patchy loss of internal fibrils

VvG stain
|
Large Vein
Abnormal; Endothelial layer is widened

VvG stain
|
Perimysial Smaller Vessel
Thick wall

VvG stain
|
DM-VP: Capillaries

Alkaline phosphatase stain
|
Increased numbers of enlarged, alkaline phosphatase positive, endomysial capillaries in regions near muscle fiber atrophy

UEA I stain
|
UEA I positive endomysial capillaries: Reduced numbers in regions of perifascicular muscle fiber atrophy
Return to Neuromuscular Home Page
Return to Dermatomyositis, Adult pattern
Return to Inflammation
Return to Inflammatory myopathies
Return to Dermatomyositis
References
1. Neuromuscul Disord 2006;16:391-393
2. Muscle Nerve 2010; Online April
3. J Neuropathol Exp Neurol 2025 Dec 9
12/15/2025
|