Immune Myopathies with Perimysial Pathology (IMPP)
1
IMPP: General
Clinical Features
- Immune myopathies: Similar to Jo-1
& tRNA synthetase antibody related immune myupathies
- Increased frequency of associated
- Neoplasms: Less than in other IIM
- Risk: Increased in smokers
Laboratory
- Serum CK: High or Normal
- Serum Aldolase: May be high with normal CK
- EMG: Irritable myopathy
- Muscle MRI: Fascial & Sub-Fascial pathology
Muscle Pathology
- Perimysial connective tissue damage: Defining feature
- Cells: Histiocytes
- Structure: Fragmented or Rarified
- Muscle fibers: Pathology more prominent near perimysium
- Necrosis & Regeneration
- MHC1 & MHC2 expression
- Gene expression
- Increased CAMK1G
, EGR4
, CXCL8 (Interleukin 8)
|
Immune Dermatomyopathy Syndromes |
Features/Pathology |
IM + Perimysial Pathology (IMPP) |
Dermatomyositis + Vascular pathology |
Regional Ischemic Immune Myopathy |
DM: Pauci- Myopathic |
cGvHD |
Myositis + Mi-2 Ab |
Systemic Sclerosis |
Clinical |
Age at Onset |
Adult > Child |
Child or Adult |
Older Adult |
Adult |
Adult |
Child or Adult |
Adult |
| Weakness |
Proximal > Distal |
Tif1γ: Proximal > Distal
NXP2: Proximal + Finger extensor
Dysphagia
|
Proximal > Distal |
Uncommon |
Proximal ± Distal (50%) |
Proximal (98%) |
Proximal |
| Myalgias |
Common |
Common |
Common |
None or Mild |
Some |
|
|
| Skin pathology
2 |
Raynaud Rash Mechanic's hands Psoriasiform Eczematous Dyskeratotic cells
|
Rash
Heliotrope
Limbs: Extensor surface Capillary Δ
Tif1γ: Photosensitive
Palm hyperkeratosis
NXP2: Edema |
Rash (70%) |
Palmar: Papules & Ulcers MxA+ Epidermal keratinocytes Type I IFN Alopecia |
Sclerosis Dyskeratosis |
Rash Raynaud |
Scleroderma Raynaud Capillary Δ Telangectasia |
| Interstitial lung disease |
Common |
Uncommon |
No |
Common |
Common |
Rare |
Some |
| Neoplasm association |
No |
Adults |
Common; 72% Esp > 60 yrs |
No |
Prior, hematologic |
No |
No |
| Systemic, Other |
Joints |
NXP2: Calcinosis
GI |
|
|
GI; Mucous membranes |
Joints; GI |
GI: Esophagus Small bowel Calcinosis |
Serum |
Antibody |
Jo-1 tRNA synthetase |
TIF1γ NXP-2 |
TIF1γ NXP-2 |
MDA5 (CADM140) |
Varied |
Mi-2 |
PMScl-75 Ku; U3-RNP |
| CK > 1,000 |
Some |
Few |
Most |
No |
No |
Most |
Some |
Muscle Pathology |
Inflammation Focal Location
Cell Type |
Some Perimysium
Histiocyte |
Yes (80%) Perivascular
Lymphocyte, CD20 |
No |
No |
Uncommon |
Yes (50%) Yes Perivascular Perimysial & Endomysial Lymphocyte |
No |
Perimysium pathology Fragmentation Immune Cells Location
Without myopathy Alkaline phophatase + |
Common Histiocyte Scattered Some Some |
Occasional Lymphocyte (B-cell) Perivascular No Uncommon |
Necrotic regions Histiocytic Necrotic regions No Yes |
Some Histiocytes Scattered Often |
Common Histiocytes
Often Some |
Histiocyte
Uncommon Common |
No |
Muscle fiber pathology
General
Perifascicular
COX staining reduced
Necrosis & Regeneration
Internal architecture
LC-3 aggregates
Atrophy
Necrosis
Myonuclei
|
Often Never Common Coarse Rare Uncommon Perifascicular Actin aggregates |
Yes Most patients Unusual Vacuoles & Aggregates Common Common No |
No
Regional |
Mild or No; NOS2 No
No |
Glycosylation ↓ No
No |
Yes
Common (60%) Perifascicular SCRT1 ↑ |
MHC1 ↑ |
Capillaries
Near myofiber pathology Ulex staining C5b-9 deposition
Alkaline phophatase stain
Amid myofiber pathology Ulex staining C5b-9 deposition
Alkaline phophatase +
|
Normal #
Normal Absent Absent
Normal Absent Absent |
Reduced #
Large Few
Common
Absent Common
Absent
|
Large Common Common
Absent Absent Absent |
Normal # |
Reduced # |
Normal # |
Thick walls |
| Large Vessel Pathology |
No |
Artery + Vein |
Vein |
No |
No |
No |
No |
|
Dermatomyopathies, General: Neoplasm associations
3
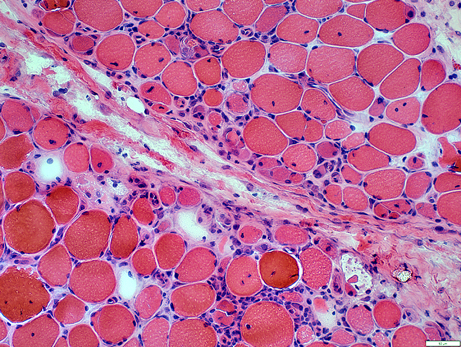
IMPP Muscle Pathology (Jo-1 antibody positive)
Jo-1 myopathy: Perimysial Pathology

H&E stain
|
Perimysial Pathology
- Perimysium
- Rarified (Pale)
- Fragmented
- Loculated: Many focal clear and darker areas
- Wide
- Cells: Most frequently macrophages
- Muscle fibers Adjacent to Perimysium

VvG stain
|

H&E stain
|

H&E stain
|
Perimysial Connective Tissue: Damage
Loculation: Small & Large holes (Above)
Pallor (Below)
Cells: Many scattered histiocytes (Cells with large nuclei)
Muscle Fibers
Small or Immature: In regions neighboring perimysial pathology

H&E stain
|
Perimysium with:
Damaged structure (Irregular, Pale regions)
Cellularity: Large cells with cytoplasm & large nuclei
Neighboring myopathology:
Muscle fibers: Necrotic & Regenerating (Small, Basophilic)

Gomori trichrome stain
|

VvG stain
|

Gomori trichrome stain
|
Fragmented Perimysium

Gomori trichrome stain
|

C5b-9 stain
|
Jo-1 myopathy: Dark C5b-9 staining of damaged permysium
C
5b-9 may also stain
Neighboring endomysial connective tissue around muscle fibers
Surface of muscle fibers
Cytoplasm of nearby necrotic muscle fibers

C5b-9 stain
|
Perimysium: Inflammation, Usually histiocytic

H&E stain
|
Cells in Perimysium
Size: Large
Nuclei: Large
Cytoplasm: Visible around nucleus
Distribution: Scattered in regions of perimysium

H&E stain
|

H&E stain
|
Cells in perimysium: Histiocytic
Stain for
Acid phosphatase, Esterase & CD68

H&E stain
|

Esterase
Esterase positive macrophages
|

CD68 stain
CD-68 positive cells in perimysium and endomysium
|

Esterase
Perimysium: Esterase positive macrophages
|

Acid phosphatase
|

Acid phosphatase
|
|
Acid phosphatase positive cells: Predominantly in Perimysium; Scattered in endomysium
|

Acid phosphatase
|

CD4 stain
|
Jo-1 myopathy: CD4 cells in permysium

CD4 stain
|
Endomysial Histiocytes: Activated
Stain: Acid phosphatase
Location: Often
near endomysial capillaries
Commonly occur with: MHC-I upregulation by neighboring muscle fibers

Acid phosphatase stain
|
Endomysial histiocytes
Scattered in endomysium
Often with neighboring: Capillary (Arrow) or Small endomysial vessel
Pattern is common to many active myopathies: Not specific for Jo-1

Acid phosphatase stain
|

Alkaline phosphatase stain
|
Alkaline phosphatase staining
Perimysium
Extends into endomysium
Muscle fiber cytoplasm (Smaller, immature fibers)

Alkaline phosphatase stain
|
Jo-1 myopathy: Muscle fiber pathology
Type:
Necrosis & Regeneration
Distribution:
Perifascicular; Near damaged perimysium (Arrows)

H&E stain
|
Jo-1 Muscle Fiber Pathology
Myopathic
Necrotic & Immature Muscle Fibers
Predominantly at edge of fascicles, near damaged perimysium (Arrows)

H&E stain
|

H&E stain
Perifascicular myopathy
Regeneration & Necrosis of perifascicular muscle fibers
|

NCAM stain
N-CAM positive atrophic muscle fibers
|

H&E stain
|

NADH stain
|
Perifascicular atrophy: Small Muscle fibers are more frequent at the edge of fascicles

NADH stain
|
Perifascicular Myopathy
Immature (Smaller, Intermediate-stained) muscle fibers: More common at edge of fascicles

ATPase pH 4.3 stain
|
Myopathy with Jo-1 antibodies
MHC-I stain
Diffusely on muscle fiber surface membranes
Cytoplasm of perifascicular muscle fibers
Perimysium: Damaged connective tissue & Scattered cells

MHC-I stain
|

MHC-I stain
MHC Class 1 staining
Positive muscle fibers are
Perifascicular (Above), or
Diffuse (Right)
Have Similar patterns in
DM + Vascular Pathology
Perimysial cells also stain (Below)
|

MHC-I stain
|

MHC-I stain
|
Jo-1 Immune Myopathy: Muscle Fiber Necrosis & Regeneration

H&E stain
|
General Pattern
Muscle fiber pathology: More prominent near edges of fascicles
Necrotic Muscle Fibers (Dark arrow)
Pale cytoplasm
Invaded by histiocytic cells
Regenerating Muscle Fiber (White arrow)
Nuclei: Large
Cytoplasm: Basophilic

H&E stain
|

C5b-9 stain
|
Jo-1 myopathy: C5b-9 complement deposition
Necrotic muscle fibers with cytoplasm staining for C
5b-9
More common in near edge of fascicles
Scattered in these areas
C
5b-9 is also present on the surface of muscle fibers

C5b-9 stain
|

LC3 stain
|
Jo-1 myopathy: Abnormal muscle fibers
Scattered, small LC3 aggregates in muscle fiber cytoplasm (Above)
Abnormal vacuoles in muscle fiber cytoplasm (Below)

MHC-1 stain
|
Return to
Inflammatory myopathies
Return to
Jo-1 myositis
References
1.
Curr Opin Rheumatol 2011;23:595-604,
Neurol Neuroimmunol Neuroinflamm 2018;5:e434
2.
JAMA Dermatol 2019 Jul 10
3.
Medicine (Baltimore) 2020;99:e21733,
Best Pract Res Clin Rheumatol 2022 Aug 12
10/27/2025