IM-VAMP (IBM): Muscle Pathology
- General description
- Inflammatory Myopathy with Vacuoles, Aggregates & Mitochondrial Pathology (IM-VAMP)
- Inflammation: Mononuclear cells
- Locations
- Endomysium: Most common
- Also in some patients: Perimysium & Perivascular
- Focal invasion of muscle fibers
- Most common mechanism of muscle fiber damage
- Cell types: CD4 + CD8 Lymphocytes & Macrophages
- CD8 cell components
5
- KLRG1
1
- CD57 (HNK-1; LEU-7)
2
- T cell large granular lymphocytic leukemia cells
- Late differentiated T-cells: Reduced proliferation capacity
- Cell types in foci
- T-cells
- CD4: Most common
- CD8:
- Present in many endomysial cell foci
- Increased KLRG1 expression
- B-cells: CD20
- Usual: Few or none present
- Foci reported: sIBM associated with chronic lymphocytic leukemia
78
- Plasma cells: CD138
- Histiocytes
- Many in: Cell foci; Regions of focal invasion of muscle fibers
- Increased GBP6 (IFN-γ induced)
- Muscle fibers
- Myopathic changes
- Varied muscle fiber size
- Regenerating muscle fibers
- Groups of small fibers
- Endomysial connective tissue: Variably increased or normal
- Muscle fiber hypertrophy: More common than in other immune myopathies
- MHC-I
- Expression: On surface, ± cytoplasm, of most muscle fibers
- Occurs on morphologically normal & abnormal muscle fibers
- No specific association with inflammatory cells or foci
- Rimmed vacuoles with granular material & filaments
- Histochemistry: Best visualized with Congo Red stain
- Contain
- Filaments: 15 to 18 nm
- Several proteins β-Amyloid, Desmin; Ubiquitin; Transglutaminases 1 & 2
- Aggregates & Related proteins
- Protein aggregates: May contain
- Cadherin I
4
- Present in cytoplasm of some muscle fibers (68% of IBM)
- Associated with increased SQSTM1 in muscle fiber cytoplasm
- Anatomy: Aggregates often not related to vacuoles
- Ultrastructure
- Also see: Cytoplasmic bodies
- Mitochondrial disorders
- Pathology location: Muscle fiber mitochondrial Δ
- Segmental: 75 μm to > 1 mm along fiber length
- Fiber distribution: Scattered in muscle
- COX- muscle fibers
- Frequency: Up to 15% of muscle fibers
- MT-ND4 (major arc locus): Reduced
- MT-ND2 (minor arc locus): Normal
- mtDNA Deletions & Duplications: Present in 85% of fibers
- Oxidative enzyme activities: Combined complex I & IV deficiency
- Respiratory chain-deficient fibers: May be smaller than other fibers
- No association: Invasion of inflammatory cells or rimmed vacuoles
- Syndromes
- SDH+ muscle fibers (Mitochondrial proliferation)
- mtDNA disorders: IBM muscle fibers
3,
92
- Copy number in IBM: 42% of control
- Deletions: Multiple in > 50% of IBM
- Deletions & Duplications in muscle
- IBM: Mean heteroplasmy level of 10% (Range 1%-35%)
- Controls: Mean heteroplasmy level of 1% (Range 0.2%-3%)
- Variations in deletions: Common
- Single muscle fiber: May have multiple different deletions
- Different muscle fibers: Have different sizes & locations
- Patterns in IBM
- Most deletions: Located in major arc of mtDNA; Involve ND4
- Unusually large deletions (10%): Involve ND1 & ND4
- mtDNA regions: m.534-4,429, m.6,330-13,993, m.8,636-16,072
- Regions may be flanked by: Repetitive sequences
- Similar regions to: Mutations in controls & POLG1 mutations
- Breakpoint hot spots
- 5' end: tRNALeu gene (np3230–np3304)
- 3' end: np16070
- Other: ~np13923; ~np12300
- Duplications: Present in many sIBM patients
- Single nucleotide variants: More in IBM than age-matched controls
- Ultrastructure
IBM: Myopathic features

H & E stain
|

H & E stain
|

H & E stain
|
Myopathy: Chronic; Ongoing
- Muscle fiber size: Varied
- Small fibers
- Shape: Rounded or Polygonal
- May occur in clusters
- May be basophilic
- Large fibers: May be hypertrophied
- Muscle fiber morphology
- Internal nuclei: In scattered muscle fibers
- Internal clear regions: Irregular shape; Possibly vacuoles
- Endomysial connective tissue: Increased in some regions
|
2C fibers (Intermediate-stained): Common

ATPase pH 4.3 stain
|
Alkaline phosphatase stain: Often normal

Alkaline phosphatase stain
|

H&E stain
|
Endomysial inflammation
Many cells are lymphocytic
Minority of cells are histiocytic (Acid phosphatase +)
Some immune cells are focally invading muscle fibers (Arrow)

Acid phosphatase (Blue) stain
|

Gomori trichrome
|
Inflammatory cells in Endomysium
- Linear distribution of cells between muscle fibers (Above, Left; Below)
- Larger collections of cells around muscle fibers (Above, Right)

Gomori trichrome
|
Inflammatory cells in endomysium
Cells are
Focally invading a muscle fiber

Congo red
|

H & E stain
|

Esterase stain
|

Acid phosphatase stain
|

Acid phosphatase stain
|
Focal invasion of muscle fibers
- Inflammatory cells invade a focal region of a muscle fiber (arrows).
- Other regions of the muscle fiber appear intact.
- Some cells invading the muscle fiber are CD8+ T-cells.
- Other cells are macrophages & stain with acid phosphatase.
|

CD4 stain
|

CD3 stain
|

Acid phosphatase
|

Acid phosphatase
|
- Cells around vessel (Left) are mostly T-cells (unstained)
- Cells near and within muscle fibers (Right) contain more macrophages (Stained red)
|
Muscle fibers replaced by immune cells

VvG stain
|
IM-VAMP (IBM): Lymphocyte Types

CD4
CD4 cells: Present in foci & Scattered in endomysium
|

CD8
CD8 cells: More in foci than in other endomysial regions
|
IM-VAMP: Cell types
Lymphocytes: CD4 & CD8 cells
Present in endomysial lymphocyte clusters
CD8 cells
Location
Endomysial cell foci
Focal invasion of muscle fibers
Terminally differentiated (T
EMRA) phenotype
Loss: CD28
Upregulation: Killer cell lectin-like receptor G1 (KLRG1) & CD57
Cytotoxic potential: Perforin; Granzyme B; KLRG1
Limited proliferative capacity
May produce IFN-γ
Large granular lymphocytes (LGLs; CD3+, CD8+, CD57+, CD244+, CD28-,
Kv1.3+)
Clinical association: Large granular lymphocytic (T-LGL) leukemia
CD4 cells
Scattered: In endomysium between muscle fibers
CD4+CD28(null) T cells: Endomysial cell foci; Proinflammatory & Cytotoxic
T cell receptor (TCR) V
β repertoire
Restricted (Clonal expansions)
Similar to changes seen in blood
Histiocytic cells
Scatttered: In endomysium
Clusters: Locations
Endomysial regions of
focal invasion of muscle fibers by cells
Surround muscle fibers
Types
6
M1 macrophages: Near venous endotheial cells, Reactive & Damaged fibers, NMJs
M2 macrophages: Near LAMP3 Dendritic cells, Plasma cells, Type 2 fibers, Adipocytes
Plasma cells: Few scattered in endomysial cell foci
B-cells: NOT present in cell foci
Fibro-Adipogenic Progenitor (FAP) cells
6
Nerve-associated Fibroblasts
Molecules: NLGN1, NEGR1
Cell associations: Normal & Damaged muscle fibers, M2 macrophages
Damaged Muscle Fibers
Molecules: GADD45A, NORAD, AChE
Features: Atrophy, Cell/genomic stress, Associated T-cells

CD8 stain
|
CD8 cells in IM-VAMP: In endomysial cell foci & around muscle fibers

CD8 stain
|
IM-VAMP: Histiocytes (CD163) & CD8 lymphocytes around & on muscle fiber surfaces

CD163 stain
|
IM-VAMP: Plasma cells (CD138) scattered in endomysial cell focus

CD138 stain
|
IM-VAMP (IBM): Perimysial inflammation

H&E stain
|
IBM: Inflammation
Cells: Many lymphocytes
Locations
Endomysial (Above): Surrounds a muscle fiber
Perimysial (Below): Contains small vessels

H&E stain
|
IBM: Atypical Inflammation
Cells: Granuloma-like histiocytes (Arrow, Above; Esterase+, Below)
Surrounded by lymphocytes

Esterase stain
|
IBM: Vacuoles (or Inclusions)
Vacuoles
- Muscle fibers with several rimmed vacuoles (arrows)
- Vacuoles contain
- Congo red: Blue amorphous, granular material
- Gomori trichrome: Red-stained material in muscle fibers & around vacuoles
- VvG: Gray-stained material
- Nuclei: Some are near vacuoles or enlarged
- Amyloid in some vacuoles
- Visualized with polarized light
- Small foci of red stained amyloid (arrows) are in, or around, vacuoles
- Some muscle fibers also contain
- Differential diagnosis: Vacuoles


Congo red stain
|

Congo red stain
|

Congo red stain
|
Vacuoles (Arrows)
Shape irregular
Granular basophilic debris
Often within, and surrounding, vacuoles
May have
amyloid-like, Congo red birefringence

Congo red stain
|
Granular basophilic debris
In regions surrounding large vacuole
|
Vacuoles
- Muscle fiber with vacuoles (Left; Congo red stain)
- Toluidine blue stain: Vacuoles in 2 muscle fibers (Right)
- Vacuoles may be in large or small fibers
- Vacuoles may contain autophagic debris, or 15 to 18 nm filaments
|
IBM: Vacuoles
One, or several, in a muscle fiber
Shapes: Irregular
Some contain red-staining material
|
|

Gomori trichrome stain
|

Gomori trichrome stain
|
IBM aggregates: Cytoplasmic Bodies

Gomori trichrome stain
|

Gomori trichrome stain
|
|
Vacuoles & Cytoplasmic bodies
Cytoplasmic bodies (Arrow) may occur in: Muscle fibers with, or without, vacuoles

Gomori trichrome stain
|
Atypical vacuoles
Contain irregular green-stained material
Larger than usuallyh found in sIBM

Gomori trichrome stain
|

Gomori trichrome stain
|
IM-VAMP: Amyloid
Vacuoles may contain amyloid-like birefringent (red-green) material (Congo red stain)
- Muscle fiber with large vacuole (Left)
- Birefringence: Red-Green material in, and near, vacuole (Middle & Right)

Congo red stain
|
Muscle Fiber with several Vacuoles
Granular basophilic debris near vacuoles may have red-green birefringence (Below)

Congo red stain
|

From: R. Schmidt
|
Ultrastructure: Muscle fibers with aggregated material from same biopsy as above
Contents include: Filaments; Scattered mitochondria;
From: R. Schmidt
|

Alcian blue/Nuclear fast red
|
Red-stained material in cytoplasm & near nuclei
IBM: Aggregates
Aggregates: General features in IBM-like disorders
- Location
- Most easily seen in the cytoplasm
- Minority occur neighboring nuclei or vacuoles
- Histochemistry: Stain with AMPDA, H&E & Gomori trichrome
- Contents
- Common components: SMI-31; TDP-43;
LC3; αB-crystallin; p62
- Different components may occur alone or associated with other components
- None are very sensitive for the spectrum of IBM-like disorders
- LC3 aggregates
- Frequent in IBM/IM-VAMP
- Multiple small punctate aggregates
- LC3 aggregates occur in other muscle disorders but have different shapes & sizes
- SMI-31 aggregates
- May be the most specific for IBM
- Low sensitivity
- Emerin is not present in aggregates or vacuoles
- Cytoplasmic bodies
- Increased frequency in IBM/IM-VAMP
- May occur in fibers that also have vacuoles
Aggregates: Histochemistry
Cytoplasmic Aggregates
Dark, eosinophilic hyaline appearance (Arrows)
|
Cytoplasmic Aggregate
Large
Near irregular vacuoles
|

H&E stain
|

H&E stain
|

VvG stain
|
Cytoplasmic bodies
Small, dark-stained structure
May be
Several in individual fibers
Present in fibers with or without vacuoles

Gomori trichrome stain
|

Gomori trichrome stain |

AMPDA stain
|
AMPDA aggregate
Present in aggregated material in muscle fiber cytoplasm
Some, but not most, aggregated material surrounds vacuoles

AMPDA stain
|

AMPDA stain
|
SMI-31 positive aggregates in IBM

SMI-31 + Congo red stains
|

Congo Red + Fluorescence with Texas red filter
|
- IBM (Top Left; Bottom): SMI-31 staining in several patterns
- Aggregates in the cytoplasm of muscle fibers with no vacuoles
- Occasional small aggregates scattered around the rim of some vacuoles
- Some aggregates near nuclei
- Diffuse increase in cytoplasm of some muscle fibers
- IBM (Right): No fluorescence of vacuoles or aggregates in muscle fibers for amyloid
- SMI-31 aggregates are not usually present in PM-Mito biopsies
|

SMI-31 + Congo red stains
|
|

SMI-31 + Congo red stains
|

SMI-31 + Congo red stains
|
SMI-31 staining in some nuclei

SMI-31 + Congo red stains
|
|
|
αB-crystallin
- IBM (Left): Clusters of αB-crystallin staining in muscle fibers
- Normal (Right): No focal staining of muscle fibers
|
|
|
Ubiquitin conjugates: IBM
- Focal dark staining
- Staining may be present around rim of vacuoles (arrow)
- Aggregates are also located in other regions of muscle fibers
- Increased staining in much of the cytoplasm (right)
|
|
|
Valosin-containing protein (VCP): IBM
- Focal dark staining
- Aggregates are mostly small & scattered through muscle fibers
- Some fibers, especially small, can have increased cytoplasmic staining
- Occasional vacuoles have some VCP staining
|

Congo red + β-amyloid stain
|

Congo red + fluorescence
|
β-Amyloid: IBM
- Small focal regions of dark staining (Left)
- Aggregates are mostly small & scattered through muscle fiber
- Some fibers, especially small, can have increased cytoplasmic staining
- Regions of β-Amyloid do not show fluorescence with Congo red stain (Right)
|
TDP-43 aggregates

TDP-43
|

Congo red + TDP43
|
TDP-43: IBM
- Aggregates
- Small focal regions of dark staining (Left; Above)
- Aggregates are mostly small & scattered through muscle fiber
- Large cytoplasmic TDP-43 aggregates (Right; Above)
- Inflammatory cells (Below): TDP-43 stains inflammatory cells in
- Endomysium
- Regions of focal invasion of muscle fibers
- TDP-43 aggregates are not present in PM-Mito biopsies
|

Congo red + TDP43
|

CD4 (Green) + TDP43 (Red)
TDP-43: Aggregates & Inflammatory cells in IBM
- TDP-43 stains
- Focal aggregates in muscle fibers (Red)
- Inflammatory cells: Overlap with CD4 (Yellow)
- CD4 also stains scattered endomysial cells without TDP-43 (Green)
|

SMI-31 (Green) + TDP43 (Red)
TDP-43: Aggregates and cytoplasmic staining with varied relation to SMI-31 staining
- TDP-43 stains
- Focal aggregates in muscle fibers: With (Yellow) and without (Red) overlap of SMI-31
- SMI-31 also stains
- Cytoplasm in some fibers without TDP-43 (Green)
- Rim of internal nucleus (Green; Arrow) associated with neighboring TDP-43 staining (Red)
|
p62 aggregates

p62 stain
|

p62 stain
|
LC3 Aggregates
LC3 aggregates: IM-VAMP (IBM-like syndromes)

LC3 stain
|

LC3 stain
|

LC3 stain
|
LC3: IBM
- Focal regions of dark staining of varied shapes (Left)
- Aggregates are cytoplasmic, small or large & have varied shapes
- LC3 aggregates are also present in PM-Mito biopsies (Right), unlike SMI-31
or TDP-43

Desmin stain
|
IBM: Desmin stain: Patterns
Diffusely in cytoplasm of iommature muscle fibers
Irregular aggregates in scattered muscle fibers
Localized at site of focal invasion of a muscle fiber (below)

Desmin stain
|
IM-VAMP: Ultrastructure
IM-VAMP: Muscle fiber pathology + Focal invasion of Muscle fiber by cells
Cytoplasmic inclusions: Several types
Myeloid
Membrane-like
Tubulo-Vesicular
Filamentous
Autophagic debris
Lipid-like bodies
Mitochondria
Endomysial capillaries
Normal size & walls
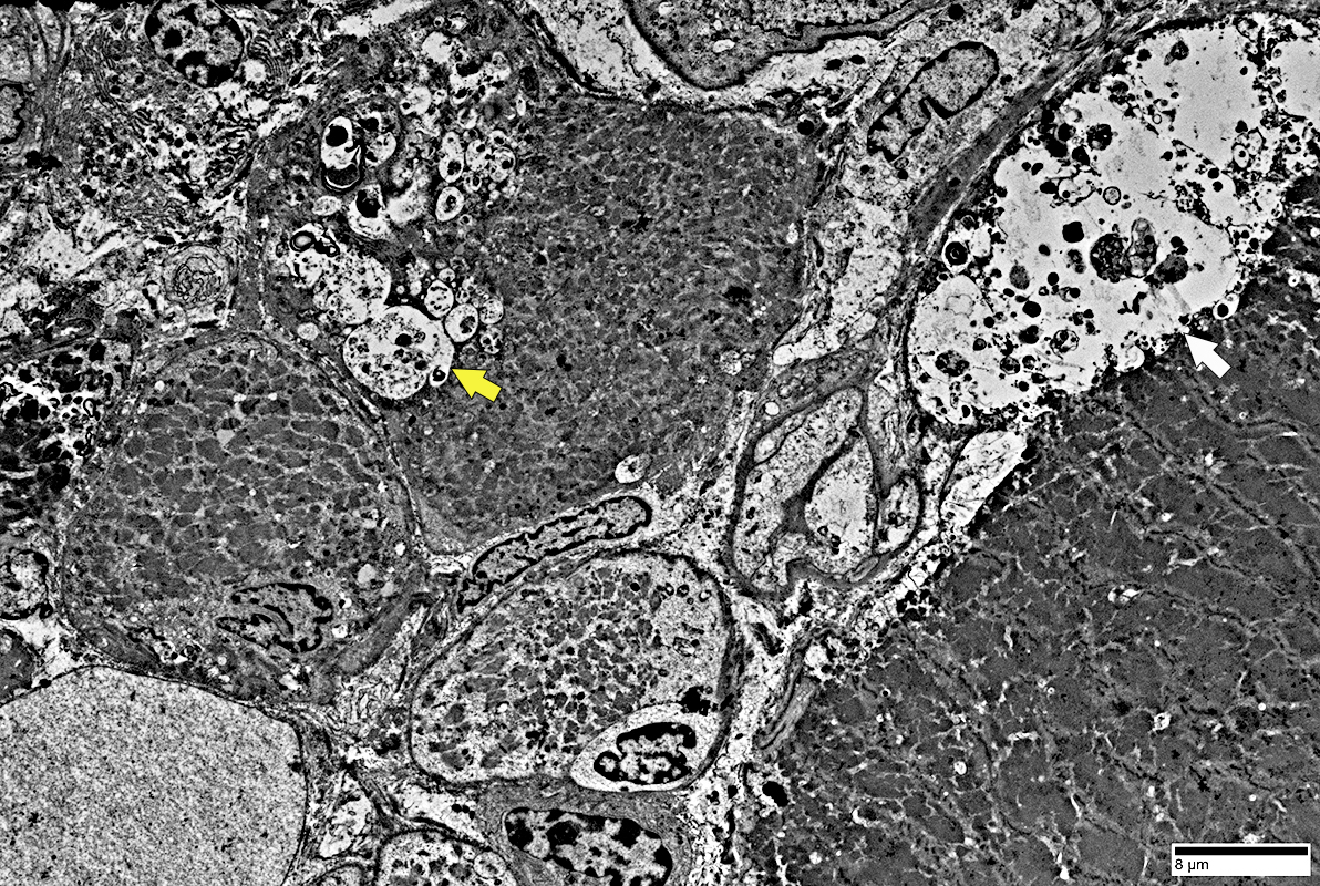
Inclusions & Vacuoles: Different Types in muscle fibers in IM-VAMP
- Filamentous (Black arrow; Above)
- Osmophilic (Red arrow; Above): Possible remanants of nuclear membranes
- Autophagic
- Membrane-like (White arrow; Above): Multilayered; Irregular shapes; May be within larger, "vacuolar", structures
- Tubulovesicular material (Below)

From: R Schmidt
|
Autophagic Vacuoles
Autophagic Vacuoles
Multiple small vacuoles in small muscle fiber (Yellow arrow)
Large autophagic vacuole: Budding from the surface of a large muscle fiber (White arrow)
Autophagic Vacuoles
Multiple small vacuoles in small muscle fiber
Lymphocytes
Location: Endomysium; Surround muscle fiber
Autophagic Vacuoles
Large vacuole replacing most cytoplasm in small muscle fiber (Above)
Contents of vacuole (Below)
Autophagic Vacuoles: Different contents
Filaments: Varied densities
Myeloid figures
Aggregates

From: R Schmidt
|
Aggregates contain
Filaments
A few myeloid structures & mitochondria

From: R Schmidt
|
Aggregates contain
Filaments
A few myeloid structures & mitochondria

From: R Schmidt
|
Aggregate Contents
Filaments
Myeloid structures
Tubulofilaments
Aggregates contain
Filaments
Myeloid structures
Mitochondria
Aggregates contain
Mitochondria
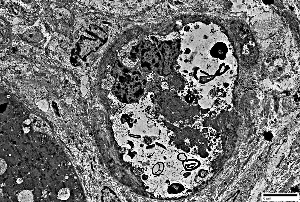
Muscle fibers: Focal Invasion by Cells
Inflammatory cells & Focal invasion of Muscle fibers in IM-VAMP (IBM)
Lymphocyte, Large, Possibly Granular (Black Arrow)
Extends a process (White arrow) into a non-necrotic muscle fiber
Other lymphocytes & histiocytes
Whole immune cells may be invading muscle fiber
Present in extracellular regions around muscle fiber
Muscle fiber pathology
Aggregates, various types
Vacuoles
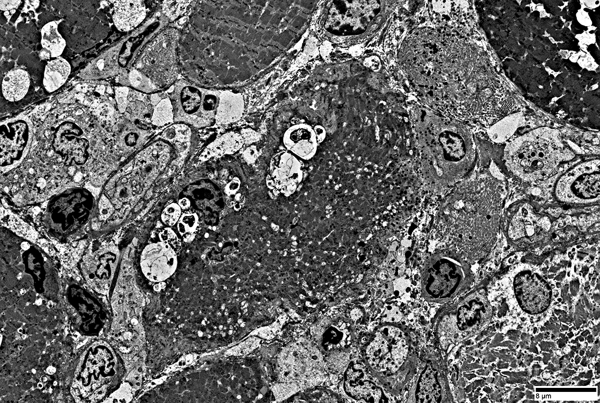
Muscle fiber: Focal Invasion by Cell
Lymphocyte, single, invades muscle fiber
Lymphocyte location: Inside muscle fiber; Above sarcolemma; Neighbors myonucleus
Muscle fiber: Focal Invasion by Cells
Lymphocytes (Light cytoplasm) & Histiocytes (Dark cytoplasm with phaogcytic debris)
Within the muscle fiber
Closely apposed to each other
Also in extracellular space
Sarcomeres near invading cells: Normal structure
Muscle fiber: Focal Invasion by small cell processes
Lymphocyte: Focal Invasion of a Muscle Fiber (Arrows)
Muscle fiber structure is damaged
MHC-1 Expression

Normal
|

IBM
|
IBM: MHC Class-1 up regulation by muscle fibers
- Normal (Left)
- Staining of capillaries but not muscle fibers
- IBM (Right & Below)
- Up-regulation within, and on the surface of, muscle fibers.
- MHC-1 is also present on inflammatory cells, Some focally invading muscle fibers (Arrow)
- Immature, smaller fibers can also express MHC Class-1 on their surface & in cytoplasm

MHC Class I stain
|

MHC Class I stain
|
MHC Class I: Expression by muscle fibers
Diffuse: Present in most, or all, muscle fibers
Distribution
Mostly Sarcolemma, or Sarcolemma + Cytoplasm

MHC Class I stain
|
Also see
IM-VAMP: Myonuclear Pathology
IM-VAMP: Nuclear features
Location: Internal nuclei
Structure
Clear centers
Outlines: Smudged or Pale

H&E stain
|
IM-VAMP: Nuclei
Internal: One or Several
Structure: Clear centers
May have peripheral cytoplasmic halo

Gomori trichrome stain
|

Gomori trichrome stain
|
IM-VAMP Myonuclei: Smudged outlines or Clear centers

Congo red stain
|
Myonuclei
Indistinct borders
Irregular shapes

H&E stain
|

H&E stain
|
IM-VAMP Myonuclei: Smudged outlines; Pale staining (Arrows)

H&E stain
|
IM-VAMP Myonuclei: Reduced staining in subsarcolemmal regions of muscle fibers

H&E stain
|

H&E stain
|
IM-VAMP (IBM): Mitochondrial Pathology
Molecular Pathology
Mitochondrial DNA (mtDNA)
Deletions & Duplications
3
Histology
COX- Muscle fibers
SDH+ Muscle fibers
Mitochondrial Ultrastructure
Proliferation
Morphologic Δ

Cytochrome oxidase stain
|
Cytochrome oxidase (COX): Many IBM (IM-VAMP) biopsies have scattered COX- muscle fibers

Cytochrome oxidase stain
|

COX stain
|
COX-negative muscle fibers
2 muscle fibers with nearly absent staining
Neighboring fibers have normal staining
Changes are likely due to acquired mutations in mtDNA causing loss of synthesis of COX subunits

SDH stain
|
SDH-positive muscle fibers
2 muscle fibers with increased staining
Small muscle fiber above shows increased staining in entire cytoplasm
Larger muscle fiber below has more mitochondrial accumulation in subsarcolemmal regions
Neighboring fibers have normal staining
Changes are likely due to acquired mutations in mtDNA causing mitochondrial proliferation
Also see: Myositis (IM-VAMP) with Mitochondrial Pathology
Ultrastructure
Mitochondrial Pathology in Muscle fibers from this biopsy: SDH stain

SDH stain
|
Ultrastructure: Subsarcolemmal Mitochondrial Accumulation
Also see: Mitochondrial ultrastructure pathology, other

From: R Schmidt
|
Mitochondria: Subsarcolemmal accumulation

From: R Schmidt
|
Mitochondrial pathology: Subsarcolemmal regions
Some areas have dense collections of mitochondria (Left)
Other subsarcolemmal areas have relatively few mitochondria (Right)

From: R Schmidt
|

From: R Schmidt
|
Mitochondria: Abnormal morphology
Mitochondria are often
Elongated
Irregular shaped

From: R Schmidt
|

From: R Schmidt
|
Mitochondria: Abnormal morphology
Mitochondria are often
Elongated
Irregular shaped

From: R Schmidt
|

From: R Schmidt
|
Mitochondria: Elongated
Mitochondria: Increased Numbers

From: R Schmidt
|
IBM: Capillary Proliferation & Enlargement

VvG stain
|
Endomysial Capillaries
Large
Numbers: Increased

VvG stain
|

Ulex stain
|
Endomysial Capillaries
Large
Numbers: Increased
Prominent Endothelial Cells

Ulex stain
|
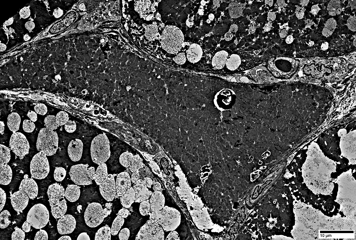
Ultrastructure: Cells near Endomysial Capillaries

From: R Schmidt
|

From: R Schmidt
|

From: R Schmidt
|
Return to Neuromuscular Home Page
Return to Inflammation
Return to Inflammatory myopathies & IBM
References
1. Brain 2019 Jul 20
2. Brain 2016;139:1348-1360,
Brain 142:2590–2604
3. Brain Pathol 2020 Dec 22;e12931
4. Ann Neurol 2022 Jan 22
5. J Neuropathol Exp Neurol 2022;81:825-835
6. Nat Aging 2024 Jun 4
5/13/2025