Denervated Schwann Cells
Büngner bands
- Bands of interdigitating Schwann cell processes
- Surrounded by basal lamina (Schwann tube)
- Size: > 3 μm
- Schwann cells: Molecular markers
- No associated axons
- Basement membrane: Irregular
- Due to
- Loss of Myelinated axons
- Proliferation of associated Schwann cells
- Axon regeneration: Often occurs within Büngner bands
- Course with no axon regeneration
- Schwann cells
- Atrophy
- May develop characteristics of perineurial cells
- Pinocytotic vesicles
- Divide endoneurium into microfascicles
- Denervated: Also present in onion bulbs
- Difference from non-myelinating Schwann cells: Contain P0
- Collagen accumulates
- Collagen fibers
- May surround Schwann cell tube
- Thinner (23 to 30 μM than normal endoneurial collagen
- Some nerves with axon loss: Do not develop Büngner bands
Collagen Pockets
- Due to loss of: Unmyelinated axons
- Non-myelinating Schwann cells (Remak cells) surround: Collagen fibrils
- Proliferation of Remak cells: Response to degeneration of myelinated axons
Büngner Bands

Toluidine blue
|
Bands of Büngner: Collections of processes from Denervated Schwann Cells (Black Arrow)

From: R Schmidt
|
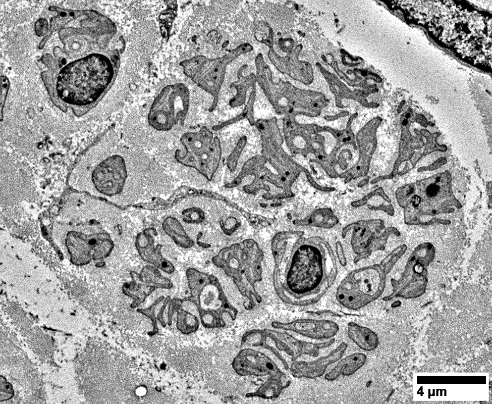
Bands of Büngner: Collections of processes from Denervated Schwann Cells
Clusters of Schwann cell processes are contained within a layer of basal lamina

From: R Schmidt
|
Bands of Büngner: Collections of processes from Denervated Schwann Cells
Schwann cell processes are contained within a layer of basal lamina (Arrows)
Schwann cell processes: Multiple collections
|
Schwann cell processes: Within layer of basal lamina
|
Denervated Schwann cells: Have normal Basal lamina outside surface membrane

From: R Schmidt
|
Bands of Büngner: Collections of processes from Denervated Schwann Cells
Büngner Band Cells: Schwann cells with No associated axon
Small & Large Axon loss: Severe

Neurofilaments (Green); P0 (Red)
|
Büngner Band cells stain for P0 protein (Red; In absence of myelin) &
NCAM
Axon loss, Severe: Little staining for large or small axons (Green)
Büngner bands
p0 & NCAM co-localize in Schwann cells with no associated axons (Yellow)
Small NCAM positive cells (Green) are associuated with remaining small, unmyelinated axons
Normal: Many p0 positive myelin sheaths with no NCAM
In nerves with
axon loss but no Büngner bands, remaining denervated Schwann cells express NCAM but not P0.

NCAM (Green) & p0 (Red) stains
|
Loss of all myelinated axons
VvG stain
|
Loss of all axons

Neurofilament + Gomori stain
|
Non-Myelinating Schwann cells (NCAM stain): Remain present all through endoneurium

NCAM + Gomori
|
Collagen pockets
Return to
Axonal loss
Go to
Normal nerve
Return to
Pathology & Illustrations
Return to
Neuromuscular Home Page
2/2/2026