AXON LOSS
Nerve Injury
Degrees
- Neuropraxia
- Axon: Anatomically intact: No Wallerian degeneration
- Anatomy
- Especially affects: Large myelinated axons
- Pathology: Focal demyelination or dysfuntion
- Physiology: Nerve conduction block
- Clinical pattern: Motor > Sensory
- Axonotmesis
- Axons: Discontinuous Wallerian degeneration
- Epineurium: Continuous
- Neurotmesis
- Complete nerve disconnection
Electrophysiology: Changes after nerve transection
- CMAP
- Normal for 2 to 3 days
- Reduced amplitude: Reaches nadir at 7 to 10 days
- SNAP
- Amplitude: Reaches nadir at day 10 or 11
- EMG
Wallerian degeneration
- Motor axons: Onset 3 to 5 days
- Sensory axons: Onset 6 to 10 days
Myelinated axons: Loss
Axons, Large & Small: Comparative changes
Myelinated Axon loss: Large > Small

Toluidine blue stain
|
Myelinated Axon loss: Small > Large

VvG stain
|
Large axons: Moderately severe loss
|
Small Axons: Relatively preserved:
Many Small axons, but Few large, myelinated axons
Small axons are diffusely distributed, not clustered, in endoneurium

Neurofilament stain
|
Remaining Large Myelinated Axon (Arrow)

Neurofilament stain
|
Axon loss, severe: Large & Small axons are both markedly reduced

Neurofilament stain
|
Myelinated axons: Severe loss

VvG stain
|
Wallerian Degeneration
5
Wallerian Degeneration: Principles & Features
- Wallerian degeneration: Definition
- Sequence of Axon & Myelin degeneration
- Location: Segment of nerve distal to a site of transection
- Stages
- Electrodiagnostic
- ? Similar process: Dying back axon degeneration
- Wallerian Degeneration: Morphological & other changes in nerve constituents
- Stimulus for Wallerian degeneration
- Distal axon loses connection with proximal axon
- Wallerian degeneration: Axon changes
7
- Early
- Minutes: Changes in axon segments near transsection
- Short-distance (200 μM): Acute axon degeneration (AAD)
- Mediated by
- Extracellular Ca++ influx
- Anterogradely conduced wave in distal axon
- Activation of calpain
- Ca++-dependent serine-threonine protease
- Intracellular enzyme
- Inhibited by: Ca++ channel blockers
- Hours to 2 days
- Regions near injury: Accumulation of organelles & mitochondria
- Dystrophic bulbs
- Occur at both transected ends
- Mechanism: Anterograde & retrograde axon transport
- Proximal & Distal axon: Retraction from injury site
- Distal axon
- Remains morphologically intact & electrically excitable
- Axon transport (anterograde & retrograde) continues
- Proximal stump: Produces sprouts within hours after axotomy
- Later (≥ 1 to 3 days): Changes in Distal axon
- Endoplasmic reticulum: Loss of structure
- Cytoplasm: Neurofilament & Cytoskeleton Degradation
- Associated with influx of Ca++
- Activation of calpain
- Autophagy-related
- Mitochondria: Swelling
- Distal axon morphology: Granular degeneration
- Becomes fragmented
- Phagocytosis
- Direction after focal injury: Proximal to Distal; Rate of up to 24 mm/hr
- Timing
- Before degeneration
- Distal axon segment may remain electrically excitable
- Sensory responses persist 2 to 3 days longer than motor
- Conduction failure may precede axon degeneration
- Time to loss of excitability
- Facial nerve: 4 to 7 days
- Arm nerves, Motor: 5 to 7 days
- Arm nerves, Sensory: 7 to 10 days
- Degeneration
- Begins several days (4 to 10) after axonal transection
- Progression
- Possible length dependence
- May be from proximal to distal axon or diffuse
- More rapid with shorter distal stump
- WD Delayed by: Molecules & Factors
- Temperature: Reduced
- Extracellular Ca++: Lowered
- Ca++ channel (L-type) blockers
- Mutations or Loss
- NMNAT1: WldS
- NMNAT2
8
- General
- Chaperone
- Aids in refolding of misfolded proteins
- NAD+ biosynthesis
- Catalyzes
- Nicotinamide mononucleotide (NMN) →
Nicotinamide adenine dinucleotide (NAD+)
- Controls SARM1 activation
- NAD+: Inhibits SARM1 (Inactive TIR domains)
- NMN: Associated with SARM1 activation (Active TIR domains)
- Present in axon cytoplasm
- Carried down axon by anterograde axon transport
- Short half-life: Rapidly lost after axon transection
- 2 pools: Vesicular & Non-vesicular
- Axons
- Disease: Polyneuropathy & Erythromelalgia
- NOS knockout
- DR6 (TNFRSF21)
9
- SARM1
↓ Activity (Inhibition)
8
- Toll-like receptor adapter protein
- SARM1 structures
- Forms octameric ring: via SAM domain
- SARM1 Loss
- Axon degeneration: Slowed
- Types of axon degeneration affected
- Transsection
- Dying back (Chemotherapy)
- SARM1 activity
- Required for early injury induced axon degeneration
- Causes damage by: Reducing NAD+ in axon cytoplasm
- SARM1 activated by
- High NMN/NAD+ ratio
- TNF-α
(Neuro-Inflammatory signal)
- MLKL (Necroptosis-like signal): Via inducing loss of
- Axotomy
- Blocks delivery of labile axon survival factors (NMNAT2)
- Factors normally inhibit SARM1
- Mechanism of SARM1 action: Stimulates NAD+ cleavage & loss
- Active SARM1 protein domain
- Toll/Interleukin-1 receptor (TIR)
- Possesses intrinsic NAD+ cleavage (NADase) activity
- NADase activity increased
- NAD+ converted to ADPR (ADP Ribose) products
- Leads to Ca++ influx & Axon degeneration
- SARM1 required for: Vincristine & Bortezomib induced axon degeneration
12
- Vincristine
- Stimulates axon autonomous degeneration via MAPK pathway
- Mediated by MAP3K12
& MAP3K13
- Bortezomib
- Induces axon degeneration via neuron cell body
- Mediated by
- Activated caspases (Caspase-3 cleavage) in axon
- Transcriptional regulation
- Apoptosis-like
- Similar mechanism to NGF withdrawal
- Disease association: ALS & SPG
13
- Gain of function polymorphisms
- Frequency: 0.12% vs Not seen in controls
- DLK (MAP3K12)
: Loss of function
- jnk (MAPK8)
: Signaling requires DR6
- Inhibition: JNK kinase
; GSK3; IKKB (IKBKB)

- WD More rapid
- Galectin-3 loss
- Increased pro-inflammatory cytokines
- IL-1β, TNF-α, Toll-like receptor (TLR)-2 & -4
- Increased phagocytic capacity of Schwann cells & macrophages
- No effect: NGF
- WD: Molecular events
1
- Early in axons
- Loss of m-Calpain
- Ca++ entry
- Associated cytokines
- Early: TNFα & IL-1α
- After delay: IL-1β
- Inhibitory molecule: MOX2 (CD200)
inhibits macrophage lineage cells
- Not related to bcl-2 or caspase activation
- Molecules upregulated in neurons after axotomy
- STAT-3 protein
: Associated with CNTF stimulation
- Activating transcription factor 3
: Acts as heterodimer with jun proteins
- Nna1 (ATP/GTP-Binding protein 1; AGTPBP1)
: Motor neurons
- Putative zinc carboxypeptidase
- Presumed nuclear localization
- Adenosine triphosphate/guanosine triphosphate binding motif
- Genetics
- Disorder: CONDCA
- Mutations (Animal): Purkinje cell degeneration (pcd) mouse
- Nerve injury associated kinase: Sensory neurons
- Molecules upregulated in nerve distal to transection
- Early activation of erbB2 4
- Related to: Schwann cell demyelination after axotomy
- Time course
- Early activation: Occurs 10 to 180 minutes after nerve damage
- erbB2 also increased late (days) after nerve transection
- Anatomy
- Originates in microvilli of Schwann cells, in direct contact with axon
- Localized to nodal region of myelinating Schwann cells
- Activation occurs near & distal to nerve transection site
- Related features
- MAPK is also activated early after nerve transection
- ATP mimetic PKI166 (Blocks erbB2 activation)
- Reduces ovoid accumulation in Schwann cell cytoplasm
- Neuregulin coreceptor erbB3 participates in the rapid activation
- Neuregulin in vitro
- Induces demyelination
- Mimics early response of Schwann cells to nerve damage
- Ninjurin1
- Adhesion molecule
- Induced in injured DRG neurons & Schwann cells
- Ninjurin2
- Adhesion protein
- Expressed constitutively by mature sensory neurons
- Induced in Schwann cells in distal segment of lesioned nerve
- Glial cell line-derived neurotrophic factor (GDNF)
- GDNF family receptor α1 (GFRα1)
- Disintegrin CRII-7/rMDC15
- ADAM (a disintegrin and metalloprotease) gene family
- FGF-2
- IL-6: Pain-inducing cytokine
- TNF-α
: Macrophage recruitment from the periphery
- SDF-1γ (Stromal cell-derived factor (SDF)-1 isoform)
- Molecules reduced in nerve distal to transection
- SCG10 (Stathmin-like 2; STMN2)
14
- Reduced in distal stump before morphologic changes
- Promotes regeneration in proximal stump
- Heterozygous knockout: Motor axon damage
- Reduced in spinal cord in ALS
- Mice with slow Axon degeneration
- C57BL/Wlds
- Genetics
- Mutation: 85 kb tandem triplication on distal mouse chromosome 4
- Mutated region contains 2 associated genes
- Nicotinamide mononucleotide adenylyltransferase (NMNAT1; D4Cole1e)

- 5' end of ubiquitination factor E4B (Ube4b)

- Proteins
- NMNAT1
- Subcellular location: Nuclear; May act in cytoplasm
- Expressed in: Skeletal muscle, Heart, Liver, Kidney & Brain
- Function: NAD biosynthesis
- Probably the component responsible for axonal protection
- NMNAT1 enzyme activity required for axon protection
- Sirt1
(NAD-dependent deacetylase)
- Downstream of NNMNAT
- Contributes to axonal protection
- E4B
- Subcellular location: Cytoplasmic
- Expressed in: Skeletal muscle, Ovary, Testis & Heart
- Functions
- Binds to ubiquitin moieties of conjugates
- Catalyzes ubiquitin chain assembly
- WldS mutation
- Chimeric gene product: 1st 70 AA Of Ube4b + NMNAT1 full sequence
- Causes ectopic localization of NMNAT1 (NAD+ biosynthesis enzyme) to axons
- May augment NMNAT2
- Maintains NMNAT enzyme activity in distal axons after injury
- Loss of NMNAT2
causes axon loss in vitro
- Site of action may be axonal ER/Golgi or mitochondria
- Mutation effects on proteins: Increased expression
- Mouse effects
- Wallerian degeneration delayed by 3 to 4 weeks
- Axons less susceptible to vincristine toxicity
- pmn mouse: Slower progression of disease
- SOD1/ALS (SOD1-G93A) mouse
3
- Slightly longer survival
- Delayed denervation at NMJ
- Neuronal nitric oxide synthase knockout
2
- Slow Wallerian degeneration
- Delayed regeneration
- Incomplete pruning of axon sprouts: Enhanced number of axons
- Wallerian degeneration: Myelin changes
10
- Early
- Anatomic
- Schmidt-Lantermann incisura: Widened
- Myelin layers: Irregular
- Ovoid formations begin at these loci
- Molecular
- Expression of Phospholipase A2 (Lipolytic enzyme)
- Activation of neuregulin-ErbB2 signaling (Demyelinating mechanisms)
- Actin polymerization
- E-cadherin recycling
- Paranodal myelin retraction
- Myelin "collapse" & fragmentation
- Myelin Degeneration
- Degenerative changes of myelin: Patterns
- Initial
- Within "Demyelinating" (Post-myelinating) Schwann cells
- Subcelllular: Begins along Schmidt-Lanterman clefts
- Associated with: c-Jun activation; Increased autophagic activity
- Anatomic along nerve: Distal to proximal direction
- Axon types: Small axons before Large axons
- Molecular markers of Schwann cell & Macrophage activity
- Mixed lineage kinase domain-like protein (MLKL)
11
- Location: Increased in Schwann cells & Macrophages
- Binds to sulfatide
- Final executioner of canonical necroptosis
- Induces loss of axon survival factors NMNAT2 & STMN2 to activate SARM1
- Myelin degradation associated with phosphorylation of MLKL serine 441
- MLKL knockout: Reduces or delays myelin breakdown & axon regeneration
- Myelin basic protein (MBP): Present in myelin fragments
- Consequence: Often signal, or attract, phagocytic macrophages
- Ovoid formation
- Primary ovoids: Early change (1 to 2 days)
- Intracellular (Schwann cell) myelin: Fragmentation
- Abaxonal Schwann cell cytoplasm
- Dilated
- Contains rough endoplasmic reticulum (RER) & vesicles
- Secondary ovoids (Myelinosomes): Later change (3 to 7 days)
- Pinched off from primary ovoid
- Compact myelin structures in Schwann cell cytoplasm
- Exocytosed from Schwann cell cytoplasm
- Into abaxonal extracellular space
- Myelin debris: May be further degraded by macrophages
- Macrophages
- ? Attracted by cytokines
- Phagocytosis & degradation of myelin debris
- Schwann cells
- Changes
- Proliferation: Especially non-myelinating Schwann cells
- De-differentiation: Myelinating Schwann cells
- Develop autophagic properties
- Degrade myelin sheath
- Auto-autophagy: Myelinating Schwann cells
6
- Contain & Degrade: Myelin debris (Myelinophagy); MPZ & MBP proteins
- Autophagy markers increased: LC3-II; Wipi2
- Most prominent in 1st week after nerve injury
- Less autophagy by CNS oligodendroglia after axon damage
- Form Bands of Büngner
- Definition: Arrays of Schwann cells & processes within basement membrane
- Molecular: Büngner band Schwann cells express both NCAM & P0 protein
- Provide substrate for axonal regeneration
- Long-term: Schwannn cells atrophy and disappear if axonal regeneration does not occur
- Phagocytes (Macrophages): Degradation of myelin breakdown products to lipid debris
- Origin
- Mostly hematogenous incoming
- Recruitment regulated by: Raf–MEK–ERK mitogen-activated protein kinase
- Invasion of nerve 3 to 4 days after axon transection
- Phagocytosis of sudanophilic (lipid) debris: Appear as foamy cells
- Complement is necessary for phagocytosis
- Clear axonal & myelin debris
- Course: Cells may persist for 3 to 7 months
- Fibroblasts
- Proliferate during 1st week
- Migrate adjacent to degenerating fibers
- Produce some collagen
- Blood-nerve barrier
- Loses integrity during early degeneration & regeneration
- Re-established over months
Alternate axon degeneration pathway: Trophic withdrawal induced
- Stimulus: Loss of trophic factors (NGF)
- Site of degeneration: Distal axon
- Pathway components
- Membrane related: p75; DR6
- Bax
- Caspases: 9; 6; 3
|

Remak

Oppenheim 1894
|
|
Wallerian Degeneration: Pathology
Axon Degeneration: Patterns & Morphology
Axons: Degeneration, Ongoing, Early
Degeneration of Myelinated Axons: Ultrastructure
Axon Loss: Early
Neurofilament stain of Axons: Reduced or Absent
Neurofilament-stained axons: Lost within regions of myelin (MBP stain)
Axons: Neurofilament stain
Reduced or Absent staining for Large axons (Yellow)
Staining for Small axons (Green) remains
Mechanism of axon loss:
SARM1
Myelin-Basic Protein (MBP) (Red): Present in remaining myelin
Regions with MBP stain are abnormal: Costain with NCAM
Also see:
Control Nerve

Neurofilament stain (Green or Yellow); Myelin Basic Protein stain (Red)
|
Control Nerve Myelin basic protein (Red) surrounds large axons (Yellow)
Normal clusters of small unmyelinated axons (Green)

Neurofilament stain = Green; Myelin basic protein stain = Red
|
Also see
Control nerve
Moderately later pathology
Large Axon loss: Chronic

Neurofilament stain
|
Loss of Large Axons: Active
Neurofilament staining: Areas that normally contain axons & myelin have
Absent staining of large axons
Neurofilament debris: Granules stained
NCAM staining
Myelin debris/ovoids: Abnormally stained for NCAM
Small, Unmyelinated, Axons
Neurofilament staining: Normal clusters
Compare to: Control nerve
|

Neurofilament stain
|

NCAM stain
|
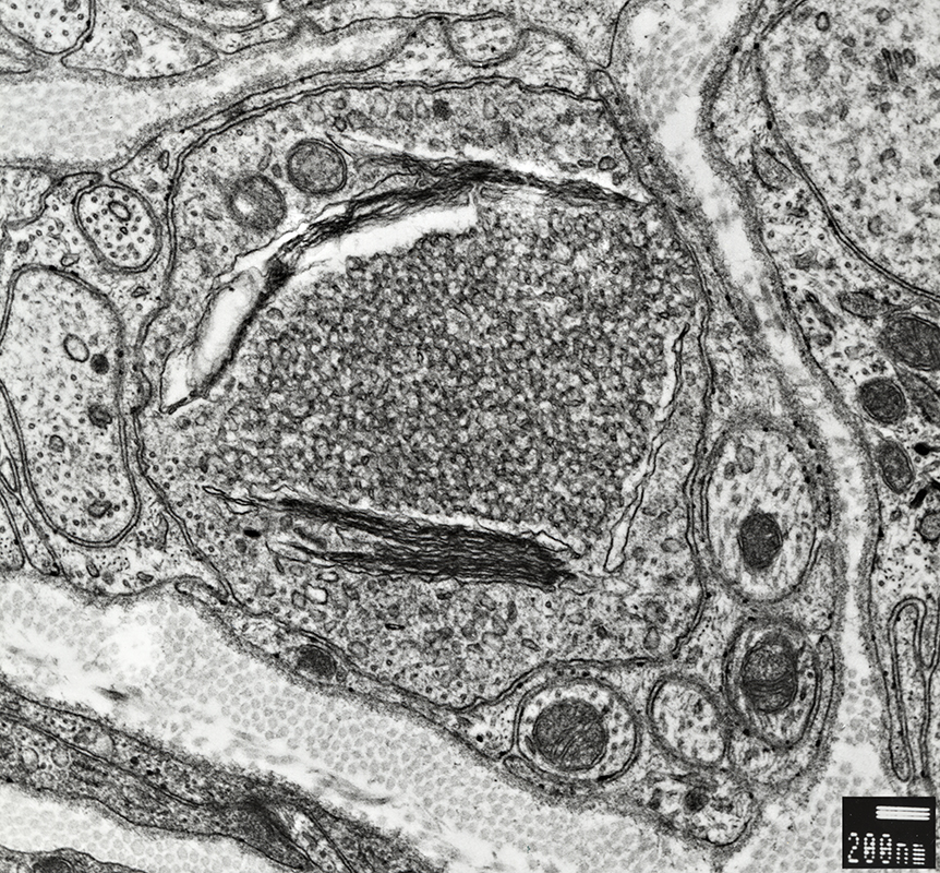
Myelinated Axon Degeneration: Very Early
Axon Pathology

From: R Schmidt
|
WD Very Early: Axoplasm Aggregates
WD Very Early: Axoplasm: Dark & Homogeneous
WD Very Early: Axoplasm
Pale
Few organelles
WD Very Early: Axoplasm, Ultrastructure
Aggregated organelles
Clustered regionally in axon: Near mildly abnormal myelin structure

From: R Schmidt
|
WD Very Early: Axoplasm, Ultrastructure
Volume: Reduced
Structure
Irregular or Pale
May contain vesicles or organelles
Myelin sheath:
May appear very thick compared to axon size

From: R Schmidt
|

From: R Schmidt
|
WD Very Early: Axoplasm, Ultrastructure
Volume: Reduced
Structure
Irregular or Pale
May contain vesicles or organelles
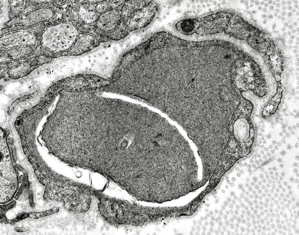
WD Moderately Early: Axoplasm loss & Pathology

From: R Schmidt
|
Axoplasm
Volume: Reduced
Structure:
May be irregular
Myelin sheath: Appears very thick compared to axon size

From: R Schmidt
|

From: R Schmidt
|
Axoplasm
Volume: Reduced
Structure:
May be irregular
Myelin sheath: Appears thick compared to axon size

From: R Schmidt
|
Axoplasm
Blebs: May be present between damaged axon & myelin (Below)
Myelin ± Axon Pathology: Early

From: R Schmidt
|
Axoplasm
Clustered organelles
Myelin: Early WD Changes
Internal Pathology: Bleb, from internal layers of myelin sheath, indents axon
Sheath: Thick compared to axon size
WD Very Early
Myelin
Abnormal structure of internal layers
Axon
Aggregated organelles
Clustered regionally in axon: Near abnormal myelin structure
WD Very Early
Axon
Aggregated Organelles
Remnants of axon within remaining compact myelin
Myelin: Irregular internal areas
No associated phagocytic cells

From: Robert Schmidt MD
|

From: Robert Schmidt MD
|
WD Early
Myelin: Blebs from inner myelin layers indent axons
Compact Myelin: Abnormal Structure
Axoplasm Pallor
Axoplasm is pale
Organelle aggregates are present
Myelin Early WD Changes
Structure of compact myelin is disrupted
Outer Myelin Layers: Abnormal Structure
Axoplasm
May be: Pale or Aggregated
Myelin Early WD Changes
Myelin outer layers: Abnormal structure
Remaining myelin:
Thick compared to axon size
WD, Early: Ab-Axonal Schwann cell Cytoplasm
Pale background
Irregular aggregates
Wallerian Degeneration
Wallerian Degeneration, Days to Few Weeks Regions of Myelin basic protein (Red) often have no associated axons
Loss of small unmyelinated axons (Green)

Neurofilament stain = Green; Myelin basic protein stain = Red
|
Loss of Large Axons: Moderately later than above
Axons (Yellow & Green; Neurofilament stain)
Absent, or Reduced large axons: Axons inside Myelin basic protein stained myelin (Schwann cells)
Areas where axons are lost are black
Small axons are relatively preserved
Myelin basic protein stain (Red)
Abundant
Shapes: Variable and irregular
No associated axons
Central dark areas where axons are lost
Regions of Myelin Basic Protein (Red) have no associated Neurofilament-stained (Yellow) axons

Neurofilament (Green) & Myelin basic protein (Red) stain
|
Also See
Control nerve for comparison
Axon loss: Earlier
Axon Loss: Myelin Pathology

H&E stain
|
Myelin
Stain: Reduced or lost
Structure: Lost or clumped

Gomori trichrome stain
|

VvG stain
|

H&E stain
|
Myelin
Stain: Reduced or lost
Structure: Lost or clumped

Gomori trichrome stain
|

Gomori trichrome stain
|
Myelin is still present

VvG stain
|
Many Myelin sheaths are paler stained

VvG stain
|
Wallerian Degeneration: Schwann cells, Myelinating: Molecular pathology
NCAM expressed in myelin sheath

NCAM stain
|
Axon Degeneration, Early/Myelin Pathology (Above): Increased NCAM expression in Schwann cell cytoplasm/Myelin sheath
Normal (Below): NCAM expressed mainly in adaxonal cytoplasm

NCAM stain
|
Normal nerve: Schwann cells, Non-myelinating
Normal (NCAM+) Non-myelinating Schwann cells
Present in clusters between myelinated axons
Not present in most regions of myelin sheath
Also see:
Large axon loss, Chronic
Abnormal Co-localization of NCAM & MBP in myelin remnants (Yellow)

NCAM (Green) + Myelin basic Protein (MBP) (Red) stain
|
Also see:
Control nerve
Autophagic Schwann cells

Acid phosphatase stain
|
Acid phosphatase stains
Fragmented myelin
Scattered endoneurial histiocytes

Acid phosphatase stain
|
Myelin & Axon degeneration: Ongoing, Early
Fixed nerve

Toluidine blue stain
|
Axon & Myelin Degeneration: Many circular compact myelin profiles with
Irregular, pale or dark, central regions
No phagocytes or fragmentation
Irregular morphology

Toluidine blue stain
|
Axon degeneration: Early
Irregular myelin figures
Some remaining axons have dark axoplasm
No histiocytes (with lipid droplets in cytoplasm)

Toluidine blue stain
|
Wallerian degeneration: Schwann cell pathology

C5b-9 stain
|
C5b-9: Stains Schwann cell processes around myelin sheaths

C5b-9 stain
|

MxA stain
|
MxA: Stains Schwann cell processes around myelin sheaths

MxA stain
|

MxA stain
|
Wallerian Degeneration: Intermediate stages
Myelin Breakdown: Fragmentation & Degeneration in Schwann cells

VvG stain
|

Acid phosphatase stain
|
Wallerian degeneration: Myelin fragmentation stage
Large endoneurial cells (red) contain prominent lysosomal activity

Acid phosphatase stain
|
Large, Post-myelinating (Autophagic) Schwann cells
Autophagic
Contain
Fragmented myelin (Light arrow): In various shapes & stages of degeneration
Lipid droplets (Dark arrow): Small, Round & Clear

Toluidine blue stain
|
Myelin fragmentation in Post-myelinating (Autophagic) Schwann cells

Electron micrograph: From Robert E Schmidt MD
|
Early phase: Autophagic Schwann cell
Myelin, compact: Fragmentation inside Schwann Cell
Schwann cell characteristic: Surrounded by Basal lamina (Below; Arrow)
Axon is lost
Autophagic Schwann cell
Contains: Myelin fragments & Lipid droplets

Robert E Schmidt MD
Myelin Degradation: Later phase
Autophagic Schwann Cells contain
Lipid debris
Myelin fragments, small
Axons: Lost
|

Electron micrograph: From Robert E Schmidt MD
|

Electron micrograph: From Robert E Schmidt MD
|
Myelin & Axon Degeneration: Ongoing, Weeks; Myelin Degradation to Lipids
Macrophages & Phagocytic cells
15
- Sources
- Intrinsic
- Recruitment from circulation
- Schwann cell differentiation
- Recruitment factors
- Interleukin-17B (IL-17B)
: Binds to IL-17 receptor B
- Chemokine, CC motif, ligand 2 (CCL2)

Acid phosphatase stain
Autophagic/Phagocytic cells, Endoneurial
Myelin sheaths are stained
|


Toluidine blue stain
Schwann cells contain
Degraded Myelin sheaths
Lipid droplets
|

CD68 stain
Macrophages/Autophagic cells
|

Toluidine blue stain
|
Wallerian degeneration: Ongoing
Irregular, large myelin figures
Many histiocytes: Contain small round lipid droplets in cytoplasm
Axons are degraded & lost

Toluidine blue stain
|

Toluidine blue stain
|
Wallerian degeneration: Ongoing myelin degradation
Irregular, large myelin figures
Many histiocytes with lipid droplets in cytoplasm
Axons are degraded & lost

Toluidine blue stain
|

Toluidine blue stain
|

Toluidine blue stain
|
Myelin ovoids: Longitudinal section of nerve

Toluidine blue stain
|
Myelin Ovoids: Teased axons
Top: Myelinated axon, control (Node of Ranvier at Arrow)
2nd row: Schwann cell sheath with no remaining myelin fragments or axon
Below:
Myelin ovoids & remnants along paths of previously degenerated myelinated axon
Myelin Remnants: Features
Irregular laminated structure
Within Schwann cell
No associated axon
Histiocytes: Debris- & Lipid-containing
Phagocytes (vacuolated) in endoneurium
Large cells: Contain myelin debris or round, clear lipid droplets.
Normal axons with thin & thick myelin sheaths may also be present.

Toluidine blue stained plastic sections
|
Myelin profiles & Lipid droplets in phagocytic (Probably Schwann) cells

Toluidine blue stained plastic sections
|
Early WD: Histiocytes
Myelin
Myelin outer layers: Irregular structure
Schwann cell, Ab-Axonal cytoplasm
Contains myelin fragments
Histiocytes
Present in areas around axon
Histiocytes with Myelin fragments around a cell with a large, partially degraded Myelin sheath
Myelin Degradation: Late stage with Lipid droplets & some Myelin fragments
Ultrastructure: Myelin debris & Lipid droplets in Schwann cells & Histiocytes
Some cells have mostly myelin debris (Upper right)
Some cells have many clear, round lipid droplets
Schwann cell processes: Surrrounded by a single basal lamina
Some contain myelin in different stages of degradation
Degradation products include
Ovoid-like structure (Right)
Lipid droplets of different sizes
Some smaller Schwann cell processes have no degradation products
Histiocyte: Endoneurial
Contains many clear, round Lipid droplets
Surface: Shows several processes extending into endoneurium
Lipid droplets in Schwann Cells & Macrophages
Schwann cells (Dark arrows) &
Macrophages (Light arrows)
Closely-apposed
Phagocytic
Contain lipid droplets &
Myelin debris
|

|
Phagocytic cells: Contain Myelin & Lipid debris
Wallerian Degeneration, Later stage: Histiocytes with Lipid debris around Endoneurial Microvessels

From R E Schmidt MD
|
Macrophages, Perivascular
- Contents
- Lipid droplets
- Myelin debris, small
- Location

From R E Schmidt MD
|
Axons, Regenerating/Regenerated
Surrounded by Schwann cell cytoplasm
Unmyelinated (Below)
Thinly myelinated axon (Far right)

From R E Schmidt MD
|

From R E Schmidt MD
|
Axon Sprouts & Growth Cones

From R E Schmidt MD
|
Axon sprout
Contains: Tubulovesicular material

From R E Schmidt MD
|
Axon sprouts
Contain: Mostly filaments

From R E Schmidt MD
|

From R E Schmidt MD
|
Growth Cone
Contains: Vesicular material & mitochondria
Surrounded by: Schwann cell processes & basal lamina
Collagen Pockets
Collagen fibrils surrounded by Schwann cell processes
More common with
Loss of small axons
Increased age
No axon regeneration

RE Schmidt MD
|

Electron micrograph: From Robert E Schmidt MD
|
Collagen Pockets
Collagen fibrils surrounded by Schwann cell processes

Electron micrograph: From Robert E Schmidt MD
|
Schwann cell processes within & surrounding collagen fibrils
Collagen Pockets: Large

From: R Schmidt
|
Collagen Pocket: Large

From: R Schmidt
|
Loss of Myelinated, & Some Unmyelinated, Axons
Unmyelinated axons: Mild loss
Normal: Yellow (Green axon + Red NCAM stained Schwann cell)
Lost: Non-myelinating Schwann cells (NCAM stained, Red) without associated axons (Arrow)
Myelinated axons: Severe loss
Markedly reduced numbers of larger green (neurofilament) axons
Few remaining large axons are small
See
More severe small axon loss
Control (Below)

Neurofilament stain (Green) + NCAM stain (Red)
|
Large Axons: Nearly complete loss (Chronic)
Large axons: None stained
Small axons: Many preserved
Myelin basic protein: Co-stains (Yellow) on many smaller axons

Neurofilaments (Green); MBP (Red)
|
Control nerve

Neurofilaments (Green); NCAM (Red)
|
Myelinated Axons (Large, Green)
2 sizes: Large & Intermediate
No associated NCAM positive (red or yellow) cells
Unmyelinated axons (Small, Yellow)
Occur in clusters
Co-stain (Yellow) for neurofilaments & surrounding non-myelinating Schwann cells
Also see
Large axon loss
Large & Small axon loss
Skin: Normal & Axon loss
Skin Innervation & Biopsy: General
- Utility: Reliable test to document loss of small axons in skin
- Measurement: Intraepidermal nerve fiber density (IENFD)
- Patterns of axon loss & damage
- Length dependent
- Definition: More loss of axons in distal than proximal leg
- Symptoms: Distal; Symmetric
- Associations
- Disorders that damage axons
- Diabetes: More common than in Non-length dependent small fiber neuropathies
- Non-length dependent
- Definition: Similar, or more, loss of axons at proximal compared to distal locations
- Association: Small fiber ganglionopathy
- Symptoms
- Involvement of face, mouth, trunk, upper limbs, or muscle
- Disease associations
- Axon beading: May be early sign of axon damage
- Painful neuropathies
- May have reduced miR-146a & miR-155 expression in painful regions
- Normal numbers of small axons
- Autonomic C-fibers
- Vasomotor: Blood vessel walls
- Sudomotor: Sweat glands
- Pilomotor: Arrector pilorum smooth muscle
Skin: Normal innervation
Skin: Pathologic innervation
Myelin Artefact
Vesiculated myelin
Go to
Normal nerve
Return to
Pathology & Illustrations
Return to
Neuromuscular Home Page
1. Curr Opin Neurol 2001;14:635-639, Science 2002;296:868-871
2. J Neurosci Res 2002;68:432-441
3.
Neurobiol Dis 2005;19:293-300
4.
J Neurosci 2005;25:3478-3487
5.
J Cell Biol 2012;196;7–18,
Annu Rev Genet 2021;55:93-113
6.
J Cell Biol 2015; July
7.
Neuron 2016;89:449-460
8.
Neuron 2017;93:1334-1343.e5,
Neuron 2021;109:1067-1069,
Curr Opin Neurobiol 2024:87:102884
9.
Curr Biol 2017;27:890-896
10.
Glia 2018 Oct 30
11.
Mol Cell 2018;72:457-468
12.
JCI Insight 2019 Sep 5;4(17)
13.
Elife 2021 Nov 19;10
14.
Cell Rep 2022 Jun 28
15.
Cell Rep 2024;43:113753
12/1/2025