Circumferential Schwann cell processes often surrounding Axons or Axon sprouts
Association:
Axon Regeneration
- Pseudo-Onion Bulb Structure
- Central: Axon(s)
- Regenerated axons & Axon Sprouts: Individual or Clusters, or
- Larger myelinated axon
- Myelin sheath: Thin
- Peripheral region of Pseudo-Onion Bulbs
- Layers of complex, interdigitated Schwann cell processes
- Small, Unmyelinated axons: May be surrounded by Schwann cell processes
- Collagen: Between layers of Schwann cell processes
- Other features
- Axon Loss in nerve: Often moderate to severe
- No demyelination
Differential diagnosis

H&E stain
|
Whorled structures: Contain nuclei & connective tissue; Myelinated axon may be in center

VvG stain
|
Beaded axon sprouts extend circumferentially around central large axon

Neurofilament stain
|

Toluidine blue stain
|
Whorled structures: Central myelinated axon is present within some pseudo-onion bulbs

Toluidine blue stain
|

Toluidine blue stain
|
Pseudo-Onion Bulbs
Around regenerated axons with thin myelin sheaths
Also present in regions with no axons

Toluidine blue stain
|
Pseudo-Onion Bulbs
Around regenerating axon clusters

Toluidine blue stain
|
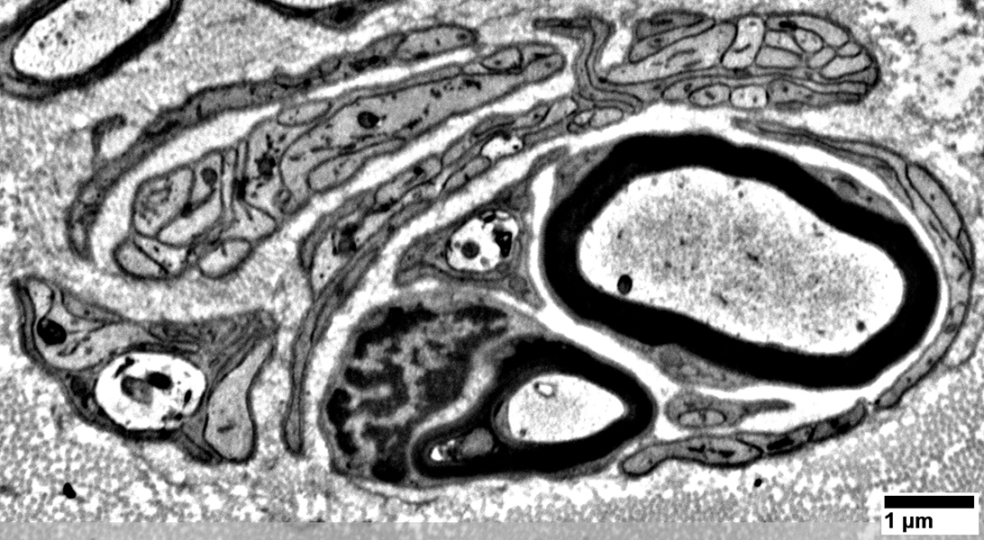
Pseudo-Onion bulbs: Ultrastructure
Pseudo-Onion bulbs
Multiple, complex, interdigitated Schwann cell processes surround regenerated, thinly myelinated, axons

From: Chunyu Cai
|
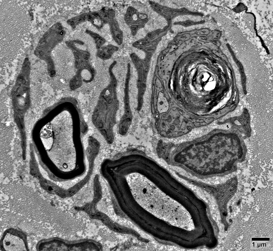
Pseudo-Onion bulbs
Multiple Schwann cell processes surround regenerated, thinly myelinated, axons
Pseudo-Onion bulbs, Complex
Schwann cell processes surround central axon
Pseudo-Onion bulbs, Incompletely formed
Schwann cell processes: Multiple; Complex structure
Axons: Varied myelination
Pseudo-Onion bulbs, Complex
Myelinated axons surrounded by non-myelinating Schwann cells
Some non-myelinating Schwann cells surround small unmyelinated axons
Collagen Pockets
Schwann cell processes may surround collagen
Büngner Bands
Interdigitated Schwann cell processes
Collagen Bulbs
Anatomy
Collagen bulbs: Unstructured; Size 10 to 80 μM
Axons: Within some collagen clusters
Myelin: Thin; Similar thickness on all axons
Number: 0 to 5
Schwann cells: Few or Scattered small processes
Schwann cell basal lamina: Few or None
Fibroblast processes: May surround collagen clusters
Correlations
Clinical: Polyneuropathy
Anatomic pattern: Multifocal; Asymmetric
Motor + Sensory
Course: Slow progression
Nerve Size: Enlarged, Multifocfal
Electrodiagnostic
Demyelinating Features
Axon Loss: Patchy
Differential Diagnosis
"Bulbs"
Perineurioma

Toluidine blue stain
|
Collagen Bulbs
Multiple clusters of endoneurial collagen: Some have myelinated axons inside

Toluidine blue stain
|

Toluidine blue stain
|
Collagen Bulbs
Multiple clusters of endoneurial collagen: Some have myelinated axons inside

From: Sara Stone
|

From: Sara Stone
|
Collagen Bulbs
Clusters of endoneurial collagen: Some have thinly myelinated axons inside

From: Sara Stone
|

From: Sara Stone
|
Collagen Bulbs
Thinly myelinated axons surrounded by collagen

From: Sara Stone
|
Collagen bulb
No associated axon
Mostly composed of collagen
Surrounded by fibroblast processes
Contains normal & large Schwann cell proceses

from: R Schmidt
|
Collagen Bulb
Central: Thinly myelinated axon
Mostly composed of collagen
Contains scattered Schwann cell proceses & nuclei
Surrounded by fibroblast processes

from: R Schmidt
|

from: R Schmidt
|
Collagen bulb
Collagen & Schwann cell processes around thinly myelinated axon (Above)
Schwann cell in region of collagen bulb (Below)

from: R Schmidt
|
Collagen Bulb
Central: Thinly myelinated axon
Mostly composed of collagen
Contains scattered Schwann cell proceses & nuclei
Surrounded by fibroblast processes

from: R Schmidt
|

from: R Schmidt
|
Collagen Bulb
Collagen & Schwann cell processes around thinly myelinated axon (Above)
Schwann cells in region of collagen bulb (Below)

from: R Schmidt
|
Return to:
Onion bulbs
2/27/2026