Neuromuscular

Histiocytes

Disease relations
Ultrastructure
  Muscle
    LHIM
Nerve
    Wallerian degeneration
      Perivascular
    MLD

Histiocyte Ultrastructure


Nerve


Histiocyte: Free in endoneurial space

Histiocyte: With lipid droplets & myelin debris

Histiocyte: Outside Schwann cell basal lamina & Myelin sheath
  Demyelinating Neuropathy

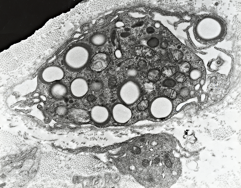
Histiocytes: Inside Schwann cell basal lamina
  Demyelinating Neuropathy
  A Schwann cell process neighbors the macrophage

Histiocytes
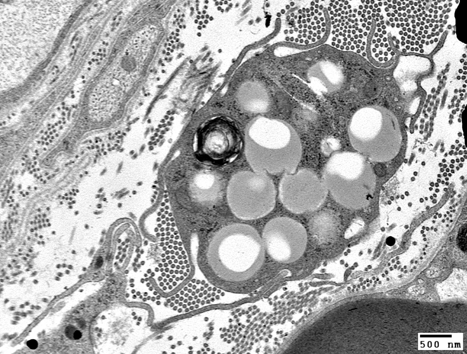
  One large cell, with lipid debris, is inside a Schwann cell basal lamina
  A second, smaller histiocyte (Below) is in the endoneurium

Muscle

Endomysial Histiocytes (Arrows)
  Near endomysial capillaries

See: LHIM

Return to Normal nerve biopsies
Return to Biopsy illustrations
Return to Neuromuscular Home Page
Return to Nerve biopsy

References
1. Neurology 2018;91:1051-1060
2. J Neurol Neurosurg Psychiatry 2020;9:650-659

7/26/2025