MUSCLE FIBER ATROPHY & SMALLNESS
Atrophy, Severe & Diffuse
Muscle fiber atrophy
All muscle fibers are small

H&E stain
|
Small Muscle Fibers
Shapes: Varied
Surface: Irregular
Nuclei: Large; Pale

H&E stain
|

H&E stain
|
Small Muscle Fibers
Shapes: Varied
Surface: Irregular
Nuclei: Large; Pale
Sizes: Varied

H&E stain
|

Congo red stain
|
Small Muscle Fibers
Shapes: Varied
Surface: Irregular
Nuclei: Large; Pale
Sizes: Varied

Congo red stain
|

VvG stain
|
Small Muscle Fibers
Shapes: Varied
Surface: Irregular
Nuclei: Large; Pale
Sizes: Varied
Internal architecture: Variable; Coarse

VvG stain
|
Muscle Fiber Atrophy
All fibers very small
Smallest muscle fibers: Type 2 (Dark)

ATPase pH 9.4 stain
|
Muscle Fiber Atrophy
Internal architecture: Moderately coarse
Smallest muscle fibers: Intermediate stained

NADH stain
|
Muscle Fiber Atrophy
Clustered lipofuscin granules

Acid phosphatase stain
|
See
Fiber type disorders
Fiber type properties
Muscle Fiber Atrophy: Diffuse, Early

H&E stain
|
Fiber Sizes
Mildly small
Bimodal distribution
Fiber Shapes
Polygonal
Surface membrane: Irregular

Gomori trichrome stain
|

VvG stain
|
Fiber Shapes
Polygonal
Surface membrane: Irregular
Internal Architecture
Irregular

NADH stain
|

ATPase pH 9.4 stain
|
Fiber Types
Type 2 fiber atrophy > Type 1

ATPase pH 4.3 stain
|

ATPase pH 4.6 stain
|
Neuromuscular Junctions
Remain dark stained

Esterase stain
|
Atrophic Muscle fibers: Ultrastructure
Atrophic Muscle Fibers: General Features
- Size: Small
- Internal architecture
- Muscle fiber surface
- Basal lamina: May project empty sleeves or redundant loops from fiber surface
- May be smooth or undulating
Muscle Fiber Atrophy: Sarcolemma
Atrophic Muscle Fibers
Undulating Basal lamina & Sarcolemma
Muscle Fiber Atrophy: Sarcomere Structure
Sarcomere structure (Right): Disorganized

From: Sean Ferris
|
Sarcomere structure (Left): Disorganized
Lipid Droplet (Right; Arrow)

From: Sean Ferris
|

Atrophic Muscle fiber
Z-Band streaming (Arrow)
|
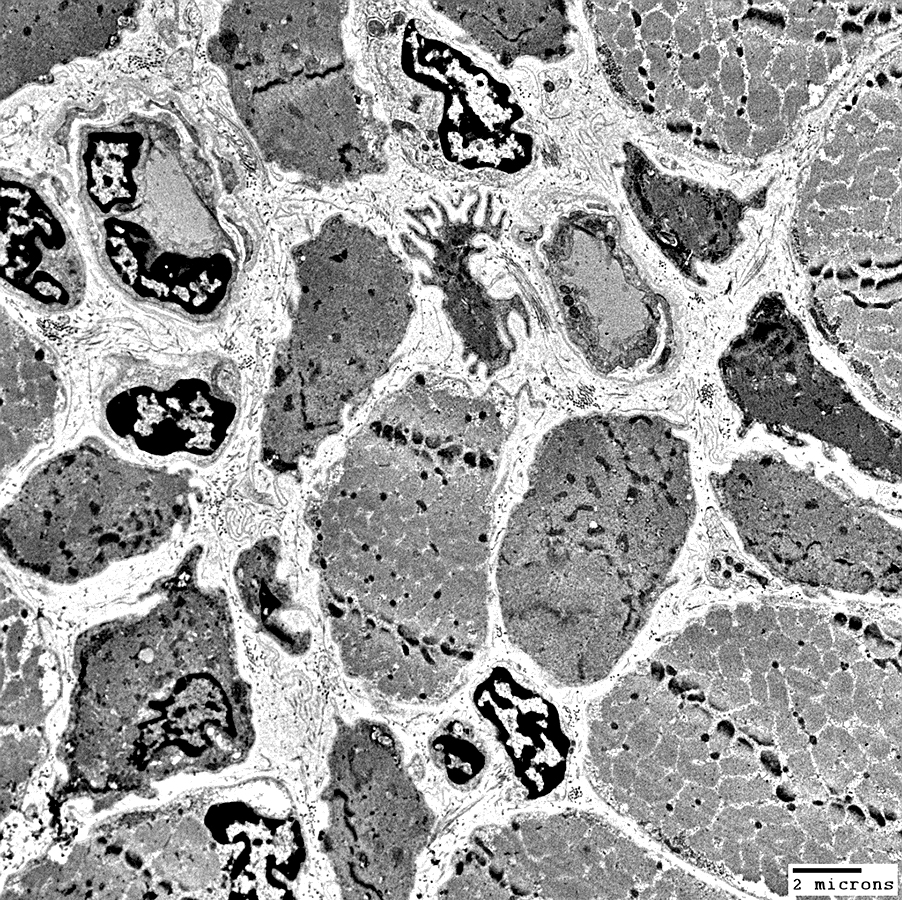
Muscle Fiber Atrophy: Severe

From: R Schmidt
|

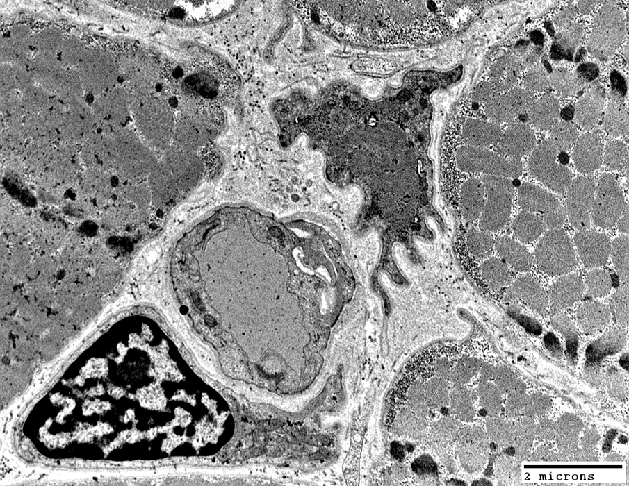
From: R Schmidt
|

From: R Schmidt
|
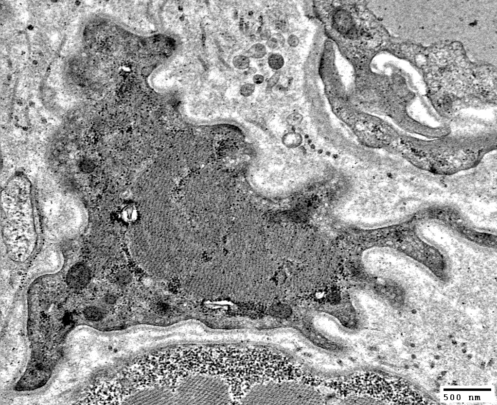
Pyknotic nuclear clump: Ultrastructure

From: Cory Toth MD
|

From: Sean Ferris
|
Fiber size: Small
Sarcomere structure: Absent or Disorganized

From: R Schmidt
|

From: R Schmidt
|
Sarcomere structure: Absent or Disorganized
Z-bands
Fragmented
Fragments similar to
Cytoplasmic bodies or
Rods

From: R Schmidt
|

From: R Schmidt
|
Z-bands
Fragmented
Fragments similar to
Cytoplasmic bodies or
Rods

From: R Schmidt
|

From: R Schmidt
|
Sarcomere structure: Absent or Disorganized

From: R Schmidt
|

From: R Schmidt
|
Basal Lamina: Redundant
External link:
Radboudou
Return to
Neuromuscular Home Page
Return to
Myopathies with wasting
References
1.
Am J Physiol Cell Physiol 2012; Online August
4/13/2025