Neuromuscular

mtRNA Leu (MTTL1) A3243G mutations: Pathology


MELAS Syndromes

Patients
Ages: 2nd & 3rd decades
  Brain
  Muscle
Age: 67 year old

Muscle Pathology: Young Adult

Muscle fibers
Perimysial vessels

Ragged Red Fibers: Scattered

Gomori trichrome stain

Scattered fibers with clear rim

H&E stain
"Ragged red" fibers

Gomori trichrome stain


Gomori trichrome stain


Gomori trichrome stain

Mitochondrial Proliferation: Scattered muscle fibers with Increased SDH staining


SDH stain
Muscle Fibers: Increased SDH stain
  Scattered through muscle
  Variable degrees

Muscle fiber: Increased SDH stain:
  Individual mitochondria within muscle fiber are enlarged
    compared to surrounding fibers


Mitochondrial Proliferation: Scattered muscle fibers with Increased COX staining


Cytochrome oxidase (COX) stain


Succinate dehydrogenase (SDH) stain

Cytochrome oxidase (COX) stain
Muscle fibers with Mitochondrial proliferation (Increased SDH stain)
Muscle fibers with increased SDH stain may also have increased COX stain

Succinic dehydrogenase (SDH) stain
Muscle fibers with increased SDH & COX stain

COX stain

Cytochrome Oxidase (COX) stain: Reduced or Increased
Muscle fibers may have reduced, normal or increased COX staining (Right)
Lipid accumulation
  Increased Sudan black stain in muscle fiber
  with mitochondrial proliferation


COX stain

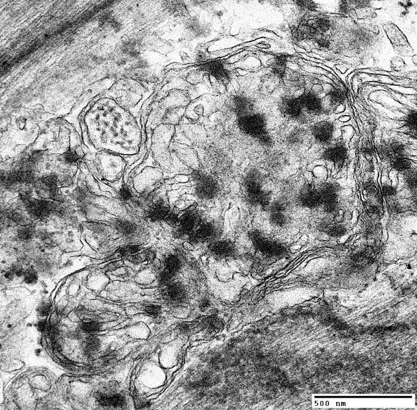
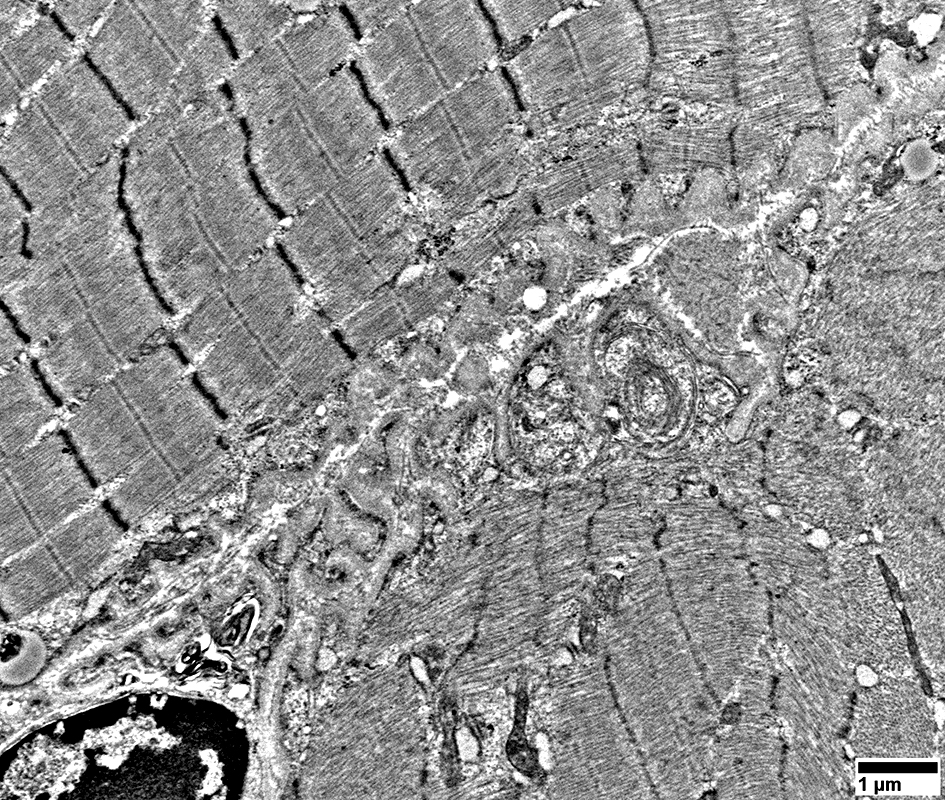
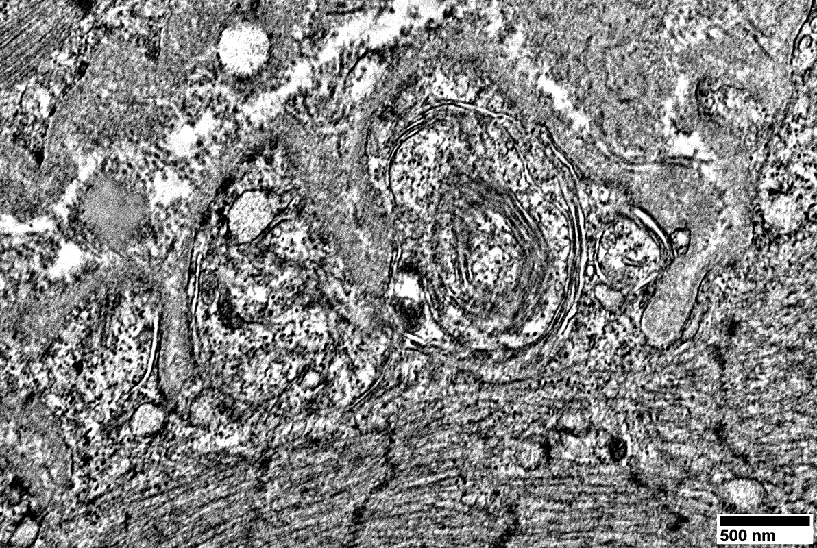
MELAS: Mitochondrial Ultrastructure


From: R Schmidt

From: R Schmidt

From: R Schmidt

From: R Schmidt

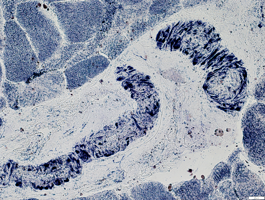
MELAS Vessels

SDH staining of intramuscular vessels is Increased

Succinic dehydrogenase (SDH) stain
MELAS
  Medium-sized perimysial vessels have increased SDH staining
  Contrast with normal staining in MNGIE & Control
 
Succinic dehydrogenase (SDH) stain


Normal: Mild SDH staining of medium sized perimysial vessels

MELAS: Capillaries


From: R Schmidt

From: R Schmidt


From: R Schmidt

From: R Schmidt

Brain pathology in MELAS

MRIs during "stroke-like" episodes
  • Cortical lesions (Posterior): Spares white matter
  • Lesion location
    • Not confined to territory of single vessel
    • Involves only part of territory of several vessels
  • Swelling
  • Mutation: A3243G

FLAIR image

T2 weighted image

From: Cindy Ly

CT during episode of homonymous hemianopia

Medial occipital lesion (Arrow)

Enlarged ventricles
Late in disease course

MRI: Severe involvement
  of occipital cortex

Temporal gray matter: Severely abnormal
Temporal horn of Ventricles: Enlarged.

MELAS: 67 year-old female

  mtDNA A3243G 66% heteroplasmy
  Other disorders: Diabetes; Renal disease, End-stage
Capillaries
Larger vessels
Muscle fibers

Vessel Pathology


SDH stain
Perimysial Vessels
  Punctate dark stainin in walls

SDH stain


From: R Schmidt
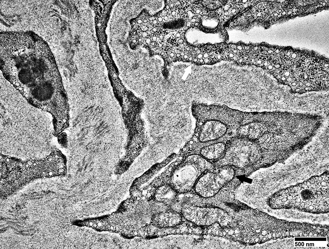
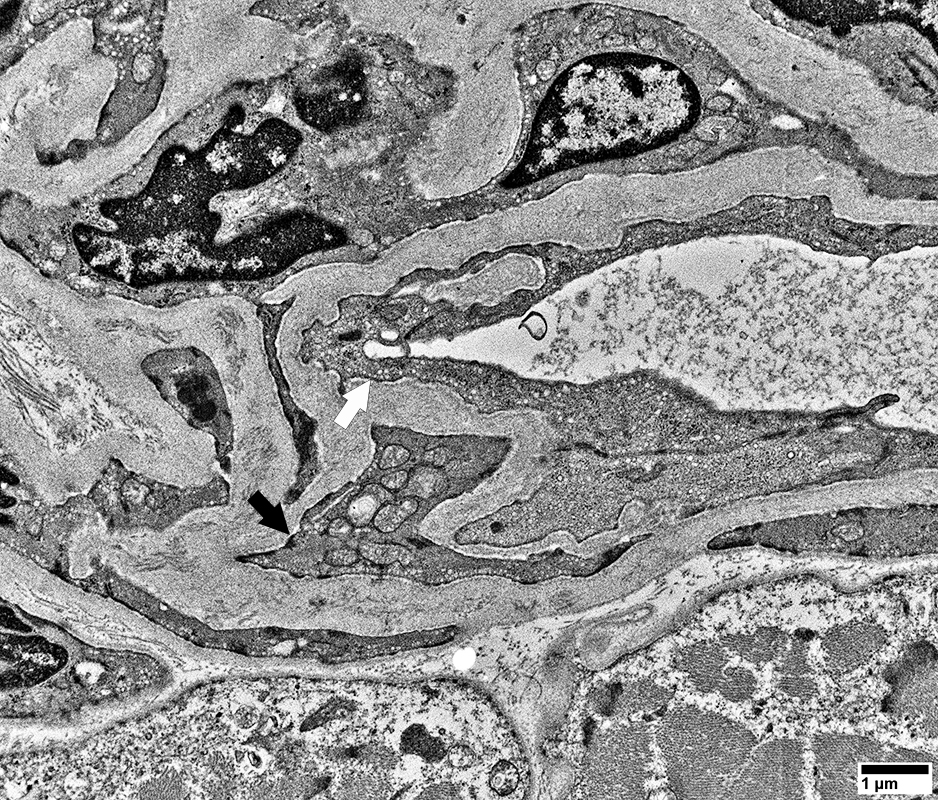
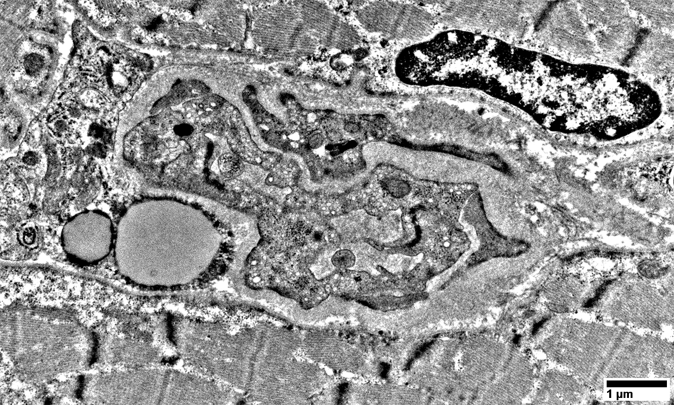
Pericytes   Mitochondrial proliferation & enlargement (Black arrows)
Endothelial cells   Multiple small vacuoles (White arrows)

From: R Schmidt


From: R Schmidt
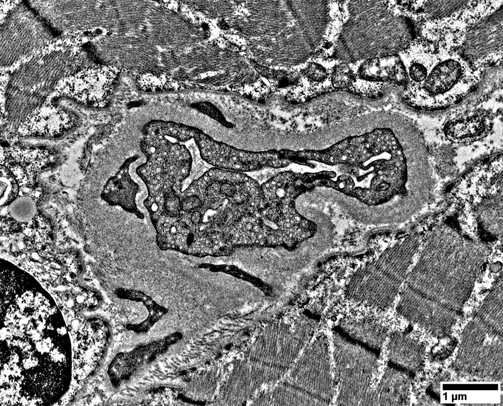
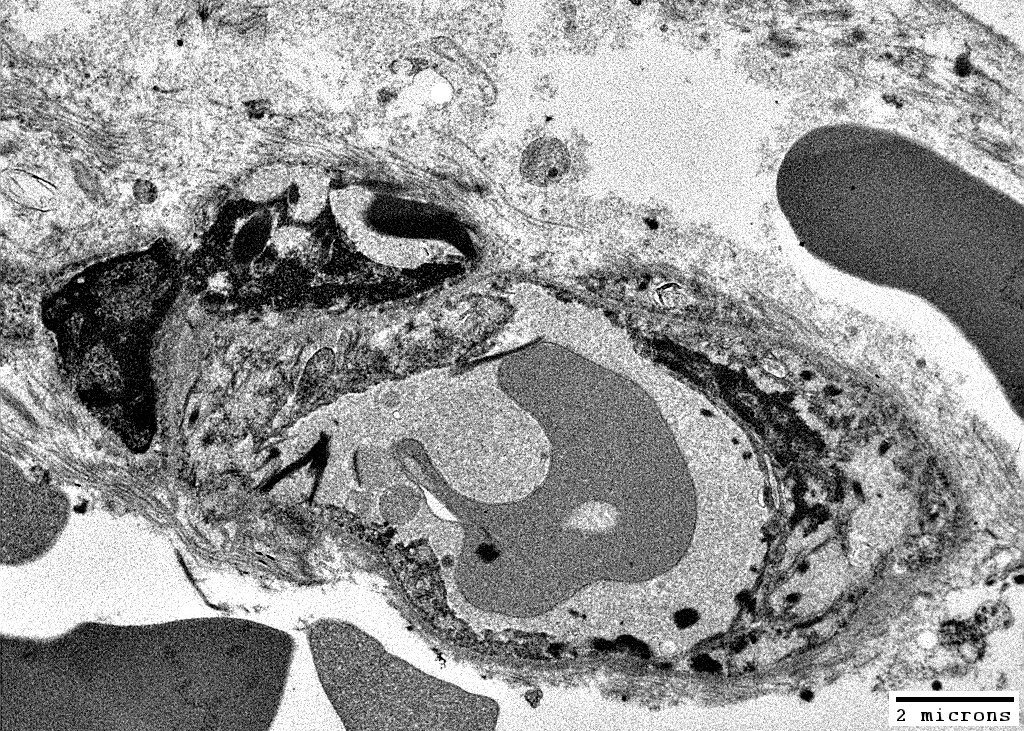
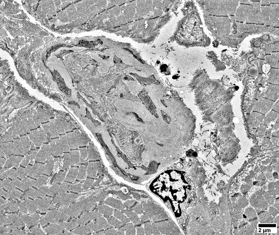
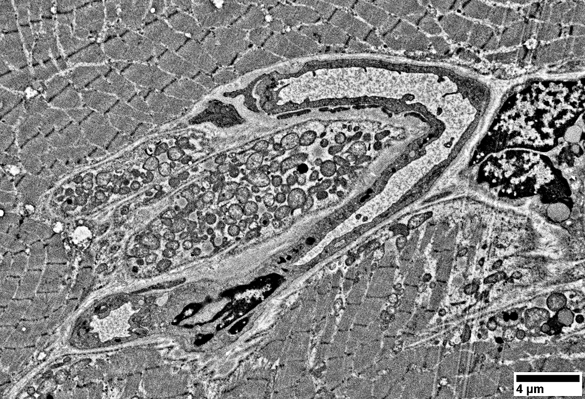
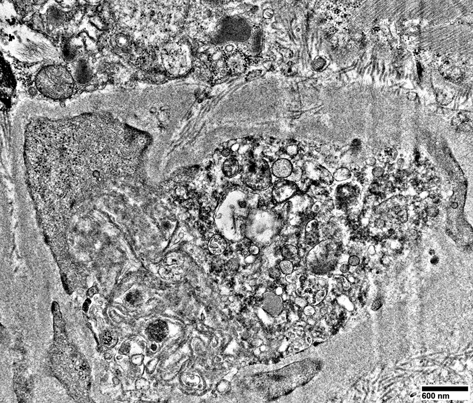
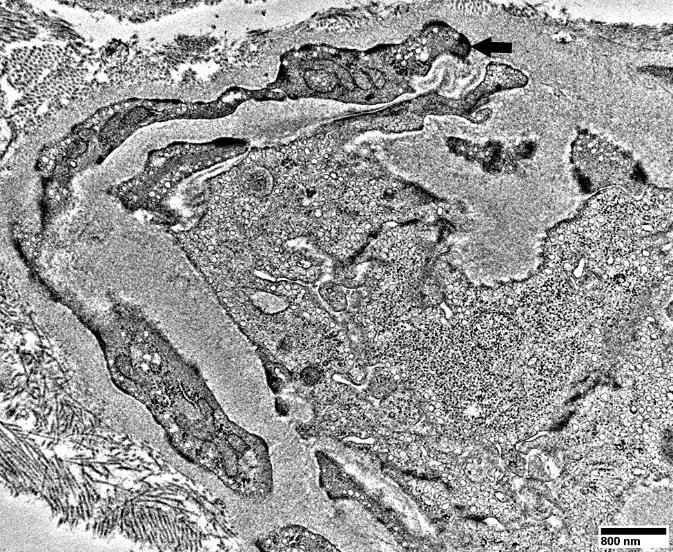
Large cells near vessels with
  Mitochondrial proliferation & enlargement
  Lipid droplets

From: R Schmidt

From: R Schmidt


From: R Schmidt
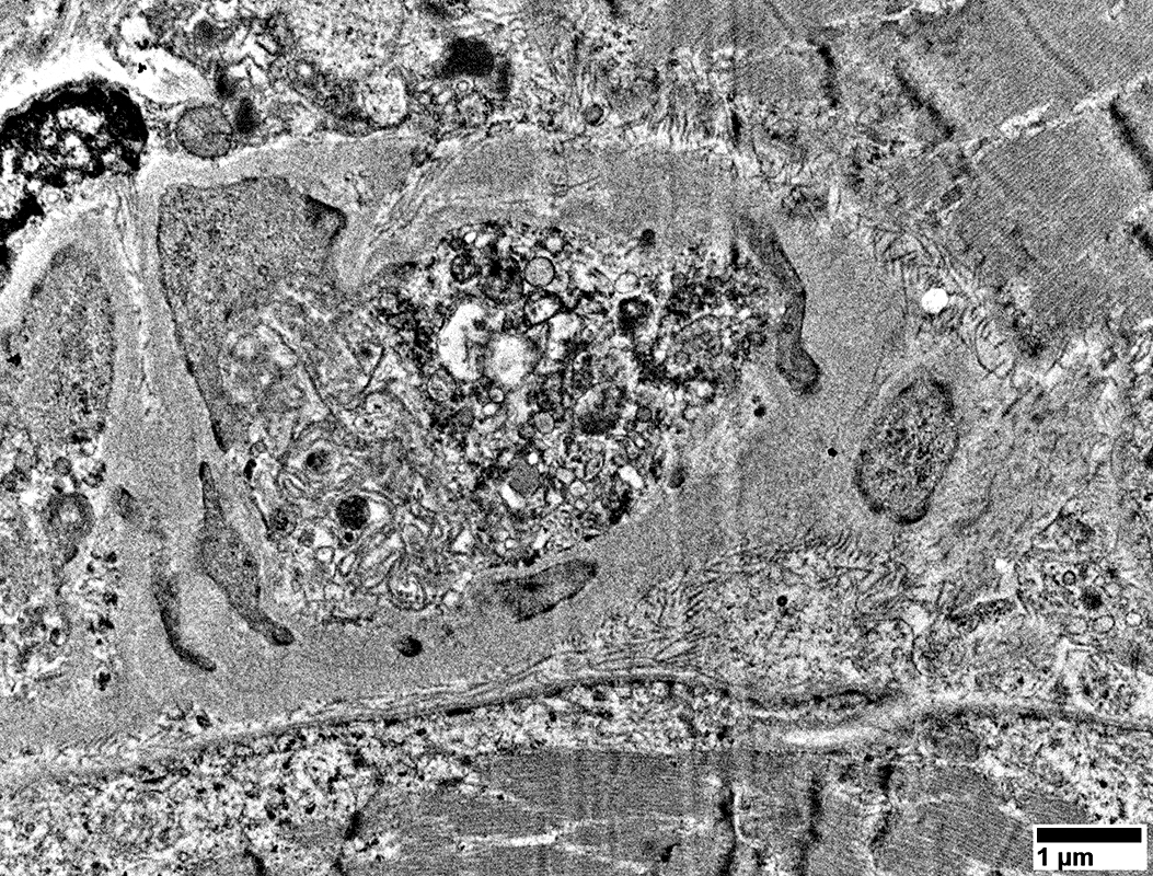
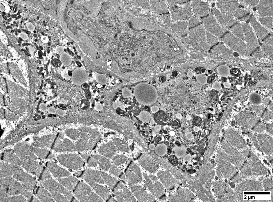
Large cells near vessels with cytoplasm nearly replaced by
  Mitochondrial proliferation & enlargement
  Lipid droplets

From: R Schmidt


From: R Schmidt
Large cells near vessels with cytoplasm nearly replaced by
  Mitochondrial proliferation & enlargement
  Lipid droplets

From: R Schmidt


From: R Schmidt
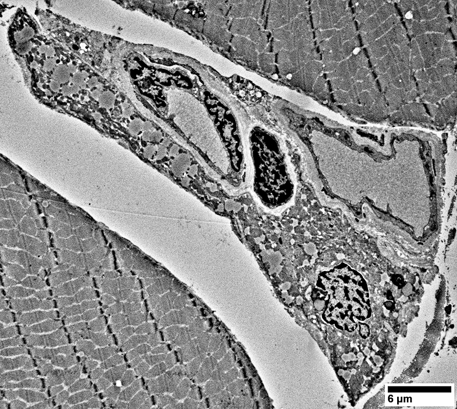
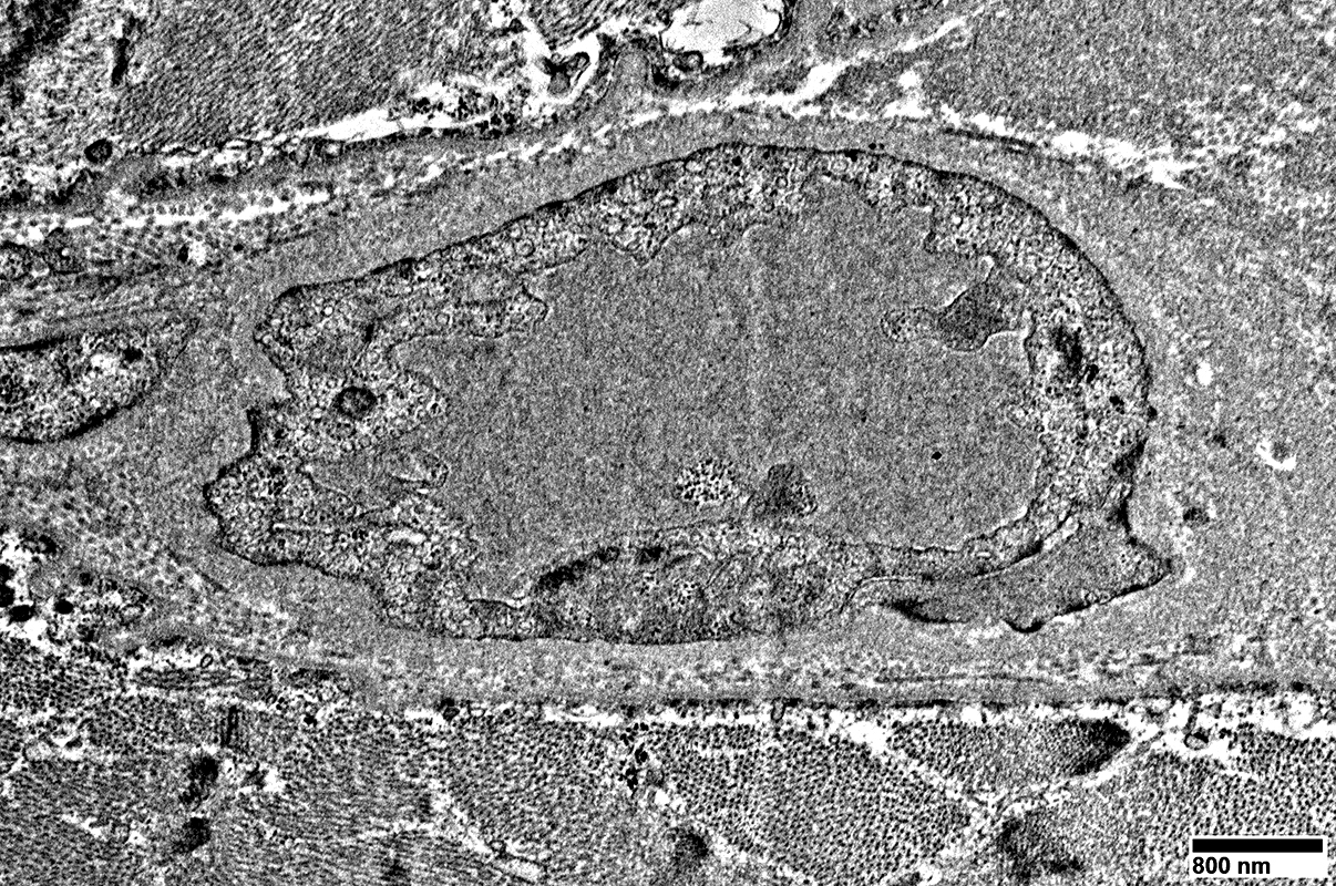
Endomysial vessels with
  Large endothelial cells with many vesicles
  No lumen
  Many smooth muscle cells in wall, some with mitochondrial proliferation (Arrow)
  Thick wall

From: R Schmidt


From: R Schmidt
Endomysial vessels with
  Large endothelial cell with many vesicles
  No lumen
  Scattered smooth muscle cells in wall
  Thick wall

From: R Schmidt


ATPase pH 4.3
Endomysial capillaries
  Pale staining by ATPase pH 4.3 (Arrows)
  Large size

ATPase pH 4.3


UEA-I
Endomysial capillaries
  Large size


From: R Schmidt
Endomysial capillaries
  Endothelial cells with many vesicles
  Large size
  Thick wall

From: R Schmidt


From: R Schmidt
Endomysial capillaries
  Endothelial cells with many vesicles
  Large size
  Thick wall

From: R Schmidt

From: R Schmidt

MELAS: Muscle Fibers


H&E stain
Fiber sizes
  Bimodal variation


SDH stain
SDH positive muscle fibers
  Dark stained cytoplasm


COX stain
COX reduced small muscle fibers
  Pale stained cytoplasm


Sudan black stain
Lipid droplets, small, in some muscle fibers

Sudan black stain


ATPase pH 9.4 stain
Type 2 muscle fiber atrophy

From: R Schmidt
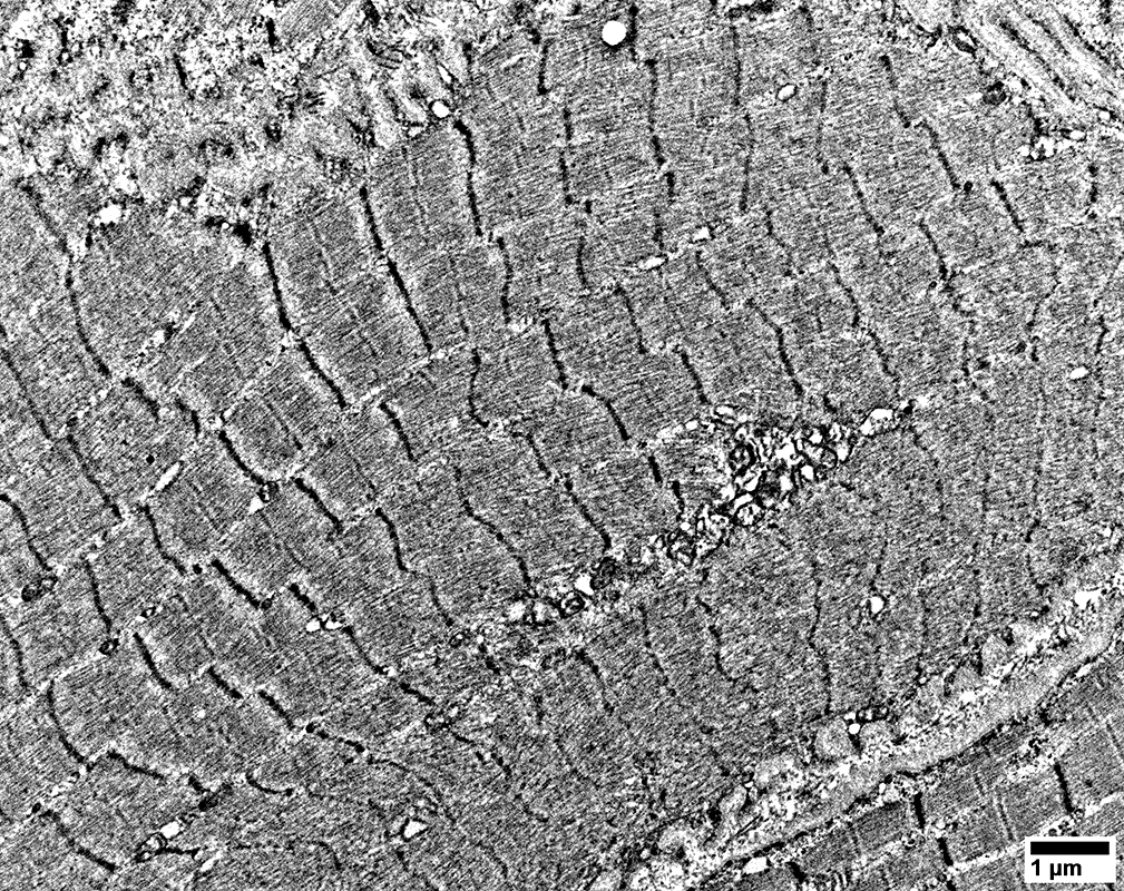
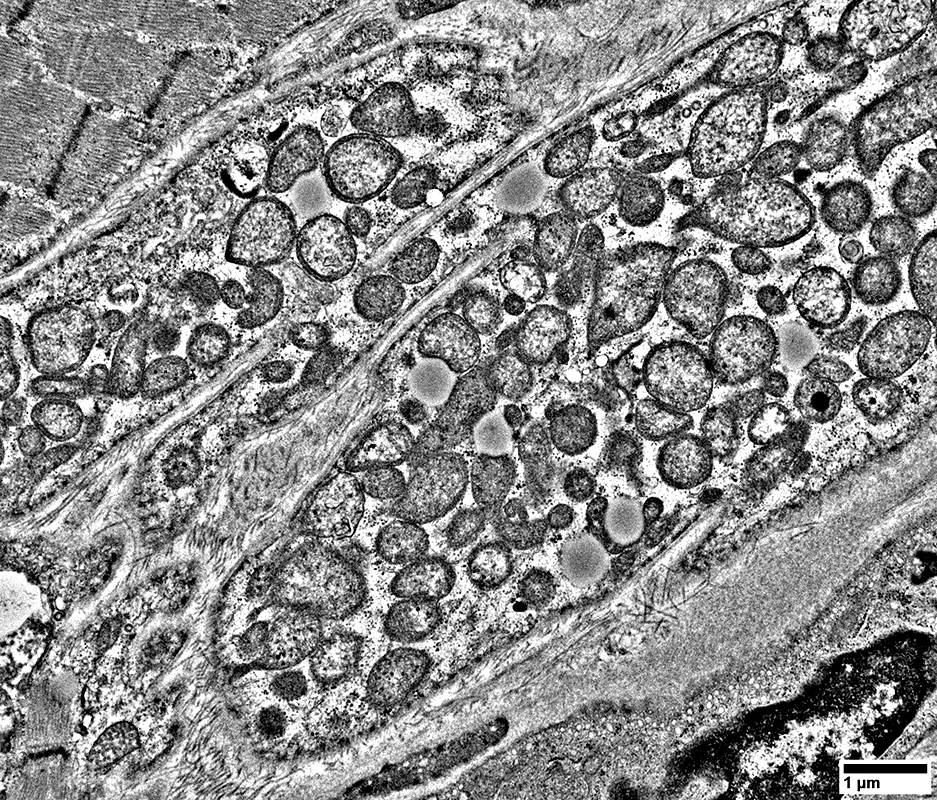
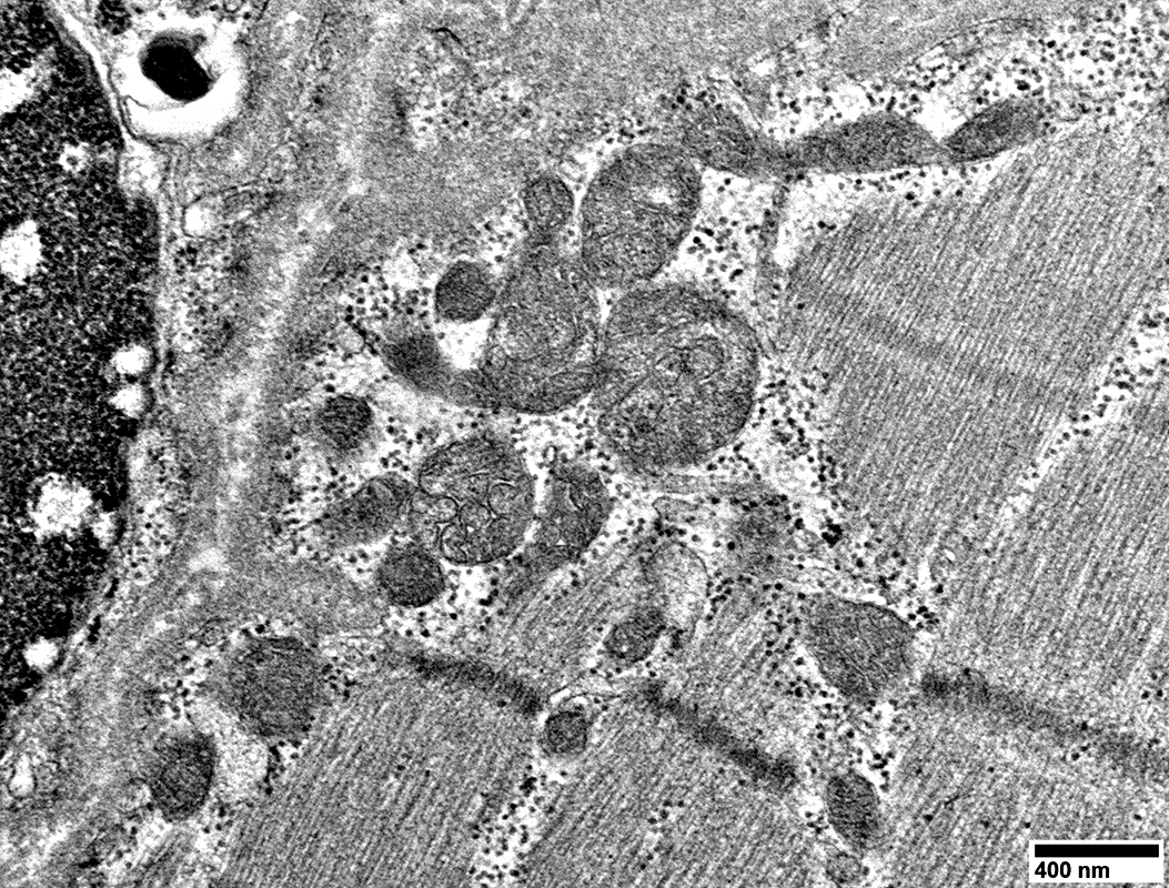
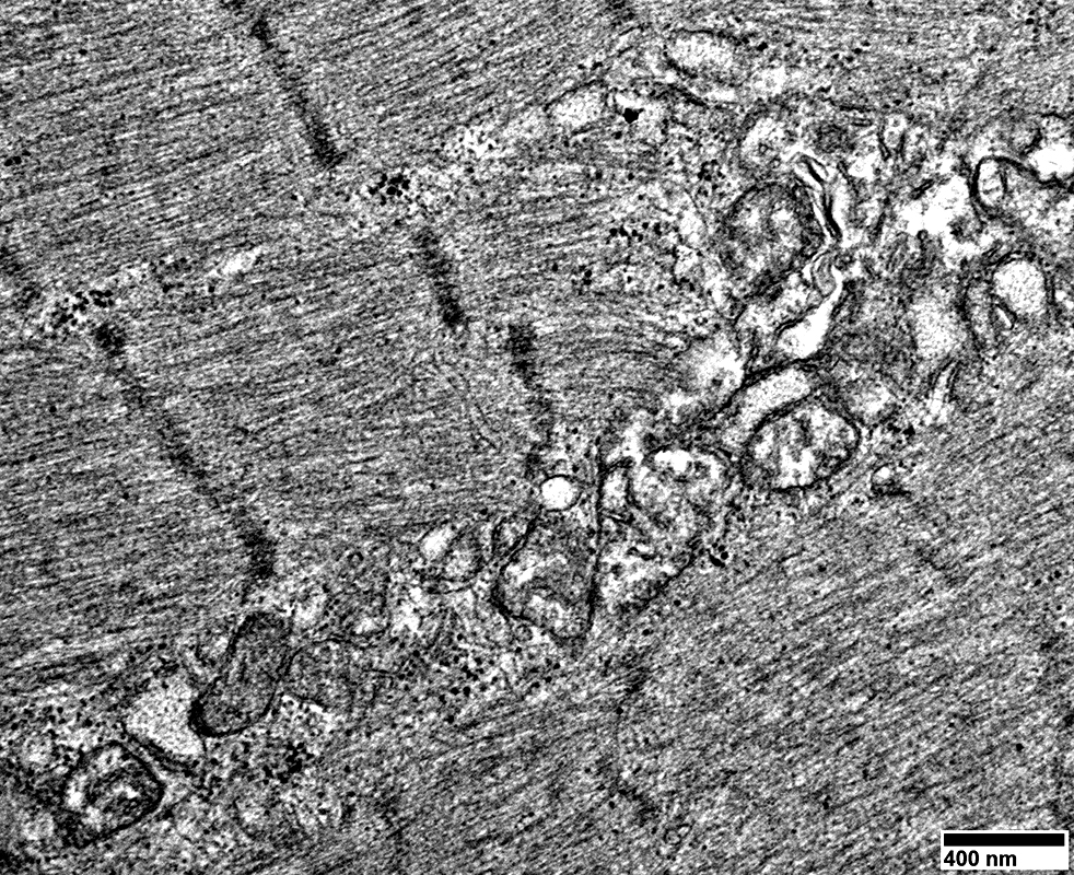
Mitochondrial proliferation between sarcomeres

From: R Schmidt

From: R Schmidt


From: R Schmidt
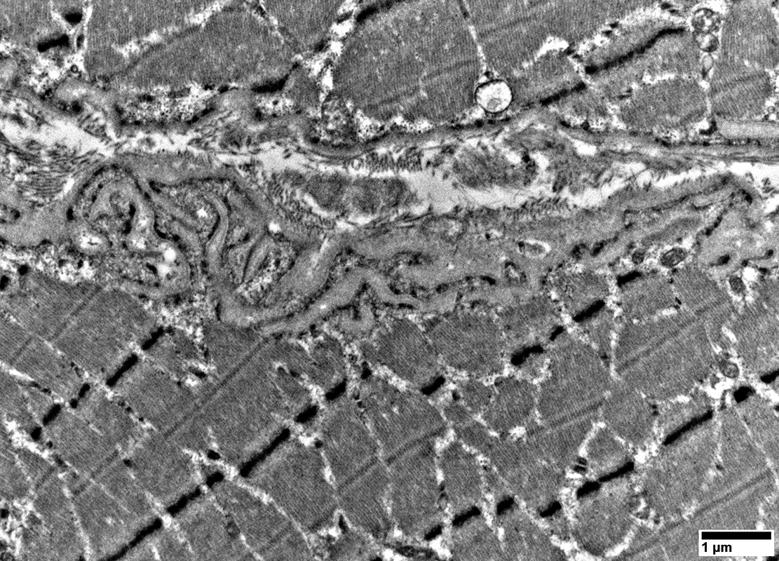
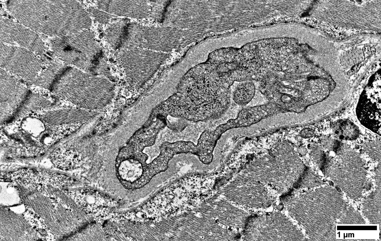
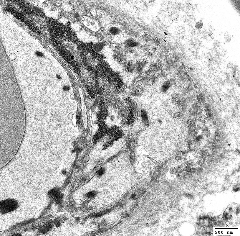
Muscle fiber basement membrane
  Thick
  Undulating

From: R Schmidt


From: R Schmidt
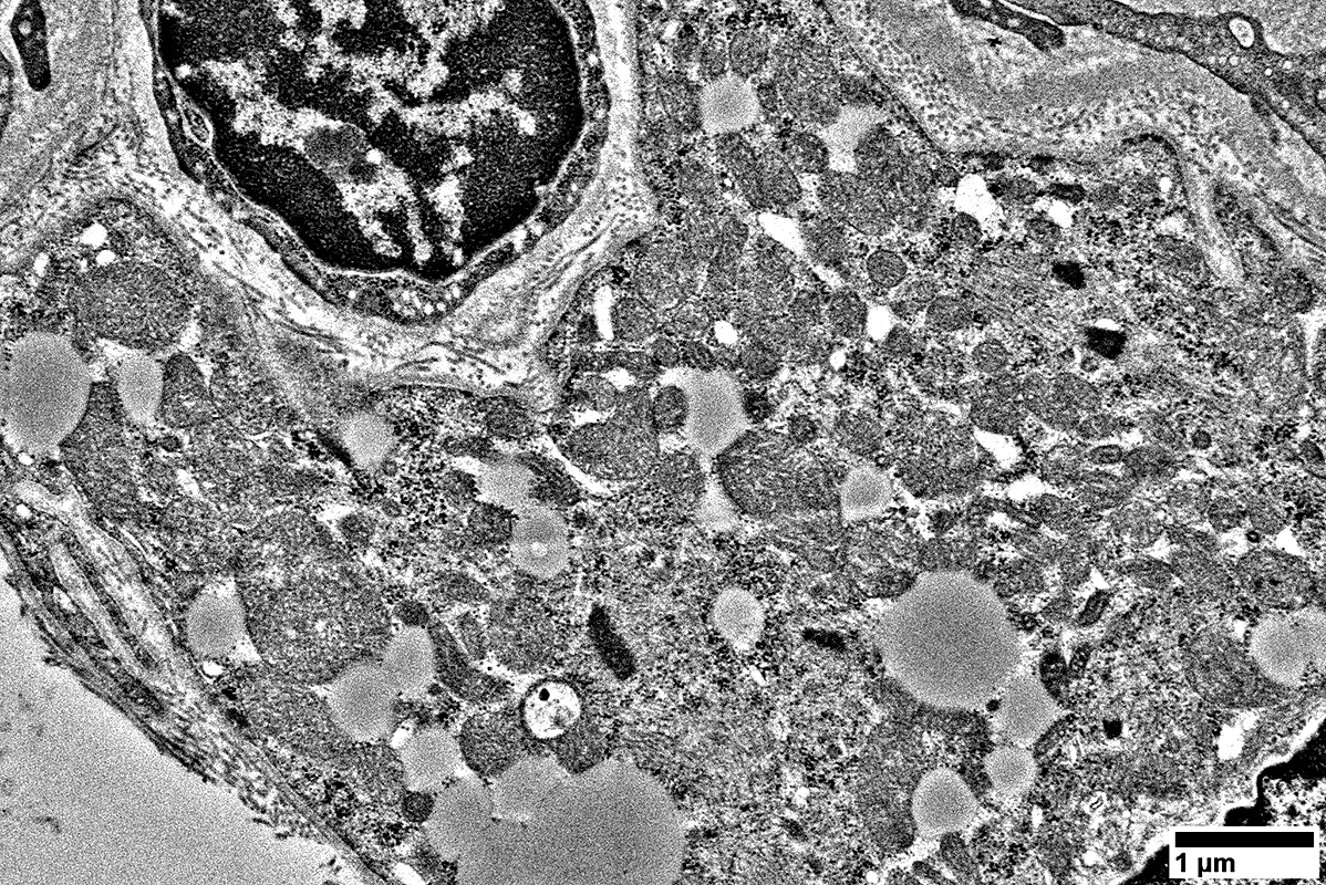
Mitochondrial proliferation & enlargement: Beneath muscle fiber surface

From: R Schmidt

Return to Mitochondrial pathology
Return to Mitochondrial syndromes
Return to Muscle biopsies

12/1/2025