Neuromuscular

MNGIE: Muscle Pathology

Histochemistry
Ultrastructure

Muscle fibers with Mitochondrial Proliferation
  Irregular red stain (Ragged red)

Gomori trichrome stain


H&E stain
Muscle fibers   Sizes: Mildly varied; Some small fibers
  Internal architecture: Irregular in some muscle fibers (Arrow)

H&E stain

Muscle fibers with Mitochondrial Proliferation
  Internal architecture: Irregular

H&E stain


VvG stain
Muscle fibers with Mitochondrial Proliferation
  Internal architecture: Irregular

VvG stain

Lipid Droplets
  Mildly increased in a few muscle fibers

Sudan black stain


COX stain
Cytochrome Oxidase
  Reduced staining in scattered muscle fibers

COX stain

COX stain
  Muscle fibers with reduced staining
  Mitochondria not visible

COX stain

Succcinate Dehydrogenase (SDH)
  Scattered fibers with increased staining

SDH stain

SDH stain
Succcinate Dehydrogenase (SDH)
  Muscle fibers have increased staining
  Mitochondria appear large

SDH stain
Succcinate Dehydrogenase (SDH)
  Scattered muscle fibers with increased staining
  Mitochondria appear large

SDH stain

Succcinate Dehydrogenase (SDH)
  Perimysial vessels: Normal staining
  Differs from increased staining in MELAS

SDH stain

MNGIE: Muscle fiber types
  Type I muscle fibers: Mild predominance
  Lipid droplets: Increased in a few type 1 (Intermediate-stained) muscle fibers

ATPase pH 9.4 stain


PAS stain
MNGIE: Normal glycogen in muscle fibers

PAS stain

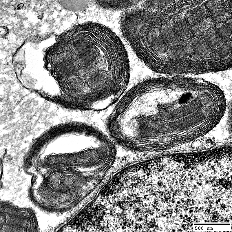
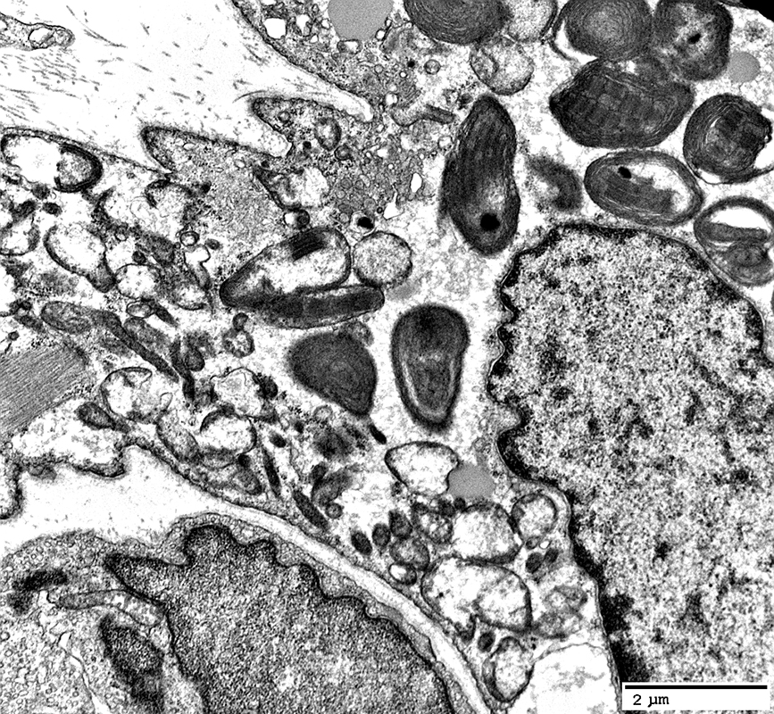
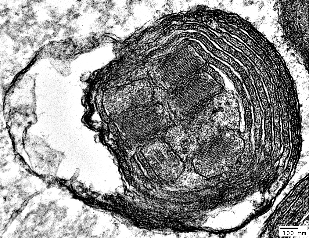
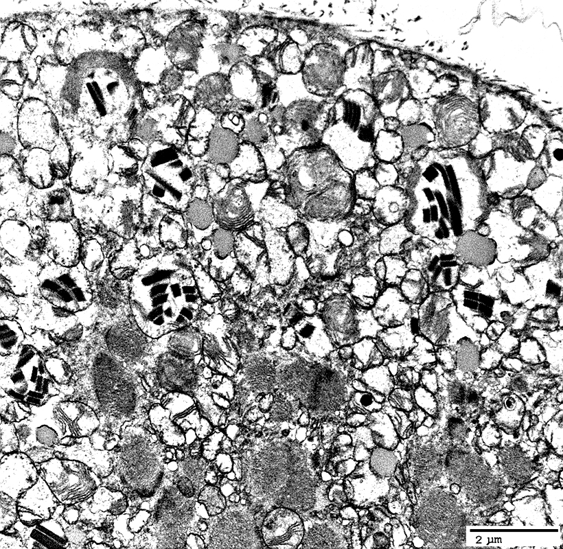
MNGIE: Muscle Ultrastructure


From: R Schmidt

From: R Schmidt

From: R Schmidt

From: R Schmidt

From: R Schmidt

From: R Schmidt

From: R Schmidt

From: R Schmidt

From: R Schmidt

From: R Schmidt

From: R Schmidt

From: R Schmidt

From: R Schmidt

From: R Schmidt

From: R Schmidt

Return to: MNGIE

6/22/2025