MUSCLE
Amyloid myopathy
- Amyloid (Red): Locations
- Extracellular
- Tissues
- Muscle fibers: Around surface
- Perimysium
- Vessel walls
- Amyloid properties: Apple green birefringence of amyloid
- Amyloid Components
- Hereditary
- Apolipoprotein A1, Apolipoprotein A4, Apolipoprotein E, Serum amyloid P component
- No Anoctamin-5 or Dysferlin
- Acquired: Amyloidogenic proteins (AL & SSA)
- Amyloid in IM-VAMP (IBM)
|

Congo red
|

Congo red (Polarized light) |

Congo red (Fluorescence) |
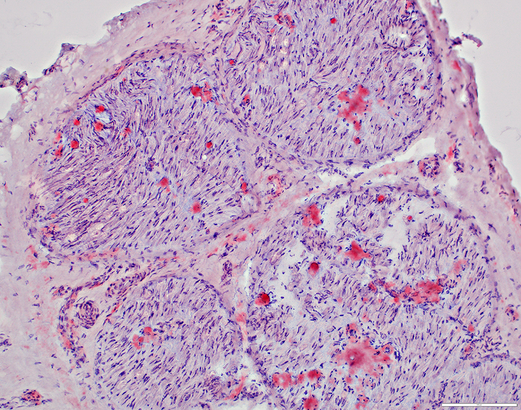
Amyloid Muscle Fibers
Amyloid surrounding, and on, muscle fibers
- Mild pathology (Above): Thin layer of amyloid around normal sized muscle fiber
- More severe changes (Below)
- Thick deposit of amyloid around, and on, small muscle fibers
- Nuclei and NADH-positive membranes are present in regions of amyloid deposits
- Myofibrillar contractile apparatus (ATPase staining) is absent from areas of amyloid deposition but present in the center of fibers

Congo red
|

Congo red (Polarized light) |

Congo red (Fluorescence) |
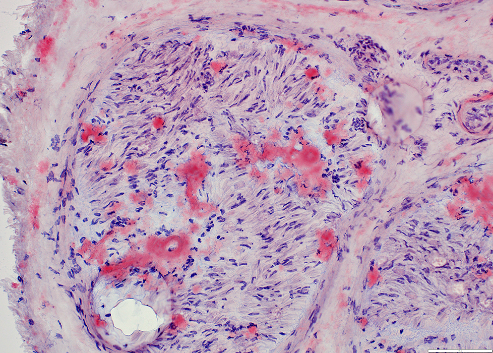
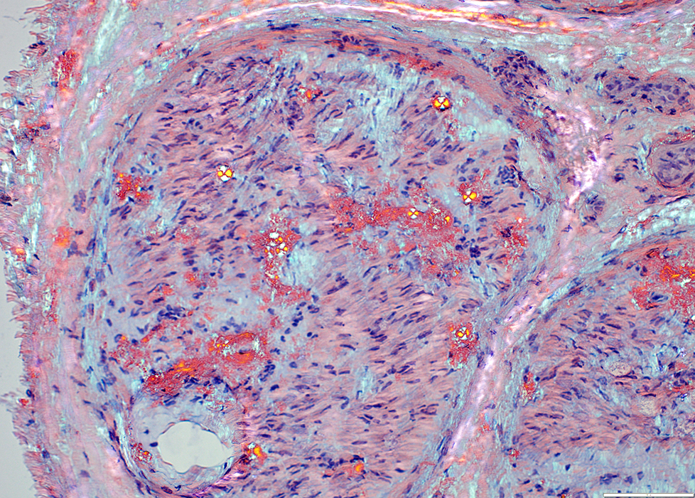
Muscle fiber pathology in amyloid myopathy
- Abnormal nuclei: In ring within muscle fibers
- Irregular deposits of amyloid: On muscle fibers outside nuclear ring

Congo red
|

Congo red stain
|

Congo red stain |

Congo red stain (Polarized light)
|

Congo red, polarized light
|

Congo red
|
Amyloid Fibers
Muscle fiber pathology in amyloidosis
|

H&E stain
|

H&E stain
|

Gomori trichrome
|

VvG
|

Congo red
|
Amyloid Fibers

VvG
|

Congo red
|

Congo red: Fluorescence
|
Amyloid Fibers

ATPase pH 9.4
|

ATPase pH 9.4
|

NADH
|

Dystrophin
|
|
Surface membrane (Above) & Basal lamina (Below): Thickened & reduplicated around muscle fibers
|

α2-Laminin
|
IgAλ M-protein: Amyloid in Nerve

Congo red
|
Amyloid
Congo red stained amyloid on endoneurial microvessels

Congo red
|
Amyloid
Red-Green birefringent Congo red stained amyloid on endoneurial microvessels

Congo red, Polarized
|
C5b-9 stains focus of endoneurial amyloid

C5b-9
|
Amyloid
Amorphous material in wall of endoneurial vessel
Moderate & ongoing loss of myelinated axons

Toluidine blue stain
|
Amyloid
Moderate & ongoing loss of myelinated axons

VvG stain
|
Amyloid
Axon loss: Small > Large
Amyloid
Non-myelinating Schwann cells: Diffusely distributed in endoneurium
IgAκ M-protein: Amyloid in Muscle

Congo red
|
|
Amyloid deposits in perimysium and along the perimysial surface of muscle fibers
|

Congo red
|
IgGλ M-protein: Amyloid

Congo red
|

Congo red
|

Congo red
|

Congo red
|
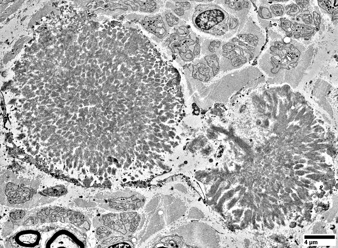
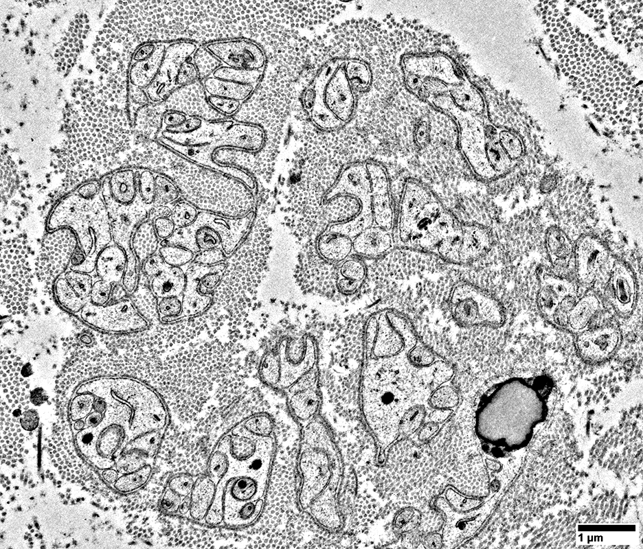
NERVE: Amyloid
Patterns of axon loss
- Size
- Moderately severe: More loss of unmyelinated & small myelinated axons than large myelinated axons
- Severe: Loss of Large & Small axons
Distribution: Differential loss of axons among, or within, fascicle
Non-myelinating Schwann cells: Normal, Reduced or Increased numbers
Amyloid deposition in nerve may be
Amyloid: Distribution
- Organs: Many
- Vessels: Common
- More abundant in large nerves
Severe Axon Loss
Marked axon loss
Small axons are even more involved than large axons
See: Control nerve

Neurofilament stain
|

Neurofilament stain
|
Moderate axon loss
Differential fascicular loss: More axon loss in some areas than others

Neurofilament stain
|
Moderate axon loss

VvG stain
|
More loss of small axons, than larger myelinated axons

Neurofilament stain
|
Large axons: Moderate loss
Small axons: Severe loss

Neurofilament stain
|

NCAM stain
|
Non-myelinating Schwann cells: Varied patterns
Axon loss: Normal or Increased Numbers
Amyloid deposition: Patchy loss of Schwann cells & axons

NCAM stain
|

VvG From: R Bucelli
|
Amyloidosis
Focal endoneurial regions have loss of cells (Arrows)
NCAM(r)ar.jpg)
NCAM (Red); Neurofilament (Green & Yellow)
|
Amyloid in Endoneurium
Patchy loss of Schwann cells & Axons (Arrows)
Some remaining myelin is abnormal with NCAM staining (Below; Yellow)
P0(r)ar.jpg)
NCAM (Green); P0 (Red)
|

Congo Red From: R Bucelli
|
Amyloid: Multifocal Deposition
Locations
Endoneurial connective tissue
Around endoneurial microvessels
Perineurium
Epineurial connective tissue
Epineurial vessel walls

Congo Red From: R Bucelli
|

Congo Red From: R Bucelli
|
Amyloid: Congo red birefringence
Maltese cross pattern in some areas

Congo Red From: R Bucelli
|

From: R Schmidt
|
Amyloid Spherulites

From: R Schmidt
|

From: R Schmidt
|
Fibrils in Amyloid Spherulite

Toluidine blue stain
|
Moderate axon loss
More loss of small, than large, myelinated axons
Subperineurial edema in some fascicles

Toluidine blue stain
|

Toluidine blue stain
|

Toluidine blue stain
|
Amyloid Neuropathy
Relative preservation of larger myelinated axons
Loss of Small axons with collagen pockets

From: R Schmidt
|
Amyloid Deposition
Capillary walls: Thick
Sub-Perineurial edema

H&E stain
|

Congo red stain
|
Capillary walls
Contain red-stained amyloid
Amyloid is birefringent

Congo red stain
|
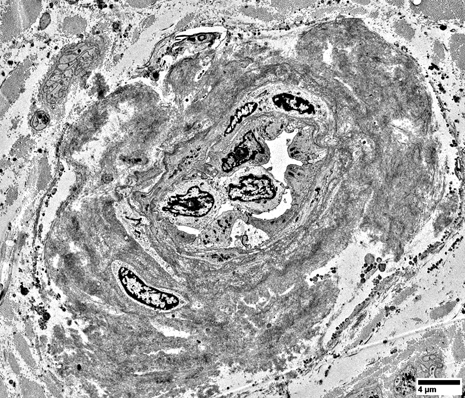
Endoneurial amyloid, Multifocal, often near endoneurial vessels (Arrow)
|

Congo red stain

Congo red stain |
Amyloid: Amorphous deposits surround endoneurial microvessels

Congo red stain
|

Toluidine blue stain
|
Amyloid: Amorphous deposits around endoneurial microvessels

Toluidine blue stain
|
Endoneurial amyloid, Diffuse

Congo red stain |

Congo red stain |

Toluidine blue stain |
Amyloid: Amorphous deposits in endoneurium

Toluidine blue stain |
SUBPERINEURIAL AMYLOID (Arrow)

Congo red stain |
Moderate sized vessels: Amyloid
Vessels in Perimysium & Epineurium: May have amyloid deposits

Congo red stain
|

Congo red stain (± Polarized light)
|

Congo red stain (Polarized light)
|
Amyloid in vessel walls
Red-Stained
|
Birefrengence ± Polarization
|
Amyloid in vessel wall
Apple green
with polarized light.
|
Amyloid: Artery

Congo red stain |
Amyloid: Vein + Perimysium

Congo red stain |

From: R Schmidt |
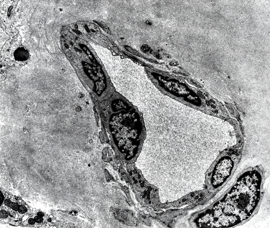
Amyloid
Around wall of endoneurial microvessel
Asymmetric deposits

From: R Schmidt |

From: R Schmidt |

From: R Schmidt |
Amyloid
Replaces basal lamina of endoneurial microvessel
Surrounds endoneurial microvessel

From: J Karamchandani |
Amyloid: Fibrils
Typical widths
TTR: 6 to 8 nm
Imunoglobulin light chain: 10 to 20 nm

From: R Schmidt |
Nerve

H&E stain |
Amyloid: Amorphous clusters in endoneurium

H&E stain |

H&E stain |
Amyloid: Amorphous, rounded clusters in endoneurium

Gomori trichrome stain |

VvG stain |

Toluidine blue stain |
Amyloid
Amorphous, rounded clusters in endoneurium
Amyloid surrounded by pale cell-free regions

Toluidine blue stain |

Congo red stain |
Amyloid
Amorphous, rounded clusters in endoneurium
Perineurial deposition, scattered

Congo red stain |
Amyloid
Surrounds endoneurial microvessel

Congo red stain |
Amyloid (TTR Val30Met): Muscle

H& E stain |
Chronic denervation & Reinnervation, Progressive
Grouped atrophy
Larger muscle fibers are hypertrophied

VvG stain |

ATPase pH 9.4 stain |
Chronic denervation & Reinnervation, Progressive
Fiber type grouping

ATPase pH 4.3 stain |

ATPase pH 4.3 stain |
Chronic denervation & Reinnervation, Progressive
Muscle fibers in region of grouped atrophy
Varied degrees of immaturity (Type 2C)
Esterase positive cytoplasm

Esterase stain |

Congo red stain |
Amyloid deposits
Most prominent in smaller perimysial vessels

Congo red stain |
Amyloid (TTR Thr60Ala): Muscle

H&E stain |

Congo red stain |
Amyloid deposits
Most prominent in connective tisue & around muscle fibers

Congo red stain |

Congo red stain |
Return to
Neuromuscular Home Page
Return to
Amyloidosis
8/30/2025