Neuromuscular

POEMS

Muscle
  Capillary pathology
  Denervation
  Glycogen
Nerve
  Axons
    Wallerian Degeneration
  Edema
  Endoneurial Microvessels
    Hemosiderin
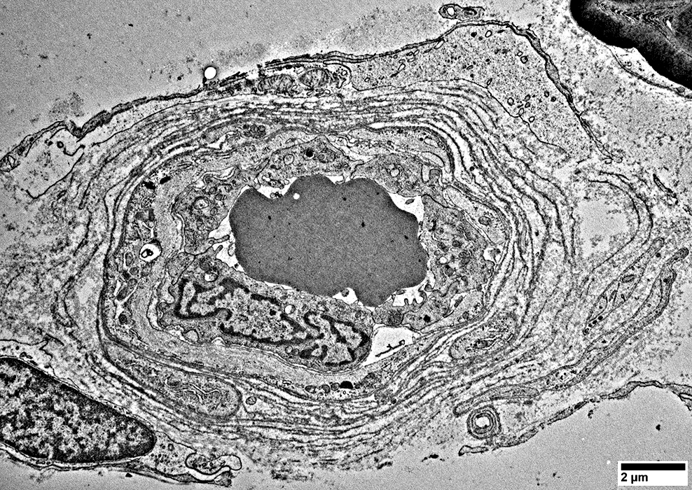
  Uncompacted Myelin
  Vessels

POEMS: Subperineurial & Endoneurial Edema


Gomori trichrome stain
Axon Loss: Moderate


H&E stain
Subperineurial & Endoneurial Edema
  Pale regions under perieurium & in endoneurial septae
  Subperineurial edema stains with Alcian blue (Below)

Alcian blue stain


H&E stain
Subperineurial & Endoneurial Edema
  Pale regions under perieurium & in endoneurial septae

Endoneurial Microvessels


H&E stain
Endoneurial Microvessels
  Walls: Thick, Multilayered


H&E stain
Hemosiderin
  Brown pigment granules near endoneurial microvessels

Gomori trichrome stain

VvG stain

Epineurial Veins

VvG stain

Some epineurial vessels have
  Surrounding histiocytes
  Prominent endothelium

HAM56 stain

Epineurial vessel has normal smooth muscle in wall

ATPase pH 4.3 stain


Ulex stain
Small Vessels
  Increased numbers in epineurium & endoneurium

ATPase pH 4.3 stain

MHC Class I stain

POEMS: Axon loss, Mild


Toluidine blue stain

Toluidine blue stain

Neurofilament stain
POEMS: Axon loss, Mild

Neurofilament stain

Neurofilament stain
POEMS
  Mild loss of myelinated axons

Neurofilament (Green) + P0 (Red)

POEMS: Wallerian Degeneration


VvG stain
Scattered myelin sheaths have reduced VvG and Gomori trichrome staining

Gomori trichrome stain


Acid phosphatase stain
Acid phosphatase + cells
  Endoneurial histiocytes, Scattered
  Some myelin sheaths

Acid phosphatase stain

Acid phosphatase stain

C5b-9 stains around myelin sheaths

C5b-9 stain


NCAM stain
Myelin remains mature: No NCAM expression

NCAM stain

Büngner band cells
  Scattered endioneurial cells costain (Yellow) for NCAM & P0

NCAM (Green) + P0 (Red)


From: R Schmidt
Endoneurial Cell: Degeneration
  Neighboring Schwann cell process
  Another small Schwann cell (Right) has collagen pockets


From: R Schmidt
Endoneurial Cells: Degeneration

From: R Schmidt

POEMS: Gastrocnemius Muscle

Denervation
  Small angular fibers, individually or in small groups

H&E stain


H&E stain
Endomysial Capillaries
  Large size: May occur in gastrocnemius muscle without POEMS
  Increased numbers
Denervation
  Small angular fibers, individually or in small groups

H&E stain

H&E stain


Ulex stain
Endomysial Capillaries
  Large size
  Increased numbers

Ulex stain


Ulex stain

C5b-9 stain
Endomysial Capillaries
  C5b-9 stains most endomysial capillaries

C5b-9 stain


Acid phosphatase stain
Endomysial Capillaries
  Acid phosphatase stains endothelium in most capillaries

Acid phosphatase stain


ATPase pH 4.3 stain
Endomysial Capillaries
  ATPase pH 4.3 stains many capillaries

ATPase pH 4.3 stain

POEMS: Muscle Denervation

VvG stain
Small angular muscle fibers: Scattered & grouped
Endomysial capillaries: Large size

VvG stain


ATPase pH 9.4 stain
Denervation
  Small angular muscle fibers
    Types I & II
    Dark stain for esterase

Esterase stain

Esterase stain


NADH stain
Targetoid changes: Irregular, rounded clear regions

NADH stain

COX stain

SDH stain


PAS stain
Glycogen: Increased PAS staining in muscle fiber cytoplasm

PAS stain

Perimysial Artery & Vein: Normal

VvG stain

Return to: POEMS
Return to: Neuromuscular Home Page

6/10/2025