Mitochondrial disease: Cytochrome oxidase deficiency, Children
COX Deficiency: 6 month old child

H&E stain
|
Muscle fibers with "Cracks" & Small, round holes

Gomori trichrime stain
|
"Checkerboard" pattern of fiber types
"Cracks" & Small round holes are more prominent in type I (pale) fibers

ATPase, pH 9.4
|
Type 2C (Immature; Intermediate-staining),
muscle fibers: Increased numbers (> 5%)

ATPase, pH 4.3
|

Sudan black
|
Large lipid droplets in many fibers

Toluidine blue
|

Toluidine blue
|
Cytochrome oxidase
Reduced staining in all fibers

COX stain
|

COX stain
|
Succinate dehydrogenase (SDH)
Increased staining in many fibers

SDH stain
|

SDH stain
|
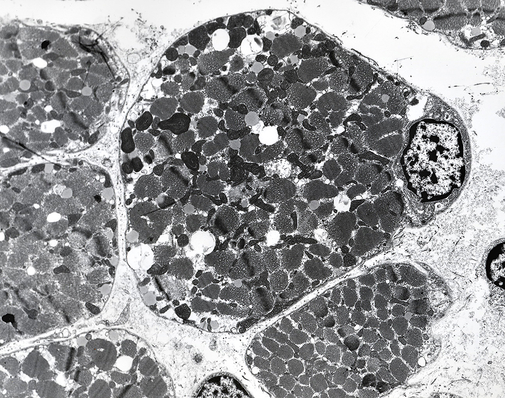
Mitochondrial Infantile Encephalopathy, Ultrastructure

From: R Schmidt
|
Mitochondria
Proliferation
Shapes & structure: Irregular
Sizes: Often large
Lipid droplets
Scattered in muscle fibers

From: R Schmidt
|

From: R Schmidt
|
Mitochondria
Proliferation
Shapes & structure: Irregular
Sizes: Often large
Lipid droplets
Scattered in muscle fibers

From: R Schmidt
|

From: R Schmidt
|
Mitochondria
Shapes & Structure: Irregular
Sizes: Often large

From: R Schmidt
|
COX Deficiency: 1 month old child

COX stain
|
Cytochrome Oxidase (COX) is diffusely reduced in muscle fibers

COX stain
|
Cytochrome Oxidase (COX) is diffusely reduced in muscle fibers, but preserved in
Perimysial vessels (Arrow)
Intrafusil
spindle fibers

COX stain
|

SDH stain
|
Succinate Dehydrogenase (SDH) is mildly increased in some muscle fibers (Arrow)

SDH stain
|
Type 2C muscle fibers (Intermediate staining): Increased numbers

ATPase pH 4.3 stain
|
Lipid Droplets: Increased size

Sudan black stain
|
Glycogen (PAS staining) is increased in muscle fibers

PAS stain
|
Return to
Mitochondrial pathology
Return to
Mitochondrial syndromes
Return to
Muscle biopsies
7/8/2025