Neuromuscular

Neuromuscular Junctions

See: Terminal Motor Axons

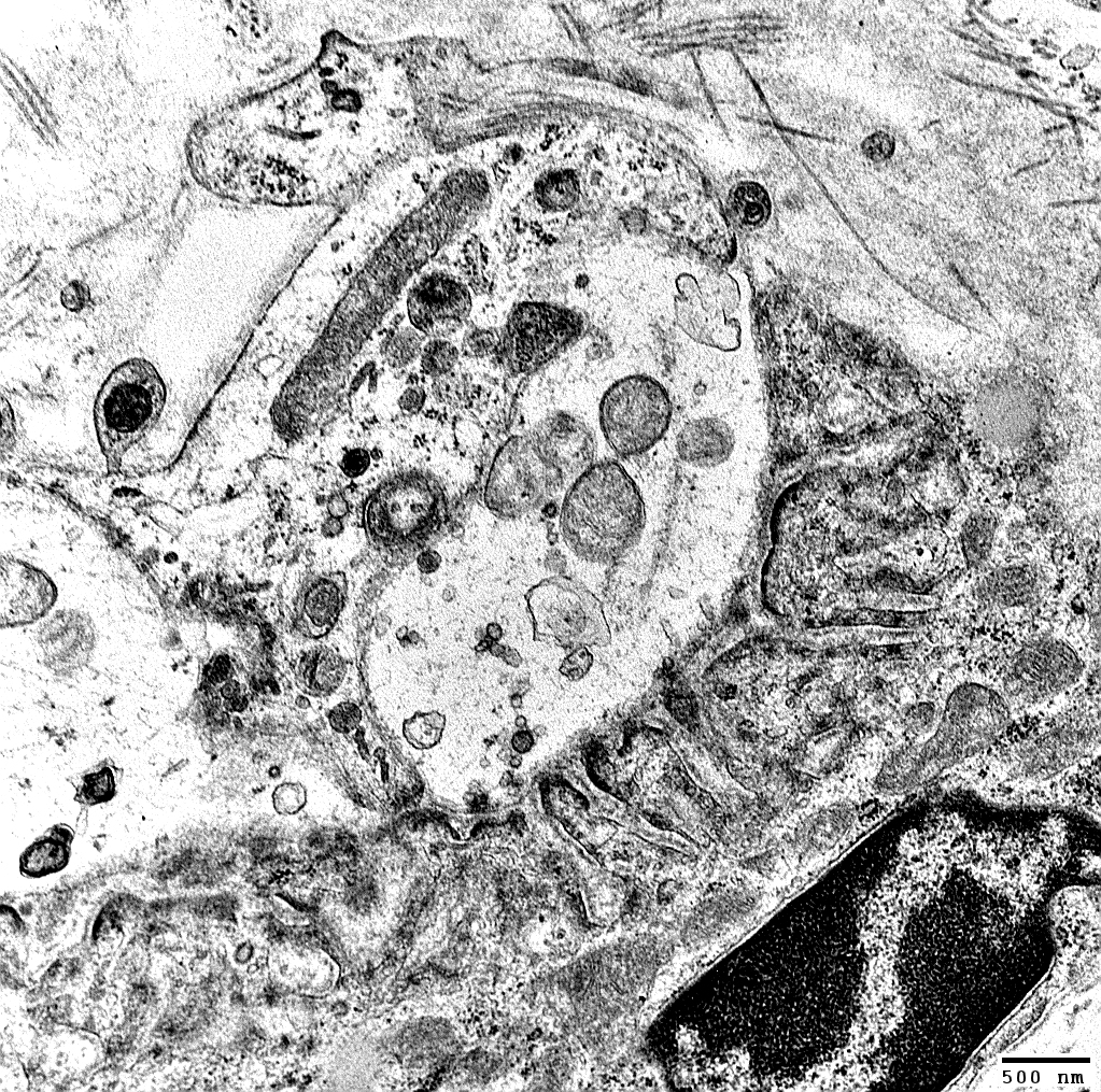
Neuromuscular Junction
  Presynaptic Axon Terminal: Brown Arrow
    Vesicles: Clustered near post-synaptic folds
    Mitochondria: Present in axon terminal cytoplasm
  Terminal Schwann Cell (Telodendroglia): Black Arrow
    Surrounded by pale Basal lamina
  Post-synaptic Folds: Green Arrow
    AChRs: Concentrated at top of folds, near nerve terminal
    Na+ Channels: Concentrated at bottom of folds
    Note Basal lamina layer within folds
      Acetylcholinesterse: Located in Basal lamina
  NMJ Myonucleus: Red Arrow
    Molecular program has specificity for NMJ molecules
  Endomysial Fibroblasts (Left): Long, thin cell processes
  Muscle Fiber (Bottom Right): Sarcomeres cut in cross-section; Lipid droplets (2)
Also see: Esterase stain
Neuromuscular Junction: Ions & Molecules





7/1/2025