Neuromuscular

Twinkle: Muscle Pathology

70 year old female
  Histochemistry
44 year old female
  Histochemistry
  Ultrastructure 1

Twinkle mutation: 70 year-old female

H&E stain
Muscle fibers
  Sizes: Mildly varied; Some small fibers & Nuclear clumps
  Internal architecture: Irregular in some muscle fibers (Arrow)

Muscle fibers with Mitochondrial Proliferation
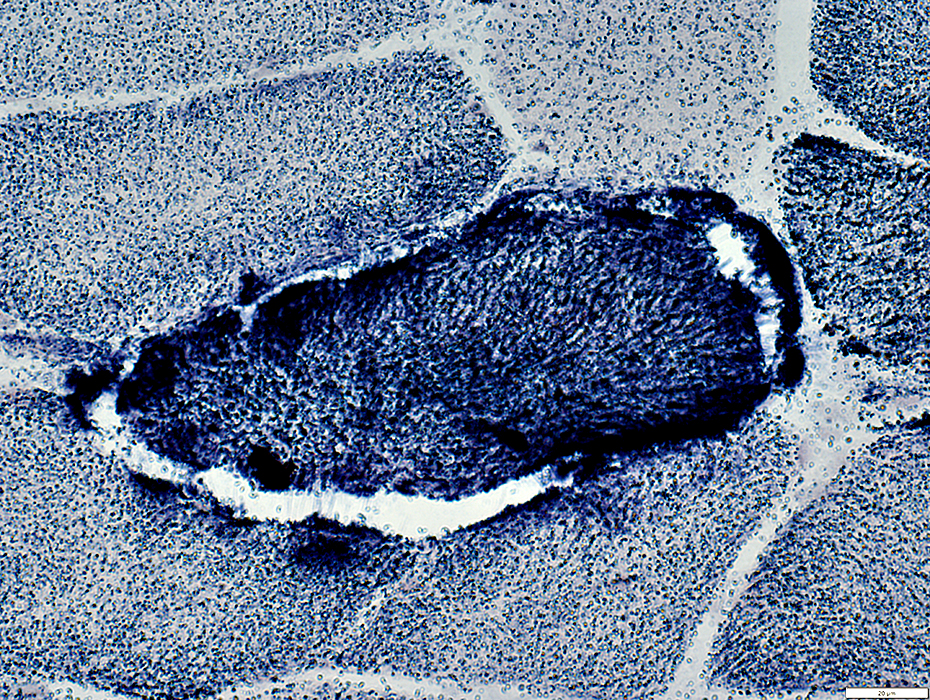
  Irregular red stain (Ragged red)

Gomori trichrome stain


VvG stain
Muscle fibers with Mitochondrial Proliferation
  Internal architecture: Irregular

VvG stain


COX stain
Cytochrome Oxidase
  Reduced staining in scattered muscle fibers

COX stain

Succcinate Dehydrogenase (SDH)
  Scattered fibers with increased staining

SDH stain

SDH stain
Succcinate Dehydrogenase (SDH)
  Muscle fibers have increased staining

SDH stain

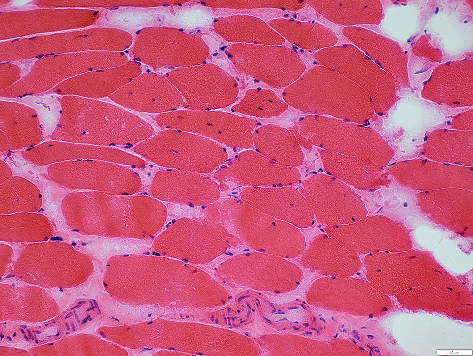
Twinkle mutation: 44 year-old female

H & E stain
Muscle fibers
  Varied sizes
  internal nuclei


Gomori trichrome stain
Muscle fibers with Mitochondrial Proliferation
  Internal architecture: Irregular; Red subsarcolemmal stain


NADH stain

Lipid Droplets in muscle fibers
  Size: Very small
  Most prominent In a muscle fiber with mitochondrial proliferation

Sudan stain


COX stain
COX negative muscle fibers
  Muscle fibers with reduced staining
  Mitochondria not visible

COX stain


SDH stain
Succcinate Dehydrogenase (SDH)
  Scattered muscle fibers with increased staining
  Mitochondria appear large

Twinkle mutations: Muscle fiber types
  Type I muscle fibers: Mild predominance
  Lipid droplets: Increased in a few type 1 (Intermediate-stained) muscle fibers

ATPase pH 9.4 stain


ATPase pH 4.3 stain

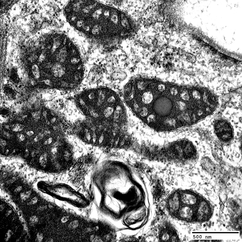
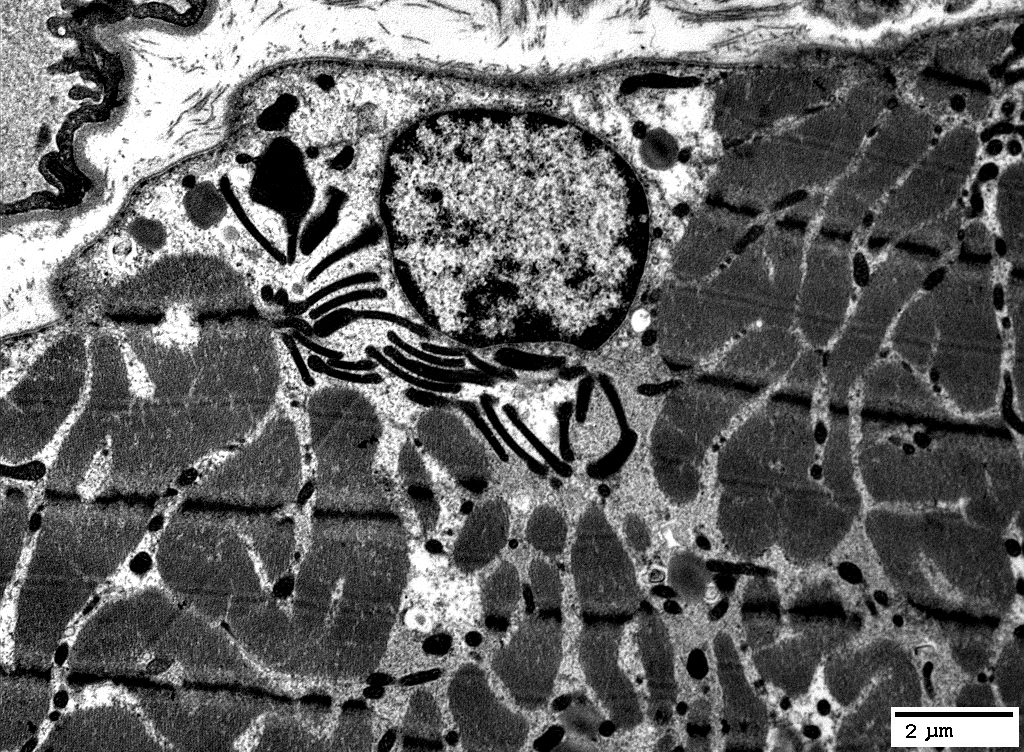
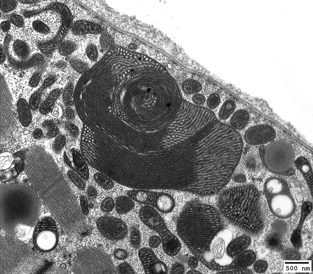
Twinkle: Muscle Ultrastructure


Mitochondrial Proliferation

From: R Schmidt; C Cai
Mitochondria: Subsarcolemmal accumulations
  Many mitochondria are abnormal: Large; Long; Dark-stained

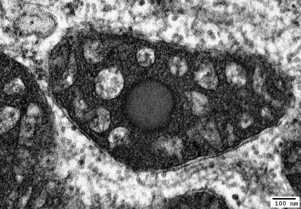
From: R Schmidt; C Cai

From: R Schmidt; C Cai
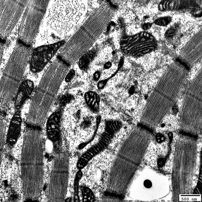
Mitochondria: Subsarcolemmal accumulations
  Many mitochondria are abnormal: Large; Long; Dark-stained

From: R Schmidt; C Cai

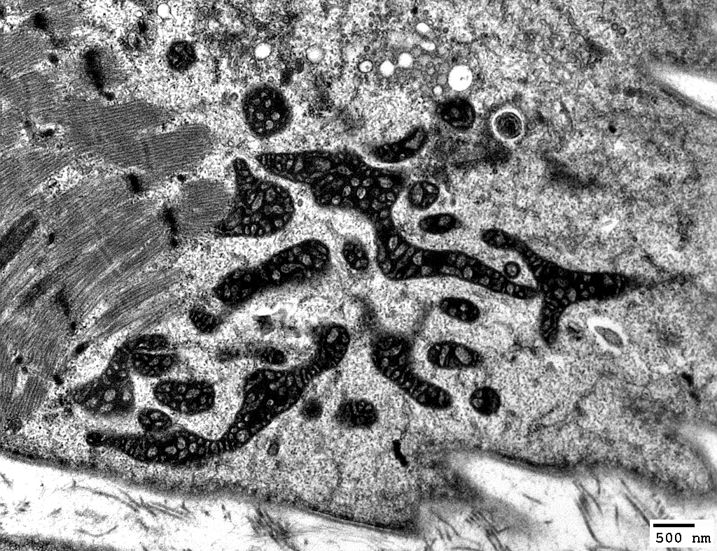
Mitochondria: Subsarcolemmal accumulations
  Many mitochondria in 1 fiber are: Large; Dark-stained

From: R Schmidt


From: R Schmidt; C Cai
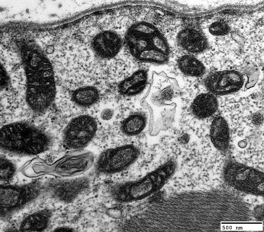
Abnormal Mitochondria & Lipid droplets: Intermyofibrillar accumulations

From: R Schmidt; C Cai


From: R Schmidt; C Cai

From: R Schmidt; C Cai

From: R Schmidt; C Cai

From: R Schmidt; C Cai

From: R Schmidt; C Cai

From: R Schmidt; C Cai

From: R Schmidt; C Cai

From: R Schmidt; C Cai

From: R Schmidt; C Cai

From: R Schmidt; C Cai

From: R Schmidt; C Cai

From: R Schmidt; C Cai

From: R Schmidt; C Cai

Return to: Twinkle

6/25/2025