Sporadic, Late Onset Nemaline Myopathy (SLONM)
Muscle fiber features
SLONM: Myopathy
Fiber size: Varied
Endomysial connective tissue: Increased

H&E stain
|

H&E stain
|
SLONM: Myonuclei
Large
May be clumped

H&E stain
|

Congo red stain
|
SLONM: Myonuclei
Large
Clumped in some fibers

Congo red stain
|

Gomori trichrome stain
|
SLONM: Myonuclei
Large
Some fibers: Clumped or Occupy entire myofiber cytoplasm

Gomori trichrome stain
|
Clustered myonuclei in small muscle fiber
Small misoriented sarcomeres are also present

From R Schmidt
|
SLONM: Muscle Fiber Internal Architecture

VvG stain
|
Myofiber cytoplasm
Irregular, Coarse Internal architecture
Internal nuclei

VvG stain
|

VvG stain
|
Myofiber cytoplasm
Irregular, Coarse Internal architecture
Internal nuclei

NADH stain
|
Subsarcolemmal pads (Arrow): Contain
Disorganized sarcomeres
Myeloid debris
Small rod-like structures
Myonuclei may be present

From R Schmidt
|
SLONM: Nemaline Rods
Ultrastructure

Gomori trichrome stain
|
Nemaline Rods
Size: Very small
Distribution in fiber: Diffuse; Often in large of cytoplasm
May be more common in small fibers

Gomori trichrome stain
|

Gomori trichrome stain
|
Nemaline Rods
Size: Very small
Distribution in fiber: Diffuse; Often in large of cytoplasm
May be more common in small fibers

Gomori trichrome stain
|
SLONM: Clustered Rod-like Material

Gomori trichrome stain
|
Nemaline Rods
Size: Very small
Distribution in fiber: Diffuse; Often in large of cytoplasm
May be more common in small fibers

Gomori trichrome stain
|

Gomori trichrome stain
|
Nemaline Rods
Size: Very small
Distribution in fiber: Diffuse; Often in large of cytoplasm
May be more common in small fibers

Gomori trichrome stain
|
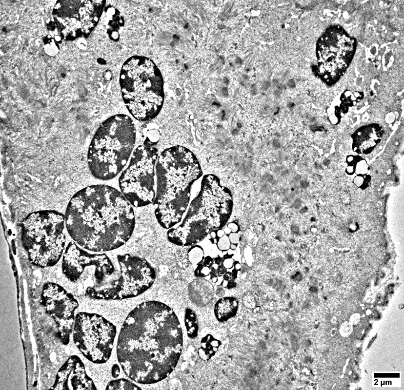
SLONM Rods: Ultrastructure
Rods
Multiple small rods are present in small muscle fibers
Rods
Multiple small rods are present in small muscle fibers
Rods
May be extensions from Z-bands (Arrow)
Often have fibrillar extensions that are not as common in
hereditary rod myopathies

From: R Schmidt
|
SLONM: AMPDA aggregates

AMPDA stain
|
SLONM: Fiber types
Type I predominance
Small fibers mostly 2C

ATPase pH 4.3 stain
|
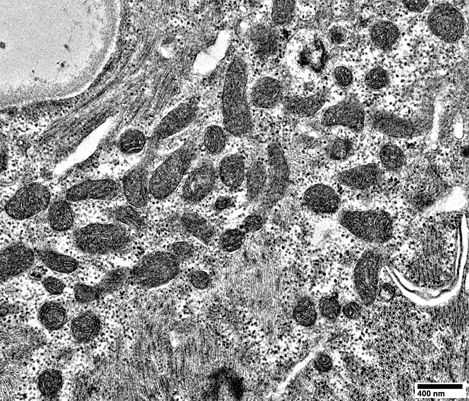
SLONM: Mitochondrial pathology
Proliferation
Abnormal shapes
Lipid droplets

From: R Schmidt
|
Ring fiber
Return to:
Sporadic, Late Onset Nemaline Myopathy (SLONM)
Return to:
Neuromuscular Home Page
7/7/2025