Neuromas
1,2
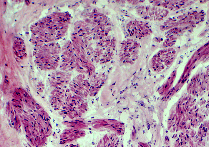
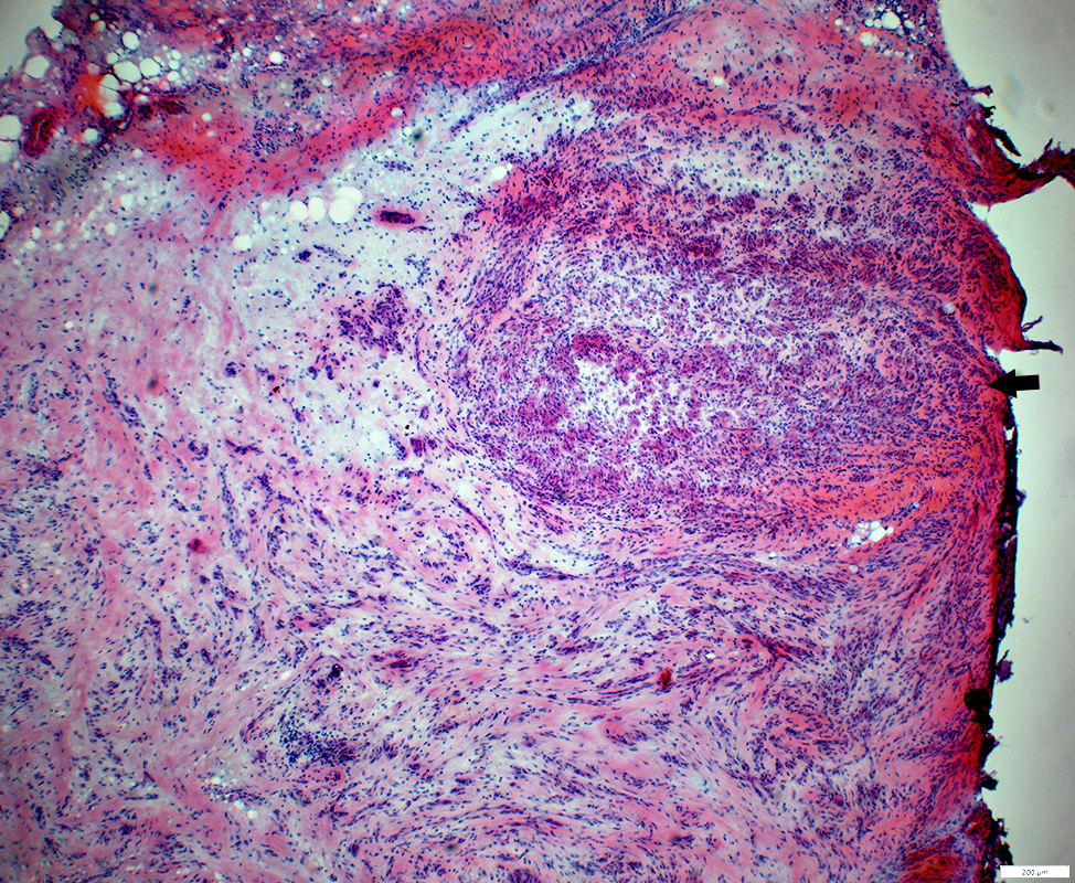
Regeneration: Aberrant Fascicles

H&E stain
Minifascicles
Varied sizes & orientations

H&E stain
|

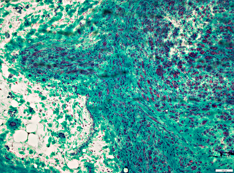
Gomori trichrome stain
Post-regeneration: Small fascicles with varied size and orientations

Gomori trichrome stain
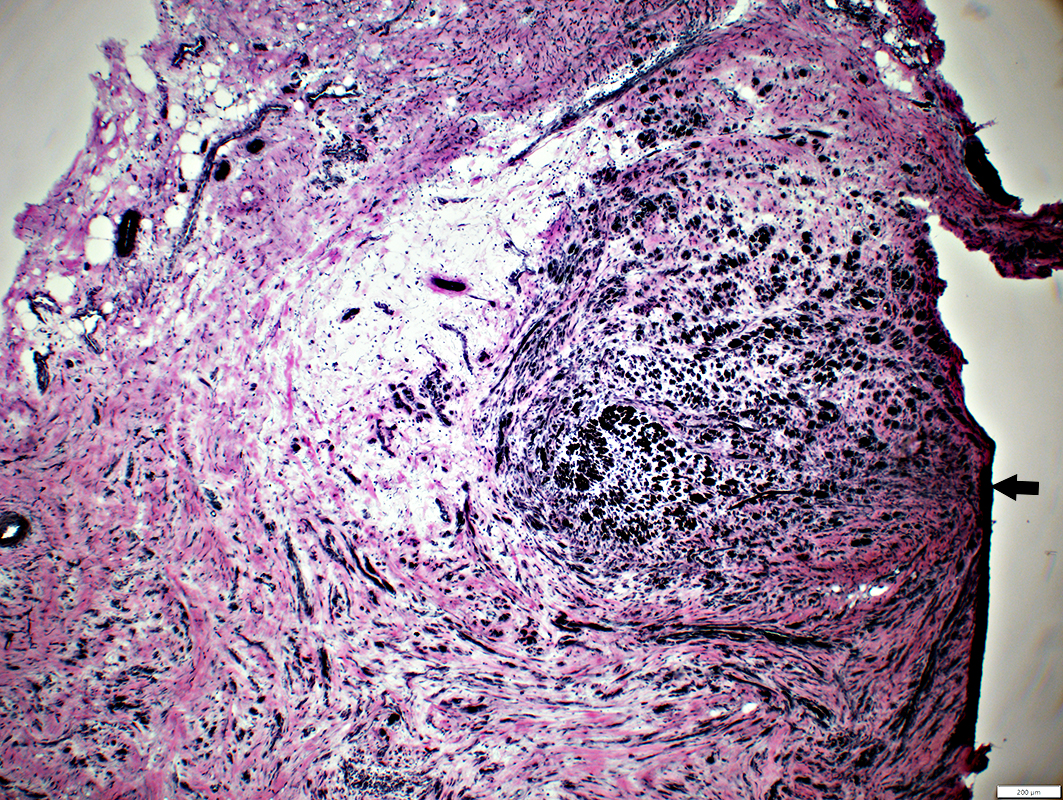
Neuroma: Multiple small fascicles containing myelinated axons

VvG stain
|

Neurofilament stain
|
Neuroma: Small minifascicles in epineurium
Contain myelinated & unmyelinated axons

Neurofilament stain
|
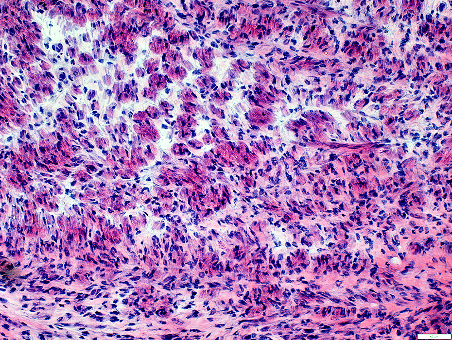
Regenerated Axon Clusters within Neuroma
Neuroma
Varied sizes & orientations of axon clusters (fascicles)
Neuroma
Axons in fascicles tend to be thinly myelinated for their size
Small minifascicles contain 1 to 30 myelinated axons
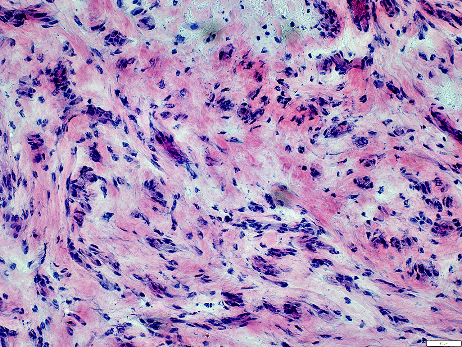
Neuroma
Neuroma
Varied numbers of myelinated & non-myelinated axons in fascicles
Varied numbers of axons in fascicles
Neuroma
Several small fascicles separated by connective tissue
Each fascicle is surrounded by perineurium, 1 or several layers

From: R Schmidt
|
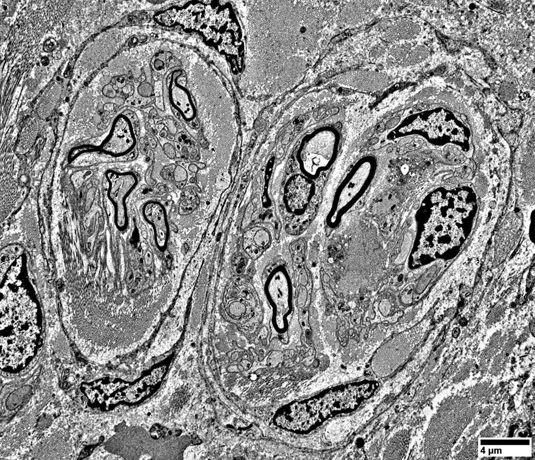
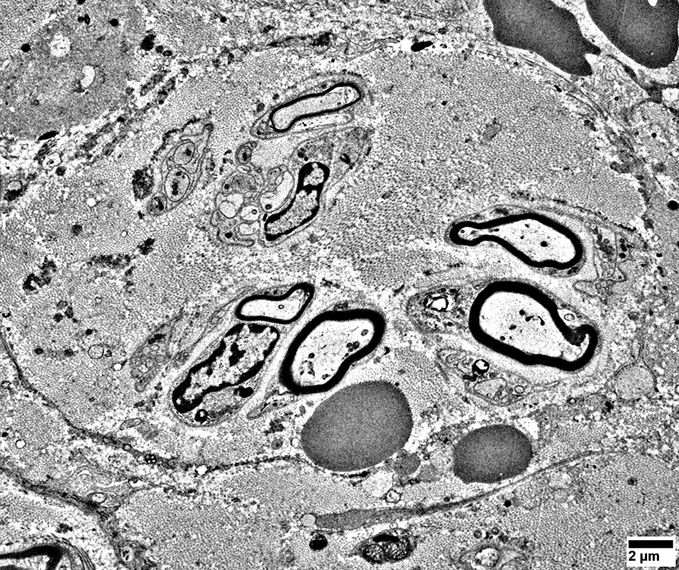
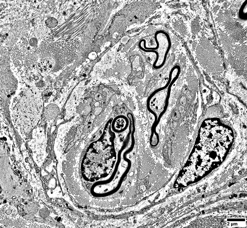
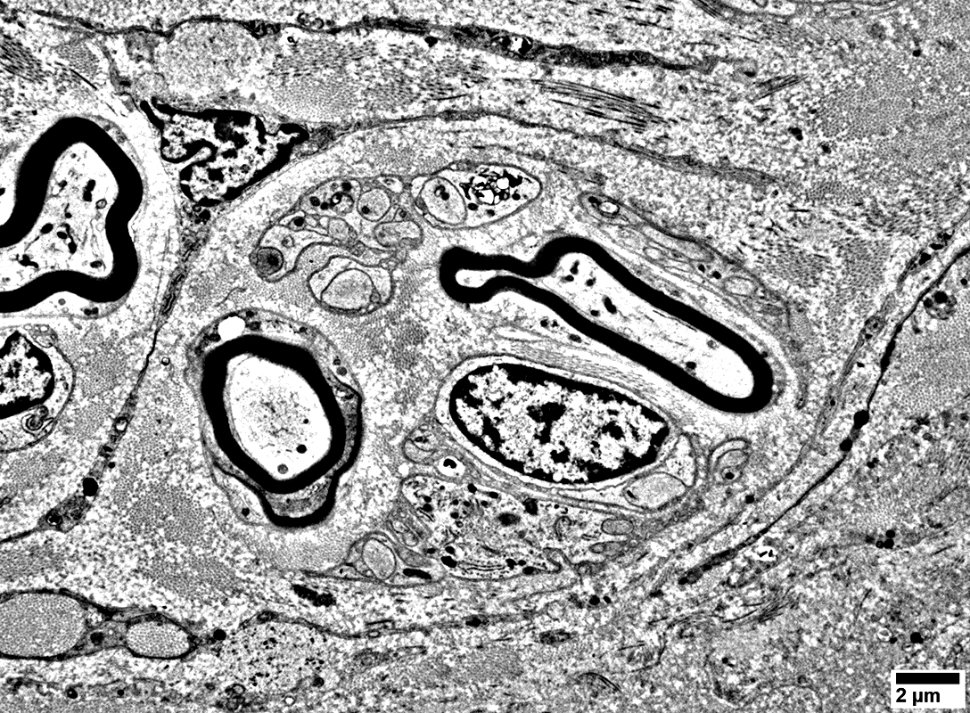
Minifascicles
Contents
Thinly myelinated axons
Clusters of Schwann cell processes (Büngner bands)
Collagen
Surrounded by
Perimysial cell/Fibroblast process

From: R Schmidt
|

From: R Schmidt
|
Minifascicles
Contents
Thinly myelinated axons
Clusters of Schwann cell processes (Büngner bands)
Collagen
Surrounded by
Perimysial cell/Fibroblast process

From: R Schmidt
|
Clusters of thinly myelinated axons

From: R Schmidt
|
Neuroma: Minifascicles
Small minifascicles: Contain 1 or 2 thinly myelinated axons (Top)
Fascicle with normal organization (Bottom left)

Toluidine blue stain
Small minifascicles: Contain thinly myelinated axons
|
Neuroma: Origin
Neuroma: Nerve branch originating from normal fascicle
Normal nerve fascicle (Left); Fascicles with varied size and orientations (Right)

VvG stain

VvG stain

Gomori trichrome stain
|
Neuroma (Region along nerve at, or distal to, lesion): C5 Root

H&E stain
|
Nerve at, or distal to, region of damage: Regions
Persisting nerve structures (Arrows)
Cellular: Heterogeneous region; Cells present in clusters
Contains clusters of myelinated axons
Surrounding connective tissue: Contains aberrantly regenerated axons
Connective Tissue Structure: Moderately dense to pale
Aberrant myelinated axons: Single & Clustered (Below)

VvG stain
|

Neurofilament stain
|
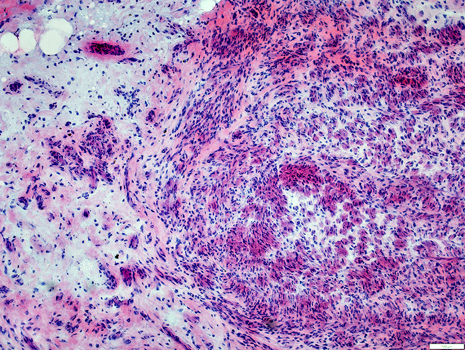
Neuroma (Right): Cluster of axons
Axon sprouts: Scattered single axons grow into connective tissue (Left)

NCAM stain
|

H&E stain
|
Neuroma (Right): Cluster of axons with extension into connective tissue
Axon sprouts: Scattered single axons grow into connective tissue (Left)

H&E stain
|

Gomori Trichrome stain
|
Neuroma (Right): Cluster of axons, sopme myelinated (Red) with extension into connective tissue
Axon sprouts: Scattered single axons grow into connective tissue (Left)

H&E stain
|
Neuroma (Top): Cluster of axons with extension into connective tissue
Axon sprouts: Scattered single axons grow into connective tissue (Bottom)

H&E stain
|
Neuroma (Above): Cluster of axons with extension into connective tissue
Axon sprouts: Scattered single axons grow into connective tissue (Below)

H&E stain
|
Neuroma: Axons & Schwann cells
|
NCAM(r)10X_01apsmb.jpg)
Neurofilament (Green); NCAM (Red)
NCAM
Present in Schwann cells around most axons in Neuroma (Left) & surrounding axon sprouts (Right)
P0(r)sm.jpg)
Neurofilament (Green); P0 (Red)
|
P0 protein
Present in Schwann cells around some, but not all, axons in & around Neuroma
P0(r)_07apsm.jpg)
Neurofilament (Green); P0 (Red)
|

Neurofilament (Green); MBP (Red)
|
Immature Schwann Cells/Myelin: Express MBP in cells on axons with thin, or no, myelin
Small & Intermediate-sized axons
Many have associated MBP+ Schwann cells (Yellow)

Neurofilament (Green); MBP (Red)
|
GAP43(r).jpg)
Neurofilament (Green); GAP43 (Red)
|
GAP43
Axons in Neuroma: Contain GAP43 (Yellow) more in peripheral than central areas
GAP43(r)b.jpg)
Neurofilament (Green); GAP43 (Red)
|
Axon Sprouts

From: R Schmidt
|
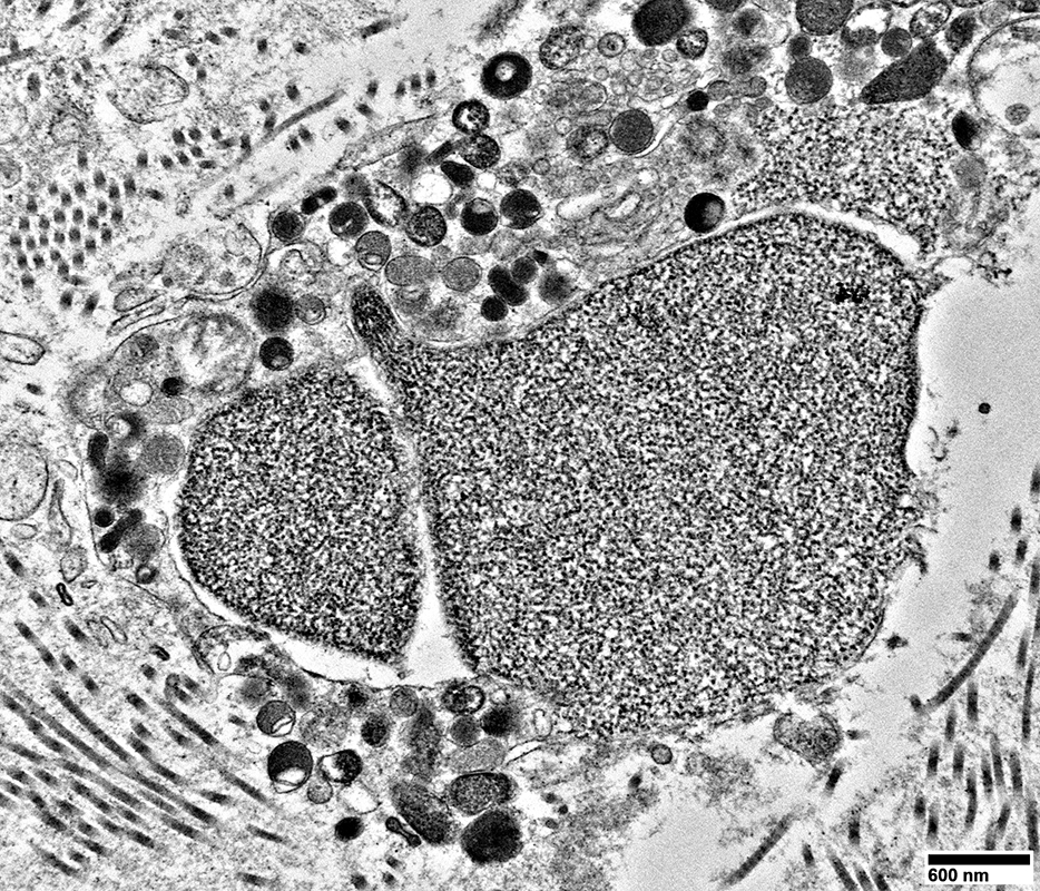
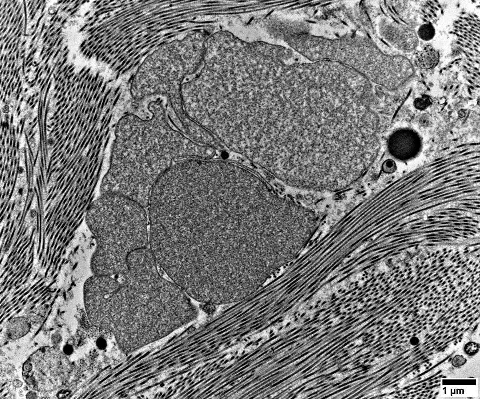
Regenerating Axons
Clusters of processes
2 types of contents
Tubulovesicular profiles
Densely distributed in axon processes
Compare to:
Axons, large & proximal to nerve lesion
Organelles, including many mitochondria
No surrounding Schwann cell cytoplasm

From: R Schmidt
|

From: R Schmidt
|
Regenerating Axons
Cluster of moderate-sized processes
All contain mainly Tubulovesicular profiles
Densely distributed
No surrounding Schwann cell cytoplasm

From: R Schmidt
|

From: R Schmidt
|
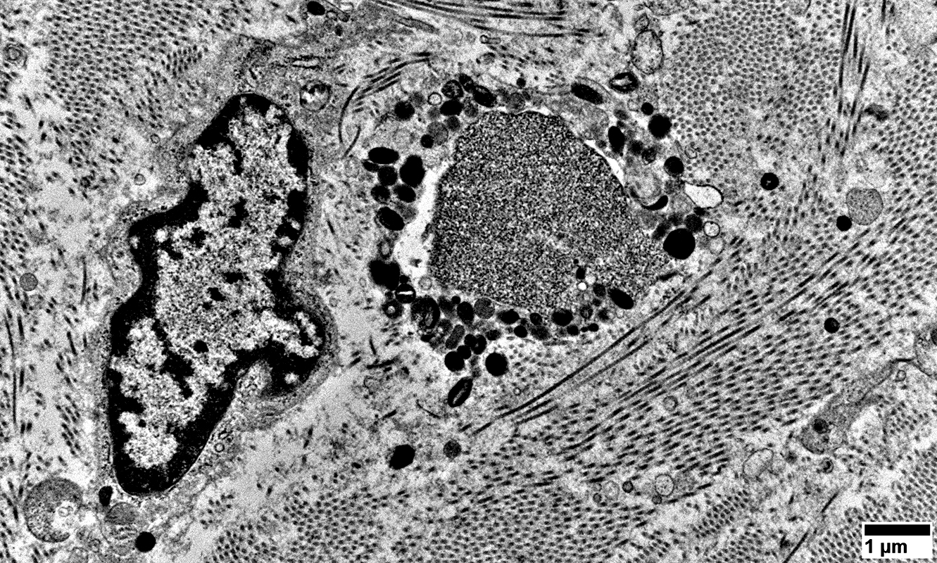
Regenerating Axons
Cluster of processes
Tubulovesicular profiles surrounded by Organelles, including many mitochondria
No surrounding Schwann cell cytoplasm

From: R Schmidt
|

From: R Schmidt
|
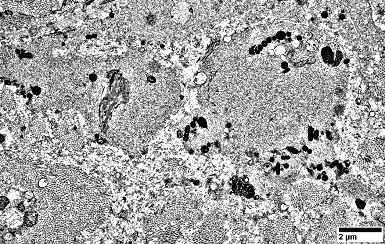
Regenerating Axons
Mixed contents: Tubulovesicular profiles & Organelles
No surrounding Schwann cell cytoplasm

From: R Schmidt
|
Neuroma: New Perineurial sheaths formed around small clusters of axons
P0(r).jpg)
EMA (Green): P0 (Red)
|
Perineurium in & around Neuroma
EMA (Green) stains scattered perineurial cells & rings of perineurium around small, aberrant regenerated axon (myelin) clusters (Red)
Compare to:
Nerve proximal to damage region
P0(r)b.jpg)
EMA (Green): P0 (Red)
|
Return to
Neuromuscular Home Page
Return to
Pathology index
References
1.
J Am Acad Orthop Surg 2025;33:178-186
2.
PLoS One 2018;13:e0200548
6/13/2025