Case 1
85 yo female with 1 year of progressive dysphagia, & symmetric weakness, proximal legs & arms + distal arms with 50 lb weight loss
CK = 2,800.
Inflammatory Myopathy
Muscle fibers
Morphology: Varied sizes; Many small
Internal architecture
Cytoplasm
Immune
MHC1: Upregulated on muscle fibers
IgG present in myonuclei
SCRT1 expression: Increased
Inflammation
Types
Lymphocytes:
Foci &
Scattered in Endomysium,
Types
Histiocytes: Scattered in Endomysium; Few in Perimysium
Distribution: Endomysial; Foci & Scattered
Cell Foci contain: Small vessels with endothelium & thin wall
Connective tissue
Perimysium:
Fragmented in some regions
Endomysium:
Increased;
C5b9 deposition
Vessels
Endomysial capillaries: Large; Reduced numbers; Alkaline phosphatase +
Nailfold capillaroscopy

H&E stain
|
Muscle fibers
Sizes: Varied; General atrophy
Inflammation
Scattered in endomysium & perimysium
Lymphocyte Foci
Endomysial connective tissue
Increased between muscle fibers

Congo red stain
|

H&E stain
|
Inflammation
Scattered in endomysium betweem muscle fibers
Perimysial connective tissue: Fragmented

VvG stain
|

Congo red stain
|
Lymphocyte cell foci
Often contain smaller vessel with thin wall

Congo red stain
|

H&E stain
|

CD4 stain
|
Lymphocyte cell foci
Often contain CD4 cells

CD4 stain
|

CD8 stain
|
Lymphocyte cell foci
CD8 cells
Scattered within foci and in endomysium
Form small clusters

CD8 stain
|

CD8 stain
|

CD20 stain
|
Lymphocyte cell foci
CD20 cells
Scattered in endomysium
Form small clusters in perimysium

CD20 stain
|
Histiocytes

Acid phosphatase stain
|
Acid phosphatase+ histiocytes are
Scattered in: Endomysium & Perimysium
Associated with damaged muscle fibers

Acid phosphatase stain
|
Esterase+ histiocytes are
Scattered in: Endomysium & Perimysium

Esterase stain
|

CD163 stain
|
CD163+ histiocytes are
Scattered in: Endomysium & Perimysium

CD163 stain
|

HAM56 stain
|
HAM56+ histiocytes are
Scattered in: Endomysium & Perimysium

HAM56 stain
|

HAM56 stain
|

MxA stain
|
MxA stains
Endomysial cells
Muscle fiber cytoplasm: Scattered very small fibers

MxA stain
|

MxA stain
|
Capillary pathology

Alkaline phosphatase stain
|
Endomysial Capillaries
Increased staining by alkaline phosphatase
Muscle fibers
Cytoplasm of scattered very small, immature muscle fibers is stained by alkaline phosphatase

Alkaline phosphatase stain
|
Endomysial Capillaries
Size: Large
Number: Reduced; Scattered muscle fibers with no adjacent capillary

UEA1 stain
|

C5b-9 stain
|
C5b-9 stains
Endomysial connective tissue
Cytoplasm of rare necrotic muscle fiber (Below; Arrow)

C5b-9 stain
|

C5b-9 stain
|
Endomysial Connective Tissue
Increased between muscle fibers
Stains for decorin

Decorin stain
|

VvG stain
|
Muscle fibers
Sizes: Varied
MHC1: Difffusely upregulated by muscle fibers (Below)

MHC1 stain
|

MHC1 stain
|
Muscle fibers
Sizes: Varied
MHC1: Difffusely upregulated by muscle fibers (Below)
Inflammation
Many MHC1+ cells in endomysium & perimysium

MHC1 stain
|
Muscle Fibers

ATPase pH 9.4 stain
|
Muscle Fiber Types
No grouping
Many immature, intermediate-stained 2C fibers (Below)
Few pale type 2A Fibers (Below)

ATPase pH 4.3 stain
|

LC3 stain
|
Muscle Fibers: LC3 aggregates
Present in muscle fibers in some regins of muscle
LC3 in muscle fibers: Multiple punctate aggregates scattered through cytoplasm, or clustered in some regions

LC3 stain
|

LC3 stain
|
Muscle Fiber Internal Architecture
Coarse & Immature

NADH stain
|

COX stain
|
Muscle Fiber Internal Architecture
No definite mitochondrial pathology
COX stain is present in all muscle fibers
SDH stain is increased in some small fibers, possibly related to immaturity

SDH stain
|
Nailfold Capillaroscopy

From: B Hopfinger
|

From: B Hopfinger
|
Case 2
83 yo female with 6 months of progressive dysphagia, & symmetric weakness, proximal legs & arms + distal arms
Inflammatory Myopathy with Perimysial Pathology
Myopathic Features

H&E stain
|
Myopathy: Patchy, Chronic
Muscle fibers
Varied sizes
Necrosis & Regeneration: Scattered
Patchy involvement (Most on bottom left of image)
Perimysial connective tissue: Cellular
Pale round structures: Surrounded by cells (Left)

VvG stain
|

H&E stain
|
Myopathy: Patchy, Chronic
Muscle fibers
Varied sizes
Necrosis & Regeneration: Scattered
Multifocal
Perimysial connective tissue damage: Cellular; Pale
Muscle Fiber Necrosis: Scattered

C5b-9 stain
|
C5b-9 stains
Cytoplasm of scattered muscle fibers
Connective tissue: Endomysium & Perimysium
Endomysial cells

C5b-9 stain
|

C5b-9 stain
|
C5b-9 stains
Cytoplasm of scattered muscle fibers
Connective tissue: Endomysium & Perimysium
Endomysial cells

C5b-9 stain
|

MHC-1 stain
|
MHC Class I
Muscle fibers: Mild upregulation on muscle fiber surfaces
Endomysial & Perimysial cells: Strong staining

MHC-1 stain
|

MHC-1 stain
|
MHC Class I
Muscle fibers: Mild upregulation on muscle fiber surfaces
Endomysial & Perimysial cells: Strong staining

MHC-1 stain
|

MHC-1 stain
|

LC3 stain
|
Mi-2 myopathy: LC3 aggregates in regions of muscle fibers

LC3 stain
|

MxA stain
|
MxA
Muscle fiber cytoplasm: Mild staining
Endomysial cells: Strong stain

MxA stain
|
Mi-2 myopathy: Immune features

H&E stain
|
Myopathy: Foci of Inflammation
Muscle fibers
Varied sizes
Necrosis & Regeneration: Scattered
Multifocal
Inflammation: Focal clusters of cells in endomysium

Congo red stain
|
Mi-2 myopathy: Histiocytes

Acid phosphatase stain
|
Histiocytes scattered in Perimysium & Endomysium

Esterase stain
|

Acid phosphatase stain
|
Endomysium
Histiocytes
Surround focal, round regions of connective tissue
Scattered in endomysium

Acid phosphatase stain
|

Esterase stain
|
Cells in Endomysium & Perimysium

H&E stain
|
Mi-2 myopathy: Connective tissue pathology

H&E stain
|
Endomysium
Increased connective tissue between muscle fibers
Focal, round regions of connective tissue surrounded by thin layer of cells (Arrows)

Alcian blue stain
|

VvG stain
|
Endomysium
Increased connective tissue between muscle fibers
Focal, round regions of connective tissue surrounded by thin layer of cells (Arrows)

Alcian blue stain
|

Gomori trichrome stain
|

H&E stain
|
Endomysium
Increased connective tissue between muscle fibers
Focal, round regions of connective tissue surrounded by thin layer of cells (Arrows)

VvG stain
|

Decorin stain
|
Connective tissue
Round structures contain chondroitin-SO
4

Decorin stain
|

Decorin stain
|

MHC-I stain
|

NADH stain
|
Perimysial Connective Tissue Damage

H&E stain
|
Perimysial connective tissue
Fragmented structure
Contains
histiocytes (Scattered large cells)
Perimysial Connective Tissue Damage

Alkaline phosphatase stain
|
Alkaline phosphatase darkly stains perimysial connective tissue

Alkaline phosphatase stain
|
Capillary Pathology

VvG stain
|
Endomysial capillaries (Arrow)
Large size
thick walls

ATPase pH 4.3 stain
|
Endomysial capillaries (Arrow; Below)
Endothelium abnormally stains for ATPase

ATPase pH 4.3 stain
|
UEA I stain
|
Endomysial capillaries
Size: Large

UEA I stain
|
Endomysial capillaries
Size: Large

UEA I stain
|

From R Schmidt
|
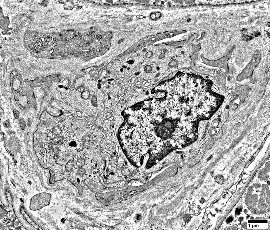
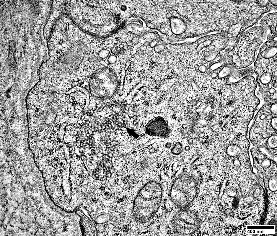
Endomysial capillaries
Size: Large
Endothelial cells
Size: Large
May contain tubuloreticular profiles (Below; Arrow)

From R Schmidt
|

VvG stain
|
Perimysial vessels
Walls: Reduced numbers of elastin fibrils

H&E stain
|
Perimysial vessels
Walls
Elastin fibrils: Reduced numbers
Connective tissue: Thick
Associated Lymphocytic cells
In Vessel wall
Surrounding vewssel
Eosinophils, Few

H&E stain
|
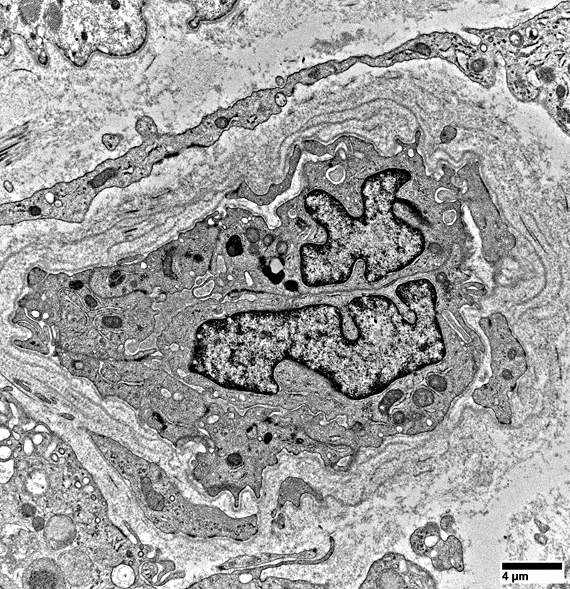
Perimysial Vessel
Connective Tissue Wall: Thick
Endothelial cells: Large
Surrounded by: Cell processes

From R Schmidt
|
Return to:
Mi-2 antibodies
Return to:
Neuromuscular Home Page
3/23/2026