Neuromuscular

Distal Myopathy (MSP5; MPD2): Matrin-3 mutation



H&E stain
Fiber sizes: Varied
Small fibers: Rounded or Polygonal

Gomori Trichrome stain

Fiber types: Non-random distribution

ATPase pH 4.3 stain


VvG stain
Vacuoles: Large; Sub-sarcolemmal

Congo red stain


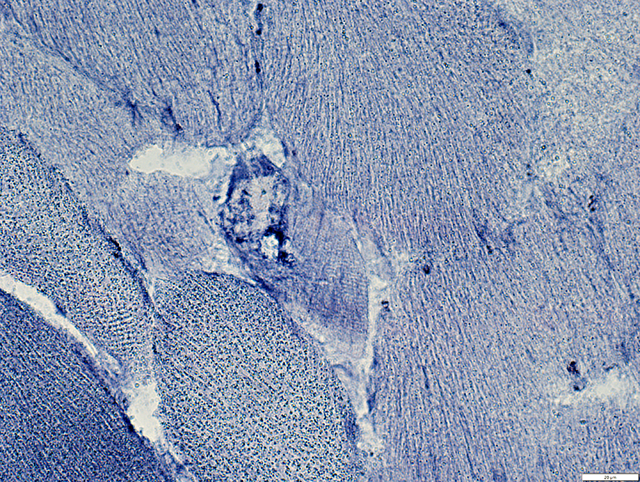
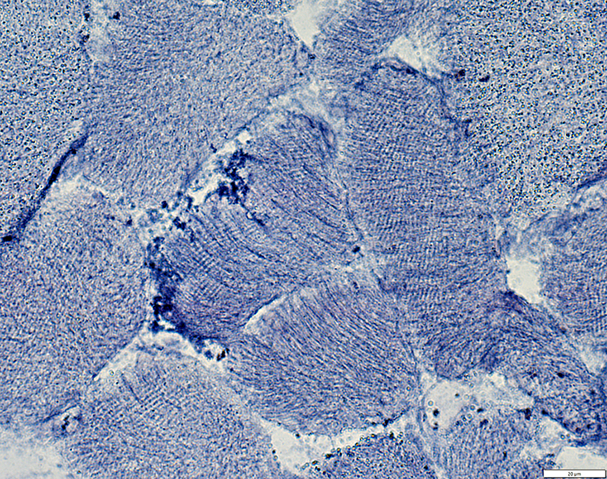
AMPDA stain
Matrin3 myopathy: AMPDA aggregates in muscle fibers

AMPDA stain

Return to Neuromuscular
Return to MPD2

8/20/2025