Neuromuscular

Neuropathy with IgM anti-MAG antibodies

Histochemistry
Toluidine blue
Ultrastructure
  Wide spacing

stain
Anti-MAG antibodies: Nerve Histology
  Myelinated Axons: Reduced numbers
  No inflammation
  Subperineurial edema: Mild

VvG stain


H&E stain
Anti-MAG antibodies: Nerve Histology
  Myelinated Axons: Reduced numbers

VvG stain

Gomori trichrome stain


Neurofilament stain
Anti-MAG antibodies: Nerve Patholology
  Larger Axons (Above): Severely reduced #s
  Small axons (Above): Reduced #s, but Relatively preserved
  Non-myelinating Schwann cells (Below): Diffusely distributed in endoneurium

NCAM stain


NCAM (Green) + P0 (Red) stain
Non-Myelinating Schwann (Remak) Cells: Abnormal
  Most Schwann cells have a denervated phenotype: Express both NCAM & P0
Abnormal Myelin
  Myelin sheaths contain NCAM as well as P0

Büngner band cells
  Peripheral nerve Schwann cells with no asociated axon
Ultrastructure


NCAM (Green) + MBP (Red) stain stain
Abnormal Myelin
  Myelin sheaths contain NCAM as well as MBP


VvG stain

No endoneurial C5b-9 staining

C5b-9 stain

Scattered endoneurial histiocytes

Acid phosphatase stain

No Demyelination
  All larger axons have surrounding P0 stained myelin

Neurofilament (Green) + P0 (Red) stain


Toluidine blue stain
Myelin sheaths around remaining larger axons: Often have irregular shapes

Toluidine blue stain


Toluidine blue stain
Myelin sheaths around remaining larger axons: Often have irregular shapes & staining

Toluidine blue stain

Toluidine blue stain

MAG Neuropathy: Nerve & Myelin Ultrastructure

From: R Schmidt
Myelin sheaths may have abnormal folded shapes

From: R Schmidt

MAG neuropathy: Thin myelin sheath surrounded by Schwann cell processes

From: R Schmidt


From: R Schmidt
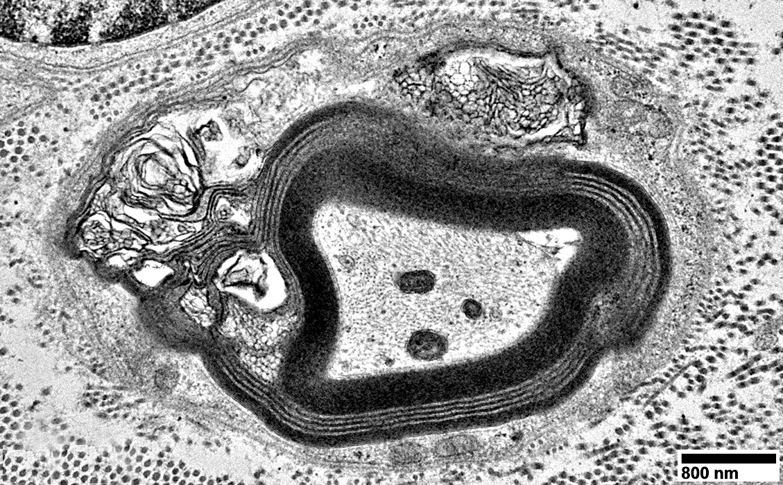
MAG neuropathy: Myelin wide spacing & Irregular shaped layers

From: R Schmidt

From: R Schmidt
Myelin Wide Spacing

From: R Schmidt


From: R Schmidt
MAG neuropathy: Myelin Wide Spacing with separation of layers of compact myelin

From: R Schmidt

From: R Schmidt
MAG neuropathy: Myelin Wide Spacing with separation of layers of compact myelin

From: R Schmidt

From: R Schmidt

MAG neuropathy: Other Pathology

From: R Schmidt
Axon Atrophy with Relatively thick myelin sheath

From: R Schmidt
Schmidt-Lanterman clefts
  Irregular structure

From: R Schmidt


From: R Schmidt
Myelin Layers
  Incompletely compacted

From: R Schmidt

Return to Neuromuscular Home Page
Return to MAG PN

3/5/2026