Neuromuscular

Cystinosis



H&E stain

H&E stain
Muscle fibers: Varied sizes
Muscle fibers: Vacuoles, irregular shaped; Large nuclei

VvG stain
Vacuoles in muscle fibers


VvG stain


Gomori trichrome stain; From C Cai


NADH stain
Internal architecture
  Irregular
  Linearization in pale stained fibers

Vacuoles: Contain
  Basophilic granular debris
  Red-green birefringent material

Congo red stain

Congo red stain


Congo red stain

AMPDA positive agggregates: Some associated with vacuoles

AMPDA stain

AMPDA stain;/ From C Cai

Acid phosphatase positive material: Some associated with, or within, vacuoles

Acid phosphatase stain

Acid phosphatase stain; From C Cai

Immature muscle fibers

ATPase pH 4.3 stain

Muscle Fibers: Inclusions


From C Cai
Membrane Aggregates in Muscle Fibers

From C Cai

Myofiber Inclusions, Perinuclear

From R Schmidt

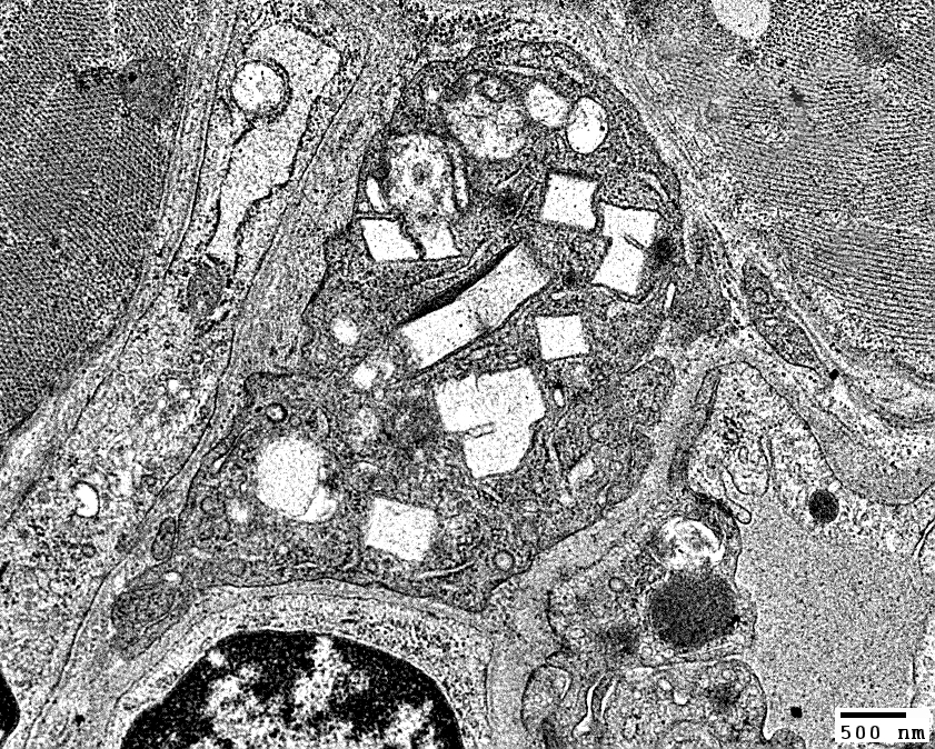
Macrophages: Inclusions/Crystals


From R Schmidt
Cystine Crystals in Macrophage

From R Schmidt

From R Schmidt
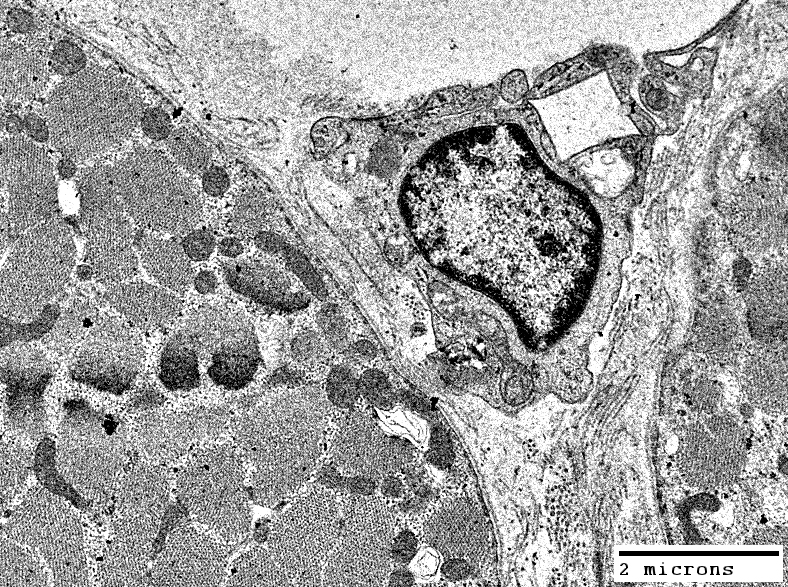
Cystine Crystals in Macrophage

From R Schmidt


From C Cai
Cystine Crystals in Macrophages

From C Cai

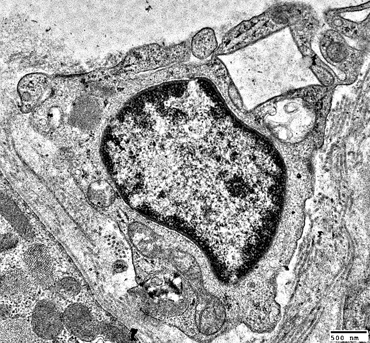
Endothelial Cell Inclusion


From R Schmidt

From R Schmidt

Membrane Whorls


From R Schmidt

From R Schmidt

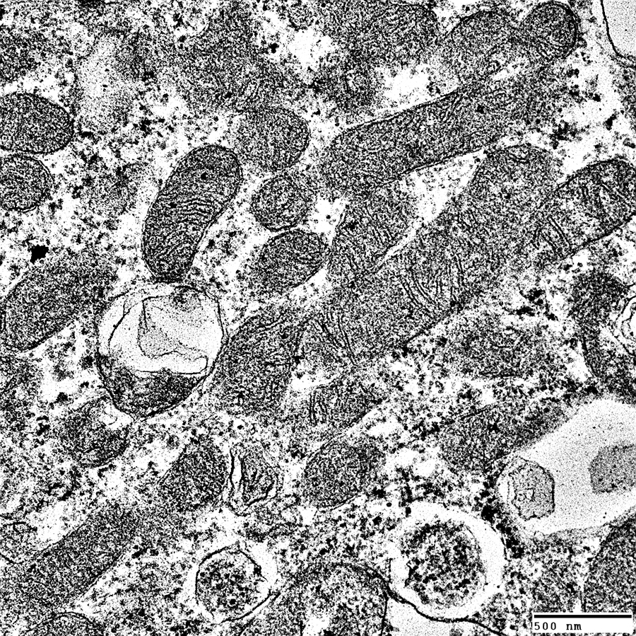
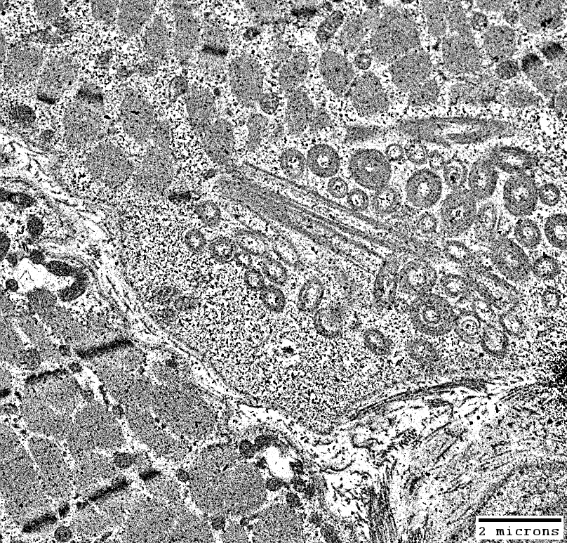
Mitochondrial Pathology


From R Schmidt
Mitochondrial Pathology

From R Schmidt

Return to Cystinosis
Return to Muscle biopsies

4/22/2025