Neuromuscular

Acute Nutritional Neuropathy

General
Axons
  Myelin Loss
  Schwann cell pathology
  Myelin pathology
  Unmyelinated
Wallerian Degeneration
Cell processes


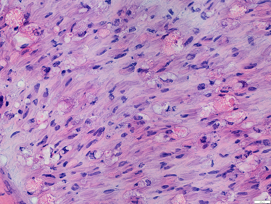
H&E stain
Myelinated Axons
  Reduced number
  Damaged myelin (Loss of staining)

H&E stain


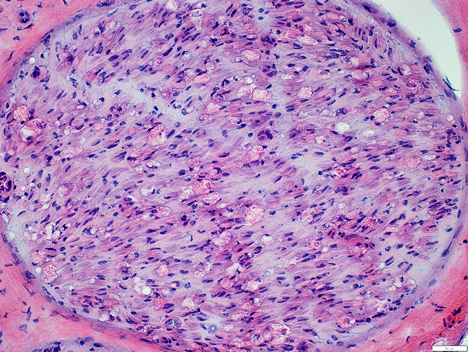
Gomori trichrome stain
Myelinated Axons
  Reduced number
  Damaged myelin (Loss of red color)

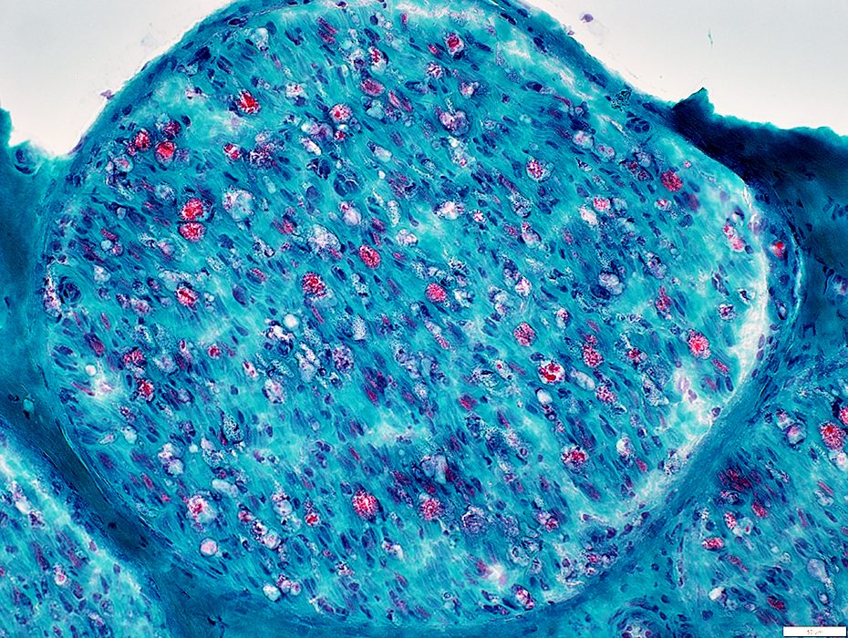
Gomori trichrome stain

Gomori trichrome stain
Myelinated Axons
  Reduced number
  Damaged myelin (Loss of staining)

VvG stain

Acute Nutritional Neuropathy: Wallerian Degeneration


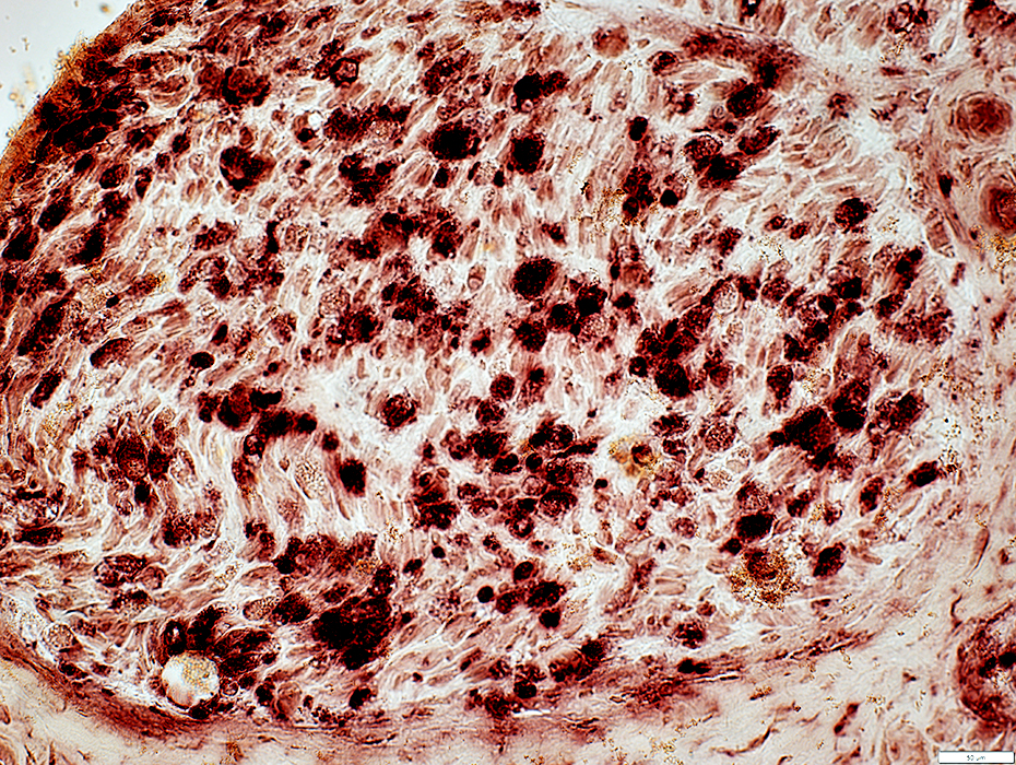
Acid phosphatase stain
Myelin Sheaths
  Diffusely stained by acid phosphatase

Acid phosphatase stain

Acid phosphatase stain


Neurofilament stain
Myelinated Axons
  Loss of neurofilament stain
  Neurofilament stain: Diffuse through some myelin sheaths
Unmyelinated Axons
  Preserved numbers

Neurofilament stain


Neurofilament (Green), Myelin basic protein (Red) stain
Neurofilament stained axons in sural nerve (Yellow)
  Lost within many MBP stained myelin sheaths (Red)
  Unmyelinated Axons: preserved numbers (Green)

Neurofilament (Green), Myelin basic protein (Red) stain


Neurofilament (Green), Myelin basic protein (Red) stain
Neurofilament stained axons in anterior interosseus nerve (Yellow)
  Lost within some MBP stained myelin sheaths (Red)
  Unmyelinated Axons: preserved numbers (Green)


Neurofilament (Green), Myelin basic protein (Red) stain
Acute & Chronic loss of myelinated axons in sural nerves
  Acute loss: MBP-stained myelin sheaths without axons
  Chronic loss: Reduced numbers of MBP-stained myelin sheaths

Neurofilament (Green), Myelin basic protein (Red) stain

Neurofilament (Green), Myelin basic protein (Red) stain


C5b-9 stain
Myelin Degeneration with Axon loss
  C5b-9 stains in & around myelin sheaths

C5b-9 stain


From: R Schmidt
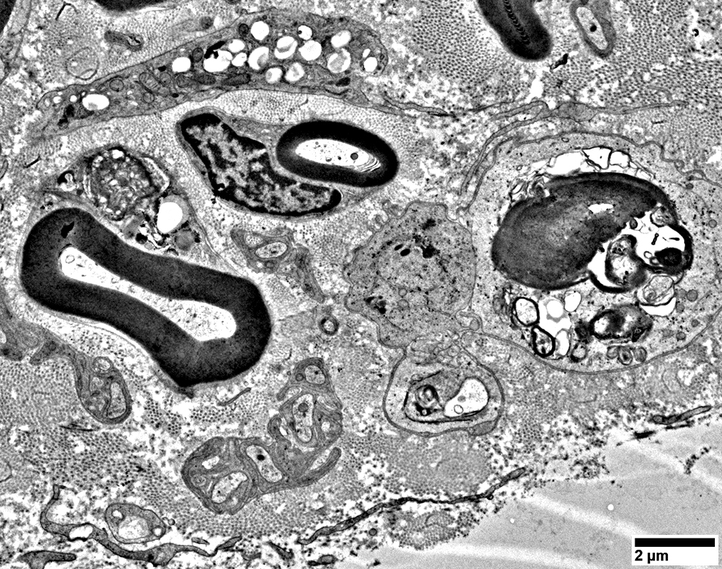
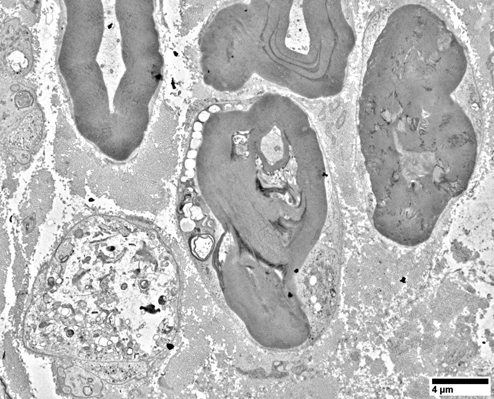
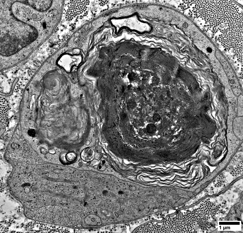
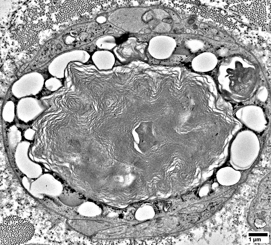
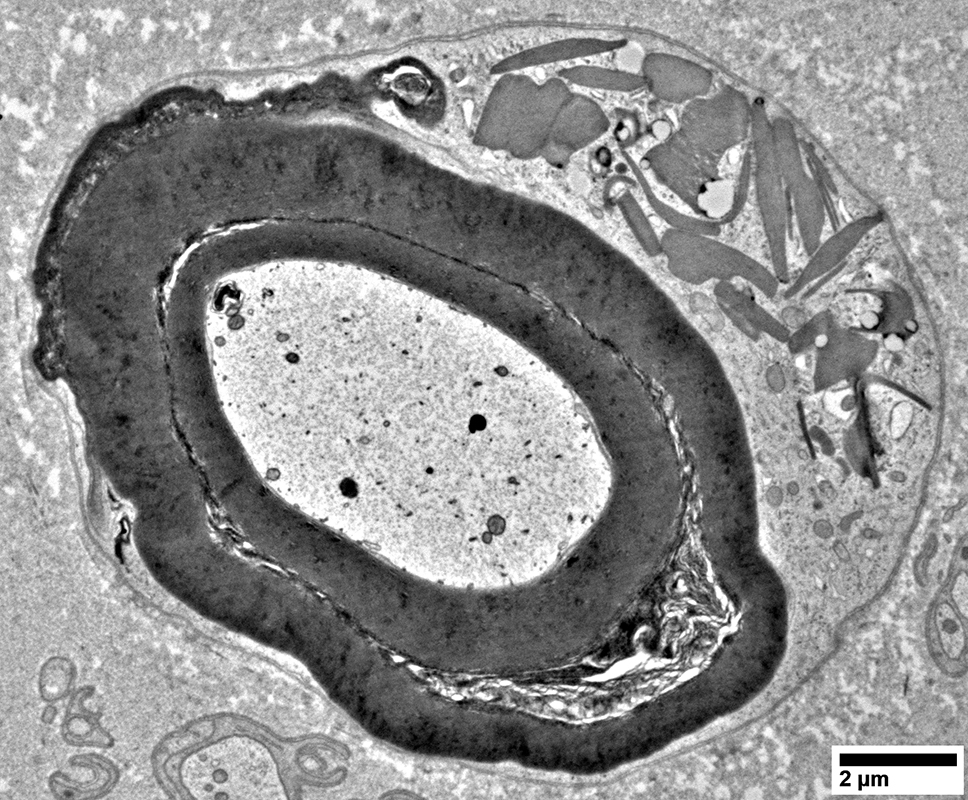
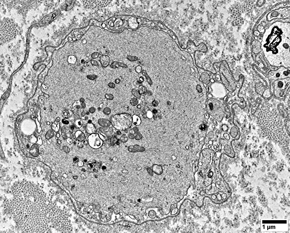
Myelin Damage & Ovoids
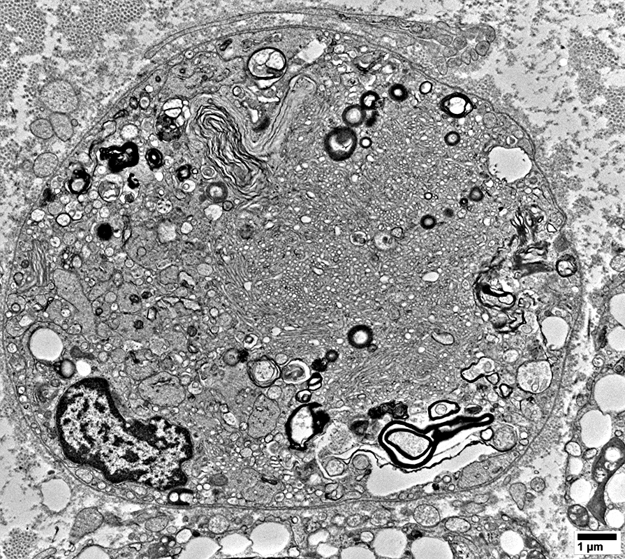
Schwann Cells
  Some contain Lipid debris

From: R Schmidt

From: R Schmidt
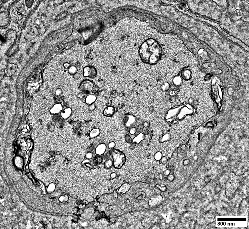
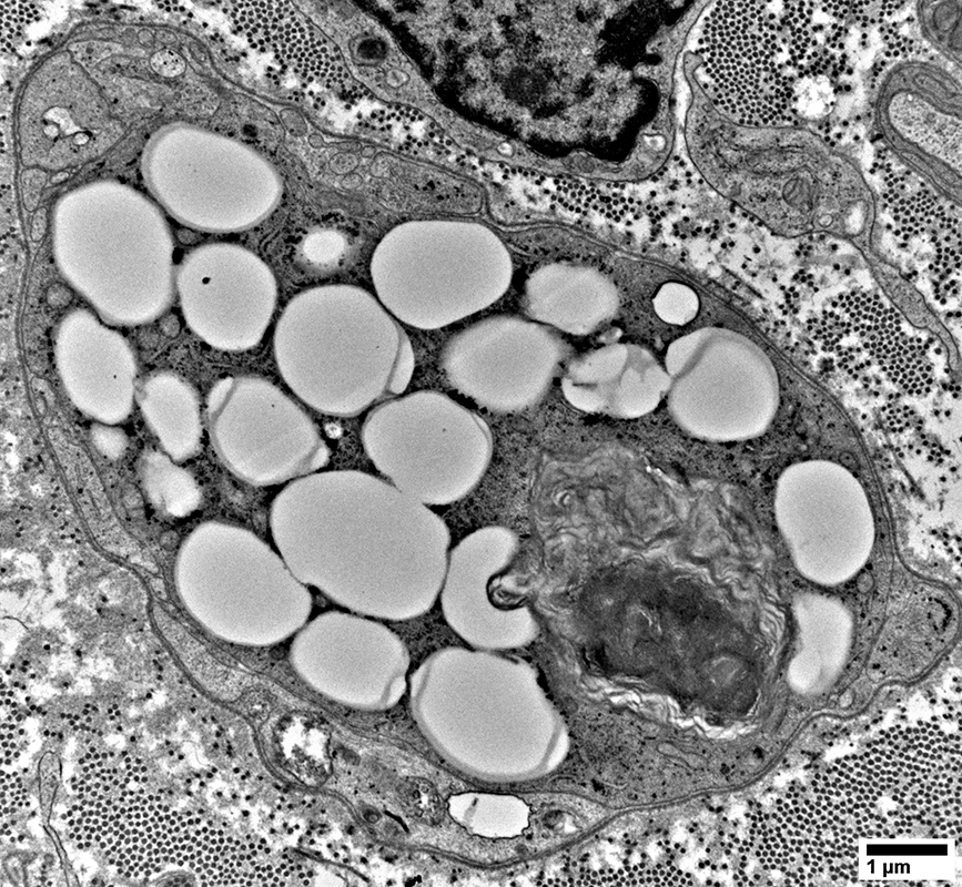
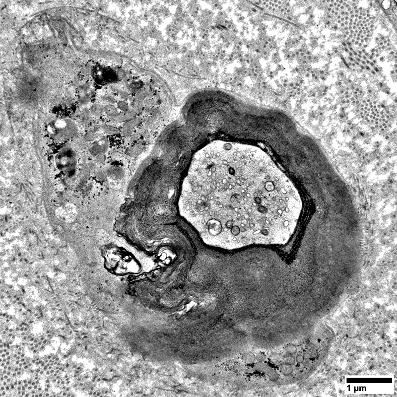
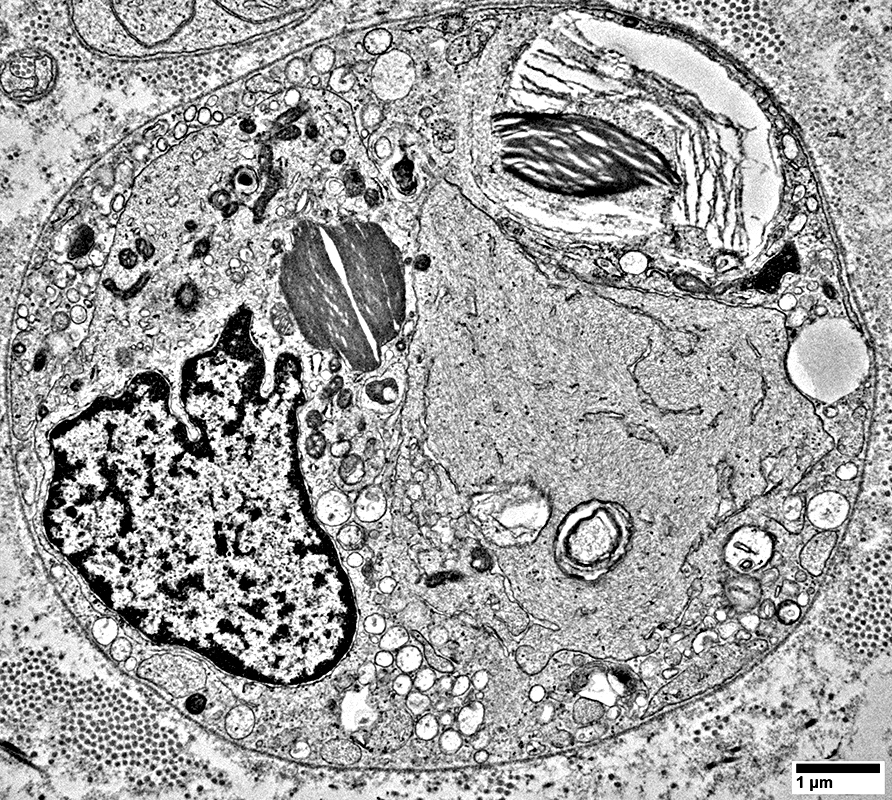
Myelin Damage: Lipid Droplets & Ovoids in Schwann cells

From: R Schmidt

From: R Schmidt
Myelin Damage: Lipid Droplets & Ovoids in Schwann cells

From: R Schmidt

From: R Schmidt
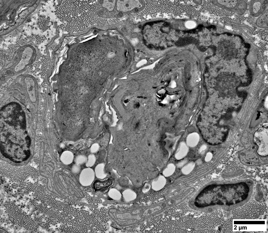
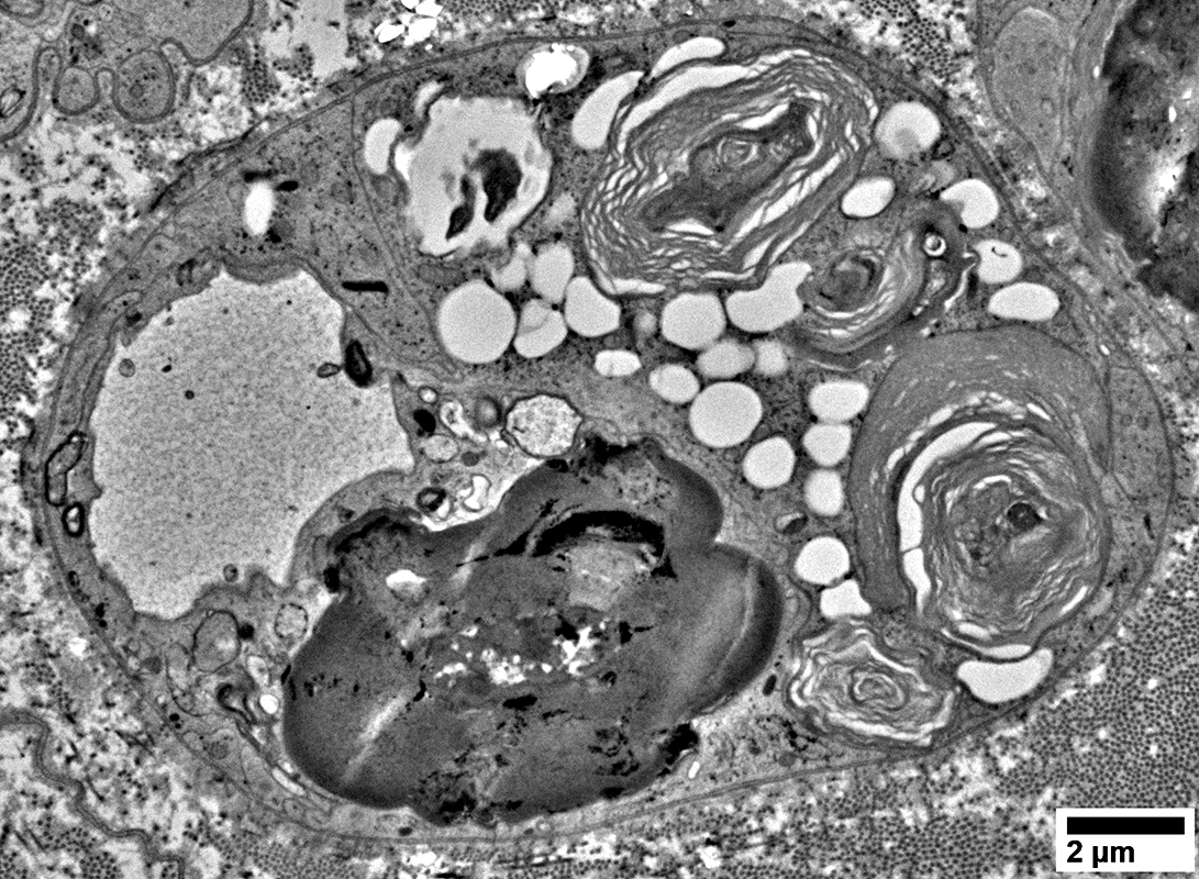
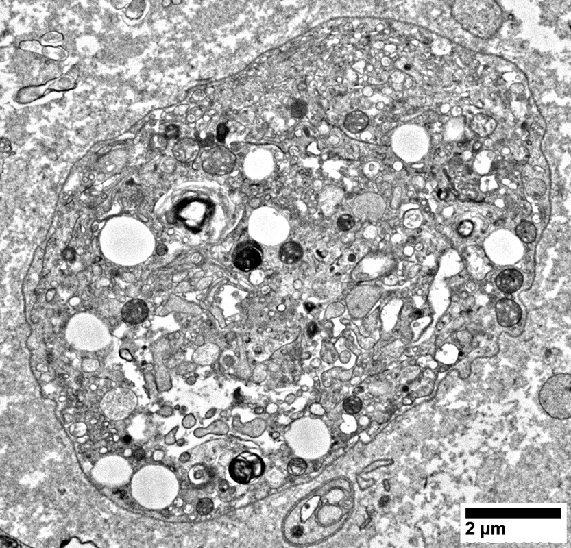
Myelin Damage: Lipid Droplets & Myelin debris in Schwann cells

From: R Schmidt

From: R Schmidt
Myelin Damage: Lipid Droplets & Myelin debris in Schwann cells

From: R Schmidt

From: R Schmidt
Myelin Damage: Lipid Droplets & some Myelin debris in Schwann cells

From: R Schmidt

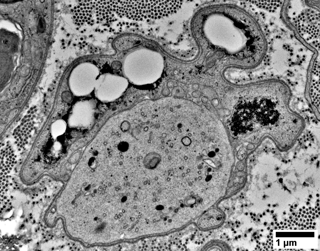
Lipid Droplets in an endoneurial cell

From: R Schmidt


From: R Schmidt
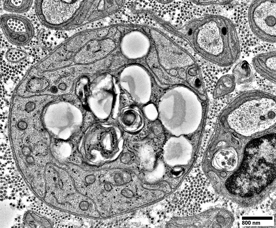
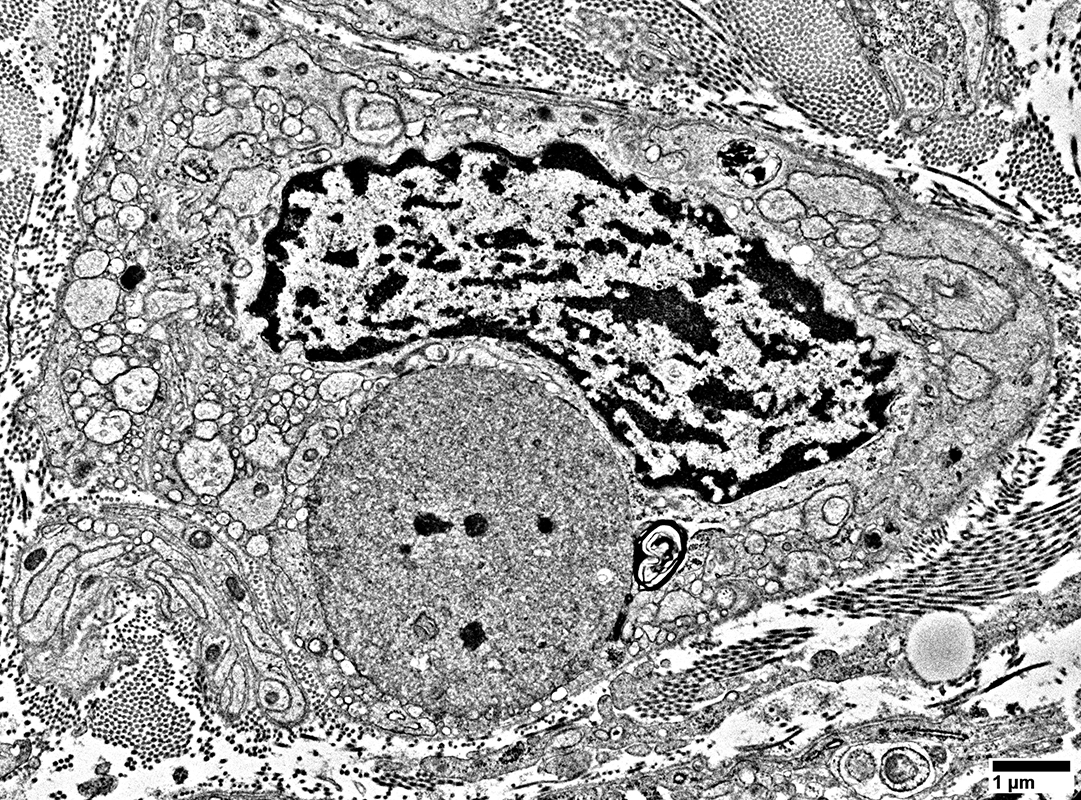
Lipid Droplets & Myelin debris segregated in different Schwann cell processes

From: R Schmidt

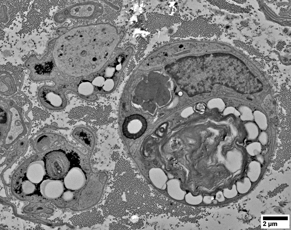
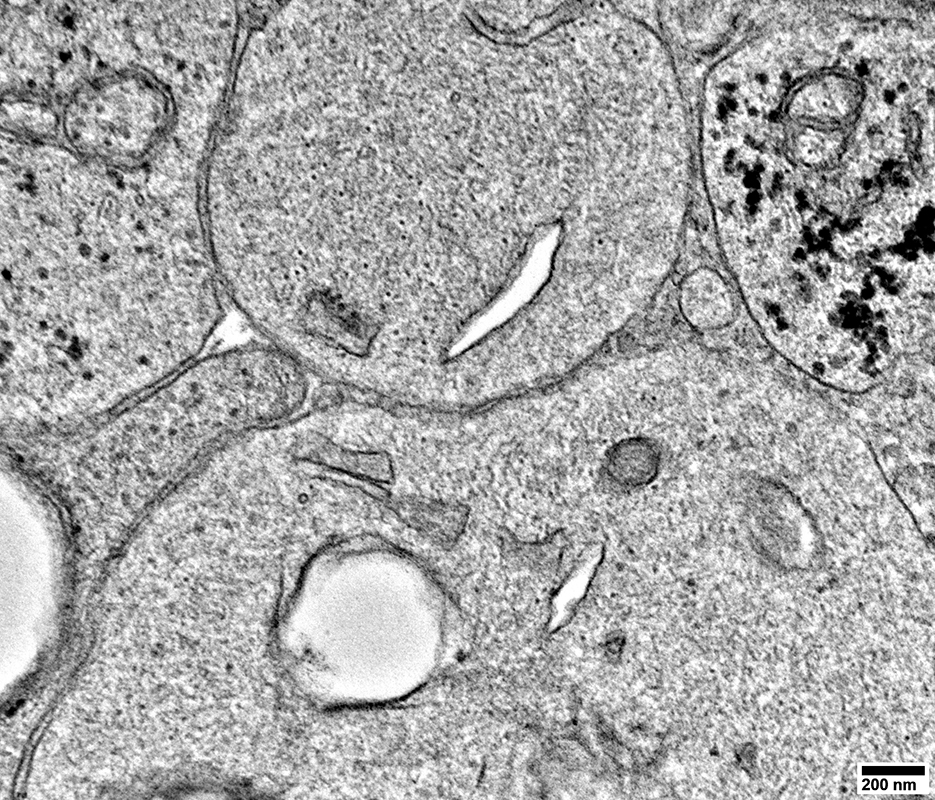
Cell Processes: Other


From: R Schmidt

From: R Schmidt

From: R Schmidt

From: R Schmidt

From: R Schmidt

From: R Schmidt


From: R Schmidt

From: R Schmidt

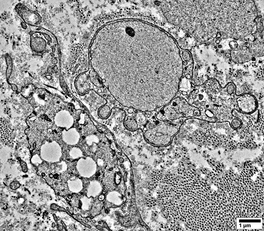
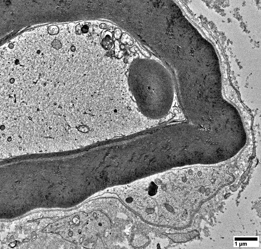
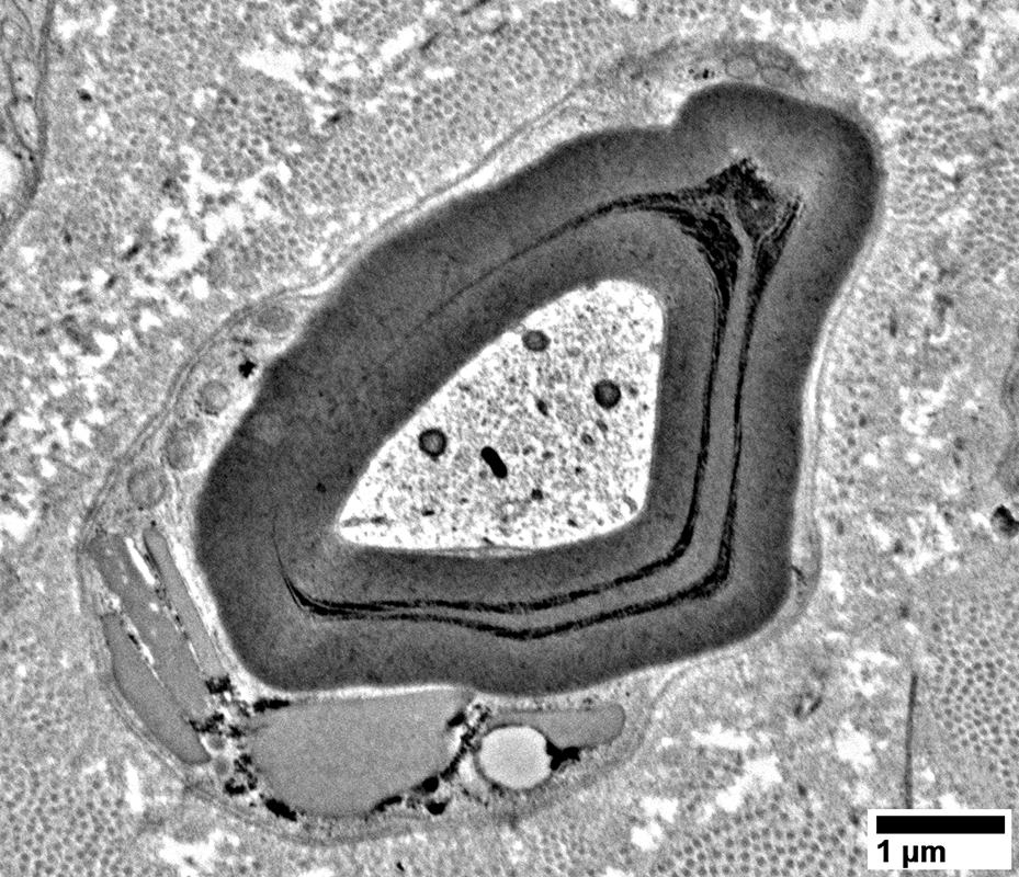
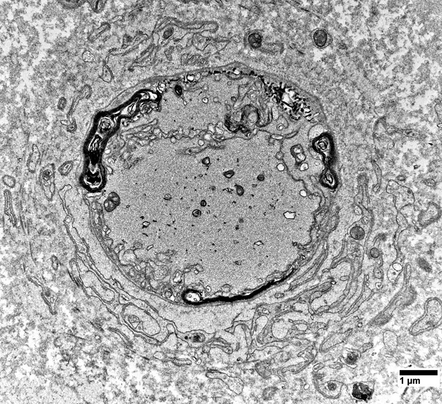
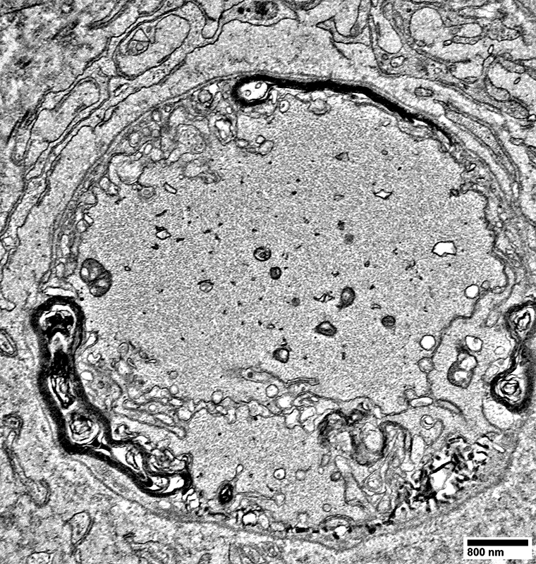
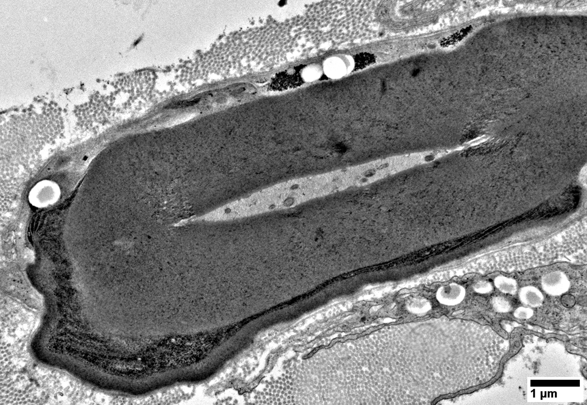
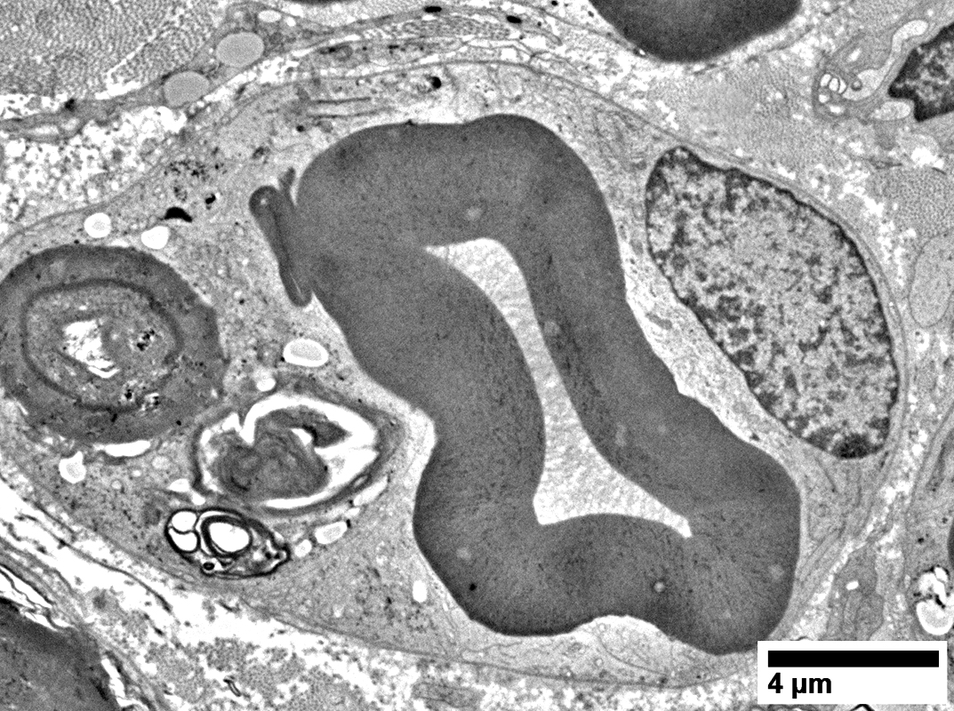
Axons: Large & Abnormal Structure with no surrounding Myelin


From: R Schmidt
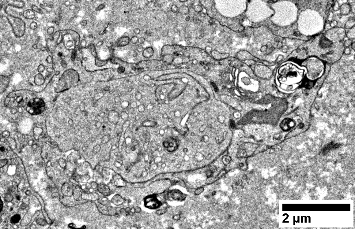
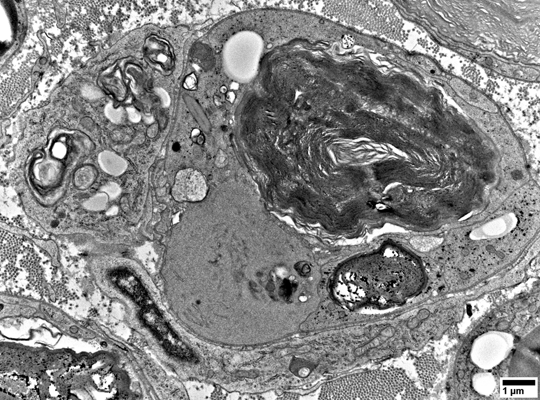
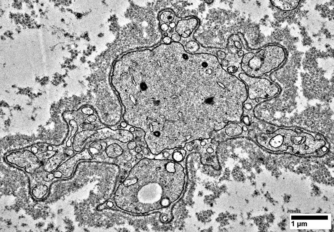
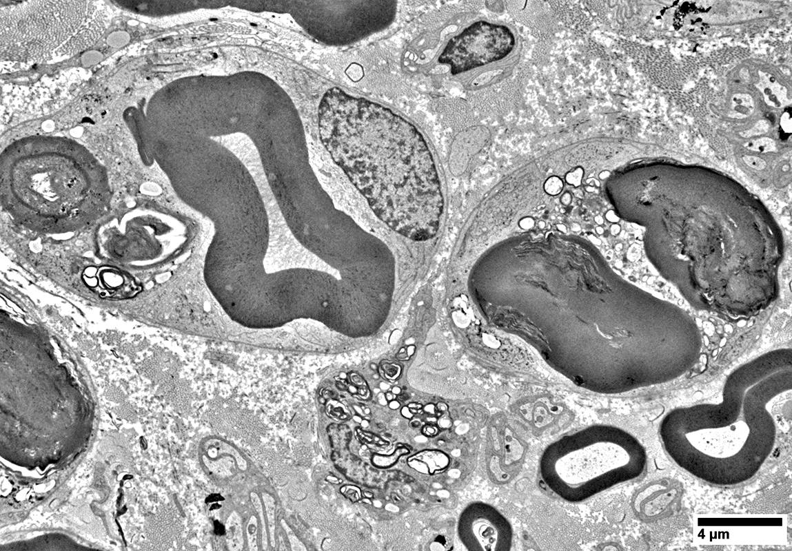
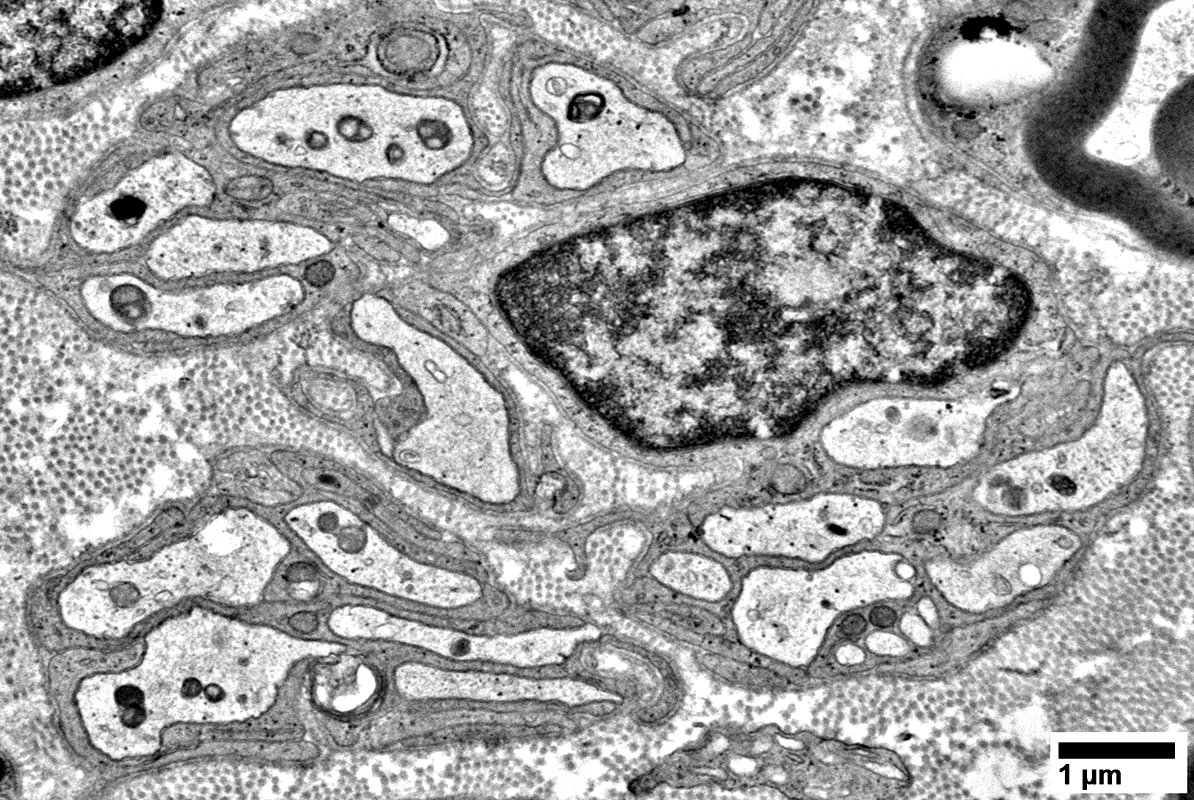
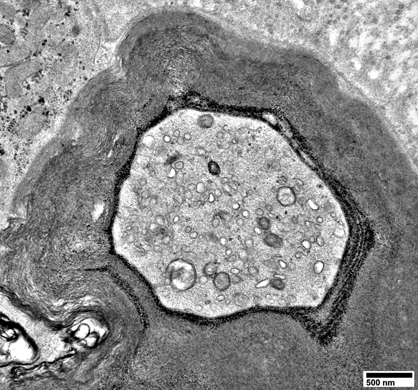
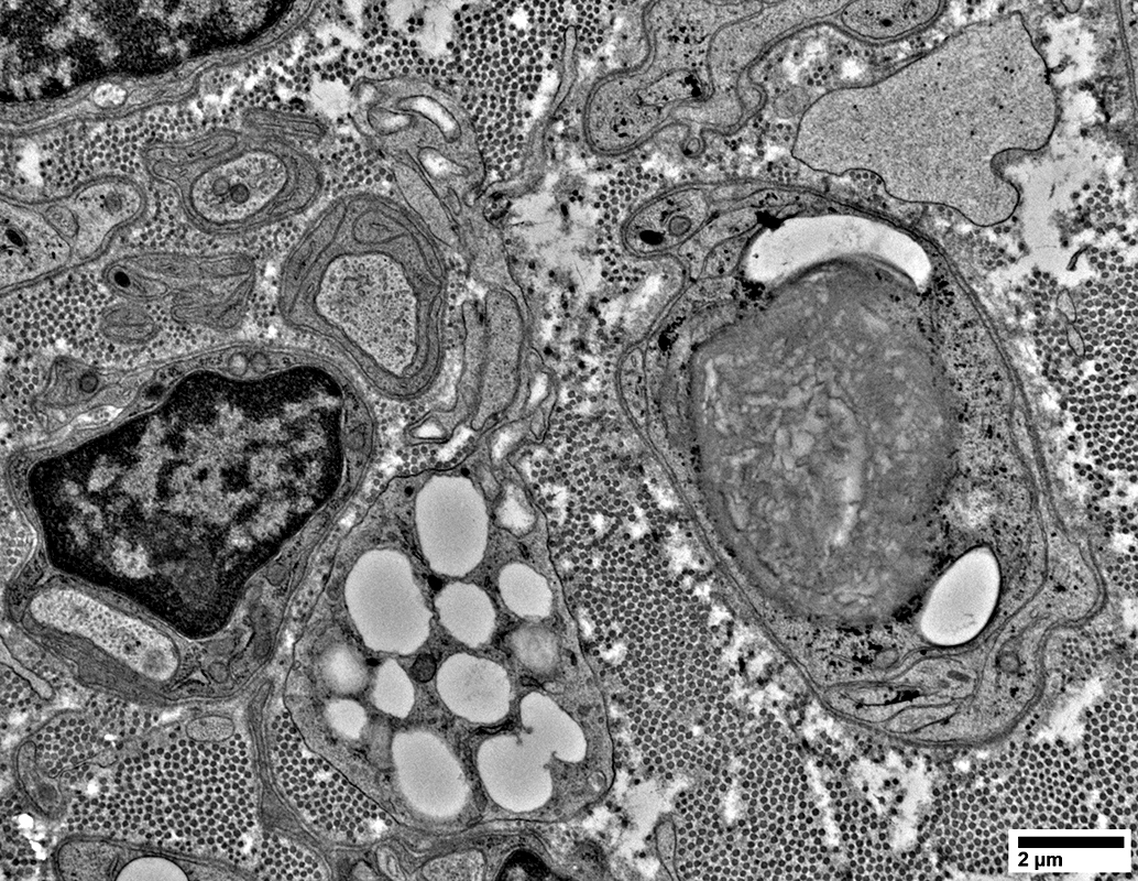
Axons surronded by thin Schwann cell processes containing Myelin, or Lipid, Debris

From: R Schmidt

From: R Schmidt


From: R Schmidt
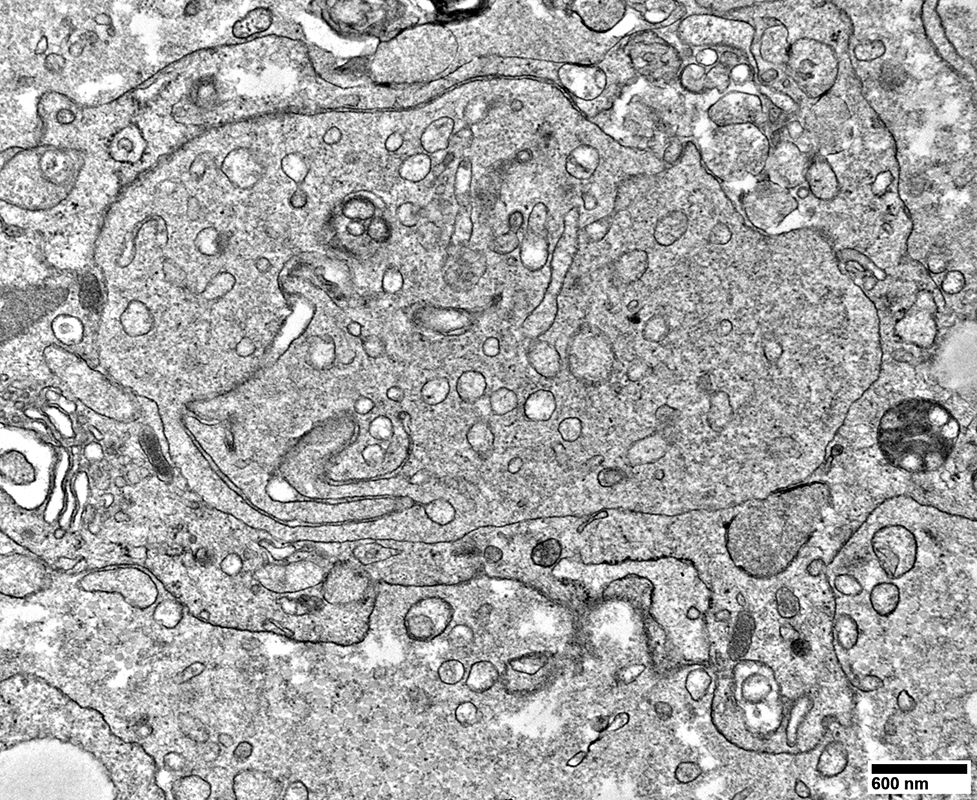
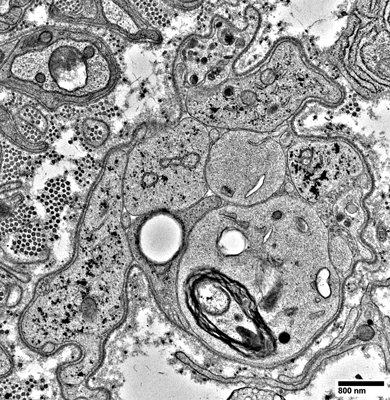
Axons surronded by multiple small Schwann cell processes

From: R Schmidt

From: R Schmidt

From: R Schmidt

From: R Schmidt


From: R Schmidt
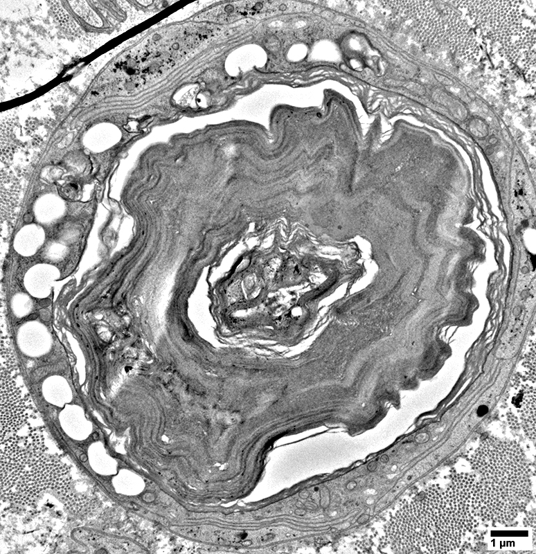
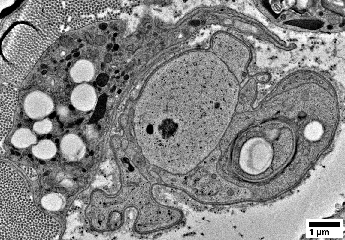
Axons surronded by layers of Schwann cell processes

From: R Schmidt

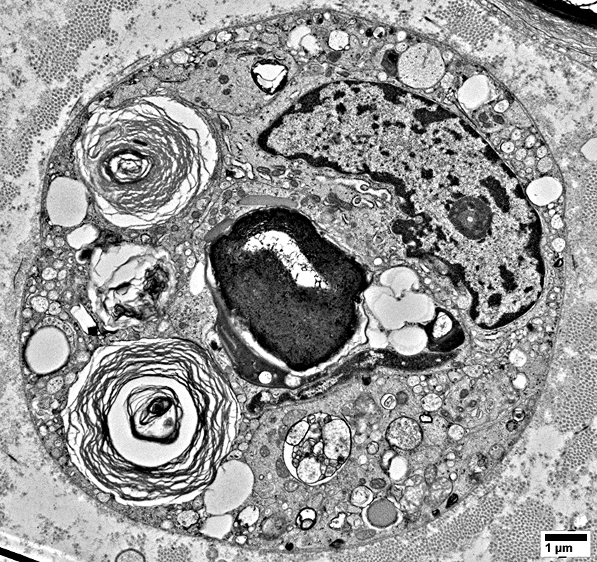
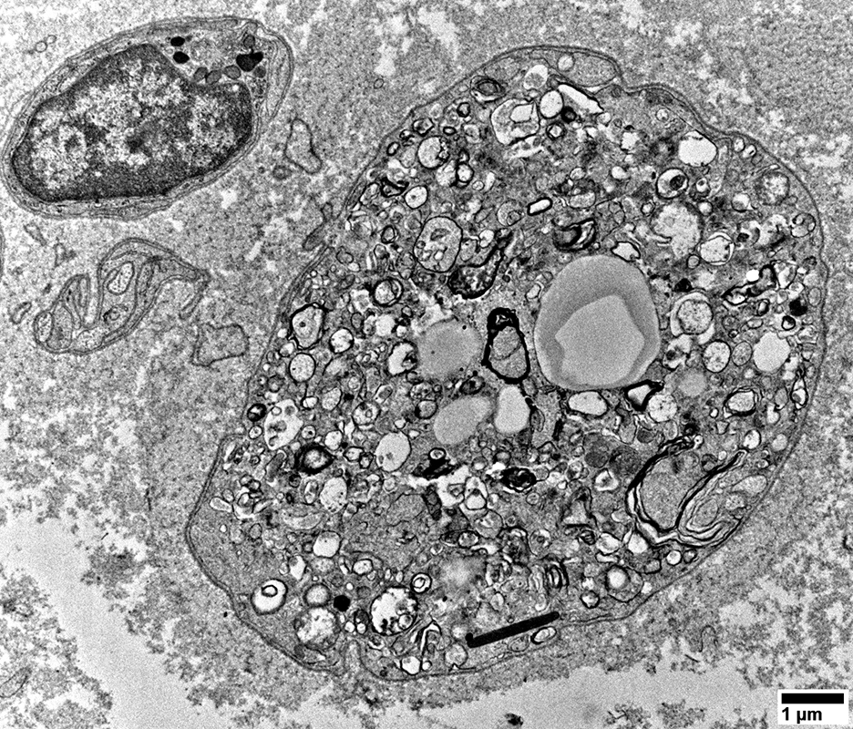
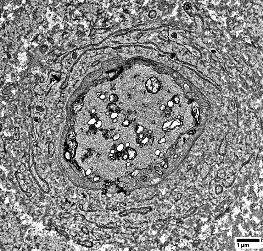
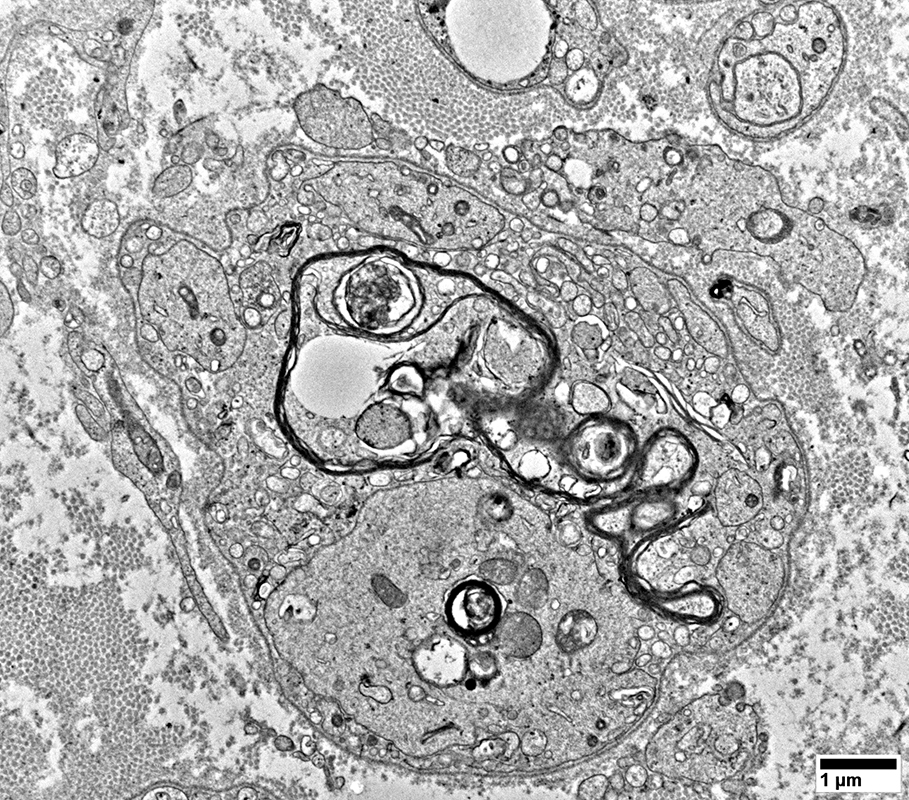
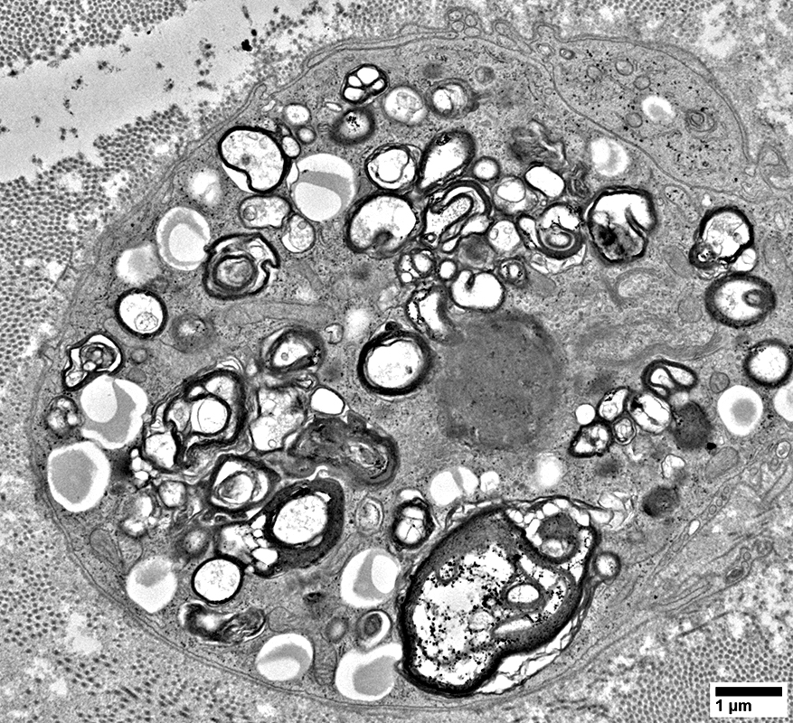
Schwann cells around Axons: Contain Myelin Degradation Products


From: R Schmidt

From: R Schmidt

From: R Schmidt

From: R Schmidt

From: R Schmidt

From: R Schmidt

From: R Schmidt

Myelin Pathology: Early


From: R Schmidt

From: R Schmidt


From: R Schmidt

From: R Schmidt

From: R Schmidt

From: R Schmidt

From: R Schmidt

From: R Schmidt

From: R Schmidt

From: R Schmidt

From: R Schmidt

From: R Schmidt

From: R Schmidt

Non-Myelinating Schwann Cells & Unmyelinated Small Axons


NCAM stain

NCAM stain

Neurofilament (Green), NCAM (Red) stain

Neurofilament (Green), NCAM (Red) stain

Neurofilament (Green), NCAM (Red) stain

Neurofilament (Green), NCAM (Red) stain

Neurofilament (Green), NCAM (Red) stain

From: R Schmidt
Unmyelinated Axons
  Numbers: Relatively preserved; Several per Schwann cell
Non-myeliinating Schwann cells
  May have pale cytoplasm (Below)

From: R Schmidt


Neurofilament (Green)stain
Small Axons
  May appear beaded
  Numbers: Mildly reduced

Neurofilament (Green), NCAM (Red) stain


From: R Schmidt
Myelinated Axons
  A few have preserved structure

From: R Schmidt

Return to: ANAN
Return to: Neuromuscular Home Page

1/13/2026