Gastrocnemius-Myalgia Symdrome
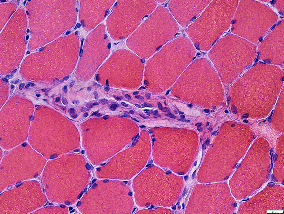
Muscle Fiber Pathology

H&E stain
|
Muscle Fibers
Minimal damage
Sizes
Moderate Atrophy
Mild variation
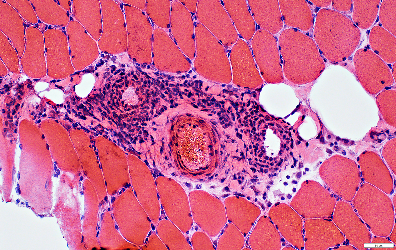
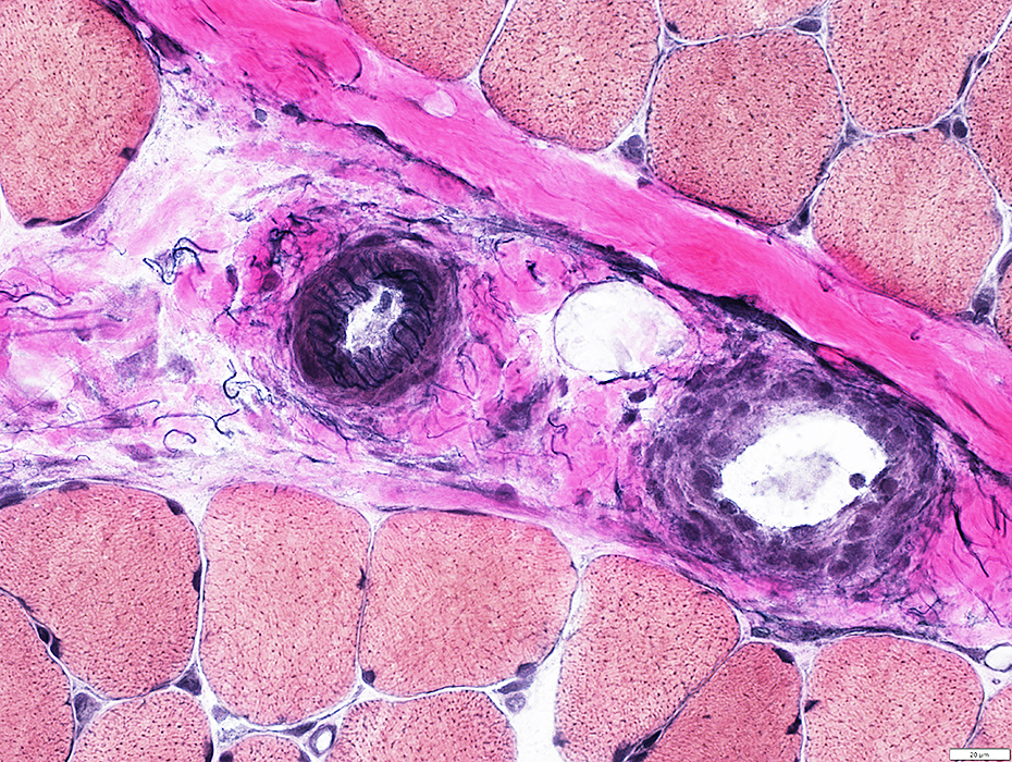
Perimysial Vessel
Associated inflammation
Pale walls

H&E stain
|

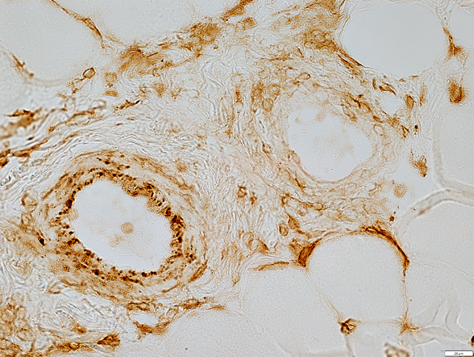
MHC Class I stain
|
MHC Class I
Mildly increased on muscle fiber surfaces
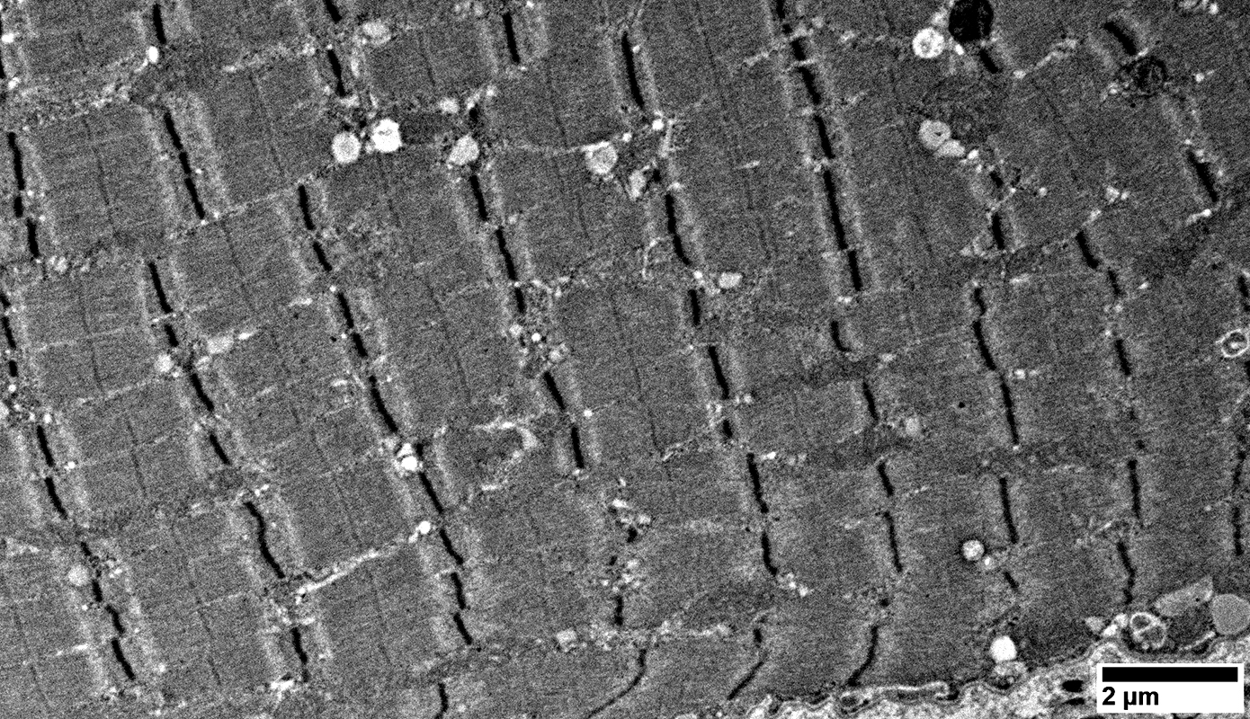
muscle Fibers

From: R Schmidt
|
Sarcomere structure
Normal
Mitochondria
Often large

From: R Schmidt
|
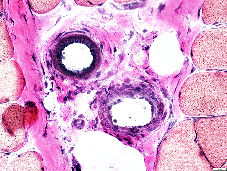
Vessels
Perimysial Vessel Pathology: Associated Inflammation

H&E stain
|
Perivascular Inflammation

VvG stain
|

Acid phosphatase stain
|
Acid phosphatase stains:
Histiocytes in wall of vein & in perimysial connective tissue
MHC Class I stains cells in & around vessel walls

MHC Class I stain
|

H&E stain
|
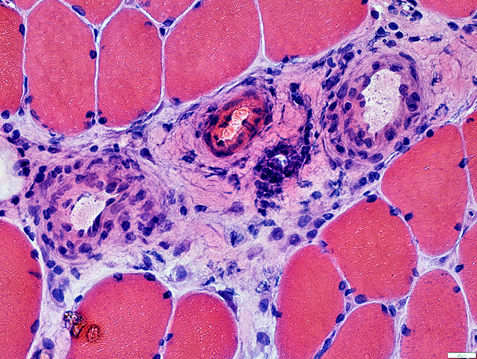
Vein Pathology
Walls: Pale

VvG stain
|
Vein Pathology
Walls: Pale; Absent fibrils
Arteries: Normal

VvG stain
|

Alkaline Phosphatase stain
|
Alkaline phosphatase stains connective tissue in perimysial vessel

C5b-9 stain
|
C
5b-9 stains cells in wall of vein & abnormal fibrils in artery wall
Capillaries

ATPase pH 4.3 stain
|
ATPase stains endomysial capillaries

CD163 stain
|
CD163 stains cells near endomysial capillaries

MxA stain
|
MxA stains cells near endomysial capillaries

Ulex stain
|
Ulex stains normal numbers of endomysial capillaries
Capillaries
Extracellular endomysial vesicles near capillaries

From: R Schmidt
|

From: R Schmidt
|
Extracellular endomysial vesicles near capillaries

From: R Schmidt
|
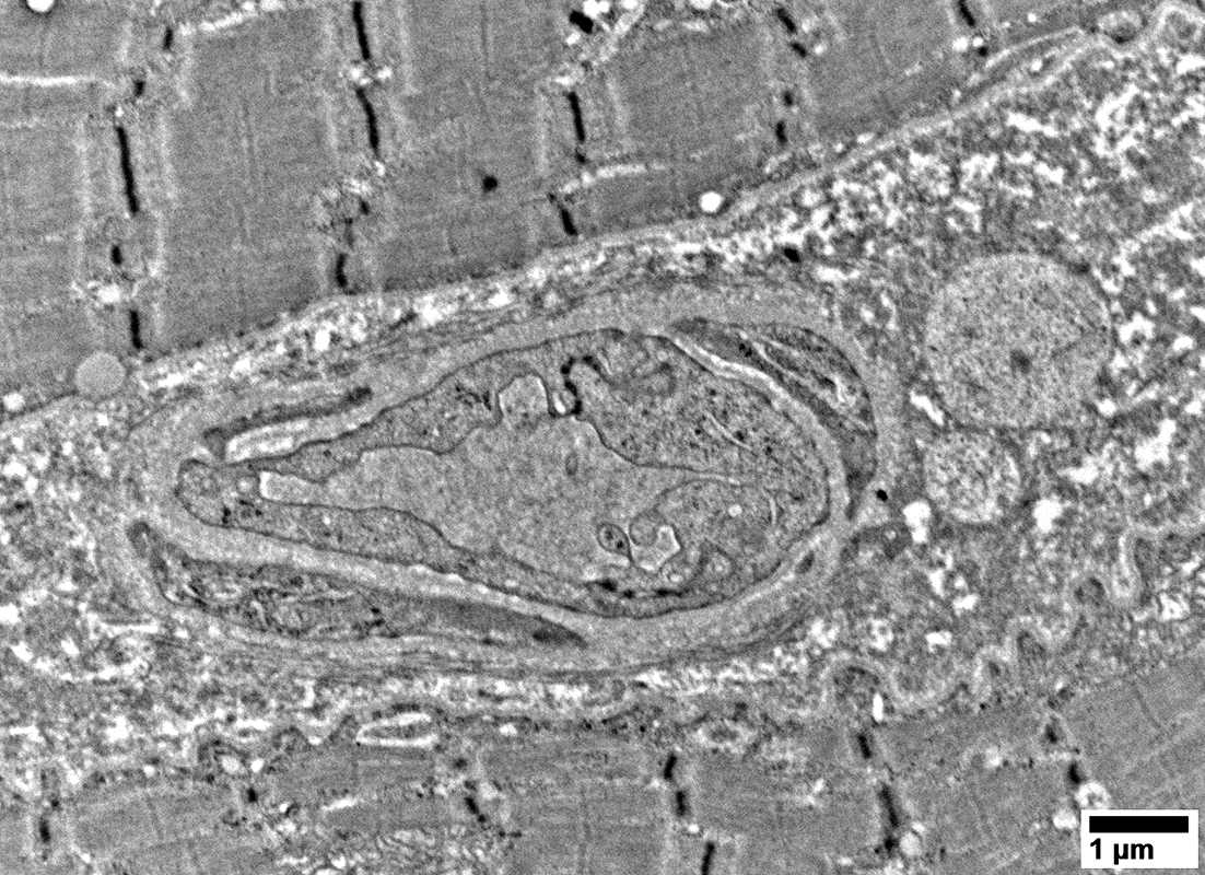
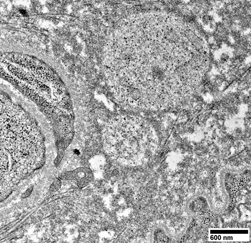
Capillaries
From: R Schmidt
|
Abnormal pericytes in capillary wall
Cell, probably lymphocyte, below capillary
Damaged endomysial capillary
From: R Schmidt
|
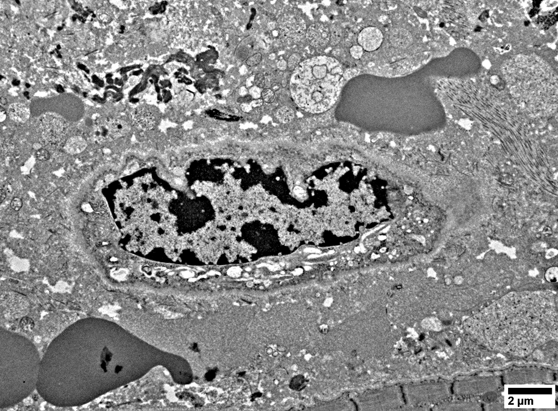
Damaged Capillary
No lumen
Endothelial cell with cytoplasmic vesicles inside a basal lamina
Erythrocytes & Vesicles in Endomysium
From: R Schmidt
|
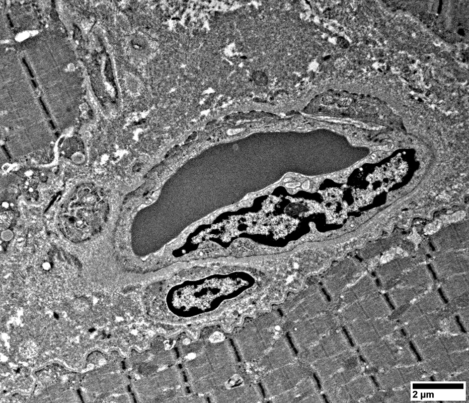
Endomysial Cells & Vesicles
From: R Schmidt
|
Small cell with many mitochondria below irregular capillary
Extracellular vesicular debris
From: R Schmidt
|
Perimysial Connective Tissue
Perimysial Pathology

Alkaline Phosphatase stain
|
Alkaline phosphatase stains perimysial connective tissue
Return to
Gastrocnemius-Myalgia
1/9/2026