FACIOSCAPULOHUMERAL (FSH) DYSTROPHY
FSH: Adult, Moderate severity

H&E stain
|
Muscle fibers
Size: Varied; Atrophy & Hypertrophy
Pathology: Necrosis, Regeneration & Persistent immaturity

VvG stain
|

H&E stain
|

H&E stain
|

H&E stain
|
Muscle fibers
Size: Varied; Atrophy & Hypertrophy
Regeneration: Basophilic muscle fibers
Endomysial connective tissue: Moderately increased
Inflammation: Around smaller, intermediate-sized vessels, not arteries or veins
|

VvG stain
|
Inflammation: Perivascular
Location
Around small perimysial vessels with no elastin in their wall (Above)
Not usually around arteries or veins (Below)
Cell types
Mononuclear: Especially CD4 & CD8
Large with large nuclei: ? Muscle regeneration

Congo red stain
|
Capillaries

VvG stain
|
Capillary pathology
Multiple large endomysial capillaries

VvG stain
|
Capillary pathology

ATPase pH 4.3 stain
|
Endomysial Capillaries
Dark, abnormal staining for ATPase

ATPase pH 4.3 stain
|

ATPase pH 4.3 stain
|
Necrotic muscle fibers
Scattered
Histiocytic cells slow to migrate away from necrotic fiber
More common in muscles with less fibrosis

H&E stain
Necrosis: Early
Pale muscle fiber cytoplasm
|

H&E stain
Necrosis
Muscle fibers replaced by histiocytic cells
|

Acid phosphatase stain
|

Congo red stain
|
Necrotic muscle fiber
Replaced by esterase-positive histiocytic cells

Esterase stain
|

ATPase, pH 4.3 stain
Small & large fibers are both types.
A few immature, type 2C, fibers are present. (Intermediate staining; Arrow)
|

ATPase pH 9.4 stain, Patient 1
Large fibers: Types I & II.
Small fibers: Types I & II.
|

ATPase, pH 9.4 stain
|
FSH: Fiber pathology

H&E stain
|
|
FSH fibers: Basophilic muscle fibers with large, often clustered, nuclei

Gomori trichrome stain
|

H&E stain
|

NADH stain
|
Muscle fiber internal architecture
Larger fibers
Pale centers (Above
Whorled or Irregular (Below)
Small fibers: Dark stained
Necrotic muscle fiber: Pale stained (Top left)

NADH stain
|
MHC-1: Upregulation by muscle fibers
On the rim of all muscle fibers
In the cytoplasm of smaller, immature fibers.

MHC-1 stain
|

Sudan black stain
Fat replaces perimysial connective tissue
|
FSH: Later stage

H&E stain
|
Varied pathology among fascicles

NADH stain
|
Muscle fiber sizes: Marked variation
Endomysial connective tissue: Increased between muscle fibers
Inflammation: Foci surrounding smaller perimysial vessels

H&E stain
|

H&E stain
|
Fiber sizes: Marked variation

H&E stain
Varied fiber size: Marked Hypertrophic & Very small fibers
|

NADH stain
Hypertrophic fibers: Often have pale centers.
Small fibers: Dark & Pale stained
|

ATPase pH 9.4 stain, Patient 2
Large fibers: Types I & II.
Small fibers: Often type II.
|

Gomori trichrome stain
|
Muscle fiber sizes: Varied
Small muscle fibers: Round; Dark stained on NADH
Hypertrophied muscle fibers: Very large; clear centers on NADH

NADH stain
|
Varied muscle fiber sizes
Small rounded muscle fibers
Vary large, hypertrophied muscle fibers

VvG stain
|
Inflammation: Foci surrounding smaller perimysial vessels

H&E stain
|
Inflammation: Foci surrounding smaller perimysial vessels
Endomysial connective tissue: Increased betwen muscle fibers

Gomori trichrome stain
|
Inflammation: Perimysial focus

Congo red stain
|
Inflammatory foci: Mostly lymphocytes; Minority of cells stain for acid phosphatase & esterase

Esterase stain
|

VvG stain
|
Inflammation: Foci surrounding smaller perimysial vessels
Larger vessels: Normal

VvG stain
|
Intermediate-Sized vessels & Intramuscular Nerves: Normal in FSH

VvG stain
|

H&E stain
|
FSH: Necrosis of some hypertrophied muscle fibers

H&E stain
|

VvG stain
|
Active myopathy
Necrotic muscle fibers
Immature, regenerating muscle fibers: Darker stained, rounded, small muscle fibers
Acid phosphatase positive cells scattered in endomysium

Acid phosphatase stain
|

Esterase stain
|
Necrotic muscle fibers: Replaced by histiocytic cells that stain for Acid phosphatase & Esterase

Acid phosphatase stain
|

NADH stain
|
Internal architecture
Small muscle fibers: Varied staining, from normal to dark
Hypertrophied muscle fibers: Often have
clear central regions

Alkaline phosphatase stain
|
Immature muscle fibers
Small, rounded
Cytoplasm: Stains for alkaline phosphatase

Alkaline phosphatase stain
|
Immature muscle fibers
Small, rounded
Cytoplasm: Darker staining on VvG

VvG stain
|

ATPase pH 9.4 stain
|
Fiber types
Large fibers: Types I & II
Small fibers: More commonly type II

ATPase pH 4.3 stain
|
Congenital FSH
FSHD, Congenital: Myopathy
2 year old female

H&E stain
Muscle fiber size: Varied
Many small basophilic fibers
Mononuclear inflammatory cells
Around smaller, intermediate sized perimysial vessel (Above)
In endomysium (Below)
|

H&E stain
Varied muscle fiber size.
Basophilic (immature) fibers.
No hypertrophy.
Endomysial inflammation.
|

ATPase pH 9.4 stain
Smaller fibers are Type I & II
|

Gomori trichrome stain
|
Myopathology patterns

H&E stain
|
Fiber size
Varied
Small fibers: Rounded; Some basophilic
Nuclei: Irregular shapes; Large; One or several internal

H&E stain
|
Endomysial cell clusters

H&E stain
|
Small muscle fibers: Basophilic cytoplasm; Large nuclei

H&E stain
|
Internal architecture: Coarse; Immature

NADH stain
|

ATPase pH 4.3 stain
|
Immature muscle fibers
Type 2C: Intermediate color on ATPase pH 4.3
Alkaline phosphatase positive
Scattered; Small

Alkaline phosphatase stain
|
Endomysial cells
Histiocytic; Scattered
Common pattern with MHC-I upregulatioon by muscle fibers

Esterase stain
|
MHC-1: Abnormal upregulation by muscle fibers

MHC-1 stain
|
FSHD, Congenital: Inflammation
4 year old female

H&E stain
|
Inflammation (Childhood FSH): Lymphocytes in perimysium

H&E stain
|

H&E stain
|
Inflammation: Lymphocytes around perimysial vessel

H&E stain
|
FSHD: Early in course

H&E stain
|
FSH: Muscle Pathology
Muscle fibers
Sizes: Mild variation; Few small fibers
Endomysial capillaries
Large (Arrow; Above)
Misoriented (
Below): Often circumferential around muscle fibers

H&E stain
|

MHC1 stain
|
FSH: Muscle Capillary Pathology
Endomysial Capillaries
Large
Misoriented: Often circumferential around muscle fibers

MHC1 stain
|
Control muscle
Capillaries: Most parallel to length of muscle fibers; Cut in cross-section

MHC1 stain
|
6 FSHD Muscle Biopsies: Identified by MRI as "Active Myopathy"
MRI does not consistently identify ongoing myopathy

H&E stain
|
Muscle features
Fibers: Varied sizes; Hypertrophy
Endomysial capillaries: Misoriented; Increased numbers

MHC1 stain
|

H&E stain
|
Muscle features
Fibers: Varied sizes; Hypertrophy; Few small fibers
Endomysial capillaries: Increased numbers, moderate

MHC1 stain
|

H&E stain
|
Muscle features
Fibers: Varied sizes; Hypertrophy
Endomysial capillaries: Misoriented; Increased numbers

MHC1 stain
|

H&E stain
|
Muscle features
Fibers: Varied sizes; Hypertrophy, Few small fibers
Endomysial capillaries: Misoriented; Increased numbers

MHC1 stain
|

H&E stain
|
Muscle features:
FSHD myopathy
Fibers: Bimodal sizes; Hypertrophy, Small & intermediate-sized fibers fibers
Endomysial capillaries: Misoriented; Increased numbers; Large

MHC1 stain
|

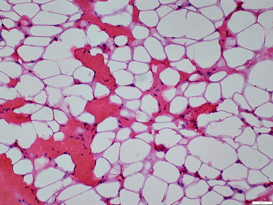
H&E stain
|
Muscle features: End stage
Fibers: None
Capillaries amid fat: Large

MHC1 stain
|
Return to
Neuromuscular Home Page
Return to
FSH dystrophy
8/24/2025